Revision 3

#68123

Store at -20C

CST Logo
Orders:

877-616-CELL (2355)

[email protected]

Support:

877-678-TECH (8324)

3 Trask Lane | Danvers | Massachusetts | 01923 | USA

For Research Use Only. Not for Use in Diagnostic Procedures.

Applications:
W, IHC-P, IF-IC, FC-FP, ELISA

Reactivity:
H

Sensitivity:
Endogenous

MW (kDa):
230, 400

Source/Isotype:
Mouse IgG1

UniProt ID:
#P15941

Entrez-Gene Id:
4582

Product Usage Information

This product is the carrier free version of product #4538. All data were generated using the same antibody clone in the standard formulation which contains BSA and glycerol.

This formulation is ideal for use with technologies requiring specialized or custom antibody labeling, including fluorophores, metals, lanthanides, and oligonucleotides. It is not recommended for ChIP, ChIP-seq, CUT&RUN or CUT&Tag assays. If you require a carrier free formulation for chromatin profiling, please contact us. Optimal dilutions/concentrations should be determined by the end user.

BSA and Azide Free antibodies are quality control tested by size exclusion chromatography (SEC) to determine antibody integrity.

Formulation

Supplied in 1X PBS (10 mM Na2HPO4, 3 mM KCl, 2 mM KH2PO4, and 140 mM NaCl (pH 7.8)). BSA and Azide Free.

For standard formulation of this product see product #4538

Storage

Store at -20°C. This product will freeze at -20°C so it is recommended to aliquot into single-use vials to avoid multiple freeze/thaw cycles. A slight precipitate may be present and can be dissolved by gently vortexing. This will not interfere with antibody performance.

Specificity/Sensitivity

MUC1 (VU4H5) Mouse Monoclonal Antibody (BSA and Azide Free) detects endogenous levels of total MUC1. This antibody does not cross-react with other mucin proteins.

Source / Purification

Monoclonal antibody (isotype: IgG1k) is produced by immunizing a BALB/c mouse with MUC1 60 mer tandem repeats (BSA conjugated).

Background

Mucins represent a family of glycoproteins characterized by repeat domains and dense O-glycosylation (1). MUC1 (or mucin 1) is aberrantly overexpressed in most human carcinomas. Increased expression of MUC1 in carcinomas reduces cell-cell and cell-ECM interactions. MUC1 is cleaved proteolytically, and the large ectodomain can remain associated with the small 25 kDa carboxy-terminal domain that contains a transmembrane segment and a 72-residue cytoplasmic tail (1). MUC1 interacts with ErbB family receptors and potentiates ERK1/2 activation (2). MUC1 also interacts with β-catenin, which is regulated by GSK-3β, PKCγ, and Src through phosphorylation at Ser44, Thr41, and Tyr46 of the MUC1 cytoplasmic tail (3-5). Overexpression of MUC1 potentiates transformation (6) and attenuates stress-induced apoptosis through the Akt or p53 pathways (7,8).

Species Reactivity

Species reactivity is determined by testing in at least one approved application (e.g., western blot).

Applications Key

W: Western Blotting IHC-P: Immunohistochemistry (Paraffin) IF-IC: Immunofluorescence (Immunocytochemistry) FC-FP: Flow Cytometry (Fixed/Permeabilized) ELISA: ELISA

Cross-Reactivity Key

H: Human

Trademarks and Patents

Cell Signaling Technology is a trademark of Cell Signaling Technology, Inc.

All other trademarks are the property of their respective owners. Visit cellsignal.com/trademarks for more information.

Limited Uses

Except as otherwise expressly agreed in a writing signed by a legally authorized representative of CST, the following terms apply to Products provided by CST, its affiliates or its distributors. Any Customer's terms and conditions that are in addition to, or different from, those contained herein, unless separately accepted in writing by a legally authorized representative of CST, are rejected and are of no force or effect.

Products are labeled with For Research Use Only or a similar labeling statement and have not been approved, cleared, or licensed by the FDA or other regulatory foreign or domestic entity, for any purpose. Customer shall not use any Product for any diagnostic or therapeutic purpose, or otherwise in any manner that conflicts with its labeling statement. Products sold or licensed by CST are provided for Customer as the end-user and solely for research and development uses. Any use of Product for diagnostic, prophylactic or therapeutic purposes, or any purchase of Product for resale (alone or as a component) or other commercial purpose, requires a separate license from CST. Customer shall (a) not sell, license, loan, donate or otherwise transfer or make available any Product to any third party, whether alone or in combination with other materials, or use the Products to manufacture any commercial products, (b) not copy, modify, reverse engineer, decompile, disassemble or otherwise attempt to discover the underlying structure or technology of the Products, or use the Products for the purpose of developing any products or services that would compete with CST products or services, (c) not alter or remove from the Products any trademarks, trade names, logos, patent or copyright notices or markings, (d) use the Products solely in accordance with CST Product Terms of Sale and any applicable documentation, and (e) comply with any license, terms of service or similar agreement with respect to any third party products or services used by Customer in connection with the Products.

Orders: 877-616-CELL (2355) [email protected] Support: 877-678-TECH (8324) [email protected] Web: cellsignal.com
For Research Use Only. Not for Use in Diagnostic Procedures.

Revision 3

Cell Signaling Technology Logo
Western blot analysis of extracts from PL45 and MCF-7 cells using MUC1 (VU4H5) Mouse mAb. Data were generated using the standard formulation of this product.
Western Blotting Image 1: MUC1 (VU4H5) Mouse Monoclonal Antibody (BSA and Azide Free)
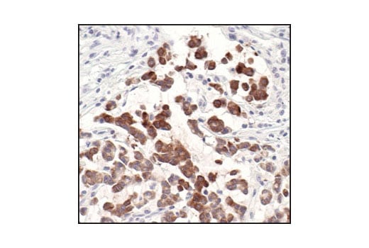
Immunohistochemical analysis of paraffin-embedded human breast carcinoma, using MUC1 (VU4H5) Mouse mAb. Data were generated using the standard formulation of this product.
Immunohistochemistry Image 1: MUC1 (VU4H5) Mouse Monoclonal Antibody (BSA and Azide Free)
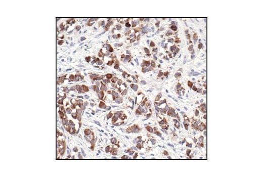
Immunohistochemical analysis of paraffin-embedded human colon carcinoma, using MUC1 (VU4H5) Mouse mAb. Data were generated using the standard formulation of this product.
Immunohistochemistry Image 2: MUC1 (VU4H5) Mouse Monoclonal Antibody (BSA and Azide Free)
Orders: 877-616-CELL (2355) [email protected] Support: 877-678-TECH (8324) [email protected] Web: cellsignal.com
For Research Use Only. Not for Use in Diagnostic Procedures.

Revision 3

Cell Signaling Technology Logo
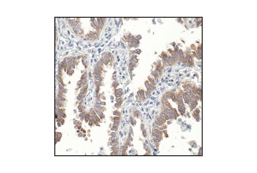
Immunohistochemical analysis of paraffin-embedded human lung carcinoma, using MUC1 (VU4H5) Mouse mAb. Data were generated using the standard formulation of this product.
Immunohistochemistry Image 3: MUC1 (VU4H5) Mouse Monoclonal Antibody (BSA and Azide Free)
Confocal immunofluorescent analysis of MCF7 (left, positive) and HCT 116 (right, negative) cells using MUC1 (VU4H5) Mouse mAb (green). Blue pseudocolor = DRAQ5® #4084 (fluorescent DNA dye). Data were generated using the standard formulation of this product.
Immunofluorescence Image 1: MUC1 (VU4H5) Mouse Monoclonal Antibody (BSA and Azide Free)
Flow cytometric analysis of MCF-7 cells, using MUC1 (VU4H5) Mouse mAb (blue) compared to a nonspecific negative control antibody (red). Data were generated using the standard formulation of this product.
Flow Cytometry Image 1: MUC1 (VU4H5) Mouse Monoclonal Antibody (BSA and Azide Free)
Orders: 877-616-CELL (2355) [email protected] Support: 877-678-TECH (8324) [email protected] Web: cellsignal.com
For Research Use Only. Not for Use in Diagnostic Procedures.

Revision 3

Cell Signaling Technology Logo
Data using Total MUC1 Matched Antibody Pair #56370 are shown. The two antibodies function as a capture-target-detection sandwich (#68123 and #20246, respectively) to detect endogenous protein expression in ZR-75-1, MCF7, and 293 cells, as shown in the figure.
ELISA Image 1: MUC1 (VU4H5) Mouse Monoclonal Antibody (BSA and Azide Free)
Orders: 877-616-CELL (2355) [email protected] Support: 877-678-TECH (8324) [email protected] Web: cellsignal.com
For Research Use Only. Not for Use in Diagnostic Procedures.