Revision 4

#36623

Store at -20C

CST Logo
Orders:

877-616-CELL (2355)

[email protected]

Support:

877-678-TECH (8324)

3 Trask Lane | Danvers | Massachusetts | 01923 | USA

For Research Use Only. Not for Use in Diagnostic Procedures.

Applications:
IHC-P, IF-F

Reactivity:
M

Sensitivity:
Endogenous

Source/Isotype:
Rabbit IgG

UniProt ID:
#E9PWB6

Entrez-Gene Id:
17833

Product Usage Information

Application Dilution
Immunohistochemistry (Paraffin) 1:125 - 1:500
Immunofluorescence (Frozen) 1:100 - 1:400

Storage

Supplied in 10 mM sodium HEPES (pH 7.5), 150 mM NaCl, 100 µg/mL BSA, 50% glycerol, and less than 0.02% sodium azide. Store at –20°C. Do not aliquot the antibody.

For a carrier free (BSA and azide free) version of this product see product #57834.

Specificity/Sensitivity

MUC5AC (E9V1O) Rabbit Monoclonal Antibody recognizes endogenous levels of total MUC5AC protein.

Source / Purification

Monoclonal antibody is produced by immunizing animals with a synthetic peptide corresponding to residues surrounding Cys317 of murine MUC5AC protein.

Background

Mucins are a family of macromolecules that line and protect the respiratory epithelium from microbes and pollutants in the local environment. Of the family members that are known to date, some are produced in a cell type and tissue-specific manner, suggesting distinct biological roles for members. Some members polymerize after secretion to form gel-like substances that coat the epithelial layer. MUC5AC and MUC5B are members of the family that polymerize in this manner. Others do not polymerize, and others yet, have a transmembrane domain and remain physically attached to the epithelia (1). While it is known that mucins are protective to the respiratory epithelium, it has been reported that changes in expression of mucins are associated with several forms of lung disease such as cystic fibrosis, COPD, asthma, pulmonary fibrosis, and others (1-4). Multiple epithelial malignancies have been described to show changes in expression, localization, and glycosylation of MUC5AC. This wide association with multiple malignancy types has led to the emergence of MUC5AC as both a prognostic and therapeutic target for cancer (5).

Species Reactivity

Species reactivity is determined by testing in at least one approved application (e.g., western blot).

Applications Key

IHC-P: Immunohistochemistry (Paraffin) IF-F: Immunofluorescence (Frozen)

Cross-Reactivity Key

M: Mouse

Trademarks and Patents

Cell Signaling Technology is a trademark of Cell Signaling Technology, Inc.

Alexa Fluor is a registered trademark of Life Technologies Corporation.

All other trademarks are the property of their respective owners. Visit cellsignal.com/trademarks for more information.

Limited Uses

Except as otherwise expressly agreed in a writing signed by a legally authorized representative of CST, the following terms apply to Products provided by CST, its affiliates or its distributors. Any Customer's terms and conditions that are in addition to, or different from, those contained herein, unless separately accepted in writing by a legally authorized representative of CST, are rejected and are of no force or effect.

Products are labeled with For Research Use Only or a similar labeling statement and have not been approved, cleared, or licensed by the FDA or other regulatory foreign or domestic entity, for any purpose. Customer shall not use any Product for any diagnostic or therapeutic purpose, or otherwise in any manner that conflicts with its labeling statement. Products sold or licensed by CST are provided for Customer as the end-user and solely for research and development uses. Any use of Product for diagnostic, prophylactic or therapeutic purposes, or any purchase of Product for resale (alone or as a component) or other commercial purpose, requires a separate license from CST. Customer shall (a) not sell, license, loan, donate or otherwise transfer or make available any Product to any third party, whether alone or in combination with other materials, or use the Products to manufacture any commercial products, (b) not copy, modify, reverse engineer, decompile, disassemble or otherwise attempt to discover the underlying structure or technology of the Products, or use the Products for the purpose of developing any products or services that would compete with CST products or services, (c) not alter or remove from the Products any trademarks, trade names, logos, patent or copyright notices or markings, (d) use the Products solely in accordance with CST Product Terms of Sale and any applicable documentation, and (e) comply with any license, terms of service or similar agreement with respect to any third party products or services used by Customer in connection with the Products.

Orders: 877-616-CELL (2355) [email protected] Support: 877-678-TECH (8324) [email protected] Web: cellsignal.com
For Research Use Only. Not for Use in Diagnostic Procedures.

Revision 4

Cell Signaling Technology Logo
Immunohistochemical analysis of paraffin-embedded mouse stomach using MUC5AC (E9V1O) XP® Rabbit mAb.
Immunohistochemistry Image 1: MUC5AC (E9V1O) Rabbit Monoclonal Antibody
Immunohistochemical analysis of various paraffin-embedded mouse tissues: stomach (left-top), colon (middle-top), liver (right-top), lung (left-bottom), testis (middle-bottom), and thymus (right-bottom) using MUC5AC (E9V1O) XP® Rabbit mAb. Note stomach-specific signal reflecting restricted expression of MUC5AC.
Immunohistochemistry Image 2: MUC5AC (E9V1O) Rabbit Monoclonal Antibody

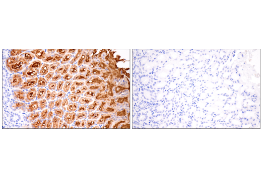
Immunohistochemical analysis of paraffin-embedded mouse stomach (left) or Renca syngeneic tumor (right) using MUC5AC (E9V1O) XP® Rabbit mAb.

Immunohistochemistry Image 3: MUC5AC (E9V1O) Rabbit Monoclonal Antibody
Orders: 877-616-CELL (2355) [email protected] Support: 877-678-TECH (8324) [email protected] Web: cellsignal.com
For Research Use Only. Not for Use in Diagnostic Procedures.

Revision 4

Cell Signaling Technology Logo
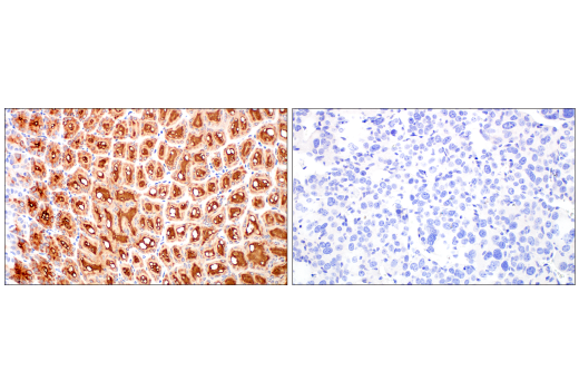
Immunohistochemical analysis of paraffin-embedded mouse stomach using MUC5AC (E9V1O) XP® Rabbit mAb (left) compared to concentration-matched Rabbit (DA1E) mAb IgG XP® Isotype Control #3900 (right). 
Immunohistochemistry Image 4: MUC5AC (E9V1O) Rabbit Monoclonal Antibody
Confocal immunofluorescent analysis of the surface mucous epithelium in fixed frozen mouse stomach labeled with MUC5AC (E9V1O) XP® Rabbit mAb (left, green). Free secondary binding sites were then blocked with Rabbit (DA1E) mAb IgG XP® Isotype Control #3900 prior to co-labeling with Ras (E4K9L) Rabbit mAb (Alexa Fluor® 647 Conjugate) #37182 (right, red) and DAPI #4083 (right, blue).
Immunofluorescence Image 1: MUC5AC (E9V1O) Rabbit Monoclonal Antibody
Confocal immunofluorescent analysis of fixed frozen mouse stomach labeled with MUC5AC (E9V1O) XP® Rabbit mAb (left, green). Free secondary binding sites were then blocked with Rabbit (DA1E) mAb IgG XP® Isotype Control #3900 prior to co-labeling with Ras (E4K9L) Rabbit mAb (Alexa Fluor® 647 Conjugate) #37182 (right, red) and DAPI #4083 (right, blue).
Immunofluorescence Image 2: MUC5AC (E9V1O) Rabbit Monoclonal Antibody
Orders: 877-616-CELL (2355) [email protected] Support: 877-678-TECH (8324) [email protected] Web: cellsignal.com
For Research Use Only. Not for Use in Diagnostic Procedures.