Revision 5

#37849

Store at -20C

CST Logo
Orders:

877-616-CELL (2355)

[email protected]

Support:

877-678-TECH (8324)

3 Trask Lane | Danvers | Massachusetts | 01923 | USA

For Research Use Only. Not for Use in Diagnostic Procedures.

Applications:
W, IP, IHC-Bond, IHC-P

Reactivity:
H

Sensitivity:
Endogenous

MW (kDa):
76

Source/Isotype:
Rabbit IgG

UniProt ID:
#P20591

Entrez-Gene Id:
4599

Product Usage Information

Application Dilution
Western Blotting 1:1000
Immunoprecipitation 1:50
IHC Leica Bond 1:100 - 1:400
Immunohistochemistry (Paraffin) 1:100 - 1:400

Storage

Supplied in 10 mM sodium HEPES (pH 7.5), 150 mM NaCl, 100 µg/ml BSA, 50% glycerol and less than 0.02% sodium azide. Store at –20°C. Do not aliquot the antibody.

For a carrier free (BSA and azide free) version of this product see product #62815.

Specificity/Sensitivity

MX1 (D3W7I) Rabbit Monoclonal Antibody recognizes endogenous levels of total MX1 protein.

Source / Purification

Monoclonal antibody is produced by immunizing animals with a synthetic peptide corresponding to residues surrounding Leu292 of human MX1 protein.

Background

MX1 (Myxovirus resistance protein 1/MxA) is an interferon-inducible antiviral protein that confers resistance to RNA viruses (1-4). MX1 has GTPase activity, and GTP-bound MX1 adopts a conformation that enables interaction with viral nucleocapsids (5-7). This interaction blocks transport of viral nucleocapsids to the nucleus, which prevents transcription of the viral genome (7,8). Structural studies suggest that the antiviral activity of MX1 involves the formation of MX1 oligomeric rings around viral nucleocapsids (9-12).

Species Reactivity

Species reactivity is determined by testing in at least one approved application (e.g., western blot).

Western Blot Buffer

IMPORTANT: For western blots, incubate membrane with diluted primary antibody in 5% w/v BSA, 1X TBS, 0.1% Tween® 20 at 4°C with gentle shaking, overnight.

Applications Key

W: Western Blotting IP: Immunoprecipitation IHC-Bond: IHC Leica Bond IHC-P: Immunohistochemistry (Paraffin)

Cross-Reactivity Key

H: Human

Trademarks and Patents

Cell Signaling Technology is a trademark of Cell Signaling Technology, Inc.

All other trademarks are the property of their respective owners. Visit cellsignal.com/trademarks for more information.

Limited Uses

Except as otherwise expressly agreed in a writing signed by a legally authorized representative of CST, the following terms apply to Products provided by CST, its affiliates or its distributors. Any Customer's terms and conditions that are in addition to, or different from, those contained herein, unless separately accepted in writing by a legally authorized representative of CST, are rejected and are of no force or effect.

Products are labeled with For Research Use Only or a similar labeling statement and have not been approved, cleared, or licensed by the FDA or other regulatory foreign or domestic entity, for any purpose. Customer shall not use any Product for any diagnostic or therapeutic purpose, or otherwise in any manner that conflicts with its labeling statement. Products sold or licensed by CST are provided for Customer as the end-user and solely for research and development uses. Any use of Product for diagnostic, prophylactic or therapeutic purposes, or any purchase of Product for resale (alone or as a component) or other commercial purpose, requires a separate license from CST. Customer shall (a) not sell, license, loan, donate or otherwise transfer or make available any Product to any third party, whether alone or in combination with other materials, or use the Products to manufacture any commercial products, (b) not copy, modify, reverse engineer, decompile, disassemble or otherwise attempt to discover the underlying structure or technology of the Products, or use the Products for the purpose of developing any products or services that would compete with CST products or services, (c) not alter or remove from the Products any trademarks, trade names, logos, patent or copyright notices or markings, (d) use the Products solely in accordance with CST Product Terms of Sale and any applicable documentation, and (e) comply with any license, terms of service or similar agreement with respect to any third party products or services used by Customer in connection with the Products.

Orders: 877-616-CELL (2355) [email protected] Support: 877-678-TECH (8324) [email protected] Web: cellsignal.com
For Research Use Only. Not for Use in Diagnostic Procedures.

Revision 5

Cell Signaling Technology Logo
Western blot analysis of extracts from HeLa cells, untreated (-) or treated with Human Interferon-α1 (hIFN-α1) #8927 (10 ng/ml, 16 hr; +), using MX1 (D3W7I) Rabbit mAb (upper) and β-Actin (D6A8) Rabbit mAb #8457 (lower).
Western Blotting Image 1: MX1 (D3W7I) Rabbit Monoclonal Antibody
Immunoprecipitation of MX1 from extracts of HeLa cells treated with Human Interferon-α1 #8927 (10 ng/ml, 16 hr). Lane 1 is 10% input, lane 2 is Rabbit (DA1E) mAb IgG XP® Isotype Control #3900, and lane 3 is MX1 (D3W7I) Rabbit mAb. Western blot analysis was performed using MX1 (D3W7I) Rabbit mAb.
Immunoprecipitation Image 1: MX1 (D3W7I) Rabbit Monoclonal Antibody
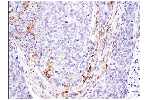
Immunohistochemical analysis of paraffin-embedded human ductal carcinoma of the breast using MX1 (D3W7I) Rabbit mAb performed on the Leica® Bond™ Rx.
Immunohistochemistry Image 1: MX1 (D3W7I) Rabbit Monoclonal Antibody
Orders: 877-616-CELL (2355) [email protected] Support: 877-678-TECH (8324) [email protected] Web: cellsignal.com
For Research Use Only. Not for Use in Diagnostic Procedures.

Revision 5

Cell Signaling Technology Logo
Immunohistochemical analysis of paraffin-embedded T84 (left, positive) and HCT116 (right, negative) cell pellets using MX1 (D3W7I) Rabbit mAb.
Immunohistochemistry Image 1: MX1 (D3W7I) Rabbit Monoclonal Antibody
Immunohistochemical analysis of paraffin-embedded HeLa cell pellets, untreated (left) or treated with Human Interferon-alpha1 (hIFN-alpha1) #8927 (right) using MX1 (D3W7I) Rabbit mAb.
Immunohistochemistry Image 2: MX1 (D3W7I) Rabbit Monoclonal Antibody
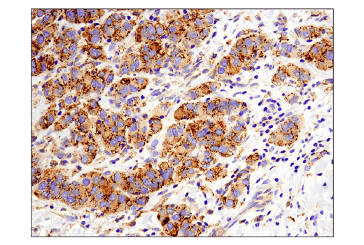
Immunohistochemical analysis of paraffin-embedded human non-small cell lung carcinoma using MX1 (D3W7I) Rabbit mAb.
Immunohistochemistry Image 3: MX1 (D3W7I) Rabbit Monoclonal Antibody
Orders: 877-616-CELL (2355) [email protected] Support: 877-678-TECH (8324) [email protected] Web: cellsignal.com
For Research Use Only. Not for Use in Diagnostic Procedures.

Revision 5

Cell Signaling Technology Logo
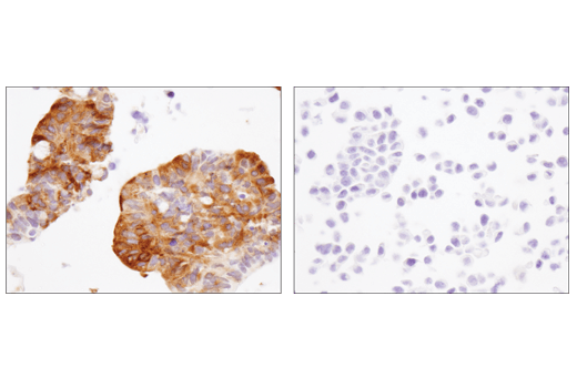
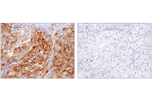
Immunohistochemical analysis of paraffin-embedded human endometrioid adenocarcinoma using MX1 (D3W7I) Rabbit mAb in the presence of control peptide (left) or antigen-specific peptide (right).
Immunohistochemistry Image 4: MX1 (D3W7I) Rabbit Monoclonal Antibody
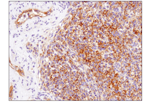
Immunohistochemical analysis of paraffin-embedded normal human spleen using MX1 (D3W7I) Rabbit mAb.
Immunohistochemistry Image 5: MX1 (D3W7I) Rabbit Monoclonal Antibody
Orders: 877-616-CELL (2355) [email protected] Support: 877-678-TECH (8324) [email protected] Web: cellsignal.com
For Research Use Only. Not for Use in Diagnostic Procedures.