Revision 1

#3403

Store at -20C

CST Logo
Orders:

877-616-CELL (2355)

[email protected]

Support:

877-678-TECH (8324)

3 Trask Lane | Danvers | Massachusetts | 01923 | USA

For Research Use Only. Not for Use in Diagnostic Procedures.

Applications:
W, IF-IC

Reactivity:
H M R

Sensitivity:
Endogenous

MW (kDa):
230

Source/Isotype:
Rabbit

UniProt ID:
#P35579

Entrez-Gene Id:
4627

Product Usage Information

Application Dilution
Western Blotting 1:1000
Immunofluorescence (Immunocytochemistry) 1:50

Storage

Supplied in 10 mM sodium HEPES (pH 7.5), 150 mM NaCl, 100 µg/ml BSA and 50% glycerol. Store at –20°C. Do not aliquot the antibody.

Specificity/Sensitivity

Myosin IIa Antibody detects endogenous levels of total myosin IIa protein. This antibody does not cross-react with the nonmuscle heavy chains of myosin IIb or IIc.

Source / Purification

Polyclonal antibodies are produced by immunizing animals with a synthetic peptide corresponding to the carboxy terminus of mouse myosin IIa.

Background

Nonmuscle myosin is an actin-based motor protein essential to cell motility, cell division, migration, adhesion, and polarity. The holoenzyme consists of two identical heavy chains and two sets of light chains. The light chains (MLCs) regulate myosin II activity and stability. The heavy chains (NMHCs) are encoded by three genes, MYH9, MYH10, and MYH14, which generate three different nonmuscle myosin II isoforms, IIa, IIb, and IIc, respectively (reviewed in 1). While all three isoforms perform the same enzymatic tasks, binding to and contracting actin filaments coupled to ATP hydrolysis, their cellular functions do not appear to be redundant and they have different subcellular distributions (2-5). The carboxy-terminal tail domain of myosin II is important in isoform-specific subcellular localization (6). Research studies have shown that phosphorylation of myosin IIa at Ser1943 contributes to the regulation of breast cancer cell migration (7).

Species Reactivity

Species reactivity is determined by testing in at least one approved application (e.g., western blot).

Western Blot Buffer

IMPORTANT: For western blots, incubate membrane with diluted primary antibody in 5% w/v BSA, 1X TBS, 0.1% Tween® 20 at 4°C with gentle shaking, overnight.

Applications Key

W: Western Blotting IF-IC: Immunofluorescence (Immunocytochemistry)

Cross-Reactivity Key

H: Human M: Mouse R: Rat

Trademarks and Patents

Cell Signaling Technology is a trademark of Cell Signaling Technology, Inc.

All other trademarks are the property of their respective owners. Visit cellsignal.com/trademarks for more information.

Limited Uses

Except as otherwise expressly agreed in a writing signed by a legally authorized representative of CST, the following terms apply to Products provided by CST, its affiliates or its distributors. Any Customer's terms and conditions that are in addition to, or different from, those contained herein, unless separately accepted in writing by a legally authorized representative of CST, are rejected and are of no force or effect.

Products are labeled with For Research Use Only or a similar labeling statement and have not been approved, cleared, or licensed by the FDA or other regulatory foreign or domestic entity, for any purpose. Customer shall not use any Product for any diagnostic or therapeutic purpose, or otherwise in any manner that conflicts with its labeling statement. Products sold or licensed by CST are provided for Customer as the end-user and solely for research and development uses. Any use of Product for diagnostic, prophylactic or therapeutic purposes, or any purchase of Product for resale (alone or as a component) or other commercial purpose, requires a separate license from CST. Customer shall (a) not sell, license, loan, donate or otherwise transfer or make available any Product to any third party, whether alone or in combination with other materials, or use the Products to manufacture any commercial products, (b) not copy, modify, reverse engineer, decompile, disassemble or otherwise attempt to discover the underlying structure or technology of the Products, or use the Products for the purpose of developing any products or services that would compete with CST products or services, (c) not alter or remove from the Products any trademarks, trade names, logos, patent or copyright notices or markings, (d) use the Products solely in accordance with CST Product Terms of Sale and any applicable documentation, and (e) comply with any license, terms of service or similar agreement with respect to any third party products or services used by Customer in connection with the Products.

Orders: 877-616-CELL (2355) [email protected] Support: 877-678-TECH (8324) [email protected] Web: cellsignal.com
For Research Use Only. Not for Use in Diagnostic Procedures.

Revision 1

Cell Signaling Technology Logo
Western blot analysis of extracts from various cell types using Myosin IIa Antibody.
Western Blotting Image 1: Myosin IIa Antibody
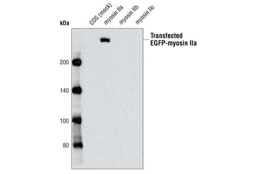
Western blot analysis of extracts from COS cells, mock transfected or transfected with nonmuscle EGFP-myosin IIa, IIb or IIc, using Myosin IIa Antibody.
Western Blotting Image 2: Myosin IIa Antibody
Confocal immunofluorescent analysis of HeLa cells using Myosin IIa Antibody (green) showing colocalization with actin filaments that have been labeled with DY-554 phalloidin (red). Blue pseudocolor = DRAQ5™ (fluorescent DNA dye).
Immunofluorescence Image 1: Myosin IIa Antibody
Orders: 877-616-CELL (2355) [email protected] Support: 877-678-TECH (8324) [email protected] Web: cellsignal.com
For Research Use Only. Not for Use in Diagnostic Procedures.