Revision 1

#24817

Store at -20C

CST Logo
Orders:

877-616-CELL (2355)

[email protected]

Support:

877-678-TECH (8324)

3 Trask Lane | Danvers | Massachusetts | 01923 | USA

For Research Use Only. Not for Use in Diagnostic Procedures.

Applications:
W, IHC-P, IF-IC

Reactivity:
H Mk Dg

Sensitivity:
Endogenous

MW (kDa):
140

Source/Isotype:
Rabbit IgG

UniProt ID:
#O14974

Entrez-Gene Id:
4659

Product Usage Information

This product is the carrier free version of product #8574. All data were generated using the same antibody clone in the standard formulation which contains BSA and glycerol.

This formulation is ideal for use with technologies requiring specialized or custom antibody labeling, including fluorophores, metals, lanthanides, and oligonucleotides. It is not recommended for ChIP, ChIP-seq, CUT&RUN or CUT&Tag assays. If you require a carrier free formulation for chromatin profiling, please contact us. Optimal dilutions/concentrations should be determined by the end user.

BSA and Azide Free antibodies are quality control tested by size exclusion chromatography (SEC) to determine antibody integrity.

Formulation

Supplied in 1X PBS (10 mM Na2HPO4, 3 mM KCl, 2 mM KH2PO4, and 140 mM NaCl (pH 7.8)). BSA and Azide Free.

For standard formulation of this product see product #8574

Storage

Store at -20°C. This product will freeze at -20°C so it is recommended to aliquot into single-use vials to avoid multiple freeze/thaw cycles. A slight precipitate may be present and can be dissolved by gently vortexing. This will not interfere with antibody performance.

Specificity/Sensitivity

MYPT1 (D6C1) Rabbit Monoclonal Antibody (BSA and Azide Free) recognizes endogenous levels of total MYPT1 protein.

Source / Purification

Monoclonal antibody is produced by immunizing animals with a synthetic peptide corresponding to residues near the carboxy terminus of human MYPT1 protein.

Background

Protein phosphatase 1 (PP1) is a ubiquitous eukaryotic protein serine/threonine phosphatase involved in the regulation of various cell functions. Substrate specificity is determined by the binding of a regulatory subunit to the PP1 catalytic subunit (PP1c). It is estimated that over fifty different regulatory subunits exist (1).
The myosin phosphatase holoenzyme is composed of three subunits: PP1c, a targeting/regulatory subunit (MYPT/myosin-binding subunit of myosin phosphatase), and a 20 kDa subunit of unknown function (M20). MYPT binding to PP1cδ alters the conformation of the catalytic cleft and increases enzyme activity and specificity (2). Two MYPT isoforms that are 61% identical have been described. MYPT1 is widely expressed, while MYPT2 expression appears to be exclusive to heart and brain (3). Related family members include MBS85, MYPT3, and TIMAP (4).
Myosin phosphatase regulates the interaction of actin and myosin in response to signaling through the small GTPase Rho. Rho activity inhibits myosin phosphatase via Rho-associated kinase (ROCK). Phosphorylation of MYPT1 at Thr696 and Thr853 results in phosphatase inhibition and cytoskeletal reorganization (5,6).

Species Reactivity

Species reactivity is determined by testing in at least one approved application (e.g., western blot).

Applications Key

W: Western Blotting IHC-P: Immunohistochemistry (Paraffin) IF-IC: Immunofluorescence (Immunocytochemistry)

Cross-Reactivity Key

H: Human Mk: Monkey Dg: Dog

Trademarks and Patents

Cell Signaling Technology is a trademark of Cell Signaling Technology, Inc.

All other trademarks are the property of their respective owners. Visit cellsignal.com/trademarks for more information.

Limited Uses

Except as otherwise expressly agreed in a writing signed by a legally authorized representative of CST, the following terms apply to Products provided by CST, its affiliates or its distributors. Any Customer's terms and conditions that are in addition to, or different from, those contained herein, unless separately accepted in writing by a legally authorized representative of CST, are rejected and are of no force or effect.

Products are labeled with For Research Use Only or a similar labeling statement and have not been approved, cleared, or licensed by the FDA or other regulatory foreign or domestic entity, for any purpose. Customer shall not use any Product for any diagnostic or therapeutic purpose, or otherwise in any manner that conflicts with its labeling statement. Products sold or licensed by CST are provided for Customer as the end-user and solely for research and development uses. Any use of Product for diagnostic, prophylactic or therapeutic purposes, or any purchase of Product for resale (alone or as a component) or other commercial purpose, requires a separate license from CST. Customer shall (a) not sell, license, loan, donate or otherwise transfer or make available any Product to any third party, whether alone or in combination with other materials, or use the Products to manufacture any commercial products, (b) not copy, modify, reverse engineer, decompile, disassemble or otherwise attempt to discover the underlying structure or technology of the Products, or use the Products for the purpose of developing any products or services that would compete with CST products or services, (c) not alter or remove from the Products any trademarks, trade names, logos, patent or copyright notices or markings, (d) use the Products solely in accordance with CST Product Terms of Sale and any applicable documentation, and (e) comply with any license, terms of service or similar agreement with respect to any third party products or services used by Customer in connection with the Products.

Orders: 877-616-CELL (2355) [email protected] Support: 877-678-TECH (8324) [email protected] Web: cellsignal.com
For Research Use Only. Not for Use in Diagnostic Procedures.

Revision 1

Cell Signaling Technology Logo
Western blot analysis of extracts from various cell lines using MYPT1 (D6C1) Rabbit mAb. Data were generated using the standard formulation of this product.
Western Blotting Image 1: MYPT1 (D6C1) Rabbit Monoclonal Antibody (BSA and Azide Free)
Immunohistochemical analysis of paraffin-embedded human colon carcinoma (left), hepatocellular carcinoma (middle) or gastric carcinoma (right) using MYPT1 (D6C1) Rabbit mAb (top) or MYPT1 Antibody (bottom). These two antibodies detect unique, non-overlapping epitopes on human MYPT1. The similar staining patterns obtained with both antibodies help to confirm the specificity of the staining.  Data were generated using the standard formulation of this product.
Immunohistochemistry Image 1: MYPT1 (D6C1) Rabbit Monoclonal Antibody (BSA and Azide Free)
Immunohistochemical analysis of paraffin-embedded normal human breast using MYPT1 (D6C1) Rabbit mAb. Data were generated using the standard formulation of this product.
Immunohistochemistry Image 2: MYPT1 (D6C1) Rabbit Monoclonal Antibody (BSA and Azide Free)
Orders: 877-616-CELL (2355) [email protected] Support: 877-678-TECH (8324) [email protected] Web: cellsignal.com
For Research Use Only. Not for Use in Diagnostic Procedures.

Revision 1

Cell Signaling Technology Logo
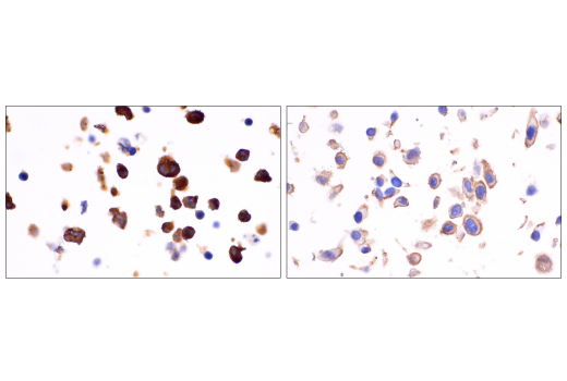
Immunohistochemical analysis of paraffin-embedded KMS-11 cell pellet (left, high-expressing) or SK-MEL-28 cell pellet (right, low-expressing) using MYPT1 (D6C1) Rabbit mAb. Data were generated using the standard formulation of this product.
Immunohistochemistry Image 3: MYPT1 (D6C1) Rabbit Monoclonal Antibody (BSA and Azide Free)
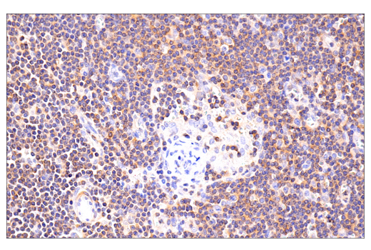
Immunohistochemical analysis of paraffin-embedded normal human lymph node using MYPT1 (D6C1) Rabbit mAb. Data were generated using the standard formulation of this product.
Immunohistochemistry Image 4: MYPT1 (D6C1) Rabbit Monoclonal Antibody (BSA and Azide Free)
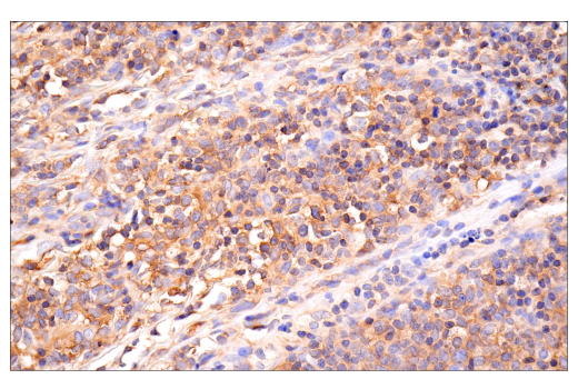
Immunohistochemical analysis of paraffin-embedded human B-cell non-Hodgkin lymphoma using MYPT1 (D6C1) Rabbit mAb. Data were generated using the standard formulation of this product.
Immunohistochemistry Image 5: MYPT1 (D6C1) Rabbit Monoclonal Antibody (BSA and Azide Free)
Orders: 877-616-CELL (2355) [email protected] Support: 877-678-TECH (8324) [email protected] Web: cellsignal.com
For Research Use Only. Not for Use in Diagnostic Procedures.

Revision 1

Cell Signaling Technology Logo
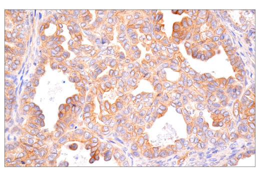
Immunohistochemical analysis of paraffin-embedded human ovarian clear cell carcinoma using MYPT1 (D6C1) Rabbit mAb. Data were generated using the standard formulation of this product.
Immunohistochemistry Image 6: MYPT1 (D6C1) Rabbit Monoclonal Antibody (BSA and Azide Free)
Immunohistochemical analysis of paraffin-embedded normal human prostate using MYPT1 (D6C1) Rabbit mAb. Data were generated using the standard formulation of this product.
Immunohistochemistry Image 7: MYPT1 (D6C1) Rabbit Monoclonal Antibody (BSA and Azide Free)
Immunohistochemical analysis of paraffin-embedded normal human spleen using MYPT1 (D6C1) Rabbit mAb. Data were generated using the standard formulation of this product.
Immunohistochemistry Image 8: MYPT1 (D6C1) Rabbit Monoclonal Antibody (BSA and Azide Free)
Orders: 877-616-CELL (2355) [email protected] Support: 877-678-TECH (8324) [email protected] Web: cellsignal.com
For Research Use Only. Not for Use in Diagnostic Procedures.

Revision 1

Cell Signaling Technology Logo
Confocal immunofluorescent analysis of Hep G2 cells using MYPT1 (D6C1) Rabbit mAb (green). Actin filaments were labeled with DY-554 phalloidin (red). Blue pseudocolor = DRAQ5® #4084 (fluorescent DNA dye). Data were generated using the standard formulation of this product.
Immunofluorescence Image 1: MYPT1 (D6C1) Rabbit Monoclonal Antibody (BSA and Azide Free)
Orders: 877-616-CELL (2355) [email protected] Support: 877-678-TECH (8324) [email protected] Web: cellsignal.com
For Research Use Only. Not for Use in Diagnostic Procedures.