Revision 1

#4282

Store at -20C

CST Logo
Orders:

877-616-CELL (2355)

[email protected]

Support:

877-678-TECH (8324)

3 Trask Lane | Danvers | Massachusetts | 01923 | USA

For Research Use Only. Not for Use in Diagnostic Procedures.

Applications:
W, IHC-P

Reactivity:
H M R

Sensitivity:
Endogenous

MW (kDa):
60 to 70

Source/Isotype:
Rabbit

UniProt ID:
#Q99640

Entrez-Gene Id:
9088

Product Usage Information

Application Dilution
Western Blotting 1:1000
Immunohistochemistry (Paraffin) 1:50

Storage

Supplied in 10 mM sodium HEPES (pH 7.5), 150 mM NaCl, 100 µg/ml BSA and 50% glycerol. Store at –20°C. Do not aliquot the antibody.

Specificity/Sensitivity

Myt1 Antibody detects endogenous levels of total Myt1 protein.

Species predicted to react based on 100% sequence homology

Xenopus

Source / Purification

Polyclonal antibodies are produced by immunizing animals with a synthetic peptide corresponding to residues near the middle of mouse and human Myt1. Antibodies are purified by protein A and peptide affinity chromatography.

Background

Entry of all eukaryotic cells into mitosis is regulated by activation of cdc2 kinase. The critical regulatory step in activating cdc2 during progression into mitosis appears to be dephosphorylation of Tyr15 and Thr14 (1,2). Phosphorylation at Tyr15 and Thr14 and inhibition of cdc2 is carried out by Wee1 and Myt1 protein kinases, while Tyr15 dephosphorylation and activation of cdc2 is carried out by the cdc25 phosphatase (1,3,4). Hyperphosphorylation and inactivation of Myt1 in mitosis suggests that one or more kinases activated at the G2/M transition negatively regulates Myt1 activity. Kinases shown to phosphorylate Myt1 include cdc2, p90RSK, Akt, and Plk1 (5-7).

Species Reactivity

Species reactivity is determined by testing in at least one approved application (e.g., western blot).

Western Blot Buffer

IMPORTANT: For western blots, incubate membrane with diluted primary antibody in 5% w/v BSA, 1X TBS, 0.1% Tween® 20 at 4°C with gentle shaking, overnight.

Applications Key

W: Western Blotting IHC-P: Immunohistochemistry (Paraffin)

Cross-Reactivity Key

H: Human M: Mouse R: Rat

Trademarks and Patents

Cell Signaling Technology is a trademark of Cell Signaling Technology, Inc.

All other trademarks are the property of their respective owners. Visit cellsignal.com/trademarks for more information.

Limited Uses

Except as otherwise expressly agreed in a writing signed by a legally authorized representative of CST, the following terms apply to Products provided by CST, its affiliates or its distributors. Any Customer's terms and conditions that are in addition to, or different from, those contained herein, unless separately accepted in writing by a legally authorized representative of CST, are rejected and are of no force or effect.

Products are labeled with For Research Use Only or a similar labeling statement and have not been approved, cleared, or licensed by the FDA or other regulatory foreign or domestic entity, for any purpose. Customer shall not use any Product for any diagnostic or therapeutic purpose, or otherwise in any manner that conflicts with its labeling statement. Products sold or licensed by CST are provided for Customer as the end-user and solely for research and development uses. Any use of Product for diagnostic, prophylactic or therapeutic purposes, or any purchase of Product for resale (alone or as a component) or other commercial purpose, requires a separate license from CST. Customer shall (a) not sell, license, loan, donate or otherwise transfer or make available any Product to any third party, whether alone or in combination with other materials, or use the Products to manufacture any commercial products, (b) not copy, modify, reverse engineer, decompile, disassemble or otherwise attempt to discover the underlying structure or technology of the Products, or use the Products for the purpose of developing any products or services that would compete with CST products or services, (c) not alter or remove from the Products any trademarks, trade names, logos, patent or copyright notices or markings, (d) use the Products solely in accordance with CST Product Terms of Sale and any applicable documentation, and (e) comply with any license, terms of service or similar agreement with respect to any third party products or services used by Customer in connection with the Products.

Orders: 877-616-CELL (2355) [email protected] Support: 877-678-TECH (8324) [email protected] Web: cellsignal.com
For Research Use Only. Not for Use in Diagnostic Procedures.

Revision 1

Cell Signaling Technology Logo
Western blot analysis of extracts from HT29 cells, untreated (lane 1), nocodazole-treated (50 ng/ml, lane 2), or UV-treated (lane 3), using Myt1 Antibody.
Western Blotting Image 1: Myt1 Antibody
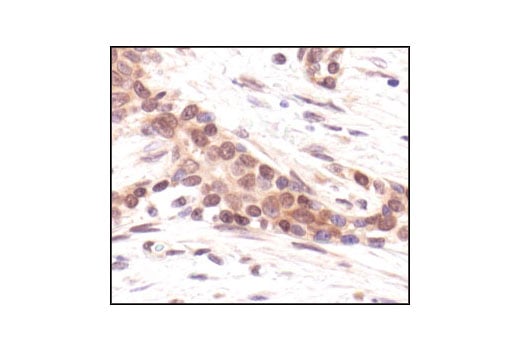
Immunohistochemical analysis of paraffin-embedded human breast carcinoma, showing nuclear and cytoplasmic localization using Myt1 Antibody.
Immunohistochemistry Image 1: Myt1 Antibody
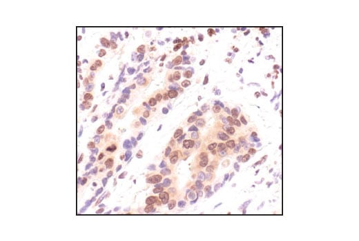
Immunohistochemical analysis of paraffin-embedded human colon carcinoma, using Myt1 Antibody.
Immunohistochemistry Image 2: Myt1 Antibody
Orders: 877-616-CELL (2355) [email protected] Support: 877-678-TECH (8324) [email protected] Web: cellsignal.com
For Research Use Only. Not for Use in Diagnostic Procedures.

Revision 1

Cell Signaling Technology Logo
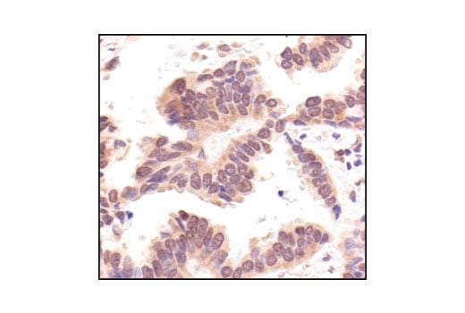
Immunohistochemical analysis of paraffin-embedded human lung carcinoma, using Myt1 Antibody.
Immunohistochemistry Image 3: Myt1 Antibody
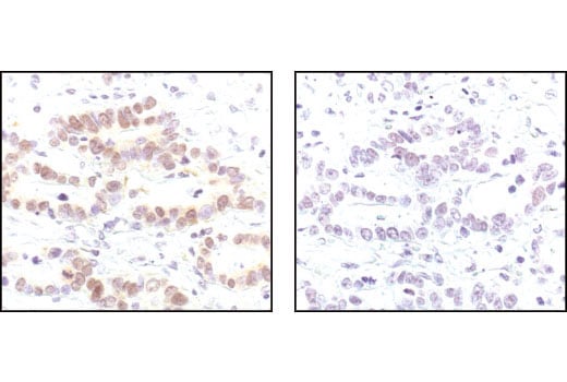
Immunohistochemical analysis of paraffin-embedded human colon carcinoma, using Myt1 Antibody in the presence of control peptide (left) or antigen specific peptide (right).
Immunohistochemistry Image 4: Myt1 Antibody
Orders: 877-616-CELL (2355) [email protected] Support: 877-678-TECH (8324) [email protected] Web: cellsignal.com
For Research Use Only. Not for Use in Diagnostic Procedures.