Revision 5

#23565

Store at -20C

CST Logo
Orders:

877-616-CELL (2355)

[email protected]

Support:

877-678-TECH (8324)

3 Trask Lane | Danvers | Massachusetts | 01923 | USA

For Research Use Only. Not for Use in Diagnostic Procedures.

Applications:
W, IHC-P, IF-IC

Reactivity:
H Mk

Sensitivity:
Endogenous

MW (kDa):
100

Source/Isotype:
Rabbit IgG

UniProt ID:
#P05023

Entrez-Gene Id:
476

Product Usage Information

Application Dilution
Western Blotting 1:1000
Immunohistochemistry (Paraffin) 1:250
Immunofluorescence (Immunocytochemistry) 1:100

Storage

Supplied in 10 mM sodium HEPES (pH 7.5), 150 mM NaCl, 100 µg/ml BSA, 50% glycerol and less than 0.02% sodium azide. Store at –20°C. Do not aliquot the antibody.

For a carrier free (BSA and azide free) version of this product see product #99935.

Specificity/Sensitivity

Na,K-ATPase alpha1 (D4Y7E) Rabbit Monoclonal Antibody recognizes endogenous levels of total Na,K-ATPase α1 protein.

Source / Purification

Monoclonal antibody is produced by immunizing animals with a synthetic peptide corresponding to residues surrounding Pro12 of human Na,K-ATPase α1 protein.

Background

The Na,K-ATPase is an integral membrane heterodimer belonging to the P-type ATPase family. This ion channel uses the energy derived from ATP hydrolysis to maintain membrane potential by driving sodium export and potassium import across the plasma membrane against their electrochemical gradients. It is composed of a catalytic α subunit and a β subunit (reviewed in 1). Several phosphorylation sites have been identified for the α1 subunit. Tyr10 is phosphorylated by an as yet undetermined kinase (2), Ser16 and Ser23 are phosphorylated by PKC, and Ser943 is phosphorylated by PKA (3-5). All of these sites have been implicated in the regulation of enzyme activity in response to hormones and neurotransmitters, altering trafficking and kinetic properties of Na,K-ATPase. Altered phosphorylation in response to angiotensin II stimulates activity in the rat proximal tubule (6). Na,K-ATPase is also involved in other signal transduction pathways. Insulin regulates its localization in differentiated primary human skeletal muscle cells, and this regulation is dependent on ERK1/2 phosphorylation of the α subunit (7). Na,K-ATPase and Src form a signaling receptor complex that affects regulation of Src kinase activity and, subsequently, its downstream effectors (8,9).

Species Reactivity

Species reactivity is determined by testing in at least one approved application (e.g., western blot).

Western Blot Buffer

IMPORTANT: For western blots, incubate membrane with diluted primary antibody in 5% w/v BSA, 1X TBS, 0.1% Tween® 20 at 4°C with gentle shaking, overnight.

Applications Key

W: Western Blotting IHC-P: Immunohistochemistry (Paraffin) IF-IC: Immunofluorescence (Immunocytochemistry)

Cross-Reactivity Key

H: Human Mk: Monkey

Trademarks and Patents

Cell Signaling Technology is a trademark of Cell Signaling Technology, Inc.

SignalStain is a registered trademark of Cell Signaling Technology, Inc.

All other trademarks are the property of their respective owners. Visit cellsignal.com/trademarks for more information.

Limited Uses

Except as otherwise expressly agreed in a writing signed by a legally authorized representative of CST, the following terms apply to Products provided by CST, its affiliates or its distributors. Any Customer's terms and conditions that are in addition to, or different from, those contained herein, unless separately accepted in writing by a legally authorized representative of CST, are rejected and are of no force or effect.

Products are labeled with For Research Use Only or a similar labeling statement and have not been approved, cleared, or licensed by the FDA or other regulatory foreign or domestic entity, for any purpose. Customer shall not use any Product for any diagnostic or therapeutic purpose, or otherwise in any manner that conflicts with its labeling statement. Products sold or licensed by CST are provided for Customer as the end-user and solely for research and development uses. Any use of Product for diagnostic, prophylactic or therapeutic purposes, or any purchase of Product for resale (alone or as a component) or other commercial purpose, requires a separate license from CST. Customer shall (a) not sell, license, loan, donate or otherwise transfer or make available any Product to any third party, whether alone or in combination with other materials, or use the Products to manufacture any commercial products, (b) not copy, modify, reverse engineer, decompile, disassemble or otherwise attempt to discover the underlying structure or technology of the Products, or use the Products for the purpose of developing any products or services that would compete with CST products or services, (c) not alter or remove from the Products any trademarks, trade names, logos, patent or copyright notices or markings, (d) use the Products solely in accordance with CST Product Terms of Sale and any applicable documentation, and (e) comply with any license, terms of service or similar agreement with respect to any third party products or services used by Customer in connection with the Products.

Orders: 877-616-CELL (2355) [email protected] Support: 877-678-TECH (8324) [email protected] Web: cellsignal.com
For Research Use Only. Not for Use in Diagnostic Procedures.

Revision 5

Cell Signaling Technology Logo
Western blot analysis of extracts from SK-MEL-28, SNB19 and A-204 cells using Na,K-ATPase α1 (D4Y7E) Rabbit mAb (upper) or α-Actinin (D6F6) XP® Rabbit mAb #6487 (lower).
Western Blotting Image 1: Na,K-ATPase alpha1 (D4Y7E) Rabbit Monoclonal Antibody
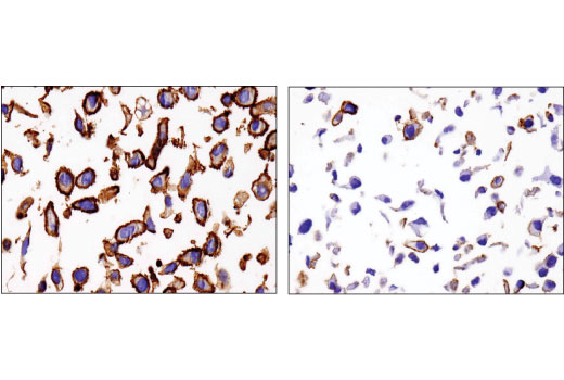
Immunohistochemical analysis of paraffin-embedded SK-MEL-28 (left) and A-204 (right) cell pellets using Na,K-ATPase α1 (D4Y7E) Rabbit mAb.
Immunohistochemistry Image 1: Na,K-ATPase alpha1 (D4Y7E) Rabbit Monoclonal Antibody
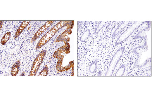
Immunohistochemical analysis of paraffin-embedded human appendix using Na,K-ATPase α1 (D4Y7E) Rabbit mAb in the presence of control peptide (left) or antigen-specific peptide (right).
Immunohistochemistry Image 2: Na,K-ATPase alpha1 (D4Y7E) Rabbit Monoclonal Antibody
Orders: 877-616-CELL (2355) [email protected] Support: 877-678-TECH (8324) [email protected] Web: cellsignal.com
For Research Use Only. Not for Use in Diagnostic Procedures.

Revision 5

Cell Signaling Technology Logo
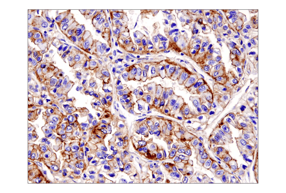
Immunohistochemical analysis of paraffin-embedded human prostate carcinoma using Na,K-ATPase α1 (D4Y7E) Rabbit mAb.
Immunohistochemistry Image 3: Na,K-ATPase alpha1 (D4Y7E) Rabbit Monoclonal Antibody
Immunohistochemical analysis of paraffin-embedded human renal cell carcinoma using Na,K-ATPase α1 (D4Y7E) Rabbit mAb.
Immunohistochemistry Image 4: Na,K-ATPase alpha1 (D4Y7E) Rabbit Monoclonal Antibody
Immunohistochemical analysis of paraffin-embedded rhesus kidney using Na,K-ATPase α1 (D4Y7E) Rabbit mAb.
Immunohistochemistry Image 5: Na,K-ATPase alpha1 (D4Y7E) Rabbit Monoclonal Antibody
Orders: 877-616-CELL (2355) [email protected] Support: 877-678-TECH (8324) [email protected] Web: cellsignal.com
For Research Use Only. Not for Use in Diagnostic Procedures.

Revision 5

Cell Signaling Technology Logo
Confocal immunofluorescent analysis of SK-MEL-28 (left), SNB19 (middle) or A-204 (right) cells using Na,K-ATPase α1 (D4Y7E) Rabbit mAb (green). Blue pseudocolor = DRAQ5® #4084 (fluorescent DNA dye).
Immunofluorescence Image 1: Na,K-ATPase alpha1 (D4Y7E) Rabbit Monoclonal Antibody
Orders: 877-616-CELL (2355) [email protected] Support: 877-678-TECH (8324) [email protected] Web: cellsignal.com
For Research Use Only. Not for Use in Diagnostic Procedures.