Revision 3

#90269

Store at -20C

CST Logo
Orders:

877-616-CELL (2355)

[email protected]

Support:

877-678-TECH (8324)

3 Trask Lane | Danvers | Massachusetts | 01923 | USA

For Research Use Only. Not for Use in Diagnostic Procedures.

Applications:
W, IHC-P

Reactivity:
H Mk

Sensitivity:
Endogenous

MW (kDa):
220

Source/Isotype:
Rabbit IgG

UniProt ID:
#P32004

Entrez-Gene Id:
3897

Product Usage Information

Application Dilution
Western Blotting 1:1000
Immunohistochemistry (Paraffin) 1:200

Storage

Supplied in 10 mM sodium HEPES (pH 7.5), 150 mM NaCl, 100 µg/ml BSA, 50% glycerol and less than 0.02% sodium azide. Store at –20°C. Do not aliquot the antibody.

For a carrier-free (BSA and azide free) version of thes product see product #97986.

Specificity/Sensitivity

NCAM-L1 (D5D3K) Rabbit Monoclonal Antibody recognizes endogenous levels of total NCAM-L1/L1CAM protein.

Source / Purification

Monoclonal antibody is produced by immunizing animals with recombinant protein specific to the carboxy terminus of human NCAM-L1/L1CAM protein.

Background

Neural cell adhesion molecule L1 (NCAM-L1/L1CAM) is a single pass transmembrane glycoprotein member of the immunoglobulin superfamily, containing six amino-terminal extracellular Ig-like domains followed by five fibronectin type-III domains (1). NCAM-L1 is mainly expressed in the brain, and plays an important role in the developing nervous system, with involvement in neurite fasciculation and outgrowth, myelination, neuronal migration, and neuronal cell adhesion (2). Mutations in the NCAM-L1 gene cause varying degrees of neurological disease including X-linked hydrocephalus, MASA syndrome, spastic paraplegia type 1, and X-linked corpus callosum agenesis, together known as L1 syndrome (3). Apart from the nervous system, NCAM-L1 is overexpressed in many cancers and supports a poor prognosis by facilitating aggressive tumor growth, metastasis, and chemoresistance (4,5).

Species Reactivity

Species reactivity is determined by testing in at least one approved application (e.g., western blot).

Western Blot Buffer

IMPORTANT: For western blots, incubate membrane with diluted primary antibody in 5% w/v BSA, 1X TBS, 0.1% Tween® 20 at 4°C with gentle shaking, overnight.

Applications Key

W: Western Blotting IHC-P: Immunohistochemistry (Paraffin)

Cross-Reactivity Key

H: Human Mk: Monkey

Trademarks and Patents

Cell Signaling Technology is a trademark of Cell Signaling Technology, Inc.

SignalStain is a registered trademark of Cell Signaling Technology, Inc.

All other trademarks are the property of their respective owners. Visit cellsignal.com/trademarks for more information.

Limited Uses

Except as otherwise expressly agreed in a writing signed by a legally authorized representative of CST, the following terms apply to Products provided by CST, its affiliates or its distributors. Any Customer's terms and conditions that are in addition to, or different from, those contained herein, unless separately accepted in writing by a legally authorized representative of CST, are rejected and are of no force or effect.

Products are labeled with For Research Use Only or a similar labeling statement and have not been approved, cleared, or licensed by the FDA or other regulatory foreign or domestic entity, for any purpose. Customer shall not use any Product for any diagnostic or therapeutic purpose, or otherwise in any manner that conflicts with its labeling statement. Products sold or licensed by CST are provided for Customer as the end-user and solely for research and development uses. Any use of Product for diagnostic, prophylactic or therapeutic purposes, or any purchase of Product for resale (alone or as a component) or other commercial purpose, requires a separate license from CST. Customer shall (a) not sell, license, loan, donate or otherwise transfer or make available any Product to any third party, whether alone or in combination with other materials, or use the Products to manufacture any commercial products, (b) not copy, modify, reverse engineer, decompile, disassemble or otherwise attempt to discover the underlying structure or technology of the Products, or use the Products for the purpose of developing any products or services that would compete with CST products or services, (c) not alter or remove from the Products any trademarks, trade names, logos, patent or copyright notices or markings, (d) use the Products solely in accordance with CST Product Terms of Sale and any applicable documentation, and (e) comply with any license, terms of service or similar agreement with respect to any third party products or services used by Customer in connection with the Products.

Orders: 877-616-CELL (2355) [email protected] Support: 877-678-TECH (8324) [email protected] Web: cellsignal.com
For Research Use Only. Not for Use in Diagnostic Procedures.

Revision 3

Cell Signaling Technology Logo
Western blot analysis of extracts from HeLa cells, untreated (-) or treated with PNGase (+) using NCAM-L1 (D5D3K) Rabbit mAb (upper) and α-Actinin (D6F6) XP® Rabbit mAb #6487 (lower).
Western Blotting Image 1: NCAM-L1 (D5D3K) Rabbit Monoclonal Antibody
Western blot analysis of extracts from various cell lines using NCAM-L1 (D5D3K) Rabbit mAb (upper) and α-Actinin (D6F6) XP® Rabbit mAb #6487 (lower).
Western Blotting Image 2: NCAM-L1 (D5D3K) Rabbit Monoclonal Antibody
Immunohistochemical analysis of paraffin-embedded human appendix using NCAM-L1 (D5D3K) Rabbit mAb.
Immunohistochemistry Image 1: NCAM-L1 (D5D3K) Rabbit Monoclonal Antibody
Orders: 877-616-CELL (2355) [email protected] Support: 877-678-TECH (8324) [email protected] Web: cellsignal.com
For Research Use Only. Not for Use in Diagnostic Procedures.

Revision 3

Cell Signaling Technology Logo
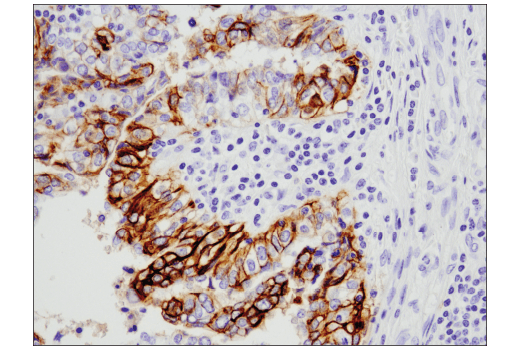
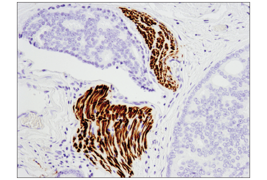
Immunohistochemical analysis of paraffin-embedded human papillary carcinoma of the breast using NCAM-L1 (D5D3K) Rabbit mAb.
Immunohistochemistry Image 2: NCAM-L1 (D5D3K) Rabbit Monoclonal Antibody
Immunohistochemical analysis of paraffin-embedded A172 cell pellet (left, positive) or U87-MG cell pellet (right, negative) using NCAM-L1 (D5D3K) Rabbit mAb.
Immunohistochemistry Image 3: NCAM-L1 (D5D3K) Rabbit Monoclonal Antibody
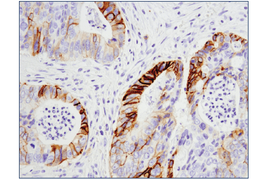
Immunohistochemical analysis of paraffin-embedded human colon carcinoma using NCAM-L1 (D5D3K) Rabbit mAb.
Immunohistochemistry Image 4: NCAM-L1 (D5D3K) Rabbit Monoclonal Antibody
Orders: 877-616-CELL (2355) [email protected] Support: 877-678-TECH (8324) [email protected] Web: cellsignal.com
For Research Use Only. Not for Use in Diagnostic Procedures.

Revision 3

Cell Signaling Technology Logo
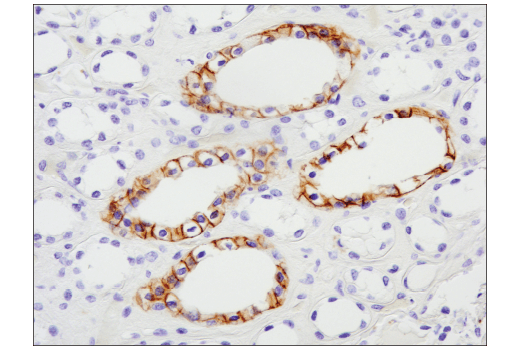
Immunohistochemical analysis of paraffin-embedded human kidney using NCAM-L1 (D5D3K) Rabbit mAb.
Immunohistochemistry Image 5: NCAM-L1 (D5D3K) Rabbit Monoclonal Antibody
Immunohistochemical analysis of paraffin-embedded human prostate carcinoma using NCAM-L1 (D5D3K) Rabbit mAb.
Immunohistochemistry Image 6: NCAM-L1 (D5D3K) Rabbit Monoclonal Antibody
Orders: 877-616-CELL (2355) [email protected] Support: 877-678-TECH (8324) [email protected] Web: cellsignal.com
For Research Use Only. Not for Use in Diagnostic Procedures.