Revision 7

#99746

Store at -20C

CST Logo
Orders:

877-616-CELL (2355)

[email protected]

Support:

877-678-TECH (8324)

3 Trask Lane | Danvers | Massachusetts | 01923 | USA

For Research Use Only. Not for Use in Diagnostic Procedures.

Applications:
W, IP, IHC-Bond, IHC-P, IF-F, IF-IC, FC-FP

Reactivity:
H M R Mk

Sensitivity:
Endogenous

MW (kDa):
120 to 220

Source/Isotype:
Rabbit IgG

UniProt ID:
#P13591

Entrez-Gene Id:
4684

Product Usage Information

Application Dilution
Western Blotting 1:1000
Immunoprecipitation 1:50
IHC Leica Bond 1:50 - 1:200
Immunohistochemistry (Paraffin) 1:100 - 1:400
Immunofluorescence (Frozen) 1:50 - 1:100
Immunofluorescence (Immunocytochemistry) 1:50 - 1:100
Flow Cytometry (Fixed/Permeabilized) 1:200 - 1:800

Storage

Supplied in 10 mM sodium HEPES (pH 7.5), 150 mM NaCl, 100 µg/ml BSA, 50% glycerol and less than 0.02% sodium azide. Store at –20°C. Do not aliquot the antibody.

For a carrier free (BSA and azide free) version of this product see product #88856.

Specificity/Sensitivity

NCAM1 (CD56) (E7X9M) Rabbit Monoclonal Antibody recognizes endogenous levels of total NCAM1/CD56 protein.

Source / Purification

Monoclonal antibody is produced by immunizing animals with a synthetic peptide corresponding to residues surrounding Pro799 of human NCAM1/CD56 protein.

Background

NCAM (neural cell adhesion molecule, CD56) is an adhesion glycoprotein with five extracellular immunoglobulin-like domains followed by two fibronectin type III repeats. Structural diversity is introduced by alternative splicing resulting in different cytoplasmic domains (1). NCAM mediates neuronal attachment, neurite extension, and cell-cell interactions through homo and heterophilic interactions. PSA (polysialic acid) post-translationally modifies NCAM and increases the metastatic potential of small cell lung carcinoma, Wilms' tumor, neuroblastoma, and rhabdomyosarcoma (2). CD56 is commonly used along with CD3 and CD16 to identify human natural killer (NK) cells (mouse NK cells do not express CD56) (3). Human NK cells are CD3-CD56+. The large subset with high CD16 expression are mature cytotoxic NK cells, while those with low CD16 expression are immature precursors and cytokine producers (4,5).

Species Reactivity

Species reactivity is determined by testing in at least one approved application (e.g., western blot).

Western Blot Buffer

IMPORTANT: For western blots, incubate membrane with diluted primary antibody in 5% w/v BSA, 1X TBS, 0.1% Tween® 20 at 4°C with gentle shaking, overnight.

Applications Key

W: Western Blotting IP: Immunoprecipitation IHC-Bond: IHC Leica Bond IHC-P: Immunohistochemistry (Paraffin) IF-F: Immunofluorescence (Frozen) IF-IC: Immunofluorescence (Immunocytochemistry) FC-FP: Flow Cytometry (Fixed/Permeabilized)

Cross-Reactivity Key

H: Human M: Mouse R: Rat Mk: Monkey

Trademarks and Patents

Cell Signaling Technology is a trademark of Cell Signaling Technology, Inc.

Alexa Fluor is a registered trademark of Life Technologies Corporation.

All other trademarks are the property of their respective owners. Visit cellsignal.com/trademarks for more information.

Limited Uses

Except as otherwise expressly agreed in a writing signed by a legally authorized representative of CST, the following terms apply to Products provided by CST, its affiliates or its distributors. Any Customer's terms and conditions that are in addition to, or different from, those contained herein, unless separately accepted in writing by a legally authorized representative of CST, are rejected and are of no force or effect.

Products are labeled with For Research Use Only or a similar labeling statement and have not been approved, cleared, or licensed by the FDA or other regulatory foreign or domestic entity, for any purpose. Customer shall not use any Product for any diagnostic or therapeutic purpose, or otherwise in any manner that conflicts with its labeling statement. Products sold or licensed by CST are provided for Customer as the end-user and solely for research and development uses. Any use of Product for diagnostic, prophylactic or therapeutic purposes, or any purchase of Product for resale (alone or as a component) or other commercial purpose, requires a separate license from CST. Customer shall (a) not sell, license, loan, donate or otherwise transfer or make available any Product to any third party, whether alone or in combination with other materials, or use the Products to manufacture any commercial products, (b) not copy, modify, reverse engineer, decompile, disassemble or otherwise attempt to discover the underlying structure or technology of the Products, or use the Products for the purpose of developing any products or services that would compete with CST products or services, (c) not alter or remove from the Products any trademarks, trade names, logos, patent or copyright notices or markings, (d) use the Products solely in accordance with CST Product Terms of Sale and any applicable documentation, and (e) comply with any license, terms of service or similar agreement with respect to any third party products or services used by Customer in connection with the Products.

Orders: 877-616-CELL (2355) [email protected] Support: 877-678-TECH (8324) [email protected] Web: cellsignal.com
For Research Use Only. Not for Use in Diagnostic Procedures.

Revision 7

Cell Signaling Technology Logo
Western blot analysis of extracts from various cell lines and tissues using NCAM1 (CD56) (E7X9M) XP® Rabbit mAb (upper) or GAPDH (D16H11) XP® Rabbit mAb #5174 (lower).
Western Blotting Image 1: NCAM1 (CD56) (E7X9M) Rabbit Monoclonal Antibody
Immunoprecipitation of NCAM1 protein from SH-SY5Y cell extracts. Lane 1 is 10% input, lane 2 is Rabbit (DA1E) mAb IgG XP® Isotype Control #3900, and lane 3 is NCAM1 (CD56) (E7X9M) XP® Rabbit mAb. Western blot analysis was performed using NCAM1 (CD56) (123C3) Mouse mAb #3576. Anti-mouse IgG, HRP-linked Antibody #7076 was used as the secondary antibody.
Immunoprecipitation Image 1: NCAM1 (CD56) (E7X9M) Rabbit Monoclonal Antibody
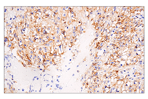
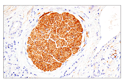
Immunohistochemical analysis of paraffin-embedded human prostate adenocarcinoma with staining of peripheral nerve using NCAM1 (CD56) (E7X9M) XP® Rabbit mAb performed on the Leica® BOND™ Rx.
Immunohistochemistry Image 1: NCAM1 (CD56) (E7X9M) Rabbit Monoclonal Antibody
Orders: 877-616-CELL (2355) [email protected] Support: 877-678-TECH (8324) [email protected] Web: cellsignal.com
For Research Use Only. Not for Use in Diagnostic Procedures.

Revision 7

Cell Signaling Technology Logo
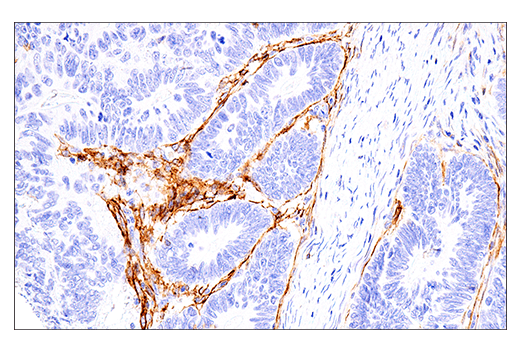
Immunohistochemical analysis of paraffin-embedded human colon adenocarcinoma using NCAM1 (CD56) (E7X9M) XP® Rabbit mAb.
Immunohistochemistry Image 1: NCAM1 (CD56) (E7X9M) Rabbit Monoclonal Antibody
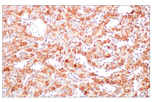
Immunohistochemical analysis of paraffin-embedded human renal cell carcinoma using NCAM1 (CD56) (E7X9M) XP® Rabbit mAb.
Immunohistochemistry Image 2: NCAM1 (CD56) (E7X9M) Rabbit Monoclonal Antibody
Immunohistochemical analysis of paraffin-embedded human endometrioid adenocarcinoma using NCAM1 (CD56) (E7X9M) XP® Rabbit mAb.
Immunohistochemistry Image 3: NCAM1 (CD56) (E7X9M) Rabbit Monoclonal Antibody
Orders: 877-616-CELL (2355) [email protected] Support: 877-678-TECH (8324) [email protected] Web: cellsignal.com
For Research Use Only. Not for Use in Diagnostic Procedures.

Revision 7

Cell Signaling Technology Logo
Immunohistochemical analysis of paraffin-embedded human gastrointestinal stromal tumor using NCAM1 (CD56) (E7X9M) XP® Rabbit mAb.
Immunohistochemistry Image 4: NCAM1 (CD56) (E7X9M) Rabbit Monoclonal Antibody
Immunohistochemical analysis of paraffin-embedded normal rhesus monkey spleen using NCAM1 (CD56) (E7X9M) XP® Rabbit mAb.
Immunohistochemistry Image 5: NCAM1 (CD56) (E7X9M) Rabbit Monoclonal Antibody
Immunohistochemical analysis of paraffin-embedded mouse ovary using NCAM1 (CD56) (E7X9M) XP® Rabbit mAb.
Immunohistochemistry Image 6: NCAM1 (CD56) (E7X9M) Rabbit Monoclonal Antibody
Orders: 877-616-CELL (2355) [email protected] Support: 877-678-TECH (8324) [email protected] Web: cellsignal.com
For Research Use Only. Not for Use in Diagnostic Procedures.

Revision 7

Cell Signaling Technology Logo
Immunohistochemical analysis of paraffin-embedded mouse prostate using NCAM1 (CD56) (E7X9M) XP® Rabbit mAb.
Immunohistochemistry Image 7: NCAM1 (CD56) (E7X9M) Rabbit Monoclonal Antibody
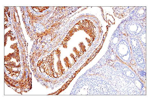
Immunohistochemical analysis of paraffin-embedded mouse colon using NCAM1 (CD56) (E7X9M) XP® Rabbit mAb.
Immunohistochemistry Image 8: NCAM1 (CD56) (E7X9M) Rabbit Monoclonal Antibody
Immunohistochemical analysis of paraffin-embedded human endometrioid adenocarcinoma using NCAM1 (CD56) (E7X9M) XP® Rabbit mAb (left) or NCAM1 (CD56) (123C3) Mouse mAb #3576 (right). These two antibodies detect independent, unique epitopes on human NCAM1. The similar staining patterns obtained with both antibodies help to confirm the specificity of the staining.
Immunohistochemistry Image 9: NCAM1 (CD56) (E7X9M) Rabbit Monoclonal Antibody
Orders: 877-616-CELL (2355) [email protected] Support: 877-678-TECH (8324) [email protected] Web: cellsignal.com
For Research Use Only. Not for Use in Diagnostic Procedures.

Revision 7

Cell Signaling Technology Logo
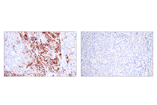
Immunohistochemical analysis of paraffin-embedded human ductal breast carcinoma using NCAM1 (CD56) (E7X9M) XP® Rabbit mAb (left) compared to concentration-matched Rabbit (DA1E) mAb IgG XP® Isotype Control #3900 (right).
Immunohistochemistry Image 10: NCAM1 (CD56) (E7X9M) Rabbit Monoclonal Antibody
Immunohistochemical analysis of paraffin-embedded SH-SY5Y cell pellet (left, positive) or MCF7 cell pellet (right, negative) using NCAM1 (CD56) (E7X9M) XP® Rabbit mAb.
Immunohistochemistry Image 11: NCAM1 (CD56) (E7X9M) Rabbit Monoclonal Antibody
Confocal immunofluorescent analysis of mouse spinal cord (left), or rat brainstem (right) using NCAM1 (CD56) (E7X9M) XP® Rabbit mAb (green) and S6 Ribosomal Protein (54D2) Mouse mAb (Alexa Fluor® 647 Conjugate) #5548 (red). Tissue was mounted in ProLong® Gold Antifade Reagent with DAPI #8961 (blue).
Immunofluorescence Image 1: NCAM1 (CD56) (E7X9M) Rabbit Monoclonal Antibody
Orders: 877-616-CELL (2355) [email protected] Support: 877-678-TECH (8324) [email protected] Web: cellsignal.com
For Research Use Only. Not for Use in Diagnostic Procedures.

Revision 7

Cell Signaling Technology Logo
Confocal immunofluorescent analysis of SH-SY5Y cells (left, positive) or HeLa cells (right, negative) using NCAM1 (CD56) (E7X9M) XP® Rabbit mAb (green) and S6 Ribosomal Protein (54D2) Mouse mAb (Alexa Fluor® 647 Conjugate) #5548 (red). Cells were mounted in ProLong® Gold Antifade Reagent with DAPI #8961 (blue).
Immunofluorescence Image 1: NCAM1 (CD56) (E7X9M) Rabbit Monoclonal Antibody
Confocal immunofluorescent analysis of Neuro-2a cells (left, high-expressing) or C2C12 cells (right, low-expressing) using NCAM1 (CD56) (E7X9M) XP® Rabbit mAb (green) and S6 Ribosomal Protein (54D2) Mouse mAb (Alexa Fluor® 647 Conjugate) #5548 (red). Cells were mounted in ProLong® Gold Antifade Reagent with DAPI #8961 (blue).
Immunofluorescence Image 2: NCAM1 (CD56) (E7X9M) Rabbit Monoclonal Antibody
Flow cytometric analysis of HeLa cells (blue) and SH-SY5Y cells (green) using NCAM1 (CD56) (E7X9M) XP® Rabbit mAb (solid lines) or a concentration-matched Rabbit (DA1E) mAb IgG XP® Isotype Control #3900 (dashed lines). Anti-rabbit IgG (H+L), F(ab')2 Fragment (Alexa Fluor® 488 Conjugate) #4412 was used as a secondary antibody.
Flow Cytometry Image 1: NCAM1 (CD56) (E7X9M) Rabbit Monoclonal Antibody
Orders: 877-616-CELL (2355) [email protected] Support: 877-678-TECH (8324) [email protected] Web: cellsignal.com
For Research Use Only. Not for Use in Diagnostic Procedures.