Revision 1

#42039

Store at -20C

CST Logo
Orders:

877-616-CELL (2355)

[email protected]

Support:

877-678-TECH (8324)

3 Trask Lane | Danvers | Massachusetts | 01923 | USA

For Research Use Only. Not for Use in Diagnostic Procedures.

Applications:
W, IHC-P

Reactivity:
H M R Mk

Sensitivity:
Endogenous

MW (kDa):
9

Source/Isotype:
Rabbit IgG

UniProt ID:
#Q15843

Entrez-Gene Id:
4738

Product Usage Information

This product is the carrier free version of product #2754. All data were generated using the same antibody clone in the standard formulation which contains BSA and glycerol.

This formulation is ideal for use with technologies requiring specialized or custom antibody labeling, including fluorophores, metals, lanthanides, and oligonucleotides. It is not recommended for ChIP, ChIP-seq, CUT&RUN or CUT&Tag assays. If you require a carrier free formulation for chromatin profiling, please contact us. Optimal dilutions/concentrations should be determined by the end user.

BSA and Azide Free antibodies are quality control tested by size exclusion chromatography (SEC) to determine antibody integrity.

Formulation

Supplied in 1X PBS (10 mM Na2HPO4, 3 mM KCl, 2 mM KH2PO4, and 140 mM NaCl (pH 7.8)). BSA and Azide Free.

For standard formulation of this product see product #2754

Storage

Store at -20°C. This product will freeze at -20°C so it is recommended to aliquot into single-use vials to avoid multiple freeze/thaw cycles. A slight precipitate may be present and can be dissolved by gently vortexing. This will not interfere with antibody performance.

Specificity/Sensitivity

NEDD8 (19E3) Rabbit Monoclonal Antibody (BSA and Azide Free) detects endogenous levels of both free and conjugated NEDD8 protein. This antibody does not cross-react with other ubiquitin family members, including ubiquitin, SUMO-1, SUMO-2, SUMO-3 and ISG15.

Species predicted to react based on 100% sequence homology

Xenopus, Zebrafish, Bovine

Source / Purification

Monoclonal antibody is produced by immunizing animals with a synthetic peptide corresponding to amino acids at the amino terminus of human NEDD8 protein.

Background

Neural precursor cell-expressed developmentally downregulated protein 8 (NEDD8), also known as Rub1 (related to ubiquitin 1) in plants and yeast, is a member of the ubiquitin-like protein family (1,2). The covalent attachment of NEDD8 to target proteins, termed neddylation, is a reversible, multi-step process analogous to ubiquitination. NEDD8 is first synthesized in a precursor form with a carboxy-terminal extension peptide that is removed by either the UCH-L3 or NEDP1/DEN1 hydrolase protein to yield a mature NEDD8 protein (3,4). Mature NEDD8 is then covalently linked to target proteins via the carboxy-terminal glycine residue in a reaction catalyzed by the APP-BP1/Uba3 heterodimer complex and Ubc12 as the E1- and E2-like enzymes, respectively (5). An E3 ligase protein, Roc1/Rbx1, is also required for neddylation of the cullin proteins (6). Protein de-neddylation is catalyzed by a number of enzymes in the cell, including a "ubiquitin-specific" protease USP21, the NEDP1/DEN1 hydrolase and the COP9/signalosome (CSN) (7,8,9). In contrast to the ubiquitin pathway, the NEDD8 modification system acts on only a few substrates and does not appear to target proteins for degradation. Neddylation of cullin proteins activates the SCF (Skp1-Cullin-F-box) E3 ubiquitin ligase complex by promoting complex formation and enhancing the recruitment of the E2-ubiquitin intermediate (10). While NEDD8 modification of VHL is not required for ubiquitination of HIF1-α, it is required for fibronectin matrix assembly (11). Mdm2-dependent neddylation of p53 inhibits its transcriptional activity (12).

Species Reactivity

Species reactivity is determined by testing in at least one approved application (e.g., western blot).

Applications Key

W: Western Blotting IHC-P: Immunohistochemistry (Paraffin)

Cross-Reactivity Key

H: Human M: Mouse R: Rat Mk: Monkey

Trademarks and Patents

Cell Signaling Technology is a trademark of Cell Signaling Technology, Inc.

All other trademarks are the property of their respective owners. Visit cellsignal.com/trademarks for more information.

Limited Uses

Except as otherwise expressly agreed in a writing signed by a legally authorized representative of CST, the following terms apply to Products provided by CST, its affiliates or its distributors. Any Customer's terms and conditions that are in addition to, or different from, those contained herein, unless separately accepted in writing by a legally authorized representative of CST, are rejected and are of no force or effect.

Products are labeled with For Research Use Only or a similar labeling statement and have not been approved, cleared, or licensed by the FDA or other regulatory foreign or domestic entity, for any purpose. Customer shall not use any Product for any diagnostic or therapeutic purpose, or otherwise in any manner that conflicts with its labeling statement. Products sold or licensed by CST are provided for Customer as the end-user and solely for research and development uses. Any use of Product for diagnostic, prophylactic or therapeutic purposes, or any purchase of Product for resale (alone or as a component) or other commercial purpose, requires a separate license from CST. Customer shall (a) not sell, license, loan, donate or otherwise transfer or make available any Product to any third party, whether alone or in combination with other materials, or use the Products to manufacture any commercial products, (b) not copy, modify, reverse engineer, decompile, disassemble or otherwise attempt to discover the underlying structure or technology of the Products, or use the Products for the purpose of developing any products or services that would compete with CST products or services, (c) not alter or remove from the Products any trademarks, trade names, logos, patent or copyright notices or markings, (d) use the Products solely in accordance with CST Product Terms of Sale and any applicable documentation, and (e) comply with any license, terms of service or similar agreement with respect to any third party products or services used by Customer in connection with the Products.

Orders: 877-616-CELL (2355) [email protected] Support: 877-678-TECH (8324) [email protected] Web: cellsignal.com
For Research Use Only. Not for Use in Diagnostic Procedures.

Revision 1

Cell Signaling Technology Logo
Western blot analysis of ubiquitin, NEDD8, ISG15 and SUMO-2/3 recombinant proteins (5 ng each), using NEDD8 (19E3) Rabbit mAb, Ubiquitin (P4D1) Mouse mAb #3936, ISG15 Antibody #2743 and SUMO-2/3 Antibody #4974. Data were generated using the standard formulation of this product.
Western Blotting Image 1: NEDD8 (19E3) Rabbit Monoclonal Antibody (BSA and Azide Free)
Western blot analysis of lysates from HeLa, RAW, C6 and COS cells, using NEDD8 (19E3) Rabbit mAb. Data were generated using the standard formulation of this product.
Western Blotting Image 2: NEDD8 (19E3) Rabbit Monoclonal Antibody (BSA and Azide Free)
Immunohistochemical analysis of paraffin-embedded human colon carcinoma, using NEDD8 (19E3) Rabbit mAb. Data were generated using the standard formulation of this product.
Immunohistochemistry Image 1: NEDD8 (19E3) Rabbit Monoclonal Antibody (BSA and Azide Free)
Orders: 877-616-CELL (2355) [email protected] Support: 877-678-TECH (8324) [email protected] Web: cellsignal.com
For Research Use Only. Not for Use in Diagnostic Procedures.

Revision 1

Cell Signaling Technology Logo
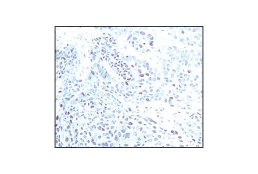
Immunohistochemical analysis of paraffin-embedded human ovarian carcinoma, using NEDD8 (19E3) Rabbit mAb. Data were generated using the standard formulation of this product.
Immunohistochemistry Image 2: NEDD8 (19E3) Rabbit Monoclonal Antibody (BSA and Azide Free)
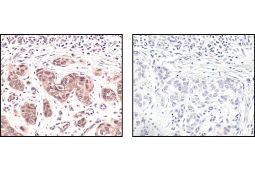
Immunohistochemical analysis of paraffin-embedded human breast carcinoma, using NEDD8 (19E3) Rabbit mAb, preincubated with control peptide (left) or Nedd8 Blocking Peptide #1048 (right). Data were generated using the standard formulation of this product.
Immunohistochemistry Image 3: NEDD8 (19E3) Rabbit Monoclonal Antibody (BSA and Azide Free)
Orders: 877-616-CELL (2355) [email protected] Support: 877-678-TECH (8324) [email protected] Web: cellsignal.com
For Research Use Only. Not for Use in Diagnostic Procedures.