Revision 2

#73262

Store at -20C

CST Logo
Orders:

877-616-CELL (2355)

[email protected]

Support:

877-678-TECH (8324)

3 Trask Lane | Danvers | Massachusetts | 01923 | USA

For Research Use Only. Not for Use in Diagnostic Procedures.

Applications:
W, IHC-P, IF-IC, ELISA

Reactivity:
H

Sensitivity:
Endogenous

MW (kDa):
207-217

Source/Isotype:
Rabbit IgG

UniProt ID:
#P48681

Entrez-Gene Id:
10763

Product Usage Information

This product is the carrier free version of product #73349. All data were generated using the same antibody clone in the standard formulation which contains BSA and glycerol.

This formulation is ideal for use with technologies requiring specialized or custom antibody labeling, including fluorophores, metals, lanthanides, and oligonucleotides. It is not recommended for ChIP, ChIP-seq, CUT&RUN or CUT&Tag assays. If you require a carrier free formulation for chromatin profiling, please contact us. Optimal dilutions/concentrations should be determined by the end user.

BSA and Azide Free antibodies are quality control tested by size exclusion chromatography (SEC) to determine antibody integrity.

Formulation

Supplied in 1X PBS (10 mM Na2HPO4, 3 mM KCl, 2 mM KH2PO4, and 140 mM NaCl (pH 7.8)). BSA and Azide Free.

For standard formulation of this product see product #73349.

Storage

Store at -20°C. This product will freeze at -20°C so it is recommended to aliquot into single-use vials to avoid multiple freeze/thaw cycles. A slight precipitate may be present and can be dissolved by gently vortexing. This will not interfere with antibody performance.

Specificity/Sensitivity

Nestin (E4O9E) Rabbit Monoclonal Antibody (BSA and Azide Free) recognizes endogenous levels of total nestin protein.

Source / Purification

Monoclonal antibody is produced by immunizing animals with a synthetic peptide corresponding to residues surrounding Glu1260 of human nestin protein.

Background

Nestin is an intermediate filament family member protein that is structurally related to the neurofilament proteins (1). It is highly expressed in the developing brain, where it may help to regulate cell structure and intracellular processes required for neural cell division and migration (1,2). Upon maturation of the brain, nestin expression is quickly downregulated and replaced by expression of the neurofilament proteins (2). Because nestin is expressed in both mature and precursor neuronal and glial cells, as well as in the developing brain and in the brain and spinal cord following damage, nestin is widely accepted as a marker of neural stem/progenitor cells (3). Research studies have shown that expression of nestin is also found in cells from various nervous system tumors, including gliomas, neuroblastomas, and astrocytomas, and it is generally accepted as a marker for neural cancer stem cells (3). However, nestin expression has also been observed in astrocytes, retina, cardiac muscle, pancreas, and other tissues (3). Therefore, the acceptance of nestin as an exclusive marker of neural stem/progenitor cells is not unanimous.

Species Reactivity

Species reactivity is determined by testing in at least one approved application (e.g., western blot).

Applications Key

W: Western Blotting IHC-P: Immunohistochemistry (Paraffin) IF-IC: Immunofluorescence (Immunocytochemistry) ELISA: ELISA

Cross-Reactivity Key

H: Human

Trademarks and Patents

Cell Signaling Technology is a trademark of Cell Signaling Technology, Inc.

SignalStain is a registered trademark of Cell Signaling Technology, Inc.

All other trademarks are the property of their respective owners. Visit cellsignal.com/trademarks for more information.

Limited Uses

Except as otherwise expressly agreed in a writing signed by a legally authorized representative of CST, the following terms apply to Products provided by CST, its affiliates or its distributors. Any Customer's terms and conditions that are in addition to, or different from, those contained herein, unless separately accepted in writing by a legally authorized representative of CST, are rejected and are of no force or effect.

Products are labeled with For Research Use Only or a similar labeling statement and have not been approved, cleared, or licensed by the FDA or other regulatory foreign or domestic entity, for any purpose. Customer shall not use any Product for any diagnostic or therapeutic purpose, or otherwise in any manner that conflicts with its labeling statement. Products sold or licensed by CST are provided for Customer as the end-user and solely for research and development uses. Any use of Product for diagnostic, prophylactic or therapeutic purposes, or any purchase of Product for resale (alone or as a component) or other commercial purpose, requires a separate license from CST. Customer shall (a) not sell, license, loan, donate or otherwise transfer or make available any Product to any third party, whether alone or in combination with other materials, or use the Products to manufacture any commercial products, (b) not copy, modify, reverse engineer, decompile, disassemble or otherwise attempt to discover the underlying structure or technology of the Products, or use the Products for the purpose of developing any products or services that would compete with CST products or services, (c) not alter or remove from the Products any trademarks, trade names, logos, patent or copyright notices or markings, (d) use the Products solely in accordance with CST Product Terms of Sale and any applicable documentation, and (e) comply with any license, terms of service or similar agreement with respect to any third party products or services used by Customer in connection with the Products.

Orders: 877-616-CELL (2355) [email protected] Support: 877-678-TECH (8324) [email protected] Web: cellsignal.com
For Research Use Only. Not for Use in Diagnostic Procedures.

Revision 2

Cell Signaling Technology Logo
Western blot analysis of extracts from RD and ZR-75-1 cells using Nestin (E4O9E) XP® Rabbit mAb (upper) or α-Actinin (D6F6) XP® Rabbit mAb #6487 (lower). Negative expression of nestin protein in ZR-75-1 cells is consistent with the predicted expression pattern. Data were generated using the standard formulation of this product.
Western Blotting Image 1: Nestin (E4O9E) Rabbit Monoclonal Antibody (BSA and Azide Free)
Immunohistochemical analysis of paraffin-embedded human esophageal adenocarcinoma using Nestin (E4O9E) XP® Rabbit mAb. Data were generated using the standard formulation of this product.
Immunohistochemistry Image 1: Nestin (E4O9E) Rabbit Monoclonal Antibody (BSA and Azide Free)
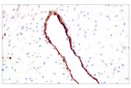
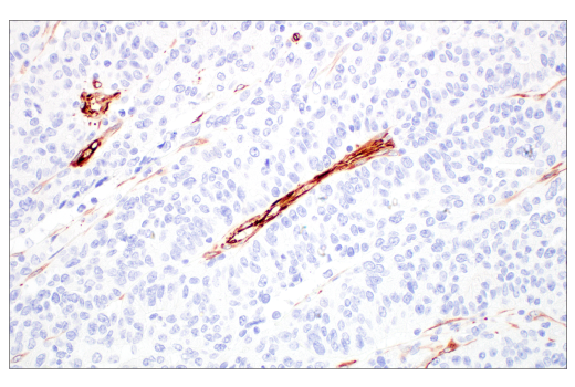
Immunohistochemical analysis of paraffin-embedded human renal cell carcinoma using Nestin (E4O9E) XP® Rabbit mAb. Data were generated using the standard formulation of this product.
Immunohistochemistry Image 2: Nestin (E4O9E) Rabbit Monoclonal Antibody (BSA and Azide Free)
Orders: 877-616-CELL (2355) [email protected] Support: 877-678-TECH (8324) [email protected] Web: cellsignal.com
For Research Use Only. Not for Use in Diagnostic Procedures.

Revision 2

Cell Signaling Technology Logo
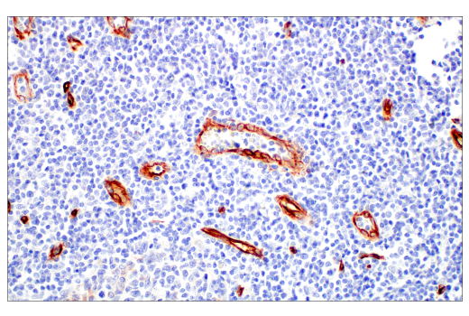
Immunohistochemical analysis of paraffin-embedded human non-Hodgkin lymphoma using Nestin (E4O9E) XP® Rabbit mAb. Data were generated using the standard formulation of this product.
Immunohistochemistry Image 3: Nestin (E4O9E) Rabbit Monoclonal Antibody (BSA and Azide Free)
Immunohistochemical analysis of paraffin-embedded human ovarian serous carcinoma using Nestin (E4O9E) XP® Rabbit mAb. Data were generated using the standard formulation of this product.
Immunohistochemistry Image 4: Nestin (E4O9E) Rabbit Monoclonal Antibody (BSA and Azide Free)
Immunohistochemical analysis of paraffin-embedded human colon carcinoma using Nestin (E4O9E) XP® Rabbit mAb. Data were generated using the standard formulation of this product.
Immunohistochemistry Image 5: Nestin (E4O9E) Rabbit Monoclonal Antibody (BSA and Azide Free)
Orders: 877-616-CELL (2355) [email protected] Support: 877-678-TECH (8324) [email protected] Web: cellsignal.com
For Research Use Only. Not for Use in Diagnostic Procedures.

Revision 2

Cell Signaling Technology Logo
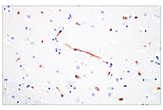
Immunohistochemical analysis of paraffin-embedded normal human brain using Nestin (E4O9E) XP® Rabbit mAb. Data were generated using the standard formulation of this product.
Immunohistochemistry Image 6: Nestin (E4O9E) Rabbit Monoclonal Antibody (BSA and Azide Free)
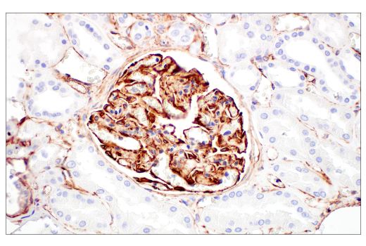
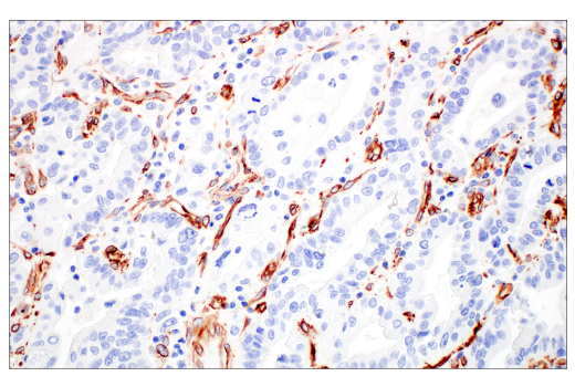
Immunohistochemical analysis of paraffin-embedded normal human kidney using Nestin (E4O9E) XP® Rabbit mAb. Data were generated using the standard formulation of this product.
Immunohistochemistry Image 7: Nestin (E4O9E) Rabbit Monoclonal Antibody (BSA and Azide Free)
Immunohistochemical analysis of paraffin-embedded normal human ovary using Nestin (E4O9E) XP® Rabbit mAb. Data were generated using the standard formulation of this product.
Immunohistochemistry Image 8: Nestin (E4O9E) Rabbit Monoclonal Antibody (BSA and Azide Free)
Orders: 877-616-CELL (2355) [email protected] Support: 877-678-TECH (8324) [email protected] Web: cellsignal.com
For Research Use Only. Not for Use in Diagnostic Procedures.

Revision 2

Cell Signaling Technology Logo
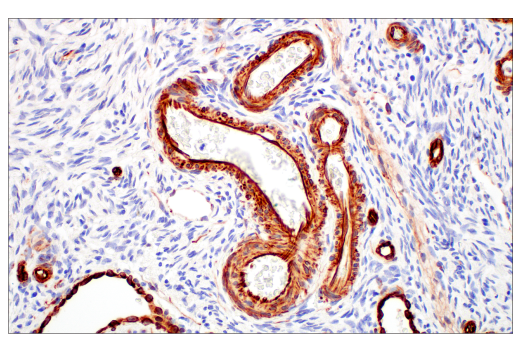
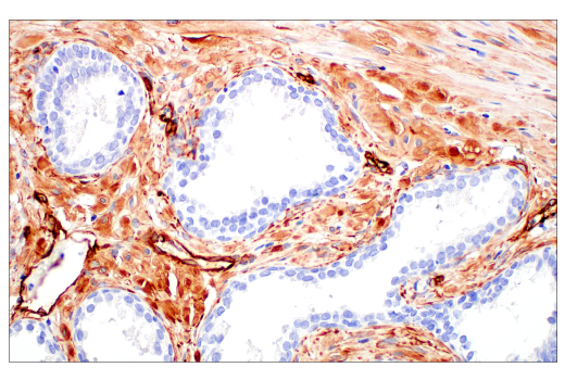
Immunohistochemical analysis of paraffin-embedded normal human prostate using Nestin (E4O9E) XP® Rabbit mAb. Data were generated using the standard formulation of this product.
Immunohistochemistry Image 9: Nestin (E4O9E) Rabbit Monoclonal Antibody (BSA and Azide Free)
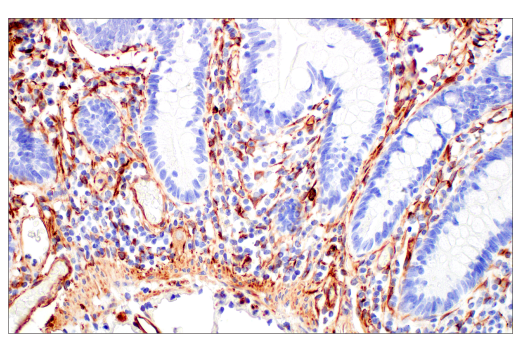
Immunohistochemical analysis of paraffin-embedded normal human small intestine using Nestin (E4O9E) XP® Rabbit mAb. Data were generated using the standard formulation of this product.
Immunohistochemistry Image 10: Nestin (E4O9E) Rabbit Monoclonal Antibody (BSA and Azide Free)
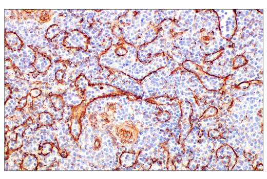
Immunohistochemical analysis of paraffin-embedded human tonsil using Nestin (E4O9E) XP® Rabbit mAb. Data were generated using the standard formulation of this product.
Immunohistochemistry Image 11: Nestin (E4O9E) Rabbit Monoclonal Antibody (BSA and Azide Free)
Orders: 877-616-CELL (2355) [email protected] Support: 877-678-TECH (8324) [email protected] Web: cellsignal.com
For Research Use Only. Not for Use in Diagnostic Procedures.

Revision 2

Cell Signaling Technology Logo
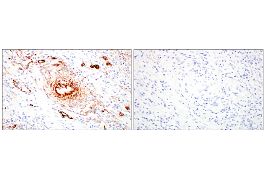
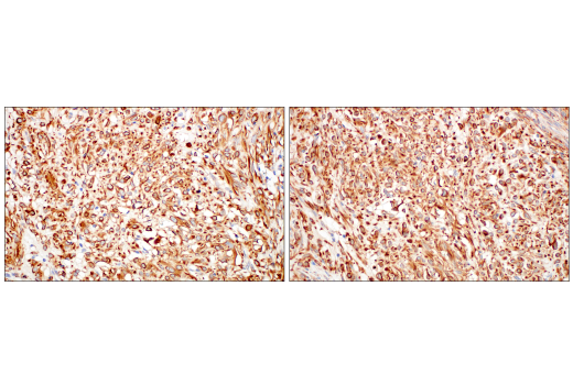
Immunohistochemical analysis of paraffin-embedded gastrointestinal stromal tumor using Nestin (E4O9E) XP® Rabbit mAb (left) or Nestin (10C2) Mouse mAb #33475 (right). These two antibodies detect unique, non-overlapping epitopes on human nestin. The similar staining patterns obtained with both antibodies help to confirm the specificity of the staining. Data were generated using the standard formulation of this product.
Immunohistochemistry Image 12: Nestin (E4O9E) Rabbit Monoclonal Antibody (BSA and Azide Free)
Immunohistochemical analysis of paraffin-embedded human colon adenocarcinoma using Nestin (E4O9E) XP® Rabbit mAb (left) compared to concentration-matched Rabbit (DA1E) mAb IgG XP® Isotype Control #3900 (right).  Data were generated using the standard formulation of this product.
Immunohistochemistry Image 13: Nestin (E4O9E) Rabbit Monoclonal Antibody (BSA and Azide Free)
Immunohistochemical analysis of paraffin-embedded NCI-H929 cell pellet (left, positive) or ZR-75-1 cell pellet (right, negative) using Nestin (E4O9E) XP® Rabbit mAb. Data were generated using the standard formulation of this product.
Immunohistochemistry Image 14: Nestin (E4O9E) Rabbit Monoclonal Antibody (BSA and Azide Free)
Orders: 877-616-CELL (2355) [email protected] Support: 877-678-TECH (8324) [email protected] Web: cellsignal.com
For Research Use Only. Not for Use in Diagnostic Procedures.

Revision 2

Cell Signaling Technology Logo
Confocal immunofluorescent analysis of RD cells (left, positive) and ZR-75-1 cells (right, negative) using Nestin (E4O9E) XP® Rabbit mAb (green), DyLight™ 650 Phalloidin #12956 (red), and DAPI #4083 (blue). Data were generated using the standard formulation of this product.
Immunofluorescence Image 1: Nestin (E4O9E) Rabbit Monoclonal Antibody (BSA and Azide Free)
Data using Nestin Matched Antibody Pair II #30377 are shown. The two antibodies function as a capture-target-detection sandwich (#31053 and #73262, respectively) to detect endogenous protein expression in positive and negative controls.
ELISA Image 1: Nestin (E4O9E) Rabbit Monoclonal Antibody (BSA and Azide Free)
Orders: 877-616-CELL (2355) [email protected] Support: 877-678-TECH (8324) [email protected] Web: cellsignal.com
For Research Use Only. Not for Use in Diagnostic Procedures.