Revision 2

#90144

Store at -20C

NETosis Antibody Sampler Kit

1 Kit

(5 x 20 microliters)

CST Logo
Orders:

877-616-CELL (2355)

[email protected]

Support:

877-678-TECH (8324)

3 Trask Lane | Danvers | Massachusetts | 01923 | USA

For Research Use Only. Not for Use in Diagnostic Procedures.

Product Includes Product # Quantity Mol. Wt Isotype/Source
Neutrophil Elastase (E9C9L) Rabbit Monoclonal Antibody8924120 µl30 kDaRabbit IgG
Myeloperoxidase (E1E7I) Rabbit Monoclonal Antibody1456920 µl60, 80-90 kDaRabbit IgG
Histone H3 (D1H2) Rabbit Monoclonal Antibody449920 µl17 kDaRabbit IgG
Cathepsin G (E3N3O) Rabbit Monoclonal Antibody6366520 µl29 kDaRabbit IgG
Citrullinated Histone H3 (Arg17) (E4O3F) Rabbit Monoclonal Antibody9727220 µl17 kDaRabbit IgG
Anti-rabbit IgG, HRP-linked Antibody7074100 µlGoat

Please visit cellsignal.com for individual component applications, species cross-reactivity, dilutions, protocols, and additional product information.

Description

The NETosis Antibody Sampler Kit provides an economical means of detecting proteins involved in NETosis. The kit includes enough antibodies to perform two western blot experiments with each primary antibody.

Storage

Supplied in 10 mM sodium HEPES (pH 7.5), 150 mM NaCl, 100 µg/mL BSA, 50% glycerol and less than 0.02% sodium azide. Store at –20°C. Do not aliquot the antibodies.

Background

NETosis is a unique form of regulated cell death that is characterized by membrane rupture and the extrusion of chromatin, histones, and granular and cytoplasmic components into a web-like structure called neutrophil extracellular traps (NETs) (reviewed in 1). NETosis has been associated with host defense to pathogens as well as a number of disease states, including autoimmune diseases, thrombosis, cardiovascular diseases, and tumor progression. NETosis was identified as a response to bacterial infection and can be activated by lipopolysaccharide (LPS) as well as inflammatory pathway activators like phorbol-12-myristate-13-acetate (PMA) (2). It can occur via multiple pathways, but several key players have emerged. The calcium-dependent enzyme protein-arginine deiminase 4 (PAD4) catalyzes hypercitrullination of histones that contributes to chromatin decondensation (3,4). In addition, activation of proteases, including neutrophil elastase (ELANE), myeloperoxidase (MPO), and Cathepsin G, leads to impairment of cytoskeletal structures and degradation of histones during NETosis (5,6).



Trademarks and Patents

Cell Signaling Technology is a trademark of Cell Signaling Technology, Inc.

All other trademarks are the property of their respective owners. Visit cellsignal.com/trademarks for more information.

Limited Uses

Except as otherwise expressly agreed in a writing signed by a legally authorized representative of CST, the following terms apply to Products provided by CST, its affiliates or its distributors. Any Customer's terms and conditions that are in addition to, or different from, those contained herein, unless separately accepted in writing by a legally authorized representative of CST, are rejected and are of no force or effect.

Products are labeled with For Research Use Only or a similar labeling statement and have not been approved, cleared, or licensed by the FDA or other regulatory foreign or domestic entity, for any purpose. Customer shall not use any Product for any diagnostic or therapeutic purpose, or otherwise in any manner that conflicts with its labeling statement. Products sold or licensed by CST are provided for Customer as the end-user and solely for research and development uses. Any use of Product for diagnostic, prophylactic or therapeutic purposes, or any purchase of Product for resale (alone or as a component) or other commercial purpose, requires a separate license from CST. Customer shall (a) not sell, license, loan, donate or otherwise transfer or make available any Product to any third party, whether alone or in combination with other materials, or use the Products to manufacture any commercial products, (b) not copy, modify, reverse engineer, decompile, disassemble or otherwise attempt to discover the underlying structure or technology of the Products, or use the Products for the purpose of developing any products or services that would compete with CST products or services, (c) not alter or remove from the Products any trademarks, trade names, logos, patent or copyright notices or markings, (d) use the Products solely in accordance with CST Product Terms of Sale and any applicable documentation, and (e) comply with any license, terms of service or similar agreement with respect to any third party products or services used by Customer in connection with the Products.

Orders: 877-616-CELL (2355) [email protected] Support: 877-678-TECH (8324) [email protected] Web: cellsignal.com
For Research Use Only. Not for Use in Diagnostic Procedures.

Revision 2

Cell Signaling Technology Logo
Western blot analysis of extracts from various cell lines using Myeloperoxidase (E1E7I) XP® Rabbit mAb (upper) and α-Actinin (D6F6) XP® Rabbit mAb #6487 (lower).
undefined Image 1: NETosis Antibody Sampler Kit
Western blot analysis of extracts from various cell lines using Histone H3 (D1H2) XP® Rabbit mAb.
undefined Image 2: NETosis Antibody Sampler Kit
Immunohistochemical analysis of paraffin-embedded human breast carcinoma using Histone H3 (D1H2) XP® Rabbit mAb.
undefined Image 3: NETosis Antibody Sampler Kit
Orders: 877-616-CELL (2355) [email protected] Support: 877-678-TECH (8324) [email protected] Web: cellsignal.com
For Research Use Only. Not for Use in Diagnostic Procedures.

Revision 2

Cell Signaling Technology Logo
Western blot analysis of extracts from U-937, THP-1, and HuH-6 cells, untreated (-) or treated with PNGase F (+), using Cathepsin G (E3N3O) Rabbit mAb (upper) and GAPDH (D16H11) XP® Rabbit mAb #5174 (lower). The lack of detectable Cathepsin G expression in HuH-6 cells is consistent with proteomic and transcriptomic expression profiling data, confirming specificity of the antibody.
undefined Image 4: NETosis Antibody Sampler Kit
After the primary antibody is bound to the target protein, a complex with HRP-linked secondary antibody is formed. The LumiGLO® is added and emits light during enzyme catalyzed decomposition.
undefined Image 5: NETosis Antibody Sampler Kit
Western blot analysis of extracts from various cell lines using Neutrophil Elastase (E9C9L) XP® Rabbit mAb (upper) and β-Actin (D6A8) Rabbit mAb #8457 (lower). As expected, neutrophil elastase protein expression is not detected in either A-498 or Jurkat cells.
undefined Image 6: NETosis Antibody Sampler Kit
Orders: 877-616-CELL (2355) [email protected] Support: 877-678-TECH (8324) [email protected] Web: cellsignal.com
For Research Use Only. Not for Use in Diagnostic Procedures.

Revision 2

Cell Signaling Technology Logo
Western blot analysis of extracts from 293T cells, mock transfected (-) or transfected with a construct expressing human PADI4 (hPADI4; +), and untreated (-) or treated (+) as indicated with: Locke’s Solution (30 min) and A23187 ionophore (5 μM, 30 min), using Citrullinated Histone H3 (Arg17) (E4O3F) Rabbit mAb (upper) or β-Actin (D6A8) Rabbit mAb #8457 (lower). Citrullination of histone H3 is induced by expression of PADI4, along with activation by Locke’s Solution and A23187 ionophore treatment, as expected.
undefined Image 7: NETosis Antibody Sampler Kit
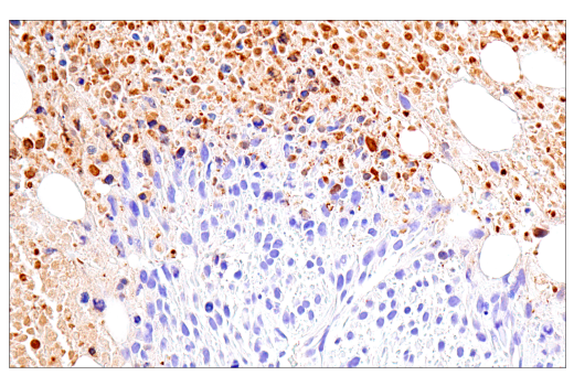
Immunohistochemical analysis of paraffin-embedded human pulmonary sarcoma using Citrullinated Histone H3 (Arg17) (E4O3F) Rabbit mAb.
undefined Image 8: NETosis Antibody Sampler Kit
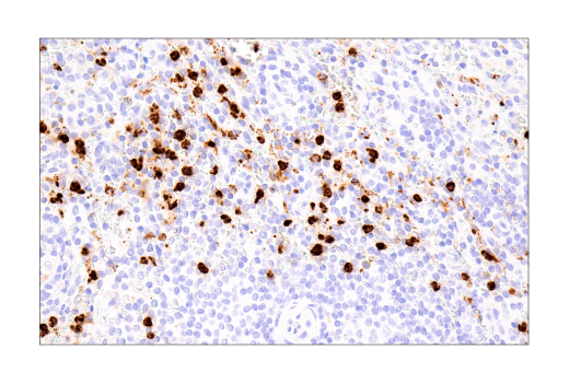
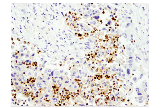
Immunohistochemical analysis of paraffin-embedded colon adenocarcinoma using Myeloperoxidase (E1E7I) XP® Rabbit mAb.
undefined Image 9: NETosis Antibody Sampler Kit
Orders: 877-616-CELL (2355) [email protected] Support: 877-678-TECH (8324) [email protected] Web: cellsignal.com
For Research Use Only. Not for Use in Diagnostic Procedures.

Revision 2

Cell Signaling Technology Logo
Immunohistochemical analysis of paraffin-embedded 4T1 syngeneic mammary tumor using Histone H3 (D1H2) XP® Rabbit mAb.
undefined Image 10: NETosis Antibody Sampler Kit
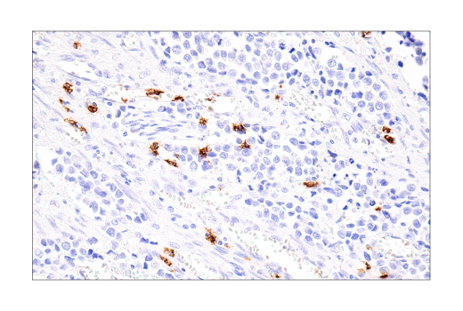
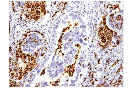
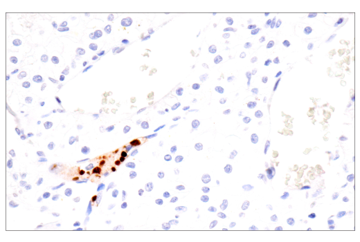
Immunohistochemical analysis of paraffin-embedded human esophageal adenocarcinoma using Cathepsin G (E3N3O) Rabbit mAb.
undefined Image 11: NETosis Antibody Sampler Kit
Western blot analysis of extracts from 293T cells, mock transfected (-) or transfected with a construct expressing Myc/DDK-tagged full-length human neutrophil elastase protein (hNE-Myc/DDK; +), using Neutrophil Elastase (E9C9L) XP® Rabbit mAb (upper), DYKDDDDK Tag Antibody #2368 (middle), and β-Actin (D6A8) Rabbit mAb #8457 (lower).
undefined Image 12: NETosis Antibody Sampler Kit
Orders: 877-616-CELL (2355) [email protected] Support: 877-678-TECH (8324) [email protected] Web: cellsignal.com
For Research Use Only. Not for Use in Diagnostic Procedures.

Revision 2

Cell Signaling Technology Logo
Immunohistochemical analysis of paraffin-embedded human mucoepidermoid carcinoma of the larynx using Citrullinated Histone H3 (Arg17) (E4O3F) Rabbit mAb.
undefined Image 13: NETosis Antibody Sampler Kit
Immunohistochemical analysis of paraffin-embedded non-small cell lung carcinoma using Myeloperoxidase (E1E7I) XP® Rabbit mAb.
undefined Image 14: NETosis Antibody Sampler Kit
Confocal immunofluorescent analysis of HeLa cells using Histone H3 (D1H2) XP® Rabbit mAb (green) and β-Tubulin (9F3) Rabbit mAb (Alexa Fluor® 555 Conjugate) #2116 (red).
undefined Image 15: NETosis Antibody Sampler Kit
Orders: 877-616-CELL (2355) [email protected] Support: 877-678-TECH (8324) [email protected] Web: cellsignal.com
For Research Use Only. Not for Use in Diagnostic Procedures.

Revision 2

Cell Signaling Technology Logo
Immunohistochemical analysis of paraffin-embedded LL/2 syngeneic tumor using Histone H3 (D1H2) XP® Rabbit mAb.
undefined Image 16: NETosis Antibody Sampler Kit
Immunohistochemical analysis of paraffin-embedded human colon carcinoma using Cathepsin G (E3N3O) Rabbit mAb (left) compared to concentration-matched Rabbit (DA1E) mAb IgG XP® Isotype Control #3900 (right).
undefined Image 17: NETosis Antibody Sampler Kit
Immunoprecipitation of neutrophil elastase from THP-1 cell extracts. Lane 1 is 10% input, lane 2 is Rabbit (DA1E) mAb IgG XP® Isotype Control #3900, and lane 3 is Neutrophil Elastase (E9C9L) XP® Rabbit mAb. Western blot analysis was performed using Neutrophil Elastase (E9C9L) XP® Rabbit mAb. Mouse Anti-Rabbit IgG (Conformation Specific) (L27A9) mAb (HRP Conjugate) #5127 was used for detection to avoid cross-reactivity with IgG.
undefined Image 18: NETosis Antibody Sampler Kit
Orders: 877-616-CELL (2355) [email protected] Support: 877-678-TECH (8324) [email protected] Web: cellsignal.com
For Research Use Only. Not for Use in Diagnostic Procedures.

Revision 2

Cell Signaling Technology Logo
Immunohistochemical analysis of paraffin-embedded human renal cell carcinoma using Citrullinated Histone H3 (Arg17) (E4O3F) Rabbit mAb.
undefined Image 19: NETosis Antibody Sampler Kit
Immunohistochemical analysis of paraffin-embedded HL-60 (left) and HeLa (right) cell pellets using Myeloperoxidase (E1E7I) XP® Rabbit mAb.
undefined Image 20: NETosis Antibody Sampler Kit
Flow cytometric analysis of HeLa cells using Histone H3 (D1H2) XP® Rabbit mAb (solid line) or a concentration-matched Rabbit (DA1E) mAb IgG XP® Isotype Control #3900 (dashed line). Anti-rabbit IgG (H+L), F(ab')2 Fragment (Alexa Fluor® 488 Conjugate) #4412 was used as a secondary antibody.
undefined Image 21: NETosis Antibody Sampler Kit
Orders: 877-616-CELL (2355) [email protected] Support: 877-678-TECH (8324) [email protected] Web: cellsignal.com
For Research Use Only. Not for Use in Diagnostic Procedures.

Revision 2

Cell Signaling Technology Logo
Immunohistochemical analysis of paraffin-embedded mouse brain using Histone H3 (D1H2) XP® Rabbit mAb.
undefined Image 22: NETosis Antibody Sampler Kit
Immunohistochemical analysis of paraffin-embedded THP-1 cell pellet (left, positive) or HuH-6 cell pellet (right, negative) using Cathepsin G (E3N3O) Rabbit mAb.
undefined Image 23: NETosis Antibody Sampler Kit
Confocal immunofluorescent analysis of THP-1 cells differentiated with TPA #4174 (80 nM, 24 hr; left, positive) and A-498 cells (right, negative), using Neutrophil Elastase (E9C9L) XP® Rabbit mAb (green). Samples were mounted in ProLong® Gold Antifade Reagent with DAPI #8961 (blue).
undefined Image 24: NETosis Antibody Sampler Kit
Orders: 877-616-CELL (2355) [email protected] Support: 877-678-TECH (8324) [email protected] Web: cellsignal.com
For Research Use Only. Not for Use in Diagnostic Procedures.

Revision 2

Cell Signaling Technology Logo
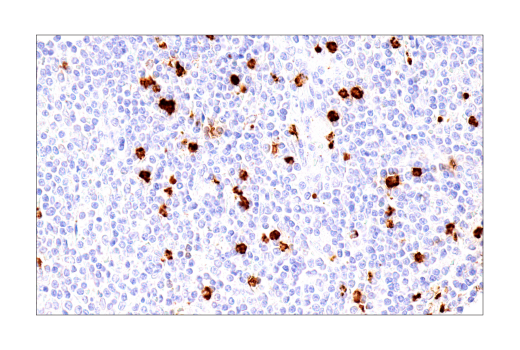
Immunohistochemical analysis of paraffin-embedded normal human spleen using Citrullinated Histone H3 (Arg17) (E4O3F) Rabbit mAb.
undefined Image 25: NETosis Antibody Sampler Kit
Confocal immunofluorescent analysis of HL-60 cells (left, positive) or HeLa cells (right, negative) using Myeloperoxidase (E1E7I) XP® Rabbit mAb #14569 (green). Samples were mounted in ProLong® Gold Antifade Reagent with DAPI #8961 (blue).
undefined Image 26: NETosis Antibody Sampler Kit
Immunohistochemical analysis of paraffin-embedded rhesus monkey liver using Histone H3 (D1H2) XP® Rabbit mAb.
undefined Image 27: NETosis Antibody Sampler Kit
Orders: 877-616-CELL (2355) [email protected] Support: 877-678-TECH (8324) [email protected] Web: cellsignal.com
For Research Use Only. Not for Use in Diagnostic Procedures.

Revision 2

Cell Signaling Technology Logo
Immunohistochemical analysis of paraffin-embedded normal human colon using Cathepsin G (E3N3O) Rabbit mAb.
undefined Image 28: NETosis Antibody Sampler Kit
Flow cytometric analysis of Jurkat cells (blue) and U-937 cells (green) using Neutrophil Elastase (E9C9L) XP® Rabbit mAb (solid lines) or a concentration-matched Rabbit (DA1E) mAb IgG XP® Isotype Control #3900 (dashed lines). Anti-rabbit IgG (H+L), F(ab')2 Fragment (Alexa Fluor® 488 Conjugate) #4412 was used as a secondary antibody.
undefined Image 29: NETosis Antibody Sampler Kit
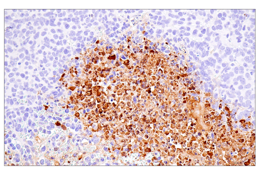
Immunohistochemical analysis of paraffin-embedded normal human thymus using Citrullinated Histone H3 (Arg17) (E4O3F) Rabbit mAb.
undefined Image 30: NETosis Antibody Sampler Kit
Orders: 877-616-CELL (2355) [email protected] Support: 877-678-TECH (8324) [email protected] Web: cellsignal.com
For Research Use Only. Not for Use in Diagnostic Procedures.

Revision 2

Cell Signaling Technology Logo
Immunohistochemical analysis of paraffin-embedded human renal cell carcinoma using Cathepsin G (E3N3O) Rabbit mAb.
undefined Image 31: NETosis Antibody Sampler Kit
Immunohistochemical analysis of paraffin-embedded 4T1 syngeneic tumor using Citrullinated Histone H3 (Arg17) (E4O3F) Rabbit mAb.
undefined Image 32: NETosis Antibody Sampler Kit
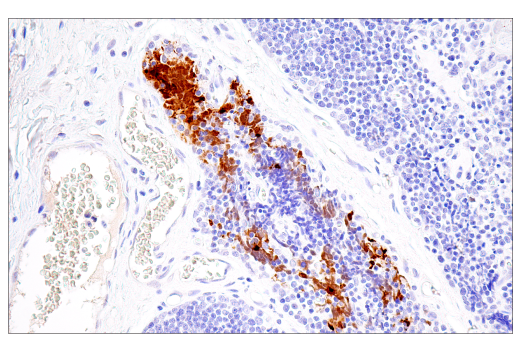
Immunohistochemical analysis of paraffin-embedded normal human lymph node using Cathepsin G (E3N3O) Rabbit mAb.
undefined Image 33: NETosis Antibody Sampler Kit
Orders: 877-616-CELL (2355) [email protected] Support: 877-678-TECH (8324) [email protected] Web: cellsignal.com
For Research Use Only. Not for Use in Diagnostic Procedures.

Revision 2

Cell Signaling Technology Logo
Immunohistochemical analysis of paraffin-embedded MC38 syngeneic tumor using Citrullinated Histone H3 (Arg17) (E4O3F) Rabbit mAb.
undefined Image 34: NETosis Antibody Sampler Kit
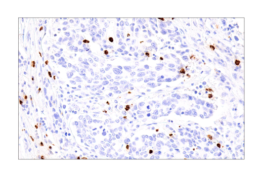
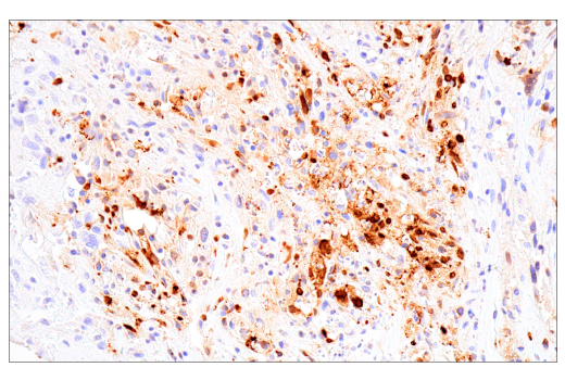
Immunohistochemical analysis of paraffin-embedded human non-Hodgkin lymphoma using Cathepsin G (E3N3O) Rabbit mAb.
undefined Image 35: NETosis Antibody Sampler Kit
Immunohistochemical analysis of paraffin-embedded human ovarian carcinoma using Citrullinated Histone H3 (Arg17) (E4O3F) Rabbit mAb in the presence of non-citrullinated peptide (left) or Arg17 citrullinated peptide (right).
undefined Image 36: NETosis Antibody Sampler Kit
Orders: 877-616-CELL (2355) [email protected] Support: 877-678-TECH (8324) [email protected] Web: cellsignal.com
For Research Use Only. Not for Use in Diagnostic Procedures.

Revision 2

Cell Signaling Technology Logo
Immunohistochemical analysis of paraffin-embedded human endometrioid adenocarcinoma using Cathepsin G (E3N3O) Rabbit mAb.
undefined Image 37: NETosis Antibody Sampler Kit
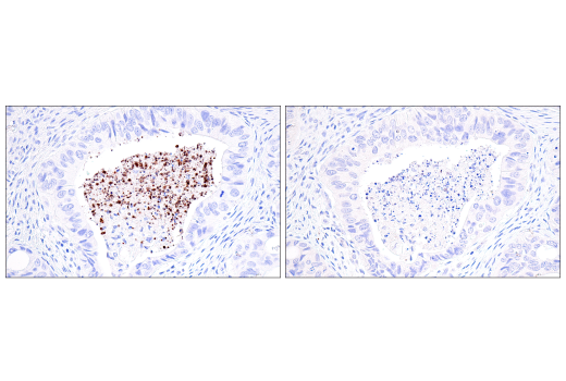
Immunohistochemical analysis of paraffin-embedded Renca syngeneic tumor using Citrullinated Histone H3 (Arg17) (E4O3F) Rabbit mAb (left) compared to concentration-matched Rabbit (DA1E) mAb IgG XP® Isotype Control #3900 (right). 
undefined Image 38: NETosis Antibody Sampler Kit
Flow cytometric analysis of HeLa cells (blue, negative) and HL-60 (green, positive) using Myeloperoxidase (E1E7I) XP® Rabbit mAb (solid lines) or a concentration-matched Rabbit (DA1E) mAb IgG XP® Isotype Control #3900 (dashed lines). Anti-rabbit IgG (H+L), F(ab')2 Fragment (Alexa Fluor® 488 Conjugate) #4412 was used as a secondary antibody.
undefined Image 39: NETosis Antibody Sampler Kit
Orders: 877-616-CELL (2355) [email protected] Support: 877-678-TECH (8324) [email protected] Web: cellsignal.com
For Research Use Only. Not for Use in Diagnostic Procedures.

Revision 2

Cell Signaling Technology Logo
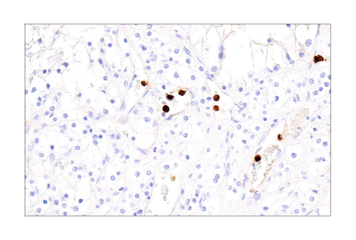
Immunohistochemical analysis of paraffin-embedded human prostate carcinoma using Cathepsin G (E3N3O) Rabbit mAb.
undefined Image 40: NETosis Antibody Sampler Kit
Immunohistochemical analysis of paraffin-embedded 293T cell pellets transfected with a construct expressing human PADI4 (hPADI4), untreated (left) or treated with Locke’s Solution (30 min) and A23187 ionophore (5 μM, 30 min) (right) using Citrullinated Histone H3 (Arg17) (E4O3F) Rabbit mAb.
undefined Image 41: NETosis Antibody Sampler Kit
Immunohistochemical analysis of paraffin-embedded normal human spleen using Cathepsin G (E3N3O) Rabbit mAb.
undefined Image 42: NETosis Antibody Sampler Kit
Orders: 877-616-CELL (2355) [email protected] Support: 877-678-TECH (8324) [email protected] Web: cellsignal.com
For Research Use Only. Not for Use in Diagnostic Procedures.

Revision 2

Cell Signaling Technology Logo
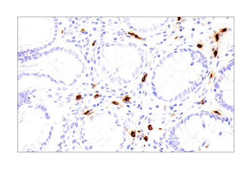
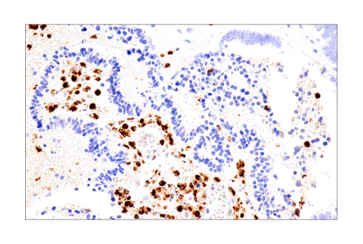
Immunohistochemical analysis of paraffin-embedded human gastric carcinoma using Cathepsin G (E3N3O) Rabbit mAb.
undefined Image 43: NETosis Antibody Sampler Kit
Orders: 877-616-CELL (2355) [email protected] Support: 877-678-TECH (8324) [email protected] Web: cellsignal.com
For Research Use Only. Not for Use in Diagnostic Procedures.