Revision 6

#30564

Store at -20C

CST Logo
Orders:

877-616-CELL (2355)

[email protected]

Support:

877-678-TECH (8324)

3 Trask Lane | Danvers | Massachusetts | 01923 | USA

For Research Use Only. Not for Use in Diagnostic Procedures.

Applications:
W, IP, IHC-Bond, IHC-P, IF-F, IF-IC

Reactivity:
H M R

Sensitivity:
Endogenous

MW (kDa):
180-220

Source/Isotype:
Rabbit IgG

UniProt ID:
#P12036

Entrez-Gene Id:
4744

Product Usage Information

Application Dilution
Western Blotting 1:1000
Immunoprecipitation 1:100
IHC Leica Bond 1:100 - 1:400
Immunohistochemistry (Paraffin) 1:50 - 1:200
Immunofluorescence (Frozen) 1:100 - 1:400
Immunofluorescence (Immunocytochemistry) 1:1600 - 1:6400

Storage

Supplied in 10 mM sodium HEPES (pH 7.5), 150 mM NaCl, 100 µg/mL BSA, 50% glycerol, and less than 0.02% sodium azide. Store at –20°C. Do not aliquot the antibody.

For a carrier free (BSA and azide free) version of this product see product #40459.

Specificity/Sensitivity

Neurofilament-H (E7Z7G) Rabbit Monoclonal Antibody recognizes endogenous levels of total Neurofilament-H protein. Non-specific staining was observed in some tumor and normal epithelium by immunohistochemistry.

Source / Purification

Monoclonal antibody is produced by immunizing animals with a synthetic peptide corresponding to residues surrounding Lys996 of human Neurofilament-H protein.

Background

The cytoskeleton consists of three types of cytosolic fibers: actin microfilaments, intermediate filaments, and microtubules. Neurofilaments are the major intermediate filaments found in neurons and consist of light (NFL), medium (NFM), and heavy (NFH) subunits (1). Similar in structure to other intermediate filament proteins, neurofilaments have a globular amino-terminal head, a central α-helical rod domain, and a carboxy-terminal tail. A heterotetrameric unit (NFL-NFM and NFL-NFH) forms a protofilament, with eight protofilaments comprising the typical 10 nm intermediate filament (2). While neurofilaments are critical for radial axon growth and determine axon caliber, microtubules are involved in axon elongation. PKA phosphorylates the head domain of NFL and NFM to inhibit neurofilament assembly (3,4). Research studies have shown neurofilament accumulations in many human neurological disorders, including Parkinson's disease (in Lewy bodies along with α-synuclein), Alzheimer's disease, Charcot-Marie-Tooth disease, and Amyotrophic Lateral Sclerosis (ALS) (1).

Species Reactivity

Species reactivity is determined by testing in at least one approved application (e.g., western blot).

Western Blot Buffer

IMPORTANT: For western blots, incubate membrane with diluted primary antibody in 5% w/v BSA, 1X TBS, 0.1% Tween® 20 at 4°C with gentle shaking, overnight.

Applications Key

W: Western Blotting IP: Immunoprecipitation IHC-Bond: IHC Leica Bond IHC-P: Immunohistochemistry (Paraffin) IF-F: Immunofluorescence (Frozen) IF-IC: Immunofluorescence (Immunocytochemistry)

Cross-Reactivity Key

H: Human M: Mouse R: Rat

Trademarks and Patents

Cell Signaling Technology is a trademark of Cell Signaling Technology, Inc.

All other trademarks are the property of their respective owners. Visit cellsignal.com/trademarks for more information.

Limited Uses

Except as otherwise expressly agreed in a writing signed by a legally authorized representative of CST, the following terms apply to Products provided by CST, its affiliates or its distributors. Any Customer's terms and conditions that are in addition to, or different from, those contained herein, unless separately accepted in writing by a legally authorized representative of CST, are rejected and are of no force or effect.

Products are labeled with For Research Use Only or a similar labeling statement and have not been approved, cleared, or licensed by the FDA or other regulatory foreign or domestic entity, for any purpose. Customer shall not use any Product for any diagnostic or therapeutic purpose, or otherwise in any manner that conflicts with its labeling statement. Products sold or licensed by CST are provided for Customer as the end-user and solely for research and development uses. Any use of Product for diagnostic, prophylactic or therapeutic purposes, or any purchase of Product for resale (alone or as a component) or other commercial purpose, requires a separate license from CST. Customer shall (a) not sell, license, loan, donate or otherwise transfer or make available any Product to any third party, whether alone or in combination with other materials, or use the Products to manufacture any commercial products, (b) not copy, modify, reverse engineer, decompile, disassemble or otherwise attempt to discover the underlying structure or technology of the Products, or use the Products for the purpose of developing any products or services that would compete with CST products or services, (c) not alter or remove from the Products any trademarks, trade names, logos, patent or copyright notices or markings, (d) use the Products solely in accordance with CST Product Terms of Sale and any applicable documentation, and (e) comply with any license, terms of service or similar agreement with respect to any third party products or services used by Customer in connection with the Products.

Orders: 877-616-CELL (2355) [email protected] Support: 877-678-TECH (8324) [email protected] Web: cellsignal.com
For Research Use Only. Not for Use in Diagnostic Procedures.

Revision 6

Cell Signaling Technology Logo
Western blot analysis of extracts from human cerebellum, mouse brain, and mouse spleen tissue using Neurofilament-H (E7Z7G) Rabbit mAb (upper) or GAPDH (D16H11) XP® Rabbit mAb #5174 (lower). Low expression of Neurofilament-H protein in mouse spleen tissue is consistent with the predicted expression pattern.
Western Blotting Image 1: Neurofilament-H (E7Z7G) Rabbit Monoclonal Antibody
Immunoprecipitation of Neurofilament-H protein from Kelly cell extracts. Lane 1 is 10% input, lane 2 is Rabbit (DA1E) mAb IgG XP® Isotype Control #3900, and lane 3 is Neurofilament-H (E7Z7G) Rabbit mAb. Western blot analysis was performed using Neurofilament-H (E7Z7G) Rabbit mAb. Anti-rabbit IgG, HRP-linked Antibody #7074 was used as a secondary antibody.
Immunoprecipitation Image 1: Neurofilament-H (E7Z7G) Rabbit Monoclonal Antibody
Immunohistochemical analysis of paraffin-embedded normal mouse midbrain using Neurofilament-H (E7Z7G) Rabbit mAb performed on the Leica® BOND™ Rx.
Immunohistochemistry Image 1: Neurofilament-H (E7Z7G) Rabbit Monoclonal Antibody
Orders: 877-616-CELL (2355) [email protected] Support: 877-678-TECH (8324) [email protected] Web: cellsignal.com
For Research Use Only. Not for Use in Diagnostic Procedures.

Revision 6

Cell Signaling Technology Logo
Immunohistochemical analysis of paraffin-embedded normal mouse pons using Neurofilament-H (E7Z7G) Rabbit mAb performed on the Leica® BOND™ Rx.
Immunohistochemistry Image 2: Neurofilament-H (E7Z7G) Rabbit Monoclonal Antibody
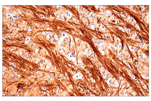
Immunohistochemical analysis of paraffin-embedded normal human brain using Neurofilament-H (E7Z7G) Rabbit mAb.
Immunohistochemistry Image 1: Neurofilament-H (E7Z7G) Rabbit Monoclonal Antibody
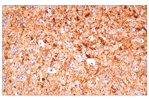
Immunohistochemical analysis of paraffin-embedded normal human brain using Neurofilament-H (E7Z7G) Rabbit mAb.
Immunohistochemistry Image 2: Neurofilament-H (E7Z7G) Rabbit Monoclonal Antibody
Orders: 877-616-CELL (2355) [email protected] Support: 877-678-TECH (8324) [email protected] Web: cellsignal.com
For Research Use Only. Not for Use in Diagnostic Procedures.

Revision 6

Cell Signaling Technology Logo
Immunohistochemical analysis of paraffin-embedded normal mouse caudoputamen using Neurofilament-H (E7Z7G) Rabbit mAb.
Immunohistochemistry Image 3: Neurofilament-H (E7Z7G) Rabbit Monoclonal Antibody
Immunohistochemical analysis of paraffin-embedded normal mouse spinal cord using Neurofilament-H (E7Z7G) Rabbit mAb.
Immunohistochemistry Image 4: Neurofilament-H (E7Z7G) Rabbit Monoclonal Antibody
Immunohistochemical analysis of paraffin-embedded normal human brain (left), normal mouse cerebellum (middle), or normal mouse medulla (right) using Neurofilament-H (E7Z7G) Rabbit mAb (top) or a Neurofilament-H Rabbit pAb (bottom). These two antibodies detect unique, non-overlapping epitopes on Neurofilament-H protein. The similar staining patterns obtained with both antibodies help to confirm the specificity of the staining.
Immunohistochemistry Image 5: Neurofilament-H (E7Z7G) Rabbit Monoclonal Antibody
Orders: 877-616-CELL (2355) [email protected] Support: 877-678-TECH (8324) [email protected] Web: cellsignal.com
For Research Use Only. Not for Use in Diagnostic Procedures.

Revision 6

Cell Signaling Technology Logo
Immunohistochemical analysis of paraffin-embedded normal mouse thalamus using Neurofilament-H (E7Z7G) Rabbit mAb (left) compared to concentration-matched Rabbit (DA1E) mAb IgG XP® Isotype Control #3900 (right).
Immunohistochemistry Image 6: Neurofilament-H (E7Z7G) Rabbit Monoclonal Antibody
Immunohistochemical analysis of paraffin-embedded Kelly cell pellet (left, positive) or SW480 cell pellet (right, negative) using Neurofilament-H (E7Z7G) Rabbit mAb.
Immunohistochemistry Image 7: Neurofilament-H (E7Z7G) Rabbit Monoclonal Antibody
Confocal immunofluorescent analysis of fixed frozen mouse hippocampus labeled with Neurofilament-H (E7Z7G) Rabbit mAb (left, red). Free secondary binding sites were then blocked with Rabbit (DA1E) mAb IgG XP® Isotype Control #3900 prior to co-labeling with GFAP (GA5) Mouse mAb (Alexa Fluor® 488 Conjugate) #3655 (right, green), Iba1/AIF-1 (E4O4W) XP® Rabbit mAb (Alexa Fluor® 647 Conjugate) #78060 (right, yellow), and DAPI #4083 (right, blue).
Immunofluorescence Image 1: Neurofilament-H (E7Z7G) Rabbit Monoclonal Antibody
Orders: 877-616-CELL (2355) [email protected] Support: 877-678-TECH (8324) [email protected] Web: cellsignal.com
For Research Use Only. Not for Use in Diagnostic Procedures.

Revision 6

Cell Signaling Technology Logo
Confocal immunofluorescent analysis of fixed frozen mouse pons labeled with Neurofilament-H (E7Z7G) Rabbit mAb (left, red). Free secondary binding sites were then blocked with Rabbit (DA1E) mAb IgG XP® Isotype Control #3900 prior to co-labeling with GFAP (GA5) Mouse mAb (Alexa Fluor® 488 Conjugate) #3655 (right, green), and DAPI #4083 (right, blue).
Immunofluorescence Image 2: Neurofilament-H (E7Z7G) Rabbit Monoclonal Antibody
Confocal immunofluorescent analysis of fixed frozen mouse retina labeled with Neurofilament-H (E7Z7G) Rabbit mAb (left, red). Free secondary binding sites were then blocked with Rabbit (DA1E) mAb IgG XP® Isotype Control #3900 prior to co-labeling with GFAP (GA5) Mouse mAb (Alexa Fluor® 488 Conjugate) #3655 (right, green), Iba1/AIF-1 (E4O4W) XP® Rabbit mAb (Alexa Fluor® 647 Conjugate) #78060 (right, yellow pseudocolor), and DAPI #4083 (right, blue).
Immunofluorescence Image 3: Neurofilament-H (E7Z7G) Rabbit Monoclonal Antibody
Confocal immunofluorescent analysis of A2780 cells (left, positive) and UACC-62 cells (right, negative) using Neurofilament-H (E7Z7G) Rabbit mAb (green), DyLight™ 650 Phalloidin #12956 (red), and DAPI #4083 (blue).
Immunofluorescence Image 1: Neurofilament-H (E7Z7G) Rabbit Monoclonal Antibody
Orders: 877-616-CELL (2355) [email protected] Support: 877-678-TECH (8324) [email protected] Web: cellsignal.com
For Research Use Only. Not for Use in Diagnostic Procedures.

Revision 6

Cell Signaling Technology Logo
Confocal immunofluorescent analysis of human iPSC-derived cortical glutamatergic neurons at 7 days in vitro using Neurofilament-H (E7Z7G) Rabbit mAb (green) and DAPI #4083 (blue). iCell GlutaNeurons were kindly provided by FUJIFILM Cellular Dynamics, Inc.
Immunofluorescence Image 2: Neurofilament-H (E7Z7G) Rabbit Monoclonal Antibody
Orders: 877-616-CELL (2355) [email protected] Support: 877-678-TECH (8324) [email protected] Web: cellsignal.com
For Research Use Only. Not for Use in Diagnostic Procedures.