Revision 6

#67255

Store at -20C

CST Logo
Orders:

877-616-CELL (2355)

[email protected]

Support:

877-678-TECH (8324)

3 Trask Lane | Danvers | Massachusetts | 01923 | USA

For Research Use Only. Not for Use in Diagnostic Procedures.

Applications:
W, W-S, IP, IHC-Bond, IHC-P, IF-F, IF-IC

Reactivity:
H M R

Sensitivity:
Endogenous

MW (kDa):
160

Source/Isotype:
Rabbit IgG

UniProt ID:
#P07197

Entrez-Gene Id:
4741

Product Usage Information

Application Dilution
Western Blotting 1:1000
Simple Western™ 1:10 - 1:50
Immunoprecipitation 1:50
IHC Leica Bond 1:200 - 1:800
Immunohistochemistry (Paraffin) 1:50 - 1:200
Immunofluorescence (Frozen) 1:200 - 1:800
Immunofluorescence (Immunocytochemistry) 1:200 - 1:800

Storage

Supplied in 10 mM sodium HEPES (pH 7.5), 150 mM NaCl, 100 µg/ml BSA, 50% glycerol and less than 0.02% sodium azide. Store at –20°C. Do not aliquot the antibody.

For a carrier free (BSA and azide free) version of this product see product #53682.

Specificity/Sensitivity

Neurofilament-M (E7L2T) Rabbit Monoclonal Antibody recognizes endogenous levels of total Neurofilament-M protein. Non-specific staining was observed in skeletal muscle and some immune cells by immunohistochemistry.

Source / Purification

Monoclonal antibody is produced by immunizing animals with a synthetic peptide corresponding to residues near the carboxy terminus of human Neurofilament-M protein.

Background

The cytoskeleton consists of three types of cytosolic fibers: actin microfilaments, intermediate filaments, and microtubules. Neurofilaments are the major intermediate filaments found in neurons and consist of light (NFL), medium (NFM), and heavy (NFH) subunits (1). Similar in structure to other intermediate filament proteins, neurofilaments have a globular amino-terminal head, a central α-helical rod domain, and a carboxy-terminal tail. A heterotetrameric unit (NFL-NFM and NFL-NFH) forms a protofilament, with eight protofilaments comprising the typical 10 nm intermediate filament (2). While neurofilaments are critical for radial axon growth and determine axon caliber, microtubules are involved in axon elongation. PKA phosphorylates the head domain of NFL and NFM to inhibit neurofilament assembly (3,4). Research studies have shown neurofilament accumulations in many human neurological disorders, including Parkinson's disease (in Lewy bodies along with α-synuclein), Alzheimer's disease, Charcot-Marie-Tooth disease, and Amyotrophic Lateral Sclerosis (ALS) (1).

Species Reactivity

Species reactivity is determined by testing in at least one approved application (e.g., western blot).

Western Blot Buffer

IMPORTANT: For western blots, incubate membrane with diluted primary antibody in 5% w/v BSA, 1X TBS, 0.1% Tween® 20 at 4°C with gentle shaking, overnight.

Applications Key

W: Western Blotting W-S: Simple Western™ IP: Immunoprecipitation IHC-Bond: IHC Leica Bond IHC-P: Immunohistochemistry (Paraffin) IF-F: Immunofluorescence (Frozen) IF-IC: Immunofluorescence (Immunocytochemistry)

Cross-Reactivity Key

H: Human M: Mouse R: Rat

Trademarks and Patents

Cell Signaling Technology is a trademark of Cell Signaling Technology, Inc.

SignalStain is a registered trademark of Cell Signaling Technology, Inc.

All other trademarks are the property of their respective owners. Visit cellsignal.com/trademarks for more information.

Limited Uses

Except as otherwise expressly agreed in a writing signed by a legally authorized representative of CST, the following terms apply to Products provided by CST, its affiliates or its distributors. Any Customer's terms and conditions that are in addition to, or different from, those contained herein, unless separately accepted in writing by a legally authorized representative of CST, are rejected and are of no force or effect.

Products are labeled with For Research Use Only or a similar labeling statement and have not been approved, cleared, or licensed by the FDA or other regulatory foreign or domestic entity, for any purpose. Customer shall not use any Product for any diagnostic or therapeutic purpose, or otherwise in any manner that conflicts with its labeling statement. Products sold or licensed by CST are provided for Customer as the end-user and solely for research and development uses. Any use of Product for diagnostic, prophylactic or therapeutic purposes, or any purchase of Product for resale (alone or as a component) or other commercial purpose, requires a separate license from CST. Customer shall (a) not sell, license, loan, donate or otherwise transfer or make available any Product to any third party, whether alone or in combination with other materials, or use the Products to manufacture any commercial products, (b) not copy, modify, reverse engineer, decompile, disassemble or otherwise attempt to discover the underlying structure or technology of the Products, or use the Products for the purpose of developing any products or services that would compete with CST products or services, (c) not alter or remove from the Products any trademarks, trade names, logos, patent or copyright notices or markings, (d) use the Products solely in accordance with CST Product Terms of Sale and any applicable documentation, and (e) comply with any license, terms of service or similar agreement with respect to any third party products or services used by Customer in connection with the Products.

Orders: 877-616-CELL (2355) [email protected] Support: 877-678-TECH (8324) [email protected] Web: cellsignal.com
For Research Use Only. Not for Use in Diagnostic Procedures.

Revision 6

Cell Signaling Technology Logo
Western blot analysis of extracts from various tissues and cell lines using Neurofilament-M (E7L2T) Rabbit mAb (upper) and β-Actin (D6A8) Rabbit mAb #8457 (lower).
Western Blotting Image 1: Neurofilament-M (E7L2T) Rabbit Monoclonal Antibody
Simple Western™ analysis of lysates (0.5 mg/mL) from Mouse Brain Tissue Extracts using Neurofilament-M (E7L2T) Rabbit mAb #67255. The virtual lane view (left) shows a single target band (as indicated) at 1:10 and 1:50 dilutions of primary antibody. The corresponding electropherogram view (right) plots chemiluminescence by molecular weight along the capillary at 1:10 (blue line) and 1:50 (green line) dilutions of primary antibody. This experiment was performed under reducing conditions on the Jess™ Simple Western instrument from ProteinSimple, a BioTechne brand, using the 66-440 kDa separation module.
Western Blotting Image 1: Neurofilament-M (E7L2T) Rabbit Monoclonal Antibody
Immunoprecipitation of Neurofilament-M protein from mouse brain tissue extracts. Lane 1 is 10% input, lane 2 is Rabbit (DA1E) mAb IgG XP® Isotype Control #3900, and lane 3 is Neurofilament-M (E7L2T) Rabbit mAb. Western blot analysis was performed using Neurofilament-M (E7L2T) Rabbit mAb. Anti-rabbit IgG, HRP-linked Antibody #7074 was used as the secondary antibody.
Immunoprecipitation Image 1: Neurofilament-M (E7L2T) Rabbit Monoclonal Antibody
Orders: 877-616-CELL (2355) [email protected] Support: 877-678-TECH (8324) [email protected] Web: cellsignal.com
For Research Use Only. Not for Use in Diagnostic Procedures.

Revision 6

Cell Signaling Technology Logo
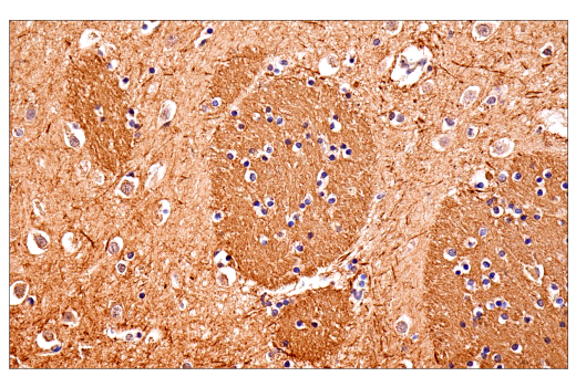
Immunohistochemical analysis of paraffin-embedded normal human brain using Neurofilament-M (E7L2T) Rabbit mAb performed on the Leica BOND RX.
Immunohistochemistry Image 1: Neurofilament-M (E7L2T) Rabbit Monoclonal Antibody
Immunohistochemical analysis of paraffin-embedded normal human brain using Neurofilament-M (E7L2T) Rabbit mAb.
Immunohistochemistry Image 1: Neurofilament-M (E7L2T) Rabbit Monoclonal Antibody
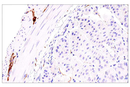
Immunohistochemical analysis of paraffin-embedded human colon carcinoma using Neurofilament-M (E7L2T) Rabbit mAb.
Immunohistochemistry Image 2: Neurofilament-M (E7L2T) Rabbit Monoclonal Antibody
Orders: 877-616-CELL (2355) [email protected] Support: 877-678-TECH (8324) [email protected] Web: cellsignal.com
For Research Use Only. Not for Use in Diagnostic Procedures.

Revision 6

Cell Signaling Technology Logo
Immunohistochemical analysis of paraffin-embedded human prostate carcinoma using Neurofilament-M (E7L2T) Rabbit mAb.
Immunohistochemistry Image 3: Neurofilament-M (E7L2T) Rabbit Monoclonal Antibody
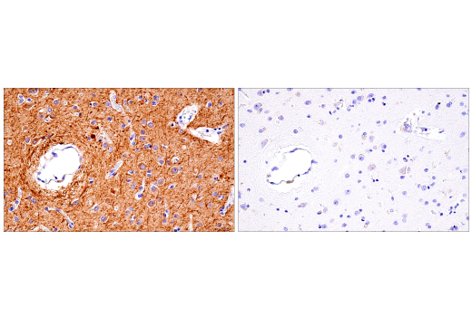
Immunohistochemical analysis of paraffin-embedded normal human brain using Neurofilament-M (E7L2T) Rabbit mAb (left) compared to concentration-matched Rabbit (DA1E) mAb IgG XP® Isotype Control #3900 (right).
Immunohistochemistry Image 4: Neurofilament-M (E7L2T) Rabbit Monoclonal Antibody
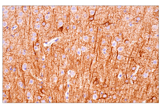
Immunohistochemical analysis of paraffin-embedded normal mouse brain using Neurofilament-M (E7L2T) Rabbit mAb.
Immunohistochemistry Image 5: Neurofilament-M (E7L2T) Rabbit Monoclonal Antibody
Orders: 877-616-CELL (2355) [email protected] Support: 877-678-TECH (8324) [email protected] Web: cellsignal.com
For Research Use Only. Not for Use in Diagnostic Procedures.

Revision 6

Cell Signaling Technology Logo
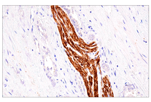
Immunohistochemical analysis of paraffin-embedded normal mouse stomach using Neurofilament-M (E7L2T) Rabbit mAb.
Immunohistochemistry Image 6: Neurofilament-M (E7L2T) Rabbit Monoclonal Antibody
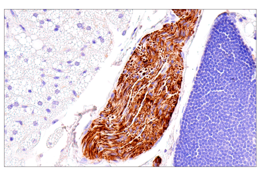
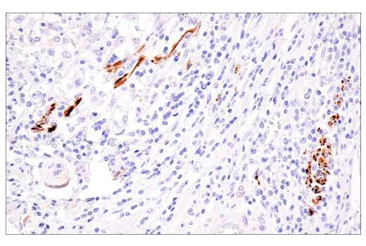
Immunohistochemical analysis of paraffin-embedded normal mouse thymus with adjacent nerve using Neurofilament-M (E7L2T) Rabbit mAb.
Immunohistochemistry Image 7: Neurofilament-M (E7L2T) Rabbit Monoclonal Antibody
Immunohistochemical analysis of paraffin-embedded A-673 cell pellet (left, positive) or T24 cell pellet (right, negative) using Neurofilament-M (E7L2T) Rabbit mAb.
Immunohistochemistry Image 8: Neurofilament-M (E7L2T) Rabbit Monoclonal Antibody
Orders: 877-616-CELL (2355) [email protected] Support: 877-678-TECH (8324) [email protected] Web: cellsignal.com
For Research Use Only. Not for Use in Diagnostic Procedures.

Revision 6

Cell Signaling Technology Logo
Confocal immunofluorescent analysis of mouse striatum using Neurofilament-M (E7L2T) Rabbit mAb (green), β3-Tubulin (TU-20) Mouse mAb #4466 (red), and ProLong® Gold Antifade Reagent with DAPI #8961 (blue).
Immunofluorescence Image 1: Neurofilament-M (E7L2T) Rabbit Monoclonal Antibody
Confocal immunofluorescent analysis of mouse cerebellum using Neurofilament-M (E7L2T) Rabbit mAb (green), β3-Tubulin (TU-20) Mouse mAb #4466 (red), and ProLong® Gold Antifade Reagent with DAPI #8961 (blue).
Immunofluorescence Image 2: Neurofilament-M (E7L2T) Rabbit Monoclonal Antibody
Confocal immunofluorescent analysis of A-673 cells (left, positive) or T24 cells (right, negative) using Neurofilament-M (E7L2T) Rabbit mAb (green), DyLight™ 650 Phalloidin #12956 (red), and DAPI #4083 (blue).
Immunofluorescence Image 1: Neurofilament-M (E7L2T) Rabbit Monoclonal Antibody
Orders: 877-616-CELL (2355) [email protected] Support: 877-678-TECH (8324) [email protected] Web: cellsignal.com
For Research Use Only. Not for Use in Diagnostic Procedures.