Revision 4

#77100

Store at -80C

CST Logo
Orders:

877-616-CELL (2355)

[email protected]

Support:

877-678-TECH (8324)

3 Trask Lane | Danvers | Massachusetts | 01923 | USA

For Research Use Only. Not for Use in Diagnostic Procedures.

Applications:
W, IHC-P, IF-F, IF-IC

Reactivity:
H M R

Sensitivity:
Endogenous

MW (kDa):
4, 11

Source/Isotype:
Rabbit IgG

UniProt ID:
#P01303

Entrez-Gene Id:
4852

Product Usage Information

This product is the carrier free version of product #11976. All data were generated using the same antibody clone in the standard formulation which contains BSA and glycerol.

This formulation is ideal for use with technologies requiring specialized or custom antibody labeling, including fluorophores, metals, lanthanides, and oligonucleotides. It is not recommended for ChIP, ChIP-seq, CUT&RUN, or CUT&Tag assays. If you require a carrier-free formulation for chromatin profiling, please contact us. Optimal dilutions/concentrations should be determined by the end user.

Formulation

Supplied in 1X PBS, BSA and Azide Free.

For standard formulation of this product see product #11976.

Storage

Store at -20°C. This product will freeze at -20°C so it is recommended to aliquot into single-use vials to avoid multiple freeze/thaw cycles. A slight precipitate may be present and can be dissolved by gently vortexing. This will not interfere with antibody performance.

Specificity/Sensitivity

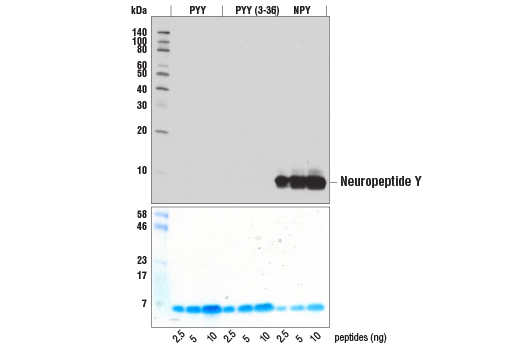
Neuropeptide Y (D7Y5A) Rabbit Monoclonal Antibody (BSA and Azide Free) recognizes endogenous levels of precursor (11 kDa) and mature (4 kDa) neuropeptide Y. This antibody does not cross-react with peptide YY or peptide YY (3-36) peptides. This antibody may cross-react with a protein of unknown origin at 80 kDa in some cell lines.

Source / Purification

Monoclonal antibody is produced by immunizing animals with a synthetic peptide corresponding to residues near the amino terminus of human mature neuropeptide Y.

Background

Neuropeptide Y (NPY) is a 36 amino acid peptide that belongs to the pancreatic polypeptide (PP) family, which also includes peptide YY (PYY) (1). The mature 36-residue NPY is produced from a larger pre-pro 97-residue NPY precursor through a series of cleavage reactions at dibasic sites and C-terminal amidation of the peptide product (2). NPY is widely expressed in the central nervous system (3) and exerts its action through stimulation of 5 different receptors (Y1-Y5) that belong to the G protein-coupled receptor family (4). NPY in the hypothalamus exhibits orexigenic activity through activation of Y1 and Y5 receptors (5). NPY is involved in the control of bone homeostasis, through the regulation of osteoblast activity by Y1 and Y2 receptors (6), and the regulation of testosterone secretion by activating Y1 receptor in testicular vessels (7). Research studies suggest that modulation of NPY activity and signaling represents a potential strategy for the development of appetite control and antiobesity agents (8).

Species Reactivity

Species reactivity is determined by testing in at least one approved application (e.g., western blot).

Applications Key

W: Western Blotting IHC-P: Immunohistochemistry (Paraffin) IF-F: Immunofluorescence (Frozen) IF-IC: Immunofluorescence (Immunocytochemistry)

Cross-Reactivity Key

H: Human M: Mouse R: Rat

Trademarks and Patents

Cell Signaling Technology is a trademark of Cell Signaling Technology, Inc.

All other trademarks are the property of their respective owners. Visit cellsignal.com/trademarks for more information.

Limited Uses

Except as otherwise expressly agreed in a writing signed by a legally authorized representative of CST, the following terms apply to Products provided by CST, its affiliates or its distributors. Any Customer's terms and conditions that are in addition to, or different from, those contained herein, unless separately accepted in writing by a legally authorized representative of CST, are rejected and are of no force or effect.

Products are labeled with For Research Use Only or a similar labeling statement and have not been approved, cleared, or licensed by the FDA or other regulatory foreign or domestic entity, for any purpose. Customer shall not use any Product for any diagnostic or therapeutic purpose, or otherwise in any manner that conflicts with its labeling statement. Products sold or licensed by CST are provided for Customer as the end-user and solely for research and development uses. Any use of Product for diagnostic, prophylactic or therapeutic purposes, or any purchase of Product for resale (alone or as a component) or other commercial purpose, requires a separate license from CST. Customer shall (a) not sell, license, loan, donate or otherwise transfer or make available any Product to any third party, whether alone or in combination with other materials, or use the Products to manufacture any commercial products, (b) not copy, modify, reverse engineer, decompile, disassemble or otherwise attempt to discover the underlying structure or technology of the Products, or use the Products for the purpose of developing any products or services that would compete with CST products or services, (c) not alter or remove from the Products any trademarks, trade names, logos, patent or copyright notices or markings, (d) use the Products solely in accordance with CST Product Terms of Sale and any applicable documentation, and (e) comply with any license, terms of service or similar agreement with respect to any third party products or services used by Customer in connection with the Products.

Orders: 877-616-CELL (2355) [email protected] Support: 877-678-TECH (8324) [email protected] Web: cellsignal.com
For Research Use Only. Not for Use in Diagnostic Procedures.

Revision 4

Cell Signaling Technology Logo
Western blot analysis of extracts from human hypothalamus and rat spleen using Neuropeptide Y (D7Y5A) XP® Rabbit mAb. Data were generated using the standard formulation of this product.
Western Blotting Image 1: Neuropeptide Y (D7Y5A) Rabbit Monoclonal Antibody (BSA and Azide Free)
Western blot analysis of the indicated amounts of human neuropeptide Y using Neuropeptide Y (D7Y5A) XP® Rabbit mAb. Data were generated using the standard formulation of this product.
Western Blotting Image 2: Neuropeptide Y (D7Y5A) Rabbit Monoclonal Antibody (BSA and Azide Free)
Western blot analysis of the indicated amounts of human peptide YY (PYY), peptide YY (PYY) (3-36), and neuropeptide Y (NPY) peptides using Neuropeptide Y (D7Y5A) XP® Rabbit mAb (upper). Peptide loading was confirmed by staining overnight with Coomassie Blue (lower). Data were generated using the standard formulation of this product.
Western Blotting Image 3: Neuropeptide Y (D7Y5A) Rabbit Monoclonal Antibody (BSA and Azide Free)
Orders: 877-616-CELL (2355) [email protected] Support: 877-678-TECH (8324) [email protected] Web: cellsignal.com
For Research Use Only. Not for Use in Diagnostic Procedures.

Revision 4

Cell Signaling Technology Logo
Western blot analysis of extracts from SH-SY5Y cells, untreated (-) or treated with TPA #4174 (200 nM, 24 hr; +), using Neuropeptide Y (D7Y5A) XP® Rabbit mAb (upper) or β-Actin (D6A8) Rabbit mAb #8457 (lower). Data were generated using the standard formulation of this product.
Western Blotting Image 4: Neuropeptide Y (D7Y5A) Rabbit Monoclonal Antibody (BSA and Azide Free)
Immunohistochemical analysis of paraffin-embedded mouse brain using Neuropeptide Y (D7Y5A) XP® Rabbit mAb. Data were generated using the standard formulation of this product.
Immunohistochemistry Image 1: Neuropeptide Y (D7Y5A) Rabbit Monoclonal Antibody (BSA and Azide Free)
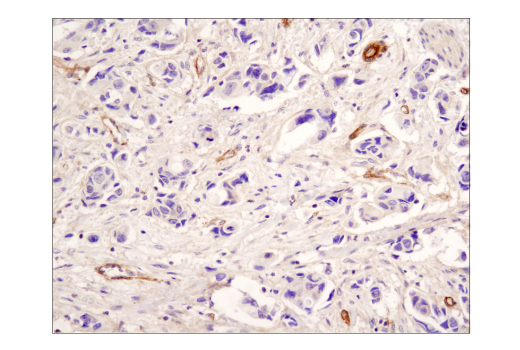
Immunohistochemical analysis of paraffin-embedded human breast carcinoma using Neuropeptide Y (D7Y5A) XP® Rabbit mAb. Data were generated using the standard formulation of this product.
Immunohistochemistry Image 2: Neuropeptide Y (D7Y5A) Rabbit Monoclonal Antibody (BSA and Azide Free)
Orders: 877-616-CELL (2355) [email protected] Support: 877-678-TECH (8324) [email protected] Web: cellsignal.com
For Research Use Only. Not for Use in Diagnostic Procedures.

Revision 4

Cell Signaling Technology Logo
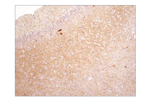
Immunohistochemical analysis of paraffin-embedded rat brain using Neuropeptide Y (D7Y5A) XP® Rabbit mAb. Data were generated using the standard formulation of this product.
Immunohistochemistry Image 3: Neuropeptide Y (D7Y5A) Rabbit Monoclonal Antibody (BSA and Azide Free)
Confocal immunofluorescent analysis of fixed frozen mouse hypothalamus using Neuropeptide Y (D7Y5A) XP® Rabbit mAb (green), β3-Tubulin (TU-20) Mouse mAb #4466 (red), and DRAQ5® #4084 (fluorescent DNA dye) (blue). Data were generated using the standard formulation of this product.
Immunofluorescence Image 1: Neuropeptide Y (D7Y5A) Rabbit Monoclonal Antibody (BSA and Azide Free)
Confocal immunofluorescent analysis of SH-SY5Y cells, treated with TPA #4174 (200 nM, 24 hr; left) or untreated (right), using Neuropeptide Y (D7Y5A) XP® Rabbit mAb (green), DyLight™ 554 Phalloidin #13054 (red), and DRAQ5® #4084 (blue). Data were generated using the standard formulation of this product.
Immunofluorescence Image 1: Neuropeptide Y (D7Y5A) Rabbit Monoclonal Antibody (BSA and Azide Free)
Orders: 877-616-CELL (2355) [email protected] Support: 877-678-TECH (8324) [email protected] Web: cellsignal.com
For Research Use Only. Not for Use in Diagnostic Procedures.