Revision 4

#28162

Store at -20C

CST Logo
Orders:

877-616-CELL (2355)

[email protected]

Support:

877-678-TECH (8324)

3 Trask Lane | Danvers | Massachusetts | 01923 | USA

For Research Use Only. Not for Use in Diagnostic Procedures.

Applications:
W, IHC-Bond, IHC-P

Reactivity:
H

Sensitivity:
Endogenous

MW (kDa):
25

Source/Isotype:
Rabbit IgG

UniProt ID:
#P08246

Entrez-Gene Id:
1991

Product Usage Information

Application Dilution
Western Blotting 1:1000
IHC Leica Bond 1:400 - 1:1600
Immunohistochemistry (Paraffin) 1:200 - 1:800

Storage

Supplied in 10 mM sodium HEPES (pH 7.5), 150 mM NaCl, 100 µg/mL BSA, 50% glycerol, and less than 0.02% sodium azide. Store at –20°C. Do not aliquot the antibody.

For a carrier free (BSA and azide free) version of this product see product #61891.

Specificity/Sensitivity

Neutrophil Elastase (F4H3X) Rabbit Monoclonal Antibody recognizes endogenous levels of total neutrophil elastase protein. This antibody cross-reacts with pro- and mature forms of neutrophil elastase protein.

Source / Purification

Monoclonal antibody is produced by immunizing animals with full-length recombinant protein specific to human neutrophil elastase protein.

Background

Neutrophil elastase is a hematopoietic serine protease that belongs to the chymotrypsin superfamily and plays a critical role in the innate immune function of mature neutrophils and monocytes (1,2). Neutrophil elastase is actively synthesized as an inactive zymogen in myelocytic precursor cells of the bone marrow, which then undergoes activation by limited proteolysis and sorting to primary (azurophil) storage granules of mature neutrophil granulocytes for regulated release (3,4). Research studies have shown that neutrophils play a significant role in mediating the inflammatory response through the release of neutrophil elastase, which activates pro-inflammatory cytokines and degrades components of the extracellular matrix and Gram-negative bacteria (5). Mutations in the gene encoding neutrophil elastase, ELA2, have been implicated in hematological diseases such as cyclic and severe congenital neutropenia, which is characterized by defects in promyelocyte maturation (6,7).

Species Reactivity

Species reactivity is determined by testing in at least one approved application (e.g., western blot).

Western Blot Buffer

IMPORTANT: For western blots, incubate membrane with diluted primary antibody in 5% w/v nonfat dry milk, 1X TBS, 0.1% Tween® 20 at 4°C with gentle shaking, overnight.

Applications Key

W: Western Blotting IHC-Bond: IHC Leica Bond IHC-P: Immunohistochemistry (Paraffin)

Cross-Reactivity Key

H: Human

Trademarks and Patents

Cell Signaling Technology is a trademark of Cell Signaling Technology, Inc.

All other trademarks are the property of their respective owners. Visit cellsignal.com/trademarks for more information.

Limited Uses

Except as otherwise expressly agreed in a writing signed by a legally authorized representative of CST, the following terms apply to Products provided by CST, its affiliates or its distributors. Any Customer's terms and conditions that are in addition to, or different from, those contained herein, unless separately accepted in writing by a legally authorized representative of CST, are rejected and are of no force or effect.

Products are labeled with For Research Use Only or a similar labeling statement and have not been approved, cleared, or licensed by the FDA or other regulatory foreign or domestic entity, for any purpose. Customer shall not use any Product for any diagnostic or therapeutic purpose, or otherwise in any manner that conflicts with its labeling statement. Products sold or licensed by CST are provided for Customer as the end-user and solely for research and development uses. Any use of Product for diagnostic, prophylactic or therapeutic purposes, or any purchase of Product for resale (alone or as a component) or other commercial purpose, requires a separate license from CST. Customer shall (a) not sell, license, loan, donate or otherwise transfer or make available any Product to any third party, whether alone or in combination with other materials, or use the Products to manufacture any commercial products, (b) not copy, modify, reverse engineer, decompile, disassemble or otherwise attempt to discover the underlying structure or technology of the Products, or use the Products for the purpose of developing any products or services that would compete with CST products or services, (c) not alter or remove from the Products any trademarks, trade names, logos, patent or copyright notices or markings, (d) use the Products solely in accordance with CST Product Terms of Sale and any applicable documentation, and (e) comply with any license, terms of service or similar agreement with respect to any third party products or services used by Customer in connection with the Products.

Orders: 877-616-CELL (2355) [email protected] Support: 877-678-TECH (8324) [email protected] Web: cellsignal.com
For Research Use Only. Not for Use in Diagnostic Procedures.

Revision 4

Cell Signaling Technology Logo
Western blot analysis of extracts from various human cell lines using Neutrophil Elastase (F4H3X) Rabbit mAb (upper) or β-Actin (D6A8) Rabbit mAb #8457 (lower). Negative expression of neutrophil elastase protein in Jurkat cells is consistent with the predicted expression pattern.
Western Blotting Image 1: Neutrophil Elastase (F4H3X) Rabbit Monoclonal Antibody
Western blot analysis of extracts from 293T cells, mock transfected (-) or transfected with a construct expressing Myc/DDK-tagged full-length human neutrophil elastase protein (hNE-Myc/DDK; +), using Neutrophil Elastase (F4H3X) Rabbit mAb (upper), Myc-Tag (71D10) Rabbit mAb #2278 (middle), or β-Actin (D6A8) Rabbit mAb #8457 (lower).
Western Blotting Image 2: Neutrophil Elastase (F4H3X) Rabbit Monoclonal Antibody
Immunohistochemical analysis of paraffin-embedded human colon adenocarcinoma using Neutrophil Elastase (F4H3X) Rabbit mAb performed on the Leica BOND RX.
Immunohistochemistry Image 1: Neutrophil Elastase (F4H3X) Rabbit Monoclonal Antibody
Orders: 877-616-CELL (2355) [email protected] Support: 877-678-TECH (8324) [email protected] Web: cellsignal.com
For Research Use Only. Not for Use in Diagnostic Procedures.

Revision 4

Cell Signaling Technology Logo
Immunohistochemical analysis of paraffin-embedded human B-cell non-Hodgkin lymphoma using Neutrophil Elastase (F4H3X) Rabbit mAb performed on the Leica BOND RX.
Immunohistochemistry Image 2: Neutrophil Elastase (F4H3X) Rabbit Monoclonal Antibody
Immunohistochemical analysis of paraffin-embedded human colon adenocarcinoma using Neutrophil Elastase (F4H3X) Rabbit mAb.
Immunohistochemistry Image 1: Neutrophil Elastase (F4H3X) Rabbit Monoclonal Antibody
Immunohistochemical analysis of paraffin-embedded human endometrioid adenocarcinoma using Neutrophil Elastase (F4H3X) Rabbit mAb.
Immunohistochemistry Image 2: Neutrophil Elastase (F4H3X) Rabbit Monoclonal Antibody
Orders: 877-616-CELL (2355) [email protected] Support: 877-678-TECH (8324) [email protected] Web: cellsignal.com
For Research Use Only. Not for Use in Diagnostic Procedures.

Revision 4

Cell Signaling Technology Logo
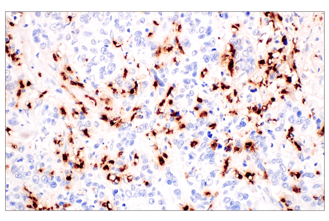
Immunohistochemical analysis of paraffin-embedded human squamous cell carcinoma of the skin using Neutrophil Elastase (F4H3X) Rabbit mAb.
Immunohistochemistry Image 3: Neutrophil Elastase (F4H3X) Rabbit Monoclonal Antibody
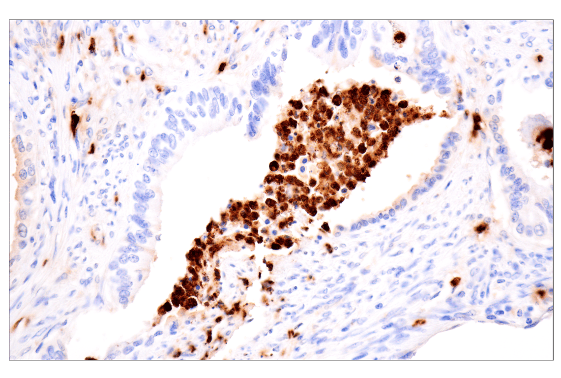
Immunohistochemical analysis of paraffin-embedded human gastric adenocarcinoma using Neutrophil Elastase (F4H3X) Rabbit mAb.
Immunohistochemistry Image 4: Neutrophil Elastase (F4H3X) Rabbit Monoclonal Antibody
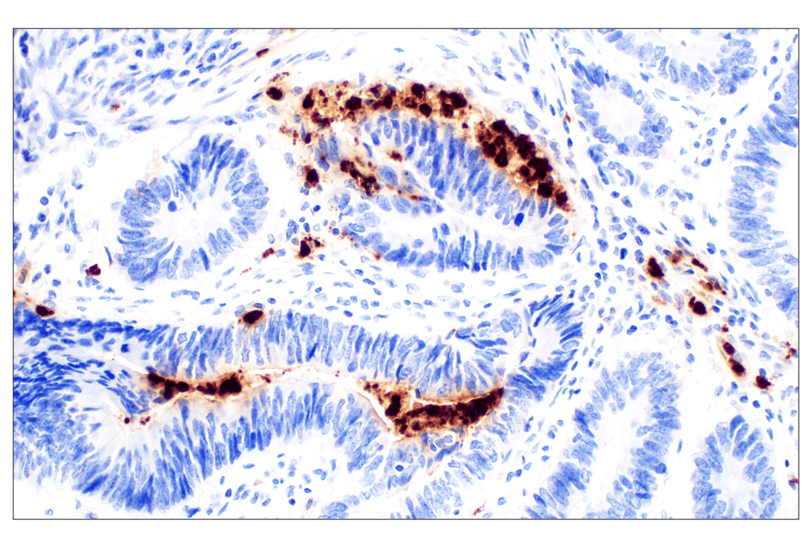
Immunohistochemical analysis of paraffin-embedded normal human small intestine using Neutrophil Elastase (F4H3X) Rabbit mAb.
Immunohistochemistry Image 5: Neutrophil Elastase (F4H3X) Rabbit Monoclonal Antibody
Orders: 877-616-CELL (2355) [email protected] Support: 877-678-TECH (8324) [email protected] Web: cellsignal.com
For Research Use Only. Not for Use in Diagnostic Procedures.

Revision 4

Cell Signaling Technology Logo
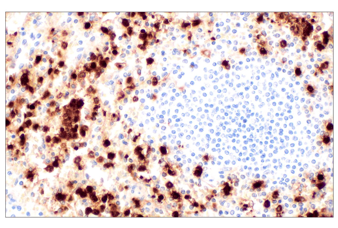
Immunohistochemical analysis of paraffin-embedded normal human spleen using Neutrophil Elastase (F4H3X) Rabbit mAb.
Immunohistochemistry Image 6: Neutrophil Elastase (F4H3X) Rabbit Monoclonal Antibody
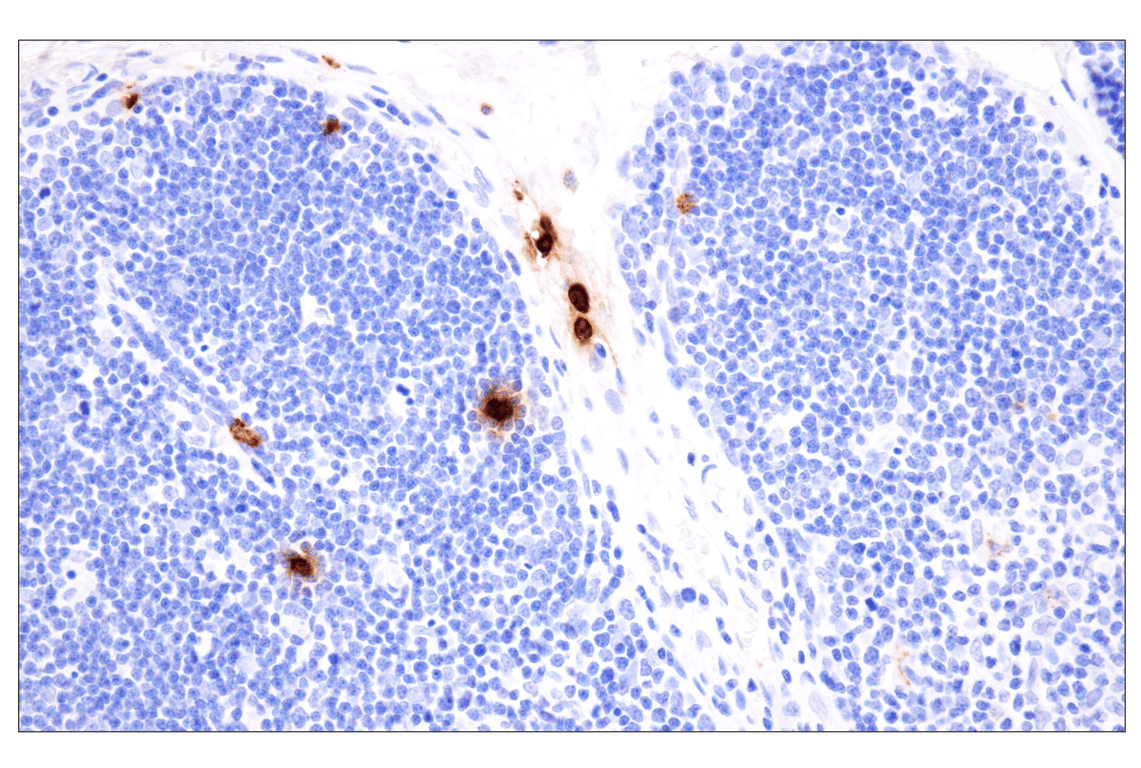
Immunohistochemical analysis of paraffin-embedded normal human thymus using Neutrophil Elastase (F4H3X) Rabbit mAb.
Immunohistochemistry Image 7: Neutrophil Elastase (F4H3X) Rabbit Monoclonal Antibody
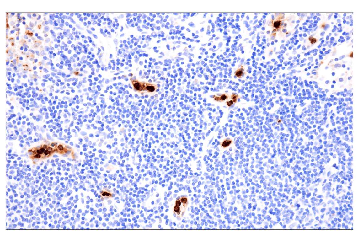
Immunohistochemical analysis of paraffin-embedded normal human lymph node using Neutrophil Elastase (F4H3X) Rabbit mAb.
Immunohistochemistry Image 8: Neutrophil Elastase (F4H3X) Rabbit Monoclonal Antibody
Orders: 877-616-CELL (2355) [email protected] Support: 877-678-TECH (8324) [email protected] Web: cellsignal.com
For Research Use Only. Not for Use in Diagnostic Procedures.

Revision 4

Cell Signaling Technology Logo
Immunohistochemical analysis of paraffin-embedded normal human liver using Neutrophil Elastase (F4H3X) Rabbit mAb.
Immunohistochemistry Image 9: Neutrophil Elastase (F4H3X) Rabbit Monoclonal Antibody
Immunohistochemical analysis of paraffin-embedded human lung adenocarcinoma using Neutrophil Elastase (F4H3X) Rabbit mAb (left) compared to concentration-matched Rabbit (DA1E) mAb IgG XP® Isotype Control #3900 (right). 
Immunohistochemistry Image 10: Neutrophil Elastase (F4H3X) Rabbit Monoclonal Antibody
Immunohistochemical analysis of paraffin-embedded U-937 cell pellet (left, positive) or Jurkat cell pellet (right, negative) using Neutrophil Elastase (F4H3X) Rabbit mAb.
Immunohistochemistry Image 11: Neutrophil Elastase (F4H3X) Rabbit Monoclonal Antibody
Orders: 877-616-CELL (2355) [email protected] Support: 877-678-TECH (8324) [email protected] Web: cellsignal.com
For Research Use Only. Not for Use in Diagnostic Procedures.