Revision 1

#4766

Store at -20C

CST Logo
Orders:

877-616-CELL (2355)

[email protected]

Support:

877-678-TECH (8324)

3 Trask Lane | Danvers | Massachusetts | 01923 | USA

For Research Use Only. Not for Use in Diagnostic Procedures.

Product Includes Product # Quantity Mol. Wt Isotype/Source
NF-kappaB p65 (L8F6) Mouse Monoclonal Antibody695620 µl65 kDaMouse IgG2b
RelB (C1E4) Rabbit Monoclonal Antibody492220 µl70 kDaRabbit IgG
c-Rel (D4Y6M) Rabbit Monoclonal Antibody1270720 µl68-78 kDaRabbit IgG
NF-kappaB1 p105/p50 (D7H5M) Rabbit Monoclonal Antibody1254020 µl50 Active form. 120 Precursor kDaRabbit IgG
NF-kappaB1 p105 Antibody471720 µl120 kDaRabbit
NF-kappaB2 p100/p52 Antibody488220 µl52 (mature). 120 (precursor). kDaRabbit
NF-kappaB2 p100/p52 (18D10) Rabbit Monoclonal Antibody301720 µl52 active form. 120 precursor. kDaRabbit IgG
NF-kappaB p65 (D14E12) Rabbit Monoclonal Antibody824220 µl65 kDaRabbit IgG
Anti-rabbit IgG, HRP-linked Antibody7074100 µlGoat
Anti-mouse IgG, HRP-linked Antibody7076100 µlHorse

Please visit cellsignal.com for individual component applications, species cross-reactivity, dilutions, protocols, and additional product information.

Description

This kit contains reagents to examine total protein levels of the five NF-κB/Rel family members: p65/RelA, RelB, c-Rel, NF-κB1 (p105/p50) and NF-κB2 (p100/p52).

Storage

Supplied in 10 mM sodium HEPES (pH 7.5), 150 mM NaCl, 100 µg/ml BSA, 50% glycerol and less than 0.02% sodium azide. Store at –20°C. Do not aliquot the antibody.

Background

Transcription factors of the nuclear factor κB (NF-κB)/Rel family play a pivotal role in inflammatory and immune responses (1,2). There are five family members in mammals: RelA, c-Rel, RelB, NF-κB1 (p105/p50), and NF-κB2 (p100/p52). Both p105 and p100 are proteolytically processed by the proteasome to produce p50 and p52, respectively. Rel proteins bind p50 and p52 to form dimeric complexes that bind DNA and regulate transcription. In unstimulated cells, NF-κB is sequestered in the cytoplasm by IκB inhibitory proteins (3-5). NF-κB-activating agents can induce the phosphorylation of IκB proteins, targeting them for rapid degradation through the ubiquitin-proteasome pathway and releasing NF-κB to enter the nucleus where it regulates gene expression (6-8). NIK and IKKα (IKK1) regulate the phosphorylation and processing of NF-κB2 (p100) to produce p52, which translocates to the nucleus (9-11).

Trademarks and Patents

Cell Signaling Technology is a trademark of Cell Signaling Technology, Inc.

All other trademarks are the property of their respective owners. Visit cellsignal.com/trademarks for more information.

Limited Uses

Except as otherwise expressly agreed in a writing signed by a legally authorized representative of CST, the following terms apply to Products provided by CST, its affiliates or its distributors. Any Customer's terms and conditions that are in addition to, or different from, those contained herein, unless separately accepted in writing by a legally authorized representative of CST, are rejected and are of no force or effect.

Products are labeled with For Research Use Only or a similar labeling statement and have not been approved, cleared, or licensed by the FDA or other regulatory foreign or domestic entity, for any purpose. Customer shall not use any Product for any diagnostic or therapeutic purpose, or otherwise in any manner that conflicts with its labeling statement. Products sold or licensed by CST are provided for Customer as the end-user and solely for research and development uses. Any use of Product for diagnostic, prophylactic or therapeutic purposes, or any purchase of Product for resale (alone or as a component) or other commercial purpose, requires a separate license from CST. Customer shall (a) not sell, license, loan, donate or otherwise transfer or make available any Product to any third party, whether alone or in combination with other materials, or use the Products to manufacture any commercial products, (b) not copy, modify, reverse engineer, decompile, disassemble or otherwise attempt to discover the underlying structure or technology of the Products, or use the Products for the purpose of developing any products or services that would compete with CST products or services, (c) not alter or remove from the Products any trademarks, trade names, logos, patent or copyright notices or markings, (d) use the Products solely in accordance with CST Product Terms of Sale and any applicable documentation, and (e) comply with any license, terms of service or similar agreement with respect to any third party products or services used by Customer in connection with the Products.

Orders: 877-616-CELL (2355) [email protected] Support: 877-678-TECH (8324) [email protected] Web: cellsignal.com
For Research Use Only. Not for Use in Diagnostic Procedures.

Revision 1

Cell Signaling Technology Logo
Western blot analysis of extracts from various cell lines using NF-κB1 p105/p50 (D7H5M) Rabbit mAb.
undefined Image 1: NF-kappaB Family Member Antibody Sampler Kit
Western blot analysis of extracts from various cell lines and tissues using c-Rel (D4Y6M) Rabbit mAb.
undefined Image 2: NF-kappaB Family Member Antibody Sampler Kit
Western blot analysis of extracts from HeLa, and COS cells, using NF-kB2 p100/p52 (18D10) Rabbit mAb.
undefined Image 3: NF-kappaB Family Member Antibody Sampler Kit
Orders: 877-616-CELL (2355) [email protected] Support: 877-678-TECH (8324) [email protected] Web: cellsignal.com
For Research Use Only. Not for Use in Diagnostic Procedures.

Revision 1

Cell Signaling Technology Logo
CUT&Tag was performed with HDLM-2 cells and NF-kappa-B2 p100/p52 (18D10) Rabbit mAb, using CUT&Tag Assay Kit #77552. DNA library was prepared using CUT&Tag Dual Index Primers and PCR Master Mix for Illumina Systems #47415. The figure shows binding across the BIRC3 gene.
undefined Image 4: NF-kappaB Family Member Antibody Sampler Kit
CUT&RUN was performed with HDLM-2 cells and either NF-κB2 p100/p52 (18D10) Rabbit mAb, NF-κB2 p100/p52 (D7A9K) Rabbit mAb #37359, or NF-κB2 p100/p52 (D9S3M) Rabbit mAb #52583, using CUT&RUN Assay Kit #86652. DNA Libraries were prepared using DNA Library Prep Kit for Illumina® (ChIP-seq, CUT&RUN) #56795. The figure shows binding across BIRC3 gene.
undefined Image 5: NF-kappaB Family Member Antibody Sampler Kit
Immunohistochemical analysis of paraffin-embedded human lung adenocarcinoma using NF-κB2 p100/p52 (18D10) Rabbit mAb.
undefined Image 6: NF-kappaB Family Member Antibody Sampler Kit
Orders: 877-616-CELL (2355) [email protected] Support: 877-678-TECH (8324) [email protected] Web: cellsignal.com
For Research Use Only. Not for Use in Diagnostic Procedures.

Revision 1

Cell Signaling Technology Logo
Western blot analysis of extracts from THP-1 cells, differentiated with TPA (#9905, 80 nM for 24 h) and treated with 1 μg/ml LPS for the indicated times, using NF-κB1 p105 Antibody.
undefined Image 7: NF-kappaB Family Member Antibody Sampler Kit
Western blot analysis of extracts from THP-1, L929, C6, and COS cells, using NF-kappaB2 p100 Antibody.
undefined Image 8: NF-kappaB Family Member Antibody Sampler Kit
Western blot analysis of extracts from Raji, THP-1 and BaF3 cells using RelB (C1E4) Rabbit mAb.
undefined Image 9: NF-kappaB Family Member Antibody Sampler Kit
Orders: 877-616-CELL (2355) [email protected] Support: 877-678-TECH (8324) [email protected] Web: cellsignal.com
For Research Use Only. Not for Use in Diagnostic Procedures.

Revision 1

Cell Signaling Technology Logo
CUT&RUN was performed with HDLM-2 cells and RelB (C1E4) Rabbit mAb, using CUT&RUN Assay Kit #86652. DNA Library was prepared using DNA Library Prep Kit for Illumina® (ChIP-seq, CUT&RUN) #56795. The figure shows binding across BIRC3 gene.
undefined Image 10: NF-kappaB Family Member Antibody Sampler Kit
Western blot analysis of extracts from control HeLa cells (lane 1) or NF-κB p65 knockout HeLa cells (lane 2) using NF-κB p65 (L8F6) Mouse mAb #6956 (upper) or β-actin (13E5) Rabbit mAb #4970 (lower). The absence of signal in the NF-κB p65 knockout HeLa cells confirms the specificity of the antibody for NF-κB p65.
undefined Image 11: NF-kappaB Family Member Antibody Sampler Kit
After the primary antibody is bound to the target protein, a complex with HRP-linked secondary antibody is formed. The LumiGLO® is added and emits light during enzyme catalyzed decomposition.
undefined Image 12: NF-kappaB Family Member Antibody Sampler Kit
Orders: 877-616-CELL (2355) [email protected] Support: 877-678-TECH (8324) [email protected] Web: cellsignal.com
For Research Use Only. Not for Use in Diagnostic Procedures.

Revision 1

Cell Signaling Technology Logo
After the primary antibody is bound to the target protein, a complex with HRP-linked secondary antibody is formed. The LumiGLO* is added and emits light during enzyme catalyzed decomposition.
undefined Image 13: NF-kappaB Family Member Antibody Sampler Kit
Western blot analysis of extracts from various cell lines using NF-κB p65 (D14E12) XP® Rabbit mAb.
undefined Image 14: NF-kappaB Family Member Antibody Sampler Kit
Immunohistochemical analysis of paraffin-embedded human endometrioid carcinoma using NF-κB p65 (D14E12) XP® Rabbit mAb.
undefined Image 15: NF-kappaB Family Member Antibody Sampler Kit
Orders: 877-616-CELL (2355) [email protected] Support: 877-678-TECH (8324) [email protected] Web: cellsignal.com
For Research Use Only. Not for Use in Diagnostic Procedures.

Revision 1

Cell Signaling Technology Logo
Western blot analysis of extracts from HeLa cells, untreated (-) or treated with Human Tumor Necrosis Factor-α (hTNF-α) #8902 (10 ng/ml) for the indicated times, using NF-κB1 p105/p50 (D7H5M) Rabbit mAb.
undefined Image 16: NF-kappaB Family Member Antibody Sampler Kit
Western blot analysis of extracts from Neuro-2a cells, transfected with 100 nM SignalSilence® Control siRNA (Unconjugated) #6568 (-), SignalSilence® c-Rel siRNA I (Mouse Specific) #13058 (+) or SignalSilence® c-Rel siRNA II (Mouse Specific) #13170 (+), using c-Rel (D4Y6M) Rabbit mAb (upper) or β-Actin (D6A8) Rabbit mAb #8457 (lower). The c-Rel (D4Y6M) Rabbit mAb confirms silencing of c-Rel expression, while the β-Actin (D6A8) Rabbit mAb is used as a loading control.
undefined Image 17: NF-kappaB Family Member Antibody Sampler Kit
Immunohistochemical analysis of paraffin-embedded human lung carcinoma, using NF-κB2 p100/p52 (18D10) Rabbit mAb.
undefined Image 18: NF-kappaB Family Member Antibody Sampler Kit
Orders: 877-616-CELL (2355) [email protected] Support: 877-678-TECH (8324) [email protected] Web: cellsignal.com
For Research Use Only. Not for Use in Diagnostic Procedures.

Revision 1

Cell Signaling Technology Logo
CUT&Tag was performed with HDLM-2 cells and NF-kappa-B2 p100/p52 (18D10) Rabbit mAb, using CUT&Tag Assay Kit #77552. DNA library was prepared using CUT&Tag Dual Index Primers and PCR Master Mix for Illumina Systems #47415. The figures show binding across chromosome 11 (upper), including the BIRC3 gene (lower).
undefined Image 19: NF-kappaB Family Member Antibody Sampler Kit
CUT&RUN was performed with HDLM-2 cells and either NF-κB2 p100/p52 (18D10) Rabbit mAb, NF-κB2 p100/p52 (D7A9K) Rabbit mAb #37359, or NF-κB2 p100/p52 (D9S3M) Rabbit mAb #52583, using CUT&RUN Assay Kit #86652. DNA Libraries were prepared using DNA Library Prep Kit for Illumina® (ChIP-seq, CUT&RUN) #56795. The figures show binding across chromosome 11 (upper), including BIRC3 gene (lower).
undefined Image 20: NF-kappaB Family Member Antibody Sampler Kit
Immunohistochemical analysis of paraffin-embedded HCT 116 cell pellet (left, high-expressing) or MCF7 cell pellet (right, low-expressing) using NF-κB2 p100/p52 (18D10) Rabbit mAb.
undefined Image 21: NF-kappaB Family Member Antibody Sampler Kit
Orders: 877-616-CELL (2355) [email protected] Support: 877-678-TECH (8324) [email protected] Web: cellsignal.com
For Research Use Only. Not for Use in Diagnostic Procedures.

Revision 1

Cell Signaling Technology Logo
CUT&RUN was performed with HDLM-2 cells and RelB (C1E4) Rabbit mAb, using CUT&RUN Assay Kit #86652. DNA Library was prepared using DNA Library Prep Kit for Illumina® (ChIP-seq, CUT&RUN) #56795. The figures show binding across chromosome 11 (upper), including BIRC3 gene (lower).
undefined Image 22: NF-kappaB Family Member Antibody Sampler Kit
Western blot analysis of extracts from HeLa cells, transfected with 100 nM SignalSilence® Control siRNA (Unconjugated) #6568 (-) or SignalSilence® NF-κB p65 siRNA I #6261 (+), using NF-κB p65 (L8F6) Mouse mAb (upper) or α-Tubulin (11Η10) Rabbit mAb #2125 (lower). The NF-κB p65 (L8F6) Mouse mAb confirms silencing of NF-κB p65 expression, while the α-Tubulin (11Η10) Rabbit mAb is used as a loading control.
undefined Image 23: NF-kappaB Family Member Antibody Sampler Kit
Immunohistochemical analysis of paraffin-embedded human gastric carcinoma using NF-κB p65 (D14E12) XP® Rabbit mAb.
undefined Image 24: NF-kappaB Family Member Antibody Sampler Kit
Orders: 877-616-CELL (2355) [email protected] Support: 877-678-TECH (8324) [email protected] Web: cellsignal.com
For Research Use Only. Not for Use in Diagnostic Procedures.

Revision 1

Cell Signaling Technology Logo
Chromatin immunoprecipitations were performed with cross-linked chromatin from HeLa cells treated with Human Tumor Necrosis Factor-α (hTNF-α) #8902 (30 ng/ml) for 1 hour and either NF-κB1 p105/p50 (D7H5M) Rabbit mAb or Normal Rabbit IgG #2729 using SimpleChIP® Enzymatic Chromatin IP Kit (Magnetic Beads) #9003. The enriched DNA was quantified by Real-Time PCR using SimpleChIP® Human IκBα Promoter Primers #5552, human IAP2 promoter primers, and SimpleChIP® Human α Satellite Repeat Primers #4486. The amount of immunoprecipitated DNA in each sample is represented as signal relative to the total amount of input chromatin, which is equivalent to one.
undefined Image 25: NF-kappaB Family Member Antibody Sampler Kit
Immunohistochemical analysis of paraffin-embedded human osteosarcoma, using NF-κB2 p100/p52 (18D10) Rabbit mAb.
undefined Image 26: NF-kappaB Family Member Antibody Sampler Kit
CUT&RUN was performed with HDLM-2 cells and either NF-κB2 p100/p52 (18D10) Rabbit mAb or Rabbit (DA1E) mAb IgG XP® Isotype Control (CUT&RUN) #66362, using CUT&RUN Assay Kit #86652. The enriched DNA was quantified by real-time PCR using SimpleChIP® Human IκBα Promoter Primers #5552 and SimpleChIP® Human α Satellite Repeat Primers #4486. The amount of immunoprecipitated DNA in each sample is represented as signal relative to the total amount of input chromatin, which is equivalent to one.
undefined Image 27: NF-kappaB Family Member Antibody Sampler Kit
Orders: 877-616-CELL (2355) [email protected] Support: 877-678-TECH (8324) [email protected] Web: cellsignal.com
For Research Use Only. Not for Use in Diagnostic Procedures.

Revision 1

Cell Signaling Technology Logo
CUT&RUN was performed with HDLM-2 cells and either RelB (C1E4) Rabbit mAb or Rabbit (DA1E) mAb IgG XP® Isotype Control (CUT&RUN) #66362, using CUT&RUN Assay Kit #86652. The enriched DNA was quantified by real-time PCR using SimpleChIP® Human IκBα Promoter Primers #5552 and SimpleChIP® Human α Satellite Repeat Primers #4486. The amount of immunoprecipitated DNA in each sample is represented as signal relative to the total amount of input chromatin, which is equivalent to one.
undefined Image 28: NF-kappaB Family Member Antibody Sampler Kit
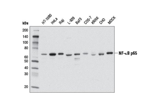
Western blot analysis of extracts from various cell lines using NF-κB p65 (L8F6) Mouse mAb.
undefined Image 29: NF-kappaB Family Member Antibody Sampler Kit
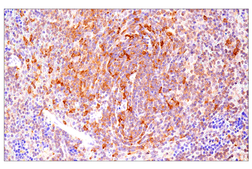
Immunohistochemical analysis of paraffin-embedded human thymoma using NF-κB p65 (D14E12) XP® Rabbit mAb.
undefined Image 30: NF-kappaB Family Member Antibody Sampler Kit
Orders: 877-616-CELL (2355) [email protected] Support: 877-678-TECH (8324) [email protected] Web: cellsignal.com
For Research Use Only. Not for Use in Diagnostic Procedures.

Revision 1

Cell Signaling Technology Logo
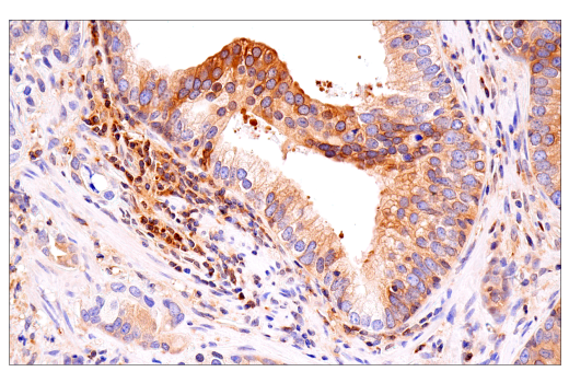
Immunohistochemical analysis of paraffin-embedded human chronic cholecystitis using NF-κB p65 (D14E12) XP® Rabbit mAb.
undefined Image 31: NF-kappaB Family Member Antibody Sampler Kit
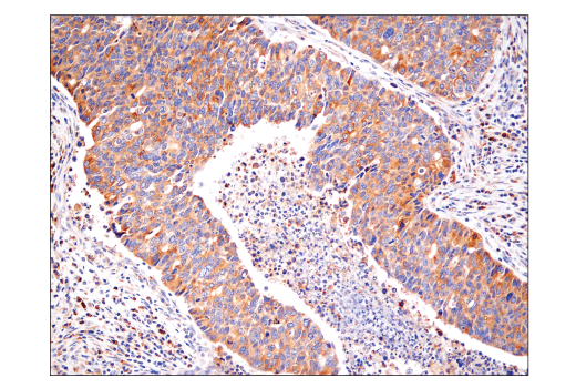
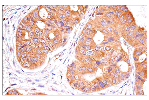
Immunohistochemical analysis of paraffin-embedded human lung adenocarcinoma using NF-κB p65 (D14E12) XP® Rabbit mAb.
undefined Image 32: NF-kappaB Family Member Antibody Sampler Kit
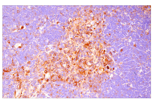
Immunohistochemical analysis of paraffin-embedded human B-cell non-Hodgkin lymphoma using NF-κB1 p105/p50 (D7H5M) Rabbit mAb.
undefined Image 33: NF-kappaB Family Member Antibody Sampler Kit
Orders: 877-616-CELL (2355) [email protected] Support: 877-678-TECH (8324) [email protected] Web: cellsignal.com
For Research Use Only. Not for Use in Diagnostic Procedures.

Revision 1

Cell Signaling Technology Logo
Confocal immunofluorescent analysis of HT-1080 cells, untreated (left) or treated with hTNF-α #8902 (20 ng/ml, 20 min) (right), using NF-κB p65 (D14E12) XP® Rabbit mAb (green). Actin filaments were labeled with DY-554 phalloidin (red). Blue pseudocolor = DRAQ5® #4084 (fluorescent DNA dye).
undefined Image 34: NF-kappaB Family Member Antibody Sampler Kit
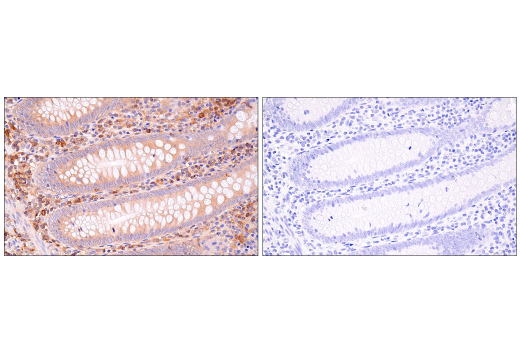
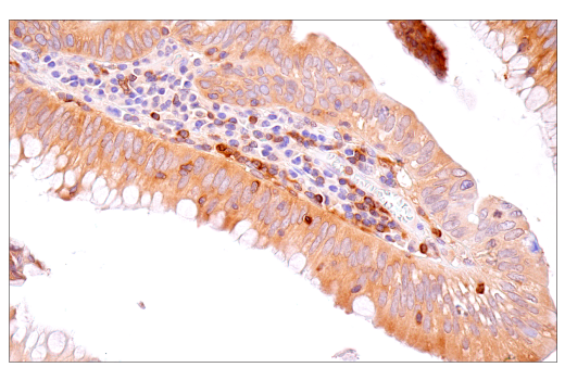
Immunohistochemical analysis of paraffin-embedded normal human small intestine using NF-κB p65 (D14E12) XP® Rabbit mAb.
undefined Image 35: NF-kappaB Family Member Antibody Sampler Kit
Immunohistochemical analysis of paraffin-embedded human prostate adenocarcinoma using NF-κB1 p105/p50 (D7H5M) Rabbit mAb.
undefined Image 36: NF-kappaB Family Member Antibody Sampler Kit
Orders: 877-616-CELL (2355) [email protected] Support: 877-678-TECH (8324) [email protected] Web: cellsignal.com
For Research Use Only. Not for Use in Diagnostic Procedures.

Revision 1

Cell Signaling Technology Logo
Flow cytometric analysis of HeLa cells using NF-κB2 p100/p52 (18D10) Rabbit mAb (blue) compared to a nonspecific negative control antibody (red).
undefined Image 37: NF-kappaB Family Member Antibody Sampler Kit
Flow cytometric analysis of HeLa cells using NF-κB p65 (D14E12) XP® Rabbit mAb (blue) compared to concentration matched Rabbit (DA1E) mAb IgG XP® Isotype Control #3900 (red).
undefined Image 38: NF-kappaB Family Member Antibody Sampler Kit
Immunohistochemical analysis of paraffin-embedded human adenoid cystic carcinoma of the salivary gland (left), squamous cell lung carcinoma (middle) or normal colon (right) using NF-κB p65 (D14E12) XP® Rabbit mAb (top) or an
NF-κB p65 Mouse mAb (bottom). These two antibodies detect unique, non-overlapping epitopes on human NF-κB p65. The similar staining patterns obtained with both antibodies help to confirm the specificity of the staining.
undefined Image 39: NF-kappaB Family Member Antibody Sampler Kit
Orders: 877-616-CELL (2355) [email protected] Support: 877-678-TECH (8324) [email protected] Web: cellsignal.com
For Research Use Only. Not for Use in Diagnostic Procedures.

Revision 1

Cell Signaling Technology Logo
Immunohistochemical analysis of paraffin-embedded human endometrioid adenocarcinoma using NF-κB1 p105/p50 (D7H5M) Rabbit mAb.
undefined Image 40: NF-kappaB Family Member Antibody Sampler Kit
Confocal immunofluorescent analysis of HeLa cells, untreated (left) or treated with Human Tumor Necrosis Factor-α (hTNF-α) #8902 (20 ng/mL, 20 min; right), using NF-κB p65 (L8F6) Mouse mAb (green). Actin filaments were labeled with DY-554 phalloidin (red). Blue pseudocolor = DRAQ5® #4084 (fluorescent DNA dye).
undefined Image 41: NF-kappaB Family Member Antibody Sampler Kit
Chromatin immunoprecipitations were performed with cross-linked chromatin from HeLa cells treated with hTNF-α #8902 (30 ng/ml, 1 hr) and NF-κB p65 (D14E12) XP® Rabbit mAb, using SimpleChIP® Enzymatic Chromatin IP Kit (Magnetic Beads) #9005. DNA Libraries were prepared using DNA Library Prep Kit for Illumina® (ChIP-seq, CUT&RUN) #56795. The figure shows binding across IL-8, a known target gene of NFκB (see additional figure containing ChIP-qPCR data). For additional ChIP-seq tracks, please download the product datasheet.
undefined Image 42: NF-kappaB Family Member Antibody Sampler Kit
Orders: 877-616-CELL (2355) [email protected] Support: 877-678-TECH (8324) [email protected] Web: cellsignal.com
For Research Use Only. Not for Use in Diagnostic Procedures.

Revision 1

Cell Signaling Technology Logo
Immunohistochemical analysis using NF-κB p65 (D14E12) XP® Rabbit mAb on SignalSlide® NF-κB p65 IHC Controls #12873 (paraffin-embedded HCT116 cells, untreated (left) or treated with hTNF-α #8902 (right)).
undefined Image 43: NF-kappaB Family Member Antibody Sampler Kit
Immunohistochemical analysis of paraffin-embedded human colon adenocarcinoma using NF-κB1 p105/p50 (D7H5M) Rabbit mAb.
undefined Image 44: NF-kappaB Family Member Antibody Sampler Kit
Flow cytometric analysis of MCF7 cells using NF-kB p65 (L8F6) Mouse mAb (solid line) compared to a concentration-matched Mouse (G3A1) mAb IgG1 Isotype Control #5415 (dashed lines). Anti-mouse IgG (H+L), F(ab')2 Fragment (Alexa Fluor® 488 Conjugate) #4408 was used as a secondary antibody.
undefined Image 45: NF-kappaB Family Member Antibody Sampler Kit
Orders: 877-616-CELL (2355) [email protected] Support: 877-678-TECH (8324) [email protected] Web: cellsignal.com
For Research Use Only. Not for Use in Diagnostic Procedures.

Revision 1

Cell Signaling Technology Logo
Chromatin immunoprecipitations were performed with cross-linked chromatin from HeLa cells treated with hTNF-α #8902 (30 ng/ml, 1 hr) and NF-κB p65 (D14E12) XP® Rabbit mAb, using SimpleChIP® Enzymatic Chromatin IP Kit (Magnetic Beads) #9005. DNA Libraries were prepared using DNA Library Prep Kit for Illumina® (ChIP-seq, CUT&RUN) #56795. The figure shows binding across chromosome 4 (upper), including IL-8 (lower), a known target gene of NFκB (see additional figure containing ChIP-qPCR data).
undefined Image 46: NF-kappaB Family Member Antibody Sampler Kit
Immunohistochemical analysis of paraffin-embedded normal human thymus using NF-κB1 p105/p50 (D7H5M) Rabbit mAb.
undefined Image 47: NF-kappaB Family Member Antibody Sampler Kit
Chromatin immunoprecipitations were performed with cross-linked chromatin from HeLa cells treated with Human Tumor Necrosis Factor-α (hTNF-α) #8902 (30 ng/ml, 1 hr) and either NF-κB p65 (L8F6) Mouse mAb or Normal Rabbit IgG #2729 using SimpleChIP® Enzymatic Chromatin IP Kit (Magnetic Beads) #9003. The enriched DNA was quantified by real-time PCR using SimpleChIP® Human IκBα Promoter Primers #5552, human IL-8 promoter primers, and SimpleChIP® Human α Satellite Repeat Primers #4486. The amount of immunoprecipitated DNA in each sample is represented as signal relative to the total amount of input chromatin, which is equivalent to one.
undefined Image 48: NF-kappaB Family Member Antibody Sampler Kit
Orders: 877-616-CELL (2355) [email protected] Support: 877-678-TECH (8324) [email protected] Web: cellsignal.com
For Research Use Only. Not for Use in Diagnostic Procedures.

Revision 1

Cell Signaling Technology Logo
Chromatin immunoprecipitations were performed with cross-linked chromatin from HeLa cells treated with hTNF-α #8902 (30 ng/ml, 1 hr) and either NF-κB p65 (D14E12) XP® Rabbit mAb or Normal Rabbit IgG #2729 using SimpleChIP® Enzymatic Chromatin IP Kit (Magnetic Beads) #9003. The enriched DNA was quantified by Real-Time PCR using SimpleChIP® Human IκBα Promoter Primers #5552, human IL-8 promoter primers, and SimpleChIP® Human α Satellite Repeat Primers #4486. The amount of immunoprecipitated DNA in each sample is represented as signal relative to the total amount of input chromatin, which is equivalent to one.
undefined Image 49: NF-kappaB Family Member Antibody Sampler Kit
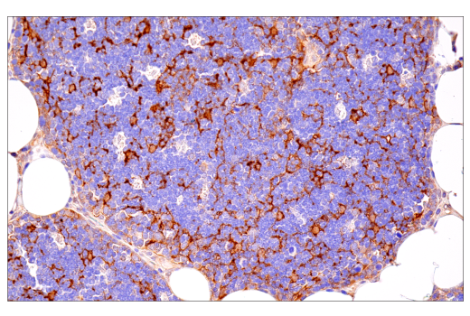
Immunohistochemical analysis of paraffin-embedded mouse spleen using NF-κB1 p105/p50 (D7H5M) Rabbit mAb.
undefined Image 50: NF-kappaB Family Member Antibody Sampler Kit
CUT&RUN was performed with HeLa cells treated with hTNF-α #8902 (30 ng/ml, 1 hr) and NF-κB p65 (D14E12) XP® Rabbit mAb, using CUT&RUN Assay Kit #86652. DNA Libraries were prepared using DNA Library Prep Kit for Illumina® (ChIP-seq, CUT&RUN) #56795. The figure shows binding across LAMC2, a known target gene of NF-κB p65 (see additional figure containing CUT&RUN-qPCR data).
undefined Image 51: NF-kappaB Family Member Antibody Sampler Kit
Orders: 877-616-CELL (2355) [email protected] Support: 877-678-TECH (8324) [email protected] Web: cellsignal.com
For Research Use Only. Not for Use in Diagnostic Procedures.

Revision 1

Cell Signaling Technology Logo
Immunohistochemical analysis of paraffin-embedded mouse thymus using NF-κB1 p105/p50 (D7H5M) Rabbit mAb.
undefined Image 52: NF-kappaB Family Member Antibody Sampler Kit
CUT&RUN was performed with HeLa cells treated with hTNF-α #8902 (30 ng/ml, 1 hr) and NF-κB p65 (D14E12) XP® Rabbit mAb, using CUT&RUN Assay Kit #86652. DNA Libraries were prepared using DNA Library Prep Kit for Illumina® (ChIP-seq, CUT&RUN) #56795. The figures show binding across chromosome 1 (upper), including LAMC2 (lower), a known target gene of NF-κB p65 (see additional figure containing CUT&RUN-qPCR data).
undefined Image 53: NF-kappaB Family Member Antibody Sampler Kit
Immunohistochemical analysis of paraffin-embedded human colon adenocarcinoma (left), normal human spleen (middle), or 4T1 syngeneic mammary tumor (right) using NF-κB1 p105/p50 (D7H5M) Rabbit mAb (top) or NF-κB1 p105/p50 Rabbit mAb (bottom). These two antibodies detect unique, non-overlapping epitopes on NF-κB1 p105/p50 protein. The similar staining patterns obtained with both antibodies help to confirm the specificity of the staining.
undefined Image 54: NF-kappaB Family Member Antibody Sampler Kit
Orders: 877-616-CELL (2355) [email protected] Support: 877-678-TECH (8324) [email protected] Web: cellsignal.com
For Research Use Only. Not for Use in Diagnostic Procedures.

Revision 1

Cell Signaling Technology Logo
CUT&RUN was performed with HeLa cells treated with hTNF-α #8902 (30 ng/ml, 1 hr) and either NF-κB p65 (D14E12) XP® Rabbit mAb or Rabbit (DA1E) mAb IgG XP® Isotype Control (CUT&RUN) #66362, using CUT&RUN Assay Kit #86652. The enriched DNA was quantified by real-time PCR using human LAMC2 upstream primers, and human ITM2A upstream primers. The amount of immunoprecipitated DNA in each sample is represented as signal relative to the total amount of input chromatin, which is equivalent to one.
undefined Image 55: NF-kappaB Family Member Antibody Sampler Kit
Immunohistochemical analysis of paraffin-embedded normal human appendix using NF-κB1 p105/p50 (D7H5M) Rabbit mAb (left) compared to concentration-matched Rabbit (DA1E) mAb IgG XP® Isotype Control #3900 (right).
undefined Image 56: NF-kappaB Family Member Antibody Sampler Kit
Immunoprecipitation of NF-kB p65 from CHO cell extracts. Lane 1 is 10% input, lane 2 is precipitated with Rabbit (DA1E) mAb IgG XP® Isotype Control #3900, and lane 3 is NF-κB p65 (D14E12) XP® Rabbit mAb, #8242. Western blot was performed using NF-κB p65 (L8F6) Mouse mAb, #6956.
undefined Image 57: NF-kappaB Family Member Antibody Sampler Kit
Orders: 877-616-CELL (2355) [email protected] Support: 877-678-TECH (8324) [email protected] Web: cellsignal.com
For Research Use Only. Not for Use in Diagnostic Procedures.

Revision 1

Cell Signaling Technology Logo
Immunohistochemical analysis of paraffin-embedded MEF cell pellet, wild-type (left, positive) or NF-κB1 knockout (right, negative), using NF-κB1 p105/p50 (D7H5M) Rabbit mAb.
undefined Image 58: NF-kappaB Family Member Antibody Sampler Kit
Simple Western™ analysis of lysates (0.1 mg/mL) from HeLa cells using NF-κB2 p100/p52 (18D10) Rabbit mAb #3017. The virtual lane view (left) shows the target bands (as indicated) at 1:10 and 1:50 dilutions of primary antibody. The corresponding electropherogram view (right) plots chemiluminescence by molecular weight along the capillary at 1:10 (blue line) and 1:50 (green line) dilutions of primary antibody. This experiment was performed under reducing conditions on the Jess™ ​​​​​​​ Simple Western instrument from ProteinSimple, a BioTechne brand, using the 12-230 kDa separation module.
undefined Image 59: NF-kappaB Family Member Antibody Sampler Kit
Immunoprecipitation of NF-kB p65 from HeLa cell extracts. Lane 1 is 10% input, lane 2 is precipitated with Mouse (G3A1) mAb IgG1 Isotype Control #5415, and lane 3 is NF-κB p65 (L8F6) Mouse mAb, #6956. Western blot was performed using NF-κB p65 (D14E12) XP® Rabbit mAb, #8242.
undefined Image 60: NF-kappaB Family Member Antibody Sampler Kit
Orders: 877-616-CELL (2355) [email protected] Support: 877-678-TECH (8324) [email protected] Web: cellsignal.com
For Research Use Only. Not for Use in Diagnostic Procedures.

Revision 1

Cell Signaling Technology Logo
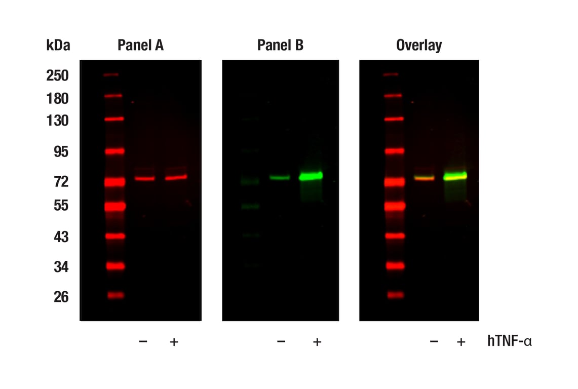
Western blot analysis of extracts from HeLa cells, untreated (-) or treated with hTNF-⍺ (20 ng/ml, 5 min; +), using NF-kB p65 (L8F6) Mouse mAb #6956 (Panel A) and Phospho-NF-kB p65 (Ser536) (93H1) Rabbit mAb #3033 (Panel B). Anti-mouse IgG (H+L) (DyLight 680 Conjugate) #5470 (red) and Anti-rabbit IgG (H+L) (DyLight 800 4X PEG Conjugate) #5151 (green) were used as secondary antibodies.
undefined Image 61: NF-kappaB Family Member Antibody Sampler Kit
Simple Western™ analysis of lysates (1 mg/mL) from HeLa cells using NF-κB p65 (D14E12) XP® Rabbit mAb #8242. The virtual lane view (left) shows a single target band (as indicated) at 1:10 and 1:50 dilutions of primary antibody. The corresponding electropherogram view (right) plots chemiluminescence by molecular weight along the capillary at 1:10 (blue line) and 1:50 (green line) dilutions of primary antibody. This experiment was performed under reducing conditions on the Jess™ Simple Western instrument from ProteinSimple, a BioTechne brand, using the 12-230 kDa separation module.
undefined Image 62: NF-kappaB Family Member Antibody Sampler Kit
Confocal immunofluorescent analysis of fixed frozen kidney from untreated (left) or LPS-treated mice (2 hours, 5 mg/kg) (right) using NF-κB p65 (D14E12) XP® Rabbit mAb (green) and Lamin A/C (4C11) Mouse mAb (Alexa Fluor® 647 Conjugate) #41357 (red).
undefined Image 63: NF-kappaB Family Member Antibody Sampler Kit
Orders: 877-616-CELL (2355) [email protected] Support: 877-678-TECH (8324) [email protected] Web: cellsignal.com
For Research Use Only. Not for Use in Diagnostic Procedures.