Revision 1

#4888

Store at -20C

CST Logo
Orders:

877-616-CELL (2355)

[email protected]

Support:

877-678-TECH (8324)

3 Trask Lane | Danvers | Massachusetts | 01923 | USA

For Research Use Only. Not for Use in Diagnostic Procedures.

Product Includes Product # Quantity Mol. Wt Isotype/Source
Phospho-IKK alpha/beta (Ser176/180) (16A6) Rabbit Monoclonal Antibody269720 µl85 IKK-alpha 87 IKK-beta kDaRabbit IgG
IKK alpha (3G12) Mouse Monoclonal Antibody1193020 µl85 kDaMouse IgG1
Phospho-NF-kappaB2 p100 (Ser866/870) Antibody481020 µl110 kDaRabbit
NF-kappaB2 p100/p52 Antibody488220 µl52 (mature). 120 (precursor). kDaRabbit
NIK Antibody499420 µl125 kDaRabbit
RelB (C1E4) Rabbit Monoclonal Antibody492220 µl70 kDaRabbit IgG
TRAF2 Antibody471220 µl53 kDaRabbit
TRAF3 Antibody472920 µl62 kDaRabbit
Anti-rabbit IgG, HRP-linked Antibody7074100 µlGoat
Anti-mouse IgG, HRP-linked Antibody7076100 µlHorse

Please visit cellsignal.com for individual component applications, species cross-reactivity, dilutions, protocols, and additional product information.

Description

This kit contains reagents to examine the activation state and total protein levels of key components in the noncanonical NF-κB pathway: TRAF2, TRAF3, NIK, IKKα, p100, and RelB.

Storage

Supplied in 10 mM sodium HEPES (pH 7.5), 150 mM NaCl, 100 µg/ml BSA, 50% glycerol and less than 0.02% sodium azide. Store at –20°C. Do not aliquot the antibody.

Background

Transcription factors of the nuclear factor κB (NF-κB)/Rel family play a pivotal role in inflammatory and immune responses (1,2). There are five family members in mammals: RelA, RelB, c-Rel, NF-κB1 (p105/p50) and NF-κB2 (p100/p52). Both p105 and p100 are proteolytically processed by the proteasome to produce p50 and p52, respectively. The p50 and p52 products form dimeric complexes with Rel proteins. While p50 associates with many of the NF-κB family members, p52 tends to form dimers primarily with RelB. A plethora of stimuli such TNFα and LPS induce the canonical NF-κB pathway, characterized by the activation of the classical IκB Kinase (IKK) complex (containing IKKα, IKKβ, IKKγ, and ELKS), which then phosphorylates inhibitory IκB molecules, targeting them for rapid degradation through a ubiquitin-proteasome pathway (3).

The noncanonical pathway, triggered by BAFF, CD40L, and certain other stimuli, is based on the inducible phosphorylation and proteasome-mediated partial degradation of NF-κB2 p100 to p52, a process regulated by the NF-κB Inducing Kinase (NIK) and IKKα, but not IKKβ or IKKγ (4-6). NIK phosphorylates IKKα at Ser176/180 (6) and p100 at Ser866/870, then recruits IKKα to p100 where IKKα phosphorylates additional residues in the N- and C-terminus (8), leading to the ubiquitination and processing of p100 (9). The TNF Receptor Associated Factor molecules TRAF2 and TRAF3 have been shown to be negative regulators of the noncanonical pathway (10, 11), and their differential binding to receptors may also play a role in determining whether transduced signals activate the canonical pathway, noncanonical pathway, or both (12). TRAF3 promotes the rapid turnover of NIK in resting cells, and its activation-induced degradation is a key regulatory point in the pathway (13). This pathway is required for B cell maturation and activation, proper architecture of peripheral lymphoid tissue, and safeguards against autoimmunity (14).

Trademarks and Patents

Cell Signaling Technology is a trademark of Cell Signaling Technology, Inc.

All other trademarks are the property of their respective owners. Visit cellsignal.com/trademarks for more information.

Limited Uses

Except as otherwise expressly agreed in a writing signed by a legally authorized representative of CST, the following terms apply to Products provided by CST, its affiliates or its distributors. Any Customer's terms and conditions that are in addition to, or different from, those contained herein, unless separately accepted in writing by a legally authorized representative of CST, are rejected and are of no force or effect.

Products are labeled with For Research Use Only or a similar labeling statement and have not been approved, cleared, or licensed by the FDA or other regulatory foreign or domestic entity, for any purpose. Customer shall not use any Product for any diagnostic or therapeutic purpose, or otherwise in any manner that conflicts with its labeling statement. Products sold or licensed by CST are provided for Customer as the end-user and solely for research and development uses. Any use of Product for diagnostic, prophylactic or therapeutic purposes, or any purchase of Product for resale (alone or as a component) or other commercial purpose, requires a separate license from CST. Customer shall (a) not sell, license, loan, donate or otherwise transfer or make available any Product to any third party, whether alone or in combination with other materials, or use the Products to manufacture any commercial products, (b) not copy, modify, reverse engineer, decompile, disassemble or otherwise attempt to discover the underlying structure or technology of the Products, or use the Products for the purpose of developing any products or services that would compete with CST products or services, (c) not alter or remove from the Products any trademarks, trade names, logos, patent or copyright notices or markings, (d) use the Products solely in accordance with CST Product Terms of Sale and any applicable documentation, and (e) comply with any license, terms of service or similar agreement with respect to any third party products or services used by Customer in connection with the Products.

Orders: 877-616-CELL (2355) [email protected] Support: 877-678-TECH (8324) [email protected] Web: cellsignal.com
For Research Use Only. Not for Use in Diagnostic Procedures.

Revision 1

Cell Signaling Technology Logo
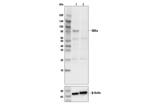
Western blot analysis of extracts from various cell lines using IKKα (3G12) Mouse mAb (upper) or β-Actin (D6A8) Rabbit mAb #8457 (lower).
undefined Image 1: NF-kappaB Non-Canonical Pathway Antibody Sampler Kit
Western blot analysis of extracts from THP-1 cells, differentiated with TPA (#9905, 80 nM for 24h) and treated with 1 μg/ml LPS for the indicated times, using Phospho-IKKα/β (Ser176/180) (16A6) Rabbit mAb.
undefined Image 2: NF-kappaB Non-Canonical Pathway Antibody Sampler Kit
Western blot analysis of extracts from THP1 and Ramos cells, using TRAF2 Antibody.
undefined Image 3: NF-kappaB Non-Canonical Pathway Antibody Sampler Kit
Orders: 877-616-CELL (2355) [email protected] Support: 877-678-TECH (8324) [email protected] Web: cellsignal.com
For Research Use Only. Not for Use in Diagnostic Procedures.

Revision 1

Cell Signaling Technology Logo
Western blot analysis of extracts from COS-7 cells, untransfected (-) or transfected with human TRAF3 construct (+) using TRAF3 Antibody.
undefined Image 4: NF-kappaB Non-Canonical Pathway Antibody Sampler Kit
Western blot analysis of extracts from HeLa cells transfected with wild-type or mutant NF-κB2 p100 (SS866/870AA) and with or without NIK, using Phospho-NF-κB2 p100 (Ser866/870) Antibody or total NF-κB2 p100 Antibody #4882. The p100 constructs were generously provided by Dr. Warner Greene of the Gladstone Institute of Virology and Immunology, Dr. Shao-Cong Sun of The Pennsylvania State University College of Medicine, and Dr. Gutian Xiao of Rutgers, The State University of New Jersey.
undefined Image 5: NF-kappaB Non-Canonical Pathway Antibody Sampler Kit
Western blot analysis of extracts from THP-1, L929, C6, and COS cells, using NF-kappaB2 p100 Antibody.
undefined Image 6: NF-kappaB Non-Canonical Pathway Antibody Sampler Kit
Orders: 877-616-CELL (2355) [email protected] Support: 877-678-TECH (8324) [email protected] Web: cellsignal.com
For Research Use Only. Not for Use in Diagnostic Procedures.

Revision 1

Cell Signaling Technology Logo
Western blot analysis of extracts from Raji, THP-1 and BaF3 cells using RelB (C1E4) Rabbit mAb.
undefined Image 7: NF-kappaB Non-Canonical Pathway Antibody Sampler Kit
CUT&RUN was performed with HDLM-2 cells and RelB (C1E4) Rabbit mAb, using CUT&RUN Assay Kit #86652. DNA Library was prepared using DNA Library Prep Kit for Illumina® (ChIP-seq, CUT&RUN) #56795. The figure shows binding across BIRC3 gene.
undefined Image 8: NF-kappaB Non-Canonical Pathway Antibody Sampler Kit
Western blot analysis of extracts from various cell lines, untreated or treated with 10uM MG132, using NIK Antibody #4994.
undefined Image 9: NF-kappaB Non-Canonical Pathway Antibody Sampler Kit
Orders: 877-616-CELL (2355) [email protected] Support: 877-678-TECH (8324) [email protected] Web: cellsignal.com
For Research Use Only. Not for Use in Diagnostic Procedures.

Revision 1

Cell Signaling Technology Logo
After the primary antibody is bound to the target protein, a complex with HRP-linked secondary antibody is formed. The LumiGLO® is added and emits light during enzyme catalyzed decomposition.
undefined Image 10: NF-kappaB Non-Canonical Pathway Antibody Sampler Kit
After the primary antibody is bound to the target protein, a complex with HRP-linked secondary antibody is formed. The LumiGLO* is added and emits light during enzyme catalyzed decomposition.
undefined Image 11: NF-kappaB Non-Canonical Pathway Antibody Sampler Kit
Western blot analysis of HeLa cell extracts (lane 1) or IKKα knock-out HeLa cells (lane 2), using IKKα (3G12) Mouse mAb #11930 (upper), or β-actin (13E5) Rabbit mAb #4970 (lower). The absence of signal in the knockout HeLa cells confirms specificity of the antibody for IKKα.
undefined Image 12: NF-kappaB Non-Canonical Pathway Antibody Sampler Kit
Orders: 877-616-CELL (2355) [email protected] Support: 877-678-TECH (8324) [email protected] Web: cellsignal.com
For Research Use Only. Not for Use in Diagnostic Procedures.

Revision 1

Cell Signaling Technology Logo
Western blot analysis of extracts from HeLa cells, untreated or treated with TNFa (#16789, 20 ng/mL, 10 min) and Calyculin A (#9902, 100 nM, 10 min); THP-1 cells differentiated with TPA (#4174, 80 nM for 16hr) untreated and treated with LPS (#14011, 1 μg/ml for 1hr) using #2697 (upper) or IKKα (D3W6N) Rabbit mAb #61294, IKKβ (D30C6) Rabbit mAb #8943 (middle), and β-Actin (D6A8) Rabbit mAb #8457 (lower).
undefined Image 13: NF-kappaB Non-Canonical Pathway Antibody Sampler Kit
Western blot analysis of extracts from various cell lines using TRAF3 Antibody.
undefined Image 14: NF-kappaB Non-Canonical Pathway Antibody Sampler Kit
CUT&RUN was performed with HDLM-2 cells and RelB (C1E4) Rabbit mAb, using CUT&RUN Assay Kit #86652. DNA Library was prepared using DNA Library Prep Kit for Illumina® (ChIP-seq, CUT&RUN) #56795. The figures show binding across chromosome 11 (upper), including BIRC3 gene (lower).
undefined Image 15: NF-kappaB Non-Canonical Pathway Antibody Sampler Kit
Orders: 877-616-CELL (2355) [email protected] Support: 877-678-TECH (8324) [email protected] Web: cellsignal.com
For Research Use Only. Not for Use in Diagnostic Procedures.

Revision 1

Cell Signaling Technology Logo
Western blot analysis of extacts from HeLa cells, untransfected or transfected with HA-NIK, using NIK Antibody #4994.
undefined Image 16: NF-kappaB Non-Canonical Pathway Antibody Sampler Kit
Confocal immunofluorescent analysis of HCT 116 (high expression; left) and IGROV-1 (low expression; right) cells using IKKα (3G12) Mouse mAb (green). Blue pseudocolor = DRAQ5® #4084 (fluorescent DNA dye).
undefined Image 17: NF-kappaB Non-Canonical Pathway Antibody Sampler Kit
Immunohistochemical analysis of paraffin-embedded human gall bladder (chronic cholecystitis), using Phospho-IKKα/β (Ser176/180) (16A6) Rabbit mAb.
undefined Image 18: NF-kappaB Non-Canonical Pathway Antibody Sampler Kit
Orders: 877-616-CELL (2355) [email protected] Support: 877-678-TECH (8324) [email protected] Web: cellsignal.com
For Research Use Only. Not for Use in Diagnostic Procedures.

Revision 1

Cell Signaling Technology Logo
Immunoprecipitation of TRAF3 from HDLM-2 cell extracts. Lane 1 is Normal Rabbit IgG #2729, lane 2 is 10% input, and lane 3 is TRAF3 Antibody #4729. Western blot analysis was performed using TRAF3 Antibody #4729. Mouse Anti-rabbit (Conformation Specific) (L27A9) mAb (HRP Conjugate) #5127 was used as the secondary antibody.
undefined Image 19: NF-kappaB Non-Canonical Pathway Antibody Sampler Kit
CUT&RUN was performed with HDLM-2 cells and either RelB (C1E4) Rabbit mAb or Rabbit (DA1E) mAb IgG XP® Isotype Control (CUT&RUN) #66362, using CUT&RUN Assay Kit #86652. The enriched DNA was quantified by real-time PCR using SimpleChIP® Human IκBα Promoter Primers #5552 and SimpleChIP® Human α Satellite Repeat Primers #4486. The amount of immunoprecipitated DNA in each sample is represented as signal relative to the total amount of input chromatin, which is equivalent to one.
undefined Image 20: NF-kappaB Non-Canonical Pathway Antibody Sampler Kit
Immunohistochemical analysis of paraffin-embedded human colon carcinoma, untreated (left) or λ phosphatase-treated (right), using Phospho-IKKα/β (Ser176/180) (16A6) Rabbit mAb.
undefined Image 21: NF-kappaB Non-Canonical Pathway Antibody Sampler Kit
Orders: 877-616-CELL (2355) [email protected] Support: 877-678-TECH (8324) [email protected] Web: cellsignal.com
For Research Use Only. Not for Use in Diagnostic Procedures.

Revision 1

Cell Signaling Technology Logo
Immunohistochemical analysis of paraffin-embedded human colon carcinoma, showing cytoplasmic localization, using Phospho-IKKα/β (Ser176/180) (16A6) Rabbit mAb.
undefined Image 22: NF-kappaB Non-Canonical Pathway Antibody Sampler Kit
Immunohistochemical analysis of paraffin-embedded human lung (chronic bronchitis), using Phospho-IKKα/β (Ser176/180) (16A6) Rabbit mAb.
undefined Image 23: NF-kappaB Non-Canonical Pathway Antibody Sampler Kit
Immunohistochemical analysis of paraffin-embedded human breast carcinoma, using Phospho-IKKα/β (Ser176/180) (16A6) Rabbit mAb in the presence of control peptide (left) or Phospho-IKK-alpha/beta (Ser176/180) Blocking Peptide #1023 (right).
undefined Image 24: NF-kappaB Non-Canonical Pathway Antibody Sampler Kit
Orders: 877-616-CELL (2355) [email protected] Support: 877-678-TECH (8324) [email protected] Web: cellsignal.com
For Research Use Only. Not for Use in Diagnostic Procedures.

Revision 1

Cell Signaling Technology Logo
Flow cytometric analysis of THP-1 cells, untreated (blue) and with TPA and LPS (green) using IKK-α (Ser176/Ser180) phosphate Rabbit mAb. Anti-rabbit IgG (H+L), F(ab')2 Fragment (PE Conjugate) #8885 was used as a secondary antibody.
undefined Image 25: NF-kappaB Non-Canonical Pathway Antibody Sampler Kit
Western blot analysis of extracts from TNF-alpha and Calyculin A treated HeLa and NIH/3T3 cells, using Phospho-IKKα/β (Ser176/180) (16A6) Rabbit mAb.
undefined Image 26: NF-kappaB Non-Canonical Pathway Antibody Sampler Kit
Orders: 877-616-CELL (2355) [email protected] Support: 877-678-TECH (8324) [email protected] Web: cellsignal.com
For Research Use Only. Not for Use in Diagnostic Procedures.