Revision 7

#69994

Store at -20C

CST Logo
Orders:

877-616-CELL (2355)

[email protected]

Support:

877-678-TECH (8324)

3 Trask Lane | Danvers | Massachusetts | 01923 | USA

For Research Use Only. Not for Use in Diagnostic Procedures.

Applications:
W, IHC-P, IF-IC, FC-FP

Reactivity:
H M R Hm Mk Dg

Sensitivity:
Endogenous

MW (kDa):
65

Source/Isotype:
Rabbit IgG

UniProt ID:
#Q04206

Entrez-Gene Id:
5970

Product Usage Information

This product is the carrier free version of product #8242. All data were generated using the same antibody clone in the standard formulation which contains BSA and glycerol.

This formulation is ideal for use with technologies requiring specialized or custom antibody labeling, including fluorophores, metals, lanthanides, and oligonucleotides. It is not recommended for ChIP, ChIP-seq, CUT&RUN or CUT&Tag assays. If you require a carrier free formulation for chromatin profiling, please contact us. Optimal dilutions/concentrations should be determined by the end user.

BSA and Azide Free antibodies are quality control tested by size exclusion chromatography (SEC) to determine antibody integrity.

Formulation

Supplied in 1X Borate (20 mM H3BO3, 150 mM NaCl (pH 9.0)). BSA and Azide Free.

For standard formulation of this product see product #8242.

Storage

Store at -20°C. This product will freeze at -20°C so it is recommended to aliquot into single-use vials to avoid multiple freeze/thaw cycles. A slight precipitate may be present and can be dissolved by gently vortexing. This will not interfere with antibody performance.

Specificity/Sensitivity

NF-kappaB p65 (D14E12) Rabbit Monoclonal Antibody (BSA and Azide Free) recognizes endogenous levels of total NF-κB p65/RelA protein. This antibody does not cross react with other NF-κB/Rel family members. Non-specific staining was observed in pancreatic islets by immunohistochemistry.

Source / Purification

Monoclonal antibody is produced by immunizing animals with a synthetic peptide corresponding to residues surrounding Glu498 of human NF-κB p65/RelA protein.

Background

Transcription factors of the nuclear factor κB (NF-κB)/Rel family play a pivotal role in inflammatory and immune responses (1,2). There are five family members in mammals: RelA, c-Rel, RelB, NF-κB1 (p105/p50), and NF-κB2 (p100/p52). Both p105 and p100 are proteolytically processed by the proteasome to produce p50 and p52, respectively. Rel proteins bind p50 and p52 to form dimeric complexes that bind DNA and regulate transcription. In unstimulated cells, NF-κB is sequestered in the cytoplasm by IκB inhibitory proteins (3-5). NF-κB-activating agents can induce the phosphorylation of IκB proteins, targeting them for rapid degradation through the ubiquitin-proteasome pathway and releasing NF-κB to enter the nucleus where it regulates gene expression (6-8). NIK and IKKα (IKK1) regulate the phosphorylation and processing of NF-κB2 (p100) to produce p52, which translocates to the nucleus (9-11).

Species Reactivity

Species reactivity is determined by testing in at least one approved application (e.g., western blot).

Applications Key

W: Western Blotting IHC-P: Immunohistochemistry (Paraffin) IF-IC: Immunofluorescence (Immunocytochemistry) FC-FP: Flow Cytometry (Fixed/Permeabilized)

Cross-Reactivity Key

H: Human M: Mouse R: Rat Hm: Hamster Mk: Monkey Dg: Dog

Trademarks and Patents

Cell Signaling Technology is a trademark of Cell Signaling Technology, Inc.

All other trademarks are the property of their respective owners. Visit cellsignal.com/trademarks for more information.

Limited Uses

Except as otherwise expressly agreed in a writing signed by a legally authorized representative of CST, the following terms apply to Products provided by CST, its affiliates or its distributors. Any Customer's terms and conditions that are in addition to, or different from, those contained herein, unless separately accepted in writing by a legally authorized representative of CST, are rejected and are of no force or effect.

Products are labeled with For Research Use Only or a similar labeling statement and have not been approved, cleared, or licensed by the FDA or other regulatory foreign or domestic entity, for any purpose. Customer shall not use any Product for any diagnostic or therapeutic purpose, or otherwise in any manner that conflicts with its labeling statement. Products sold or licensed by CST are provided for Customer as the end-user and solely for research and development uses. Any use of Product for diagnostic, prophylactic or therapeutic purposes, or any purchase of Product for resale (alone or as a component) or other commercial purpose, requires a separate license from CST. Customer shall (a) not sell, license, loan, donate or otherwise transfer or make available any Product to any third party, whether alone or in combination with other materials, or use the Products to manufacture any commercial products, (b) not copy, modify, reverse engineer, decompile, disassemble or otherwise attempt to discover the underlying structure or technology of the Products, or use the Products for the purpose of developing any products or services that would compete with CST products or services, (c) not alter or remove from the Products any trademarks, trade names, logos, patent or copyright notices or markings, (d) use the Products solely in accordance with CST Product Terms of Sale and any applicable documentation, and (e) comply with any license, terms of service or similar agreement with respect to any third party products or services used by Customer in connection with the Products.

Orders: 877-616-CELL (2355) [email protected] Support: 877-678-TECH (8324) [email protected] Web: cellsignal.com
For Research Use Only. Not for Use in Diagnostic Procedures.

Revision 7

Cell Signaling Technology Logo
Western blot analysis of extracts from various cell lines using NF-κB p65 (D14E12) XP® Rabbit mAb. Data were generated using the standard formulation of this product.
Western Blotting Image 1: NF-kappaB p65 (D14E12) Rabbit Monoclonal Antibody (BSA and Azide Free)
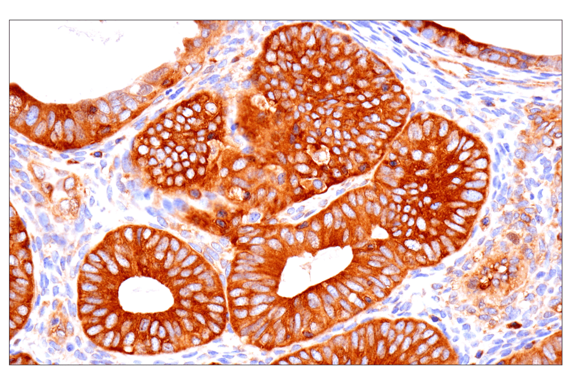
Immunohistochemical analysis of paraffin-embedded human endometrioid carcinoma using NF-κB p65 (D14E12) XP® Rabbit mAb. Data were generated using the standard formulation of this product.
Immunohistochemistry Image 1: NF-kappaB p65 (D14E12) Rabbit Monoclonal Antibody (BSA and Azide Free)
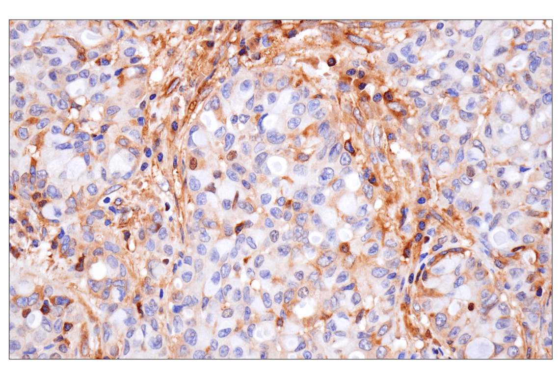
Immunohistochemical analysis of paraffin-embedded human gastric carcinoma using NF-κB p65 (D14E12) XP® Rabbit mAb. Data were generated using the standard formulation of this product.
Immunohistochemistry Image 2: NF-kappaB p65 (D14E12) Rabbit Monoclonal Antibody (BSA and Azide Free)
Orders: 877-616-CELL (2355) [email protected] Support: 877-678-TECH (8324) [email protected] Web: cellsignal.com
For Research Use Only. Not for Use in Diagnostic Procedures.

Revision 7

Cell Signaling Technology Logo
Immunohistochemical analysis of paraffin-embedded human thymoma using NF-κB p65 (D14E12) XP® Rabbit mAb. Data were generated using the standard formulation of this product.
Immunohistochemistry Image 3: NF-kappaB p65 (D14E12) Rabbit Monoclonal Antibody (BSA and Azide Free)
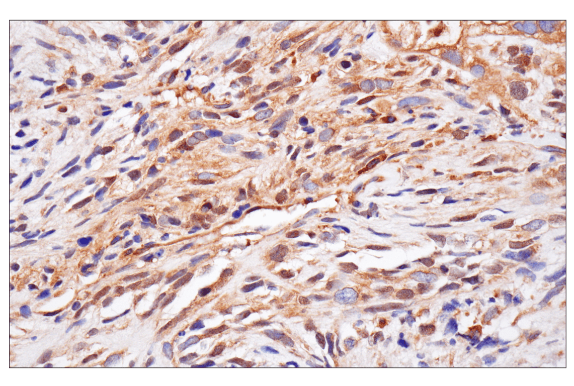
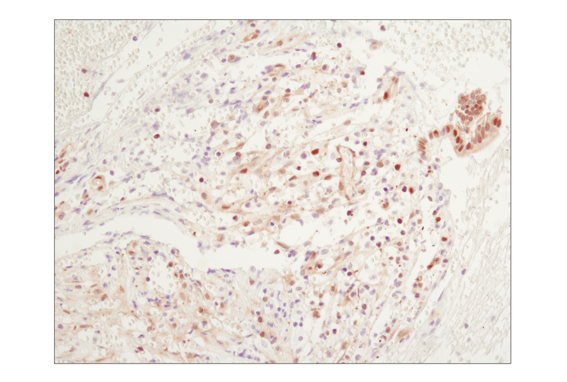
Immunohistochemical analysis of paraffin-embedded human chronic cholecystitis using NF-κB p65 (D14E12) XP® Rabbit mAb. Data were generated using the standard formulation of this product.
Immunohistochemistry Image 4: NF-kappaB p65 (D14E12) Rabbit Monoclonal Antibody (BSA and Azide Free)
Immunohistochemical analysis of paraffin-embedded human lung adenocarcinoma using NF-κB p65 (D14E12) XP® Rabbit mAb. Data were generated using the standard formulation of this product.
Immunohistochemistry Image 5: NF-kappaB p65 (D14E12) Rabbit Monoclonal Antibody (BSA and Azide Free)
Orders: 877-616-CELL (2355) [email protected] Support: 877-678-TECH (8324) [email protected] Web: cellsignal.com
For Research Use Only. Not for Use in Diagnostic Procedures.

Revision 7

Cell Signaling Technology Logo
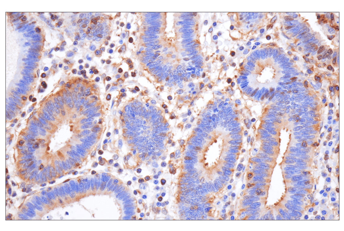
Immunohistochemical analysis of paraffin-embedded normal human small intestine using NF-κB p65 (D14E12) XP® Rabbit mAb. Data were generated using the standard formulation of this product.
Immunohistochemistry Image 6: NF-kappaB p65 (D14E12) Rabbit Monoclonal Antibody (BSA and Azide Free)
Immunohistochemical analysis of paraffin-embedded human adenoid cystic carcinoma of the salivary gland (left), squamous cell lung carcinoma (middle) or normal colon (right) using NF-κB p65 (D14E12) XP® Rabbit mAb (top) or an NF-κB p65 Mouse mAb (bottom). These two antibodies detect unique, non-overlapping epitopes on human NF-κB p65. The similar staining patterns obtained with both antibodies help to confirm the specificity of the staining. Data were generated using the standard formulation of this product.
Immunohistochemistry Image 7: NF-kappaB p65 (D14E12) Rabbit Monoclonal Antibody (BSA and Azide Free)
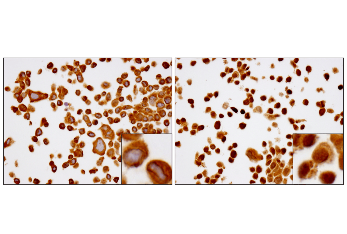
Immunohistochemical analysis using NF-κB p65 (D14E12) XP® Rabbit mAb on SignalSlide® NF-κB p65 IHC Controls #12873 (paraffin-embedded HCT116 cells, untreated (left) or treated with hTNF-α (right). Data were generated using the standard formulation of this product.
Immunohistochemistry Image 8: NF-kappaB p65 (D14E12) Rabbit Monoclonal Antibody (BSA and Azide Free)
Orders: 877-616-CELL (2355) [email protected] Support: 877-678-TECH (8324) [email protected] Web: cellsignal.com
For Research Use Only. Not for Use in Diagnostic Procedures.

Revision 7

Cell Signaling Technology Logo
Confocal immunofluorescent analysis of HT-1080 cells, untreated (left) or treated with hTNF-α (20 ng/ml, 20 min; right), using NF-κB p65 (D14E12) XP® Rabbit mAb (green), DyLight™ 554 Phalloidin #13054 (red), and DRAQ5® #4084 (blue). Data were generated using the standard formulation of this product.
Immunofluorescence Image 1: NF-kappaB p65 (D14E12) Rabbit Monoclonal Antibody (BSA and Azide Free)
Flow cytometric analysis of HeLa cells using NF-κB p65 (D14E12) XP® Rabbit mAb (blue) compared to concentration matched Rabbit (DA1E) mAb IgG XP® Isotype Control #3900 (red). Data were generated using the standard formulation of this product.
Flow Cytometry Image 1: NF-kappaB p65 (D14E12) Rabbit Monoclonal Antibody (BSA and Azide Free)
Orders: 877-616-CELL (2355) [email protected] Support: 877-678-TECH (8324) [email protected] Web: cellsignal.com
For Research Use Only. Not for Use in Diagnostic Procedures.