Revision 2

#78869

Store at -20C

CST Logo
Orders:

877-616-CELL (2355)

[email protected]

Support:

877-678-TECH (8324)

3 Trask Lane | Danvers | Massachusetts | 01923 | USA

For Research Use Only. Not for Use in Diagnostic Procedures.

Applications:
W, IHC-P

Reactivity:
H M

Sensitivity:
Endogenous

MW (kDa):
50 Active form. 120 Precursor

Source/Isotype:
Rabbit IgG

UniProt ID:
#P19838

Entrez-Gene Id:
4790

Product Usage Information

This product is the carrier free version of product #12540. All data were generated using the same antibody clone in the standard formulation which contains BSA and glycerol.

This formulation is ideal for use with technologies requiring specialized or custom antibody labeling, including fluorophores, metals, lanthanides, and oligonucleotides. It is not recommended for ChIP, ChIP-seq, CUT&RUN or CUT&Tag assays. If you require a carrier free formulation for chromatin profiling, please contact us. Optimal dilutions/concentrations should be determined by the end user.

BSA and Azide Free antibodies are quality control tested by size exclusion chromatography (SEC) to determine antibody integrity.

Formulation

Supplied in 1X PBS (10 mM Na2HPO4, 3 mM KCl, 2 mM KH2PO4, and 140 mM NaCl (pH 7.8)). BSA and Azide Free.

For standard formulation of this product see product #12540

Storage

Store at -20°C. This product will freeze at -20°C so it is recommended to aliquot into single-use vials to avoid multiple freeze/thaw cycles. A slight precipitate may be present and can be dissolved by gently vortexing. This will not interfere with antibody performance.

Specificity/Sensitivity

NF-kappaB1 p105/p50 (D7H5M) Rabbit Monoclonal Antibody (BSA and Azide Free) recognizes endogenous levels of total NF-κB1 p105/p50 protein.

Species predicted to react based on 100% sequence homology

Monkey

Source / Purification

Monoclonal antibody is produced by immunizing animals with a synthetic peptide corresponding to residues surrounding Gly415 of human NF-κB p105/p50 protein.

Background

Transcription factors of the nuclear factor κB (NF-κB)/Rel family play a pivotal role in inflammatory and immune responses (1,2). There are five family members in mammals: RelA, c-Rel, RelB, NF-κB1 (p105/p50), and NF-κB2 (p100/p52). Both p105 and p100 are proteolytically processed by the proteasome to produce p50 and p52, respectively. Rel proteins bind p50 and p52 to form dimeric complexes that bind DNA and regulate transcription. In unstimulated cells, NF-κB is sequestered in the cytoplasm by IκB inhibitory proteins (3-5). NF-κB-activating agents can induce the phosphorylation of IκB proteins, targeting them for rapid degradation through the ubiquitin-proteasome pathway and releasing NF-κB to enter the nucleus where it regulates gene expression (6-8). NIK and IKKα (IKK1) regulate the phosphorylation and processing of NF-κB2 (p100) to produce p52, which translocates to the nucleus (9-11).
Following IKK-mediated phosphorylation of p105 NF-κB at multiple sites (Ser921, 923, 927, and 932) on its carboxy-terminus, SCF/β-TrCP mediated processing produces the 50 kDa active form p50 (12,13).

Species Reactivity

Species reactivity is determined by testing in at least one approved application (e.g., western blot).

Applications Key

W: Western Blotting IHC-P: Immunohistochemistry (Paraffin)

Cross-Reactivity Key

H: Human M: Mouse

Trademarks and Patents

Cell Signaling Technology is a trademark of Cell Signaling Technology, Inc.

All other trademarks are the property of their respective owners. Visit cellsignal.com/trademarks for more information.

Limited Uses

Except as otherwise expressly agreed in a writing signed by a legally authorized representative of CST, the following terms apply to Products provided by CST, its affiliates or its distributors. Any Customer's terms and conditions that are in addition to, or different from, those contained herein, unless separately accepted in writing by a legally authorized representative of CST, are rejected and are of no force or effect.

Products are labeled with For Research Use Only or a similar labeling statement and have not been approved, cleared, or licensed by the FDA or other regulatory foreign or domestic entity, for any purpose. Customer shall not use any Product for any diagnostic or therapeutic purpose, or otherwise in any manner that conflicts with its labeling statement. Products sold or licensed by CST are provided for Customer as the end-user and solely for research and development uses. Any use of Product for diagnostic, prophylactic or therapeutic purposes, or any purchase of Product for resale (alone or as a component) or other commercial purpose, requires a separate license from CST. Customer shall (a) not sell, license, loan, donate or otherwise transfer or make available any Product to any third party, whether alone or in combination with other materials, or use the Products to manufacture any commercial products, (b) not copy, modify, reverse engineer, decompile, disassemble or otherwise attempt to discover the underlying structure or technology of the Products, or use the Products for the purpose of developing any products or services that would compete with CST products or services, (c) not alter or remove from the Products any trademarks, trade names, logos, patent or copyright notices or markings, (d) use the Products solely in accordance with CST Product Terms of Sale and any applicable documentation, and (e) comply with any license, terms of service or similar agreement with respect to any third party products or services used by Customer in connection with the Products.

Orders: 877-616-CELL (2355) [email protected] Support: 877-678-TECH (8324) [email protected] Web: cellsignal.com
For Research Use Only. Not for Use in Diagnostic Procedures.

Revision 2

Cell Signaling Technology Logo
Western blot analysis of extracts from various cell lines using NF-κB1 p105/p50 (D7H5M) Rabbit mAb. Data were generated using the standard formulation of this product.
Western Blotting Image 1: NF-kappaB1 p105/p50 (D7H5M) Rabbit Monoclonal Antibody (BSA and Azide Free)
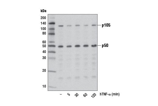
Western blot analysis of extracts from HeLa cells, untreated (-) or treated with Human Tumor Necrosis Factor-α (hTNF-α) (10 ng/ml) for the indicated times, using NF-κB1 p105/p50 (D7H5M) Rabbit mAb. Data were generated using the standard formulation of this product.
Western Blotting Image 2: NF-kappaB1 p105/p50 (D7H5M) Rabbit Monoclonal Antibody (BSA and Azide Free)
Immunohistochemical analysis of paraffin-embedded human endometrioid adenocarcinoma using NF-κB1 p105/p50 (D7H5M) Rabbit mAb. Data were generated using the standard formulation of this product.
Immunohistochemistry Image 1: NF-kappaB1 p105/p50 (D7H5M) Rabbit Monoclonal Antibody (BSA and Azide Free)
Orders: 877-616-CELL (2355) [email protected] Support: 877-678-TECH (8324) [email protected] Web: cellsignal.com
For Research Use Only. Not for Use in Diagnostic Procedures.

Revision 2

Cell Signaling Technology Logo
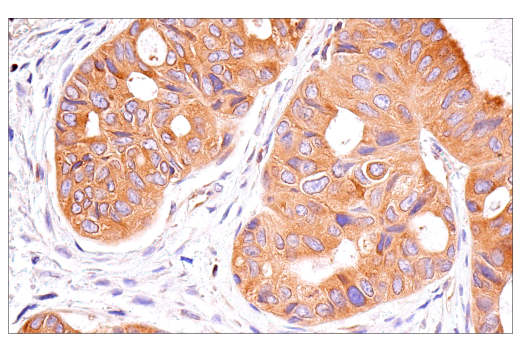
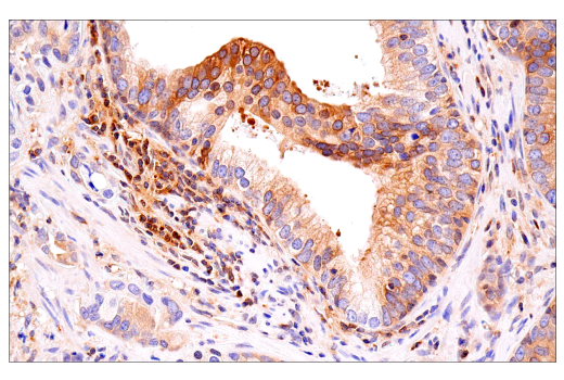
Immunohistochemical analysis of paraffin-embedded human prostate adenocarcinoma using NF-κB1 p105/p50 (D7H5M) Rabbit mAb. Data were generated using the standard formulation of this product.
Immunohistochemistry Image 2: NF-kappaB1 p105/p50 (D7H5M) Rabbit Monoclonal Antibody (BSA and Azide Free)
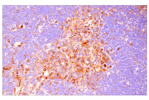
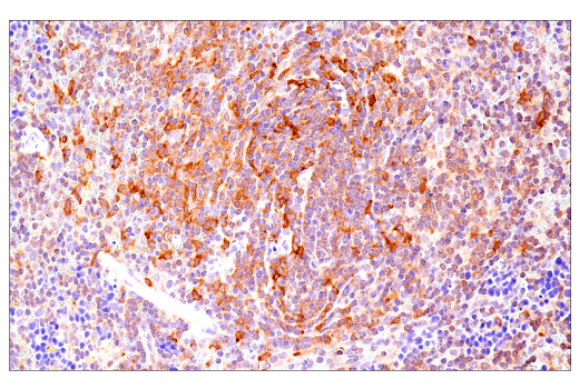
Immunohistochemical analysis of paraffin-embedded human B-cell non-Hodgkin lymphoma using NF-κB1 p105/p50 (D7H5M) Rabbit mAb. Data were generated using the standard formulation of this product.
Immunohistochemistry Image 3: NF-kappaB1 p105/p50 (D7H5M) Rabbit Monoclonal Antibody (BSA and Azide Free)
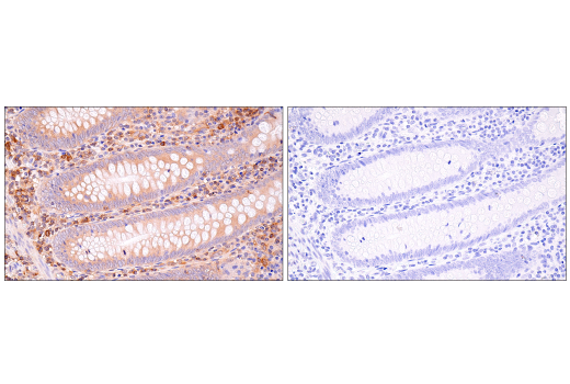
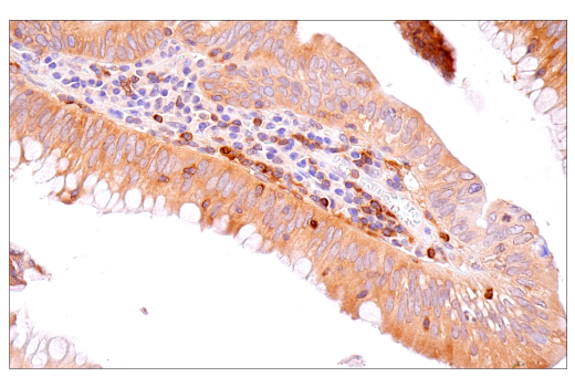
Immunohistochemical analysis of paraffin-embedded human colon adenocarcinoma using NF-κB1 p105/p50 (D7H5M) Rabbit mAb. Data were generated using the standard formulation of this product.
Immunohistochemistry Image 4: NF-kappaB1 p105/p50 (D7H5M) Rabbit Monoclonal Antibody (BSA and Azide Free)
Orders: 877-616-CELL (2355) [email protected] Support: 877-678-TECH (8324) [email protected] Web: cellsignal.com
For Research Use Only. Not for Use in Diagnostic Procedures.

Revision 2

Cell Signaling Technology Logo
Immunohistochemical analysis of paraffin-embedded human colon adenocarcinoma (left), normal human spleen (middle), or 4T1 syngeneic mammary tumor (right) using NF-κB1 p105/p50 (D7H5M) Rabbit mAb (top) or NF-κB1 p105/p50 Rabbit mAb (bottom). These two antibodies detect unique, non-overlapping epitopes on NF-κB1 p105/p50 protein. The similar staining patterns obtained with both antibodies help to confirm the specificity of the staining. Data were generated using the standard formulation of this product.
Immunohistochemistry Image 5: NF-kappaB1 p105/p50 (D7H5M) Rabbit Monoclonal Antibody (BSA and Azide Free)
Immunohistochemical analysis of paraffin-embedded MEF cell pellet, wild-type (left, positive) or NF-κB1 knockout (right, negative), using NF-κB1 p105/p50 (D7H5M) Rabbit mAb. Data were generated using the standard formulation of this product.
Immunohistochemistry Image 6: NF-kappaB1 p105/p50 (D7H5M) Rabbit Monoclonal Antibody (BSA and Azide Free)
Immunohistochemical analysis of paraffin-embedded normal human appendix using NF-κB1 p105/p50 (D7H5M) Rabbit mAb (left) compared to concentration-matched Rabbit (DA1E) mAb IgG XP® Isotype Control #3900 (right). Data were generated using the standard formulation of this product.
Immunohistochemistry Image 7: NF-kappaB1 p105/p50 (D7H5M) Rabbit Monoclonal Antibody (BSA and Azide Free)
Orders: 877-616-CELL (2355) [email protected] Support: 877-678-TECH (8324) [email protected] Web: cellsignal.com
For Research Use Only. Not for Use in Diagnostic Procedures.

Revision 2

Cell Signaling Technology Logo
Immunohistochemical analysis of paraffin-embedded mouse spleen using NF-κB1 p105/p50 (D7H5M) Rabbit mAb. Data were generated using the standard formulation of this product.
Immunohistochemistry Image 8: NF-kappaB1 p105/p50 (D7H5M) Rabbit Monoclonal Antibody (BSA and Azide Free)
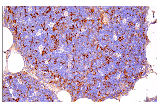
Immunohistochemical analysis of paraffin-embedded mouse thymus using NF-κB1 p105/p50 (D7H5M) Rabbit mAb. Data were generated using the standard formulation of this product.
Immunohistochemistry Image 9: NF-kappaB1 p105/p50 (D7H5M) Rabbit Monoclonal Antibody (BSA and Azide Free)
Immunohistochemical analysis of paraffin-embedded normal human thymus using NF-κB1 p105/p50 (D7H5M) Rabbit mAb. Data were generated using the standard formulation of this product.
Immunohistochemistry Image 10: NF-kappaB1 p105/p50 (D7H5M) Rabbit Monoclonal Antibody (BSA and Azide Free)
Orders: 877-616-CELL (2355) [email protected] Support: 877-678-TECH (8324) [email protected] Web: cellsignal.com
For Research Use Only. Not for Use in Diagnostic Procedures.