Revision 1

#25162

Store at -20C

CST Logo
Orders:

877-616-CELL (2355)

[email protected]

Support:

877-678-TECH (8324)

3 Trask Lane | Danvers | Massachusetts | 01923 | USA

For Research Use Only. Not for Use in Diagnostic Procedures.

Applications:
W, IHC-P, IF-IC

Reactivity:
H

Sensitivity:
Endogenous

MW (kDa):
250, 450

Source/Isotype:
Rabbit IgG

UniProt ID:
#Q6UVK1

Entrez-Gene Id:
1464

Product Usage Information

This product is the carrier-free version of product #43916. All data were generated using the same antibody clone in the standard formulation which contains BSA and glycerol. This formulation is ideal for use with technologies requiring specialized or custom antibody labeling, including fluorophores, metals, lanthanides, and oligonucleotides. It is not recommended for ChIP, ChIP-seq, CUT&RUN, or CUT&Tag assays. If you require a carrier-free formulation for chromatin profiling, please contact us. Optimal dilutions/concentrations should be determined by the end user.

BSA and Azide Free antibodies are quality control tested by size exclusion chromatography (SEC) to determine antibody integrity.

Formulation

Supplied in 1X PBS (10 mM Na2HPO4, 3 mM KCl, 2 mM KH2PO4, and 140 mM NaCl (pH 7.8)). BSA and Azide Free.

For standard formulation of this product see product #43916.

Storage

Store at -20°C. This product will freeze at -20°C so it is recommended to aliquot into single-use vials to avoid multiple freeze/thaw cycles. A slight precipitate may be present and can be dissolved by gently vortexing. This will not interfere with antibody performance.

Specificity/Sensitivity

NG2/CSPG4 (E3B3G) Rabbit Monoclonal Antibody (BSA and Azide Free) recognizes endogenous levels of total NG2/CSPG4 protein.

Source / Purification

Monoclonal antibody is produced by immunizing animals with a synthetic peptide corresponding to residues surrounding Asp1410 of human NG2/CSPG4 protein.

Background

The chondroitin sulfate proteoglycan NG2 is a type I membrane protein expressed by subpopulations of glia including oligodendroglial precursor cells and a variety of tumor cells. Normal precursor cells and malignant tumor cells migrate and proliferate, but there is evidence that cells may not be able to engage in both activities at the same time. However, NG2 is involved in promoting both proliferation and motility (1). The extracellular domain of NG2 sequesters growth factors and binds to both growth factor receptors and extracellular matrix ligands such as fibronectin, collagens and laminin. The cytoplasmic domain is involved in activating Rac, Cdc42, and p130 Cas (2). PKCα phosphorylates NG2 at Thr2256, triggering the redistribution of NG2 from apical microprocesses to lamellipodia accompanied by enhanced cell motility (3). ERK phosphorylates NG2 at Thr2314, stimulating cell proliferation (4).

Species Reactivity

Species reactivity is determined by testing in at least one approved application (e.g., western blot).

Applications Key

W: Western Blotting IHC-P: Immunohistochemistry (Paraffin) IF-IC: Immunofluorescence (Immunocytochemistry)

Cross-Reactivity Key

H: Human

Trademarks and Patents

Cell Signaling Technology is a trademark of Cell Signaling Technology, Inc.

All other trademarks are the property of their respective owners. Visit cellsignal.com/trademarks for more information.

Limited Uses

Except as otherwise expressly agreed in a writing signed by a legally authorized representative of CST, the following terms apply to Products provided by CST, its affiliates or its distributors. Any Customer's terms and conditions that are in addition to, or different from, those contained herein, unless separately accepted in writing by a legally authorized representative of CST, are rejected and are of no force or effect.

Products are labeled with For Research Use Only or a similar labeling statement and have not been approved, cleared, or licensed by the FDA or other regulatory foreign or domestic entity, for any purpose. Customer shall not use any Product for any diagnostic or therapeutic purpose, or otherwise in any manner that conflicts with its labeling statement. Products sold or licensed by CST are provided for Customer as the end-user and solely for research and development uses. Any use of Product for diagnostic, prophylactic or therapeutic purposes, or any purchase of Product for resale (alone or as a component) or other commercial purpose, requires a separate license from CST. Customer shall (a) not sell, license, loan, donate or otherwise transfer or make available any Product to any third party, whether alone or in combination with other materials, or use the Products to manufacture any commercial products, (b) not copy, modify, reverse engineer, decompile, disassemble or otherwise attempt to discover the underlying structure or technology of the Products, or use the Products for the purpose of developing any products or services that would compete with CST products or services, (c) not alter or remove from the Products any trademarks, trade names, logos, patent or copyright notices or markings, (d) use the Products solely in accordance with CST Product Terms of Sale and any applicable documentation, and (e) comply with any license, terms of service or similar agreement with respect to any third party products or services used by Customer in connection with the Products.

Orders: 877-616-CELL (2355) [email protected] Support: 877-678-TECH (8324) [email protected] Web: cellsignal.com
For Research Use Only. Not for Use in Diagnostic Procedures.

Revision 1

Cell Signaling Technology Logo
Western blot analysis of extracts from HeLa cells, either wild-type (+/+) or CSPG4 knockout (-/-), using NG2/CSPG4 (E3B3G) XP® Rabbit mAb (upper) or α-Actinin (D6F6) XP® Rabbit mAb #6487 (lower). Data were generated using the standard formulation of this product.
Western Blotting Image 1: NG2/CSPG4 (E3B3G) Rabbit Monoclonal Antibody (BSA and Azide Free)
Western blot analysis of extracts from 293T cells, mock transfected (-) or transfected with a construct expressing Myc/DDK-tagged full-length human NG2/CSPG4 protein (hNG2/CSPG4-Myc/DDK; +), using NG2/CSPG4 (E3B3G) XP® Rabbit mAb (upper), DYKDDDDK Tag Antibody #2368 (middle), or α-Actinin (D6F6) XP® Rabbit mAb #6487 (lower). Data were generated using the standard formulation of this product.
Western Blotting Image 2: NG2/CSPG4 (E3B3G) Rabbit Monoclonal Antibody (BSA and Azide Free)
Western blot analysis of extracts from various cell lines using NG2/CSPG4 (E3B3G) XP® Rabbit mAb (upper) or α-Actinin (D6F6) XP® Rabbit mAb #6487 (lower). As expected, NG2/CSPG4 protein is not expressed in MCF7 cells. Data were generated using the standard formulation of this product.
Western Blotting Image 3: NG2/CSPG4 (E3B3G) Rabbit Monoclonal Antibody (BSA and Azide Free)
Orders: 877-616-CELL (2355) [email protected] Support: 877-678-TECH (8324) [email protected] Web: cellsignal.com
For Research Use Only. Not for Use in Diagnostic Procedures.

Revision 1

Cell Signaling Technology Logo
Immunohistochemical analysis of paraffin-embedded normal human kidney using NG2/CSPG4 (E3B3G) XP® Rabbit mAb. Data were generated using the standard formulation of this product.
Immunohistochemistry Image 1: NG2/CSPG4 (E3B3G) Rabbit Monoclonal Antibody (BSA and Azide Free)
Immunohistochemical analysis of paraffin-embedded human gastrointestinal stromal tumor (left), normal liver (middle), or normal lung (right), using NG2/CSPG4 (E3B3G) XP® Rabbit mAb (top) or NG2/CSPG4 Rabbit mAb (bottom). These two antibodies detect independent, unique epitopes on human NG2/CSPG4. The similar staining patterns obtained with both antibodies help to confirm the specificity of the staining. Data were generated using the standard formulation of this product.
Immunohistochemistry Image 2: NG2/CSPG4 (E3B3G) Rabbit Monoclonal Antibody (BSA and Azide Free)
Immunohistochemical analysis of paraffin-embedded A-375 cell pellet (left, positive) or MCF7 cell pellet (right, negative) using NG2/CSPG4 (E3B3G) XP® Rabbit mAb. Data were generated using the standard formulation of this product.
Immunohistochemistry Image 3: NG2/CSPG4 (E3B3G) Rabbit Monoclonal Antibody (BSA and Azide Free)
Orders: 877-616-CELL (2355) [email protected] Support: 877-678-TECH (8324) [email protected] Web: cellsignal.com
For Research Use Only. Not for Use in Diagnostic Procedures.

Revision 1

Cell Signaling Technology Logo
Immunohistochemical analysis of paraffin-embedded human oral squamous cell carcinoma using NG2/CSPG4 (E3B3G) XP® Rabbit mAb. Data were generated using the standard formulation of this product.
Immunohistochemistry Image 4: NG2/CSPG4 (E3B3G) Rabbit Monoclonal Antibody (BSA and Azide Free)
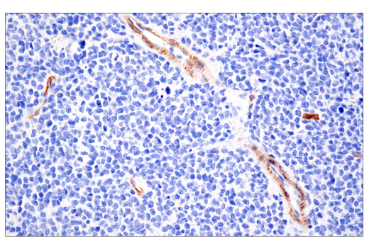
Immunohistochemical analysis of paraffin-embedded human B-cell non-Hodgkin lymphoma using NG2/CSPG4 (E3B3G) XP® Rabbit mAb. Data were generated using the standard formulation of this product.
Immunohistochemistry Image 5: NG2/CSPG4 (E3B3G) Rabbit Monoclonal Antibody (BSA and Azide Free)
Immunohistochemical analysis of paraffin-embedded human colon carcinoma using NG2/CSPG4 (E3B3G) XP® Rabbit mAb. Data were generated using the standard formulation of this product.
Immunohistochemistry Image 6: NG2/CSPG4 (E3B3G) Rabbit Monoclonal Antibody (BSA and Azide Free)
Orders: 877-616-CELL (2355) [email protected] Support: 877-678-TECH (8324) [email protected] Web: cellsignal.com
For Research Use Only. Not for Use in Diagnostic Procedures.

Revision 1

Cell Signaling Technology Logo
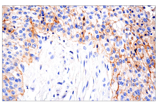
Immunohistochemical analysis of paraffin-embedded human renal cell carcinoma using NG2/CSPG4 (E3B3G) XP® Rabbit mAb. Data were generated using the standard formulation of this product.
Immunohistochemistry Image 7: NG2/CSPG4 (E3B3G) Rabbit Monoclonal Antibody (BSA and Azide Free)
Confocal immunofluorescent analysis of A-375 cells (left, positive) or MCF7 cells (right, negative) using NG2/CSPG4 (E3B3G) XP® Rabbit mAb (green) and β-Actin (8H10D10) Mouse mAb #3700 (red). Sections were mounted in ProLong® Gold Antifade Reagent with DAPI #8961 (blue). Data were generated using the standard formulation of this product.
Immunofluorescence Image 1: NG2/CSPG4 (E3B3G) Rabbit Monoclonal Antibody (BSA and Azide Free)
Orders: 877-616-CELL (2355) [email protected] Support: 877-678-TECH (8324) [email protected] Web: cellsignal.com
For Research Use Only. Not for Use in Diagnostic Procedures.