Revision 6

#43916

Store at -20C

CST Logo
Orders:

877-616-CELL (2355)

[email protected]

Support:

877-678-TECH (8324)

3 Trask Lane | Danvers | Massachusetts | 01923 | USA

For Research Use Only. Not for Use in Diagnostic Procedures.

Applications:
W, W-S, IHC-P, IF-IC

Reactivity:
H

Sensitivity:
Endogenous

MW (kDa):
250, 450

Source/Isotype:
Rabbit IgG

UniProt ID:
#Q6UVK1

Entrez-Gene Id:
1464

Product Usage Information

Application Dilution
Western Blotting 1:1000
Simple Western™ 1:10 - 1:50
Immunohistochemistry (Paraffin) 1:100 - 1:400
Immunofluorescence (Immunocytochemistry) 1:200 - 1:400

Storage

Supplied in 10 mM sodium HEPES (pH 7.5), 150 mM NaCl, 100 µg/ml BSA, 50% glycerol and less than 0.02% sodium azide. Store at –20°C. Do not aliquot the antibody.

For a carrier free (BSA and azide free) version of this product see product #25162.

Specificity/Sensitivity

NG2/CSPG4 (E3B3G) Rabbit Monoclonal Antibody recognizes endogenous levels of total NG2/CSPG4 protein.

Source / Purification

Monoclonal antibody is produced by immunizing animals with a synthetic peptide corresponding to residues surrounding Asp1410 of human NG2/CSPG4 protein.

Background

The chondroitin sulfate proteoglycan NG2 is a type I membrane protein expressed by subpopulations of glia, including oligodendroglial precursor cells and a variety of tumor cells. Normal precursor cells and malignant tumor cells migrate and proliferate, but there is evidence that cells may not be able to engage in both activities at the same time. However, NG2 is involved in promoting both proliferation and motility (1). The extracellular domain of NG2 sequesters growth factors and binds to both growth factor receptors and extracellular matrix ligands such as fibronectin, collagens, and laminin. The cytoplasmic domain is involved in activating Rac, Cdc42, and p130 Cas (2). PKCα phosphorylates NG2 at Thr2256, triggering the redistribution of NG2 from apical microprocesses to lamellipodia, accompanied by enhanced cell motility (3). ERK phosphorylates NG2 at Thr2314, stimulating cell proliferation (4).

Species Reactivity

Species reactivity is determined by testing in at least one approved application (e.g., western blot).

Western Blot Buffer

IMPORTANT: For western blots, incubate membrane with diluted primary antibody in 5% w/v BSA, 1X TBS, 0.1% Tween® 20 at 4°C with gentle shaking, overnight.

Applications Key

W: Western Blotting W-S: Simple Western™ IHC-P: Immunohistochemistry (Paraffin) IF-IC: Immunofluorescence (Immunocytochemistry)

Cross-Reactivity Key

H: Human

Trademarks and Patents

Cell Signaling Technology is a trademark of Cell Signaling Technology, Inc.

SignalStain is a registered trademark of Cell Signaling Technology, Inc.

All other trademarks are the property of their respective owners. Visit cellsignal.com/trademarks for more information.

Limited Uses

Except as otherwise expressly agreed in a writing signed by a legally authorized representative of CST, the following terms apply to Products provided by CST, its affiliates or its distributors. Any Customer's terms and conditions that are in addition to, or different from, those contained herein, unless separately accepted in writing by a legally authorized representative of CST, are rejected and are of no force or effect.

Products are labeled with For Research Use Only or a similar labeling statement and have not been approved, cleared, or licensed by the FDA or other regulatory foreign or domestic entity, for any purpose. Customer shall not use any Product for any diagnostic or therapeutic purpose, or otherwise in any manner that conflicts with its labeling statement. Products sold or licensed by CST are provided for Customer as the end-user and solely for research and development uses. Any use of Product for diagnostic, prophylactic or therapeutic purposes, or any purchase of Product for resale (alone or as a component) or other commercial purpose, requires a separate license from CST. Customer shall (a) not sell, license, loan, donate or otherwise transfer or make available any Product to any third party, whether alone or in combination with other materials, or use the Products to manufacture any commercial products, (b) not copy, modify, reverse engineer, decompile, disassemble or otherwise attempt to discover the underlying structure or technology of the Products, or use the Products for the purpose of developing any products or services that would compete with CST products or services, (c) not alter or remove from the Products any trademarks, trade names, logos, patent or copyright notices or markings, (d) use the Products solely in accordance with CST Product Terms of Sale and any applicable documentation, and (e) comply with any license, terms of service or similar agreement with respect to any third party products or services used by Customer in connection with the Products.

Orders: 877-616-CELL (2355) [email protected] Support: 877-678-TECH (8324) [email protected] Web: cellsignal.com
For Research Use Only. Not for Use in Diagnostic Procedures.

Revision 6

Cell Signaling Technology Logo
Western blot analysis of extracts from various cell lines using NG2/CSPG4 (E3B3G) XP® Rabbit mAb (upper) and α-Actinin (D6F6) XP® Rabbit mAb #6487 (lower). As expected, NG2/CSPG4 protein is not expressed in MCF7 cells.
Western Blotting Image 1: NG2/CSPG4 (E3B3G) Rabbit Monoclonal Antibody
Western blot analysis of extracts from 293T cells, mock transfected (-) or transfected with a construct expressing Myc/DDK-tagged full-length human NG2/CSPG4 protein (hNG2/CSPG4-Myc/DDK; +), using NG2/CSPG4 (E3B3G) XP® Rabbit mAb (upper), DYKDDDDK Tag Antibody #2368 (middle), and α-Actinin (D6F6) XP® Rabbit mAb #6487 (lower).
Western Blotting Image 2: NG2/CSPG4 (E3B3G) Rabbit Monoclonal Antibody
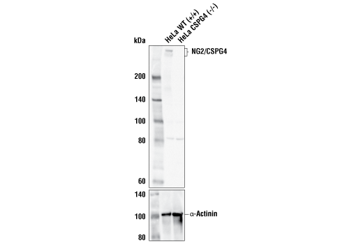
Western blot analysis of extracts from HeLa cells, either wild-type (+/+) or CSPG4 knockout (-/-), using NG2/CSPG4 (E3B3G) XP® Rabbit mAb (upper) and α-Actinin (D6F6) XP® Rabbit mAb #6487 (lower).
Western Blotting Image 3: NG2/CSPG4 (E3B3G) Rabbit Monoclonal Antibody
Orders: 877-616-CELL (2355) [email protected] Support: 877-678-TECH (8324) [email protected] Web: cellsignal.com
For Research Use Only. Not for Use in Diagnostic Procedures.

Revision 6

Cell Signaling Technology Logo
Simple WesternTM analysis of lysates (1.0 mg/mL) from A172 using NG2/CSPG4 (E3B3G) XP® Rabbit mAb #43916.  The virtual lane view (left) shows a single target band (as indicated) at 1:10 and 1:50 dilutions of primary antibody.  The corresponding electropherogram view (right) plots chemiluminescence by molecular weight along the capillary at 1:10 (blue line) and 1:50 (green line) dilutions of primary antibody.  This experiment was performed under reducing conditions on the JessTM Simple Western instrument from ProteinSimple, a BioTechne brand, using the 66-440 kDa separation module.
Western Blotting Image 1: NG2/CSPG4 (E3B3G) Rabbit Monoclonal Antibody
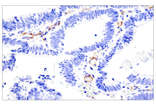
Immunohistochemical analysis of paraffin-embedded human colon carcinoma using NG2/CSPG4 (E3B3G) XP® Rabbit mAb.
Immunohistochemistry Image 1: NG2/CSPG4 (E3B3G) Rabbit Monoclonal Antibody
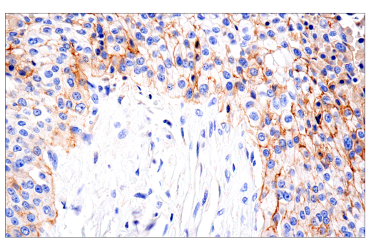
Immunohistochemical analysis of paraffin-embedded human oral squamous cell carcinoma using NG2/CSPG4 (E3B3G) XP® Rabbit mAb.
Immunohistochemistry Image 2: NG2/CSPG4 (E3B3G) Rabbit Monoclonal Antibody
Orders: 877-616-CELL (2355) [email protected] Support: 877-678-TECH (8324) [email protected] Web: cellsignal.com
For Research Use Only. Not for Use in Diagnostic Procedures.

Revision 6

Cell Signaling Technology Logo
Immunohistochemical analysis of paraffin-embedded human renal cell carcinoma using NG2/CSPG4 (E3B3G) XP® Rabbit mAb.
Immunohistochemistry Image 3: NG2/CSPG4 (E3B3G) Rabbit Monoclonal Antibody
Immunohistochemical analysis of paraffin-embedded human gastrointestinal stromal tumor (left), normal liver (middle), or normal lung (right), using NG2/CSPG4 (E3B3G) XP® Rabbit mAb (top) or NG2/CSPG4 Rabbit mAb (bottom). These two antibodies detect independent, unique epitopes on human NG2/CSPG4. The similar staining patterns obtained with both antibodies help to confirm the specificity of the staining.
Immunohistochemistry Image 4: NG2/CSPG4 (E3B3G) Rabbit Monoclonal Antibody
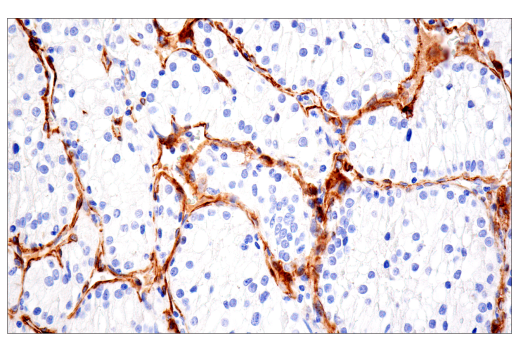
Immunohistochemical analysis of paraffin-embedded normal human kidney using NG2/CSPG4 (E3B3G) XP® Rabbit mAb.
Immunohistochemistry Image 5: NG2/CSPG4 (E3B3G) Rabbit Monoclonal Antibody
Orders: 877-616-CELL (2355) [email protected] Support: 877-678-TECH (8324) [email protected] Web: cellsignal.com
For Research Use Only. Not for Use in Diagnostic Procedures.

Revision 6

Cell Signaling Technology Logo
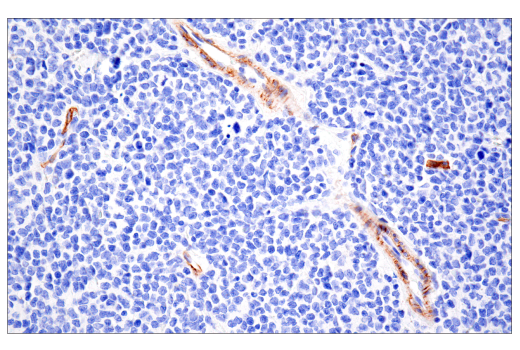
Immunohistochemical analysis of paraffin-embedded human B-cell non-Hodgkin's lymphoma using NG2/CSPG4 (E3B3G) XP® Rabbit mAb.
Immunohistochemistry Image 6: NG2/CSPG4 (E3B3G) Rabbit Monoclonal Antibody
Immunohistochemical analysis of paraffin-embedded A-375 cell pellet (left, positive) or MCF7 cell pellet (right, negative) using NG2/CSPG4 (E3B3G) XP® Rabbit mAb.
Immunohistochemistry Image 7: NG2/CSPG4 (E3B3G) Rabbit Monoclonal Antibody
Confocal immunofluorescent analysis of A-375 cells (left, positive) or MCF7 cells (right, negative) using NG2/CSPG4 (E3B3G) XP® Rabbit mAb (green) and β-Actin (8H10D10) Mouse mAb #3700 (red). Sections were mounted in ProLong® Gold Antifade Reagent with DAPI #8961 (blue).
Immunofluorescence Image 1: NG2/CSPG4 (E3B3G) Rabbit Monoclonal Antibody
Orders: 877-616-CELL (2355) [email protected] Support: 877-678-TECH (8324) [email protected] Web: cellsignal.com
For Research Use Only. Not for Use in Diagnostic Procedures.