Revision 12

#39197

Store at -20C

CST Logo
Orders:

877-616-CELL (2355)

[email protected]

Support:

877-678-TECH (8324)

3 Trask Lane | Danvers | Massachusetts | 01923 | USA

For Research Use Only. Not for Use in Diagnostic Procedures.

Applications:
IHC-Bond, IHC-P, IF-F, FC-L

Reactivity:
M

Sensitivity:
Endogenous

Source/Isotype:
Rabbit IgG

UniProt ID:
#P27814

Entrez-Gene Id:
17059

Product Usage Information

Application Dilution
IHC Leica Bond 1:50
Immunohistochemistry (Paraffin) 1:50 - 1:200
Immunofluorescence (Frozen) 1:100 - 1:400
Flow Cytometry (Live) 1:50 - 1:100

Storage

Supplied in 10 mM sodium HEPES (pH 7.5), 150 mM NaCl, 100 µg/ml BSA, 50% glycerol and less than 0.02% sodium azide. Store at –20°C. Do not aliquot the antibody.

For a carrier free (BSA and azide free) version of this product see product #24395.

Specificity/Sensitivity

NK1.1/CD161 (E6Y9G) Rabbit Monoclonal Antibody recognizes endogenous levels of total CD161c protein from C57BL/6, SJL, and NZW mice, but not from BALB/c and 129S6 mice. Mice from other strains have not been tested. This antibody is predicted to cross-react with CD161b and may cross-react with CD161a protein in some mouse strains.

Source / Purification

Monoclonal antibody is produced by immunizing animals with a synthetic peptide corresponding to residues near the carboxy terminus of mouse NK1.1/CD161 protein.

Background

CD161/KLRB1 (Killer cell lectin-like receptor subfamily B member 1, also known as CLEC5B and NKR-P1A) is a type II transmembrane protein that is expressed on the majority of Natural Killer (NK) cells, NK T cells, and some T lymphocytes (1). CD161/KLRB1 is also expressed on Th17 cells, promotes their generation, and modulates their function (2). Engagement with its ligand lectin-like transcript 1 (LLT1) inhibits NK cell function, while LLT1 and CD161/KLRB1 interaction in the presence of a TCR signal enhances IFN-gamma production by T cells (3,4). There are several different CD161 isoforms in rodents and some function as activating receptors as well (5,6).

There is a family of Klrb1 genes in rodents (7). PK136 antibody recognizes a specific epitope on mouse KLRB1b/c, also referred to as NK1.1, and is commonly used for detection of mouse NK cells in certain mouse strains (CE, B6, NZB, C58, Ma/My, ST, SJL, FVB). However, the epitope is absent in other mouse strains (BALB/c, AKR, CBA, C3H, DBA, 129) (8).

Species Reactivity

Species reactivity is determined by testing in at least one approved application (e.g., western blot).

Applications Key

IHC-Bond: IHC Leica Bond IHC-P: Immunohistochemistry (Paraffin) IF-F: Immunofluorescence (Frozen) FC-L: Flow Cytometry (Live)

Cross-Reactivity Key

M: Mouse

Trademarks and Patents

Cell Signaling Technology is a trademark of Cell Signaling Technology, Inc.

Alexa Fluor is a registered trademark of Life Technologies Corporation.

All other trademarks are the property of their respective owners. Visit cellsignal.com/trademarks for more information.

Limited Uses

Except as otherwise expressly agreed in a writing signed by a legally authorized representative of CST, the following terms apply to Products provided by CST, its affiliates or its distributors. Any Customer's terms and conditions that are in addition to, or different from, those contained herein, unless separately accepted in writing by a legally authorized representative of CST, are rejected and are of no force or effect.

Products are labeled with For Research Use Only or a similar labeling statement and have not been approved, cleared, or licensed by the FDA or other regulatory foreign or domestic entity, for any purpose. Customer shall not use any Product for any diagnostic or therapeutic purpose, or otherwise in any manner that conflicts with its labeling statement. Products sold or licensed by CST are provided for Customer as the end-user and solely for research and development uses. Any use of Product for diagnostic, prophylactic or therapeutic purposes, or any purchase of Product for resale (alone or as a component) or other commercial purpose, requires a separate license from CST. Customer shall (a) not sell, license, loan, donate or otherwise transfer or make available any Product to any third party, whether alone or in combination with other materials, or use the Products to manufacture any commercial products, (b) not copy, modify, reverse engineer, decompile, disassemble or otherwise attempt to discover the underlying structure or technology of the Products, or use the Products for the purpose of developing any products or services that would compete with CST products or services, (c) not alter or remove from the Products any trademarks, trade names, logos, patent or copyright notices or markings, (d) use the Products solely in accordance with CST Product Terms of Sale and any applicable documentation, and (e) comply with any license, terms of service or similar agreement with respect to any third party products or services used by Customer in connection with the Products.

Orders: 877-616-CELL (2355) [email protected] Support: 877-678-TECH (8324) [email protected] Web: cellsignal.com
For Research Use Only. Not for Use in Diagnostic Procedures.

Revision 12

Cell Signaling Technology Logo
Immunohistochemical analysis of paraffin-embedded C57BL/6 mouse thymus using NK1.1/CD161 (E6Y9G) Rabbit mAb performed on the Leica® BOND™ Rx.
Immunohistochemistry Image 1: NK1.1/CD161 (E6Y9G) Rabbit Monoclonal Antibody
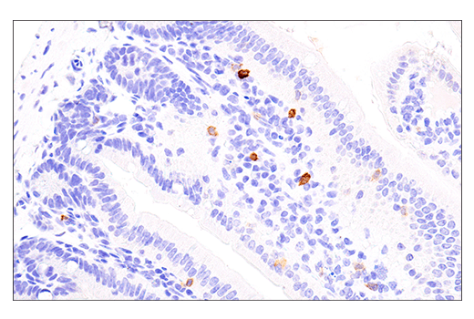
Immunohistochemical analysis of paraffin-embedded C57BL/6 mouse small intestine using NK1.1/CD161 (E6Y9G) Rabbit mAb performed on the Leica® BOND™ Rx.
Immunohistochemistry Image 2: NK1.1/CD161 (E6Y9G) Rabbit Monoclonal Antibody
Immunohistochemical analysis of paraffin-embedded C57BL/6 mouse spleen using NK1.1/CD161 (E6Y9G) Rabbit mAb (left) compared to concentration-matched Rabbit (DA1E) mAb IgG XP® Isotype Control #3900 (right).
Immunohistochemistry Image 1: NK1.1/CD161 (E6Y9G) Rabbit Monoclonal Antibody
Orders: 877-616-CELL (2355) [email protected] Support: 877-678-TECH (8324) [email protected] Web: cellsignal.com
For Research Use Only. Not for Use in Diagnostic Procedures.

Revision 12

Cell Signaling Technology Logo
Immunohistochemical analysis of paraffin-embedded SJL mouse lung using NK1.1/CD161 (E6Y9G) Rabbit mAb.
Immunohistochemistry Image 2: NK1.1/CD161 (E6Y9G) Rabbit Monoclonal Antibody
Immunohistochemical analysis of paraffin-embedded SJL mouse endometrium using NK1.1/CD161 (E6Y9G) Rabbit mAb.
Immunohistochemistry Image 3: NK1.1/CD161 (E6Y9G) Rabbit Monoclonal Antibody
Immunohistochemical analysis of paraffin-embedded NZW mouse spleen using NK1.1/CD161 (E6Y9G) Rabbit mAb.
Immunohistochemistry Image 4: NK1.1/CD161 (E6Y9G) Rabbit Monoclonal Antibody
Orders: 877-616-CELL (2355) [email protected] Support: 877-678-TECH (8324) [email protected] Web: cellsignal.com
For Research Use Only. Not for Use in Diagnostic Procedures.

Revision 12

Cell Signaling Technology Logo
Immunohistochemical analysis of paraffin-embedded 293T cell pellet, untransfected (left) or C57BL/6 mouse Klrb1c-transfected (right) using NK1.1/CD161 (E6Y9G) Rabbit mAb.
Immunohistochemistry Image 5: NK1.1/CD161 (E6Y9G) Rabbit Monoclonal Antibody
Confocal immunofluorescent analysis of C57BL/6 mouse spleen using NK1.1/CD161 (E6Y9G) Rabbit mAb (green) and CD45R/B220 (RA3-6B2) Rat mAb (redFluor™ 710 Conjugate) #82984 (red). Samples were mounted in ProLong® Gold Antifade Reagent with DAPI #8961 (blue).
Immunofluorescence Image 1: NK1.1/CD161 (E6Y9G) Rabbit Monoclonal Antibody
Flow cytometric analysis of live mouse C57BL/6 splenocytes stained with CD49b-APC and either Rabbit (DA1E) mAb IgG XP® Isotype Control #3900 (left) or NK1.1/CD161 (E6Y9G) Rabbit mAb (right). Anti-rabbit IgG (H+L), F(ab')2 Fragment (Alexa Fluor® 488 Conjugate) #4412 was used as a secondary antibody.
Flow Cytometry Image 1: NK1.1/CD161 (E6Y9G) Rabbit Monoclonal Antibody
Orders: 877-616-CELL (2355) [email protected] Support: 877-678-TECH (8324) [email protected] Web: cellsignal.com
For Research Use Only. Not for Use in Diagnostic Procedures.