Revision 3

#70695

Store at -20C

CST Logo
Orders:

877-616-CELL (2355)

[email protected]

Support:

877-678-TECH (8324)

3 Trask Lane | Danvers | Massachusetts | 01923 | USA

For Research Use Only. Not for Use in Diagnostic Procedures.

Applications:
W, IP, IHC-P

Reactivity:
H

Sensitivity:
Endogenous

MW (kDa):
7-25

Source/Isotype:
Rabbit IgG

UniProt ID:
#Q16617

Entrez-Gene Id:
4818

Product Usage Information

Application Dilution
Western Blotting 1:1000
Immunoprecipitation 1:50
Immunohistochemistry (Paraffin) 1:100 - 1:400

Storage

Supplied in 10 mM sodium HEPES (pH 7.5), 150 mM NaCl, 100 µg/mL BSA, 50% glycerol, and less than 0.02% sodium azide. Store at –20°C. Do not aliquot the antibody.

For a carrier free (BSA and azide free) version of this product see product #43571.

Specificity/Sensitivity

NKG7 (F4V5I) Rabbit Monoclonal Antibody recognizes endogenous levels of total NKG7 protein. Non-specific staining was observed in pancreatic islets by immunohistochemistry.

Source / Purification

Monoclonal antibody is produced by immunizing animals with a synthetic peptide corresponding to residues surrounding Gly161 of human NKG7 protein.

Background

Natural killer cell granule protein 7 (NKG7, also known as GMP-17 and GIG-I) is a novel type 1 integral membrane protein expressed at high levels in lymphocytes, including natural killer (NK) cells, γδ T cells, a subset of αβ T cells, lymphokine-activated killer (LAK) cells (1), and activated T regulatory cells (2). NKG7 expression can be induced in neutrophils following GM-CSF treatment (3). NKG7 protein is localized to the membranes of cytotoxic granules. Following target cell-induced NK cell degranulation, NKG7 translocates from granules to the plasma membrane (4). Studies have also shown that NKG7 is significantly upregulated in allograft rejection patients (5-8).

Species Reactivity

Species reactivity is determined by testing in at least one approved application (e.g., western blot).

Western Blot Buffer

IMPORTANT: For western blots, incubate membrane with diluted primary antibody in 5% w/v BSA, 1X TBS, 0.1% Tween® 20 at 4°C with gentle shaking, overnight.

Applications Key

W: Western Blotting IP: Immunoprecipitation IHC-P: Immunohistochemistry (Paraffin)

Cross-Reactivity Key

H: Human

Trademarks and Patents

Cell Signaling Technology is a trademark of Cell Signaling Technology, Inc.

All other trademarks are the property of their respective owners. Visit cellsignal.com/trademarks for more information.

Limited Uses

Except as otherwise expressly agreed in a writing signed by a legally authorized representative of CST, the following terms apply to Products provided by CST, its affiliates or its distributors. Any Customer's terms and conditions that are in addition to, or different from, those contained herein, unless separately accepted in writing by a legally authorized representative of CST, are rejected and are of no force or effect.

Products are labeled with For Research Use Only or a similar labeling statement and have not been approved, cleared, or licensed by the FDA or other regulatory foreign or domestic entity, for any purpose. Customer shall not use any Product for any diagnostic or therapeutic purpose, or otherwise in any manner that conflicts with its labeling statement. Products sold or licensed by CST are provided for Customer as the end-user and solely for research and development uses. Any use of Product for diagnostic, prophylactic or therapeutic purposes, or any purchase of Product for resale (alone or as a component) or other commercial purpose, requires a separate license from CST. Customer shall (a) not sell, license, loan, donate or otherwise transfer or make available any Product to any third party, whether alone or in combination with other materials, or use the Products to manufacture any commercial products, (b) not copy, modify, reverse engineer, decompile, disassemble or otherwise attempt to discover the underlying structure or technology of the Products, or use the Products for the purpose of developing any products or services that would compete with CST products or services, (c) not alter or remove from the Products any trademarks, trade names, logos, patent or copyright notices or markings, (d) use the Products solely in accordance with CST Product Terms of Sale and any applicable documentation, and (e) comply with any license, terms of service or similar agreement with respect to any third party products or services used by Customer in connection with the Products.

Orders: 877-616-CELL (2355) [email protected] Support: 877-678-TECH (8324) [email protected] Web: cellsignal.com
For Research Use Only. Not for Use in Diagnostic Procedures.

Revision 3

Cell Signaling Technology Logo
Western blot analysis of extracts from various human cells using NKG7 (F4V5I) Rabbit mAb (upper) or β-Actin (D6A8) Rabbit mAb #8457 (lower). Negative expression of NKG7 protein in 786-O and HuH-7 cells is consistent with the predicted expression pattern.
Western Blotting Image 1: NKG7 (F4V5I) Rabbit Monoclonal Antibody
Immunoprecipitation of NKG7 protein from U-937 cell extracts. Lane 1 is 10% input, lane 2 is Rabbit (DA1E) mAb IgG XP® Isotype Control #3900, and lane 3 is NKG7 (F4V5I) Rabbit mAb. Western blot analysis was performed using NKG7 (F4V5I) Rabbit mAb. Mouse Anti-rabbit IgG (Conformation Specific) (L27A9) mAb (HRP Conjugate) #5127 was used as a secondary antibody.
Immunoprecipitation Image 1: NKG7 (F4V5I) Rabbit Monoclonal Antibody

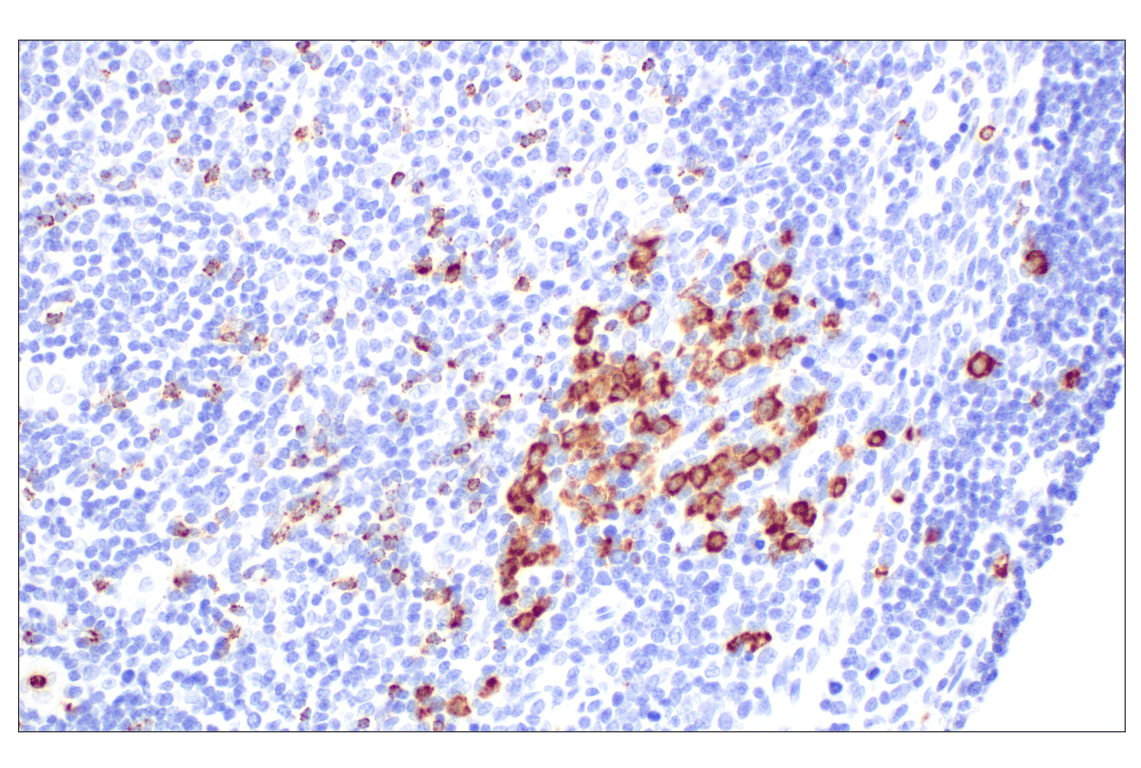
Immunohistochemical analysis of paraffin-embedded human non-Hodgkin lymphoma using NKG7 (F4V5I) Rabbit mAb.

Immunohistochemistry Image 1: NKG7 (F4V5I) Rabbit Monoclonal Antibody
Orders: 877-616-CELL (2355) [email protected] Support: 877-678-TECH (8324) [email protected] Web: cellsignal.com
For Research Use Only. Not for Use in Diagnostic Procedures.

Revision 3

Cell Signaling Technology Logo
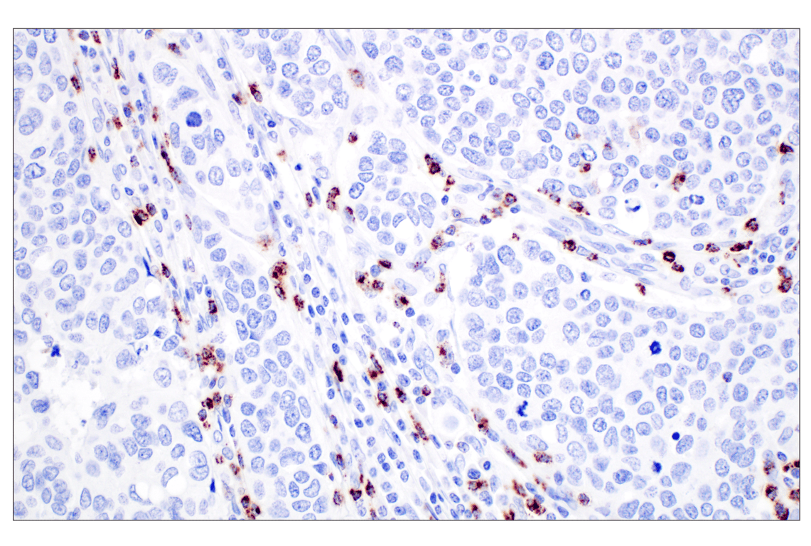
Immunohistochemical analysis of paraffin-embedded human ductal breast carcinoma using NKG7 (F4V5I) Rabbit mAb.
Immunohistochemistry Image 2: NKG7 (F4V5I) Rabbit Monoclonal Antibody

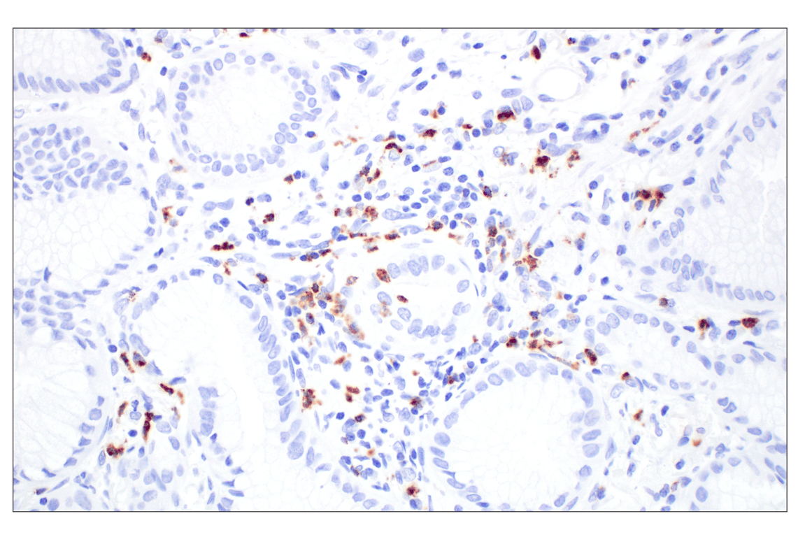
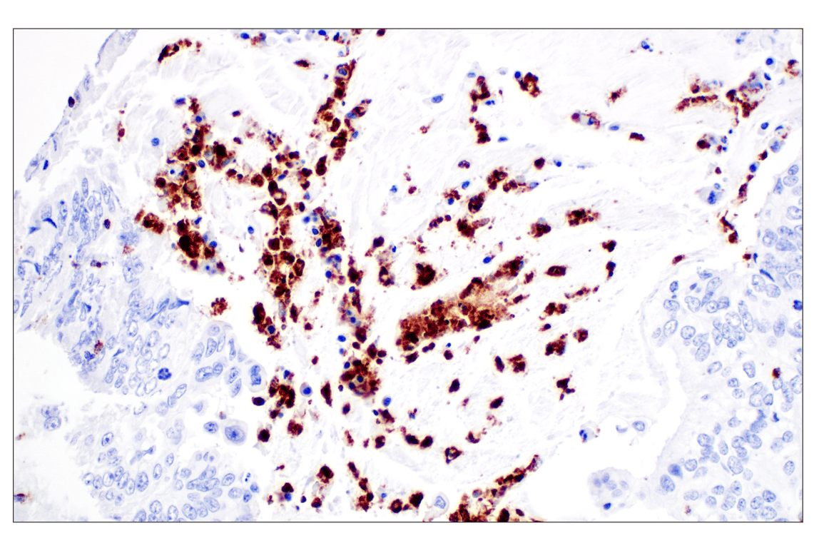
Immunohistochemical analysis of paraffin-embedded human lung adenocarcinoma using NKG7 (F4V5I) Rabbit mAb.

Immunohistochemistry Image 3: NKG7 (F4V5I) Rabbit Monoclonal Antibody

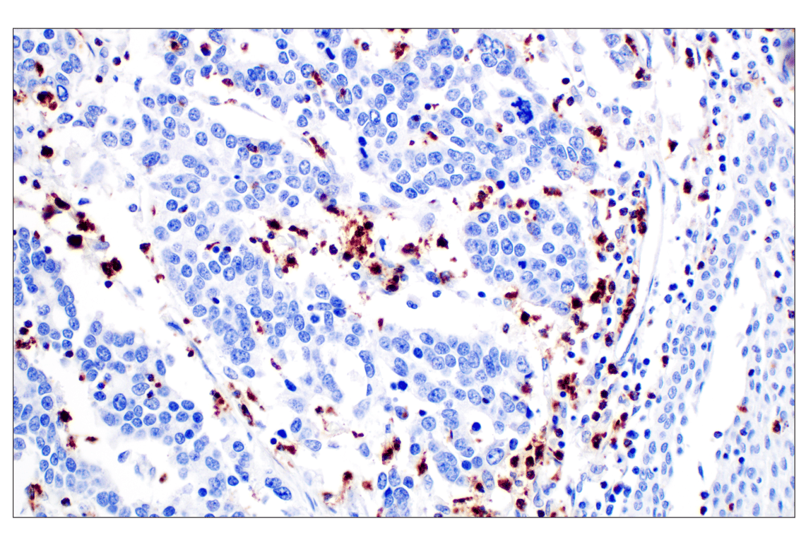
Immunohistochemical analysis of paraffin-embedded human esophageal adenocarcinoma using NKG7 (F4V5I) Rabbit mAb.

Immunohistochemistry Image 4: NKG7 (F4V5I) Rabbit Monoclonal Antibody
Orders: 877-616-CELL (2355) [email protected] Support: 877-678-TECH (8324) [email protected] Web: cellsignal.com
For Research Use Only. Not for Use in Diagnostic Procedures.

Revision 3

Cell Signaling Technology Logo

Immunohistochemical analysis of paraffin-embedded human endometrioid adenocarcinoma using NKG7 (F4V5I) Rabbit mAb.

Immunohistochemistry Image 5: NKG7 (F4V5I) Rabbit Monoclonal Antibody
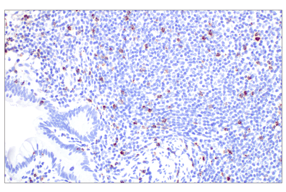
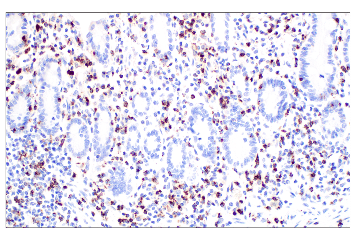
Immunohistochemical analysis of paraffin-embedded normal human small intestine using NKG7 (F4V5I) Rabbit mAb.
Immunohistochemistry Image 6: NKG7 (F4V5I) Rabbit Monoclonal Antibody

Immunohistochemical analysis of paraffin-embedded normal human colon using NKG7 (F4V5I) Rabbit mAb.

Immunohistochemistry Image 7: NKG7 (F4V5I) Rabbit Monoclonal Antibody
Orders: 877-616-CELL (2355) [email protected] Support: 877-678-TECH (8324) [email protected] Web: cellsignal.com
For Research Use Only. Not for Use in Diagnostic Procedures.

Revision 3

Cell Signaling Technology Logo

Immunohistochemical analysis of paraffin-embedded normal human liver using NKG7 (F4V5I) Rabbit mAb.

Immunohistochemistry Image 8: NKG7 (F4V5I) Rabbit Monoclonal Antibody
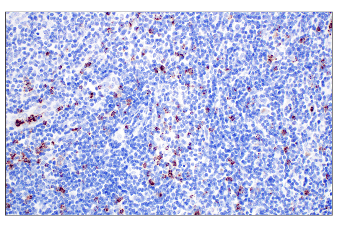
Immunohistochemical analysis of paraffin-embedded normal human thymus using NKG7 (F4V5I) Rabbit mAb.
Immunohistochemistry Image 9: NKG7 (F4V5I) Rabbit Monoclonal Antibody

Immunohistochemical analysis of paraffin-embedded normal human spleen using NKG7 (F4V5I) Rabbit mAb (left) compared to concentration-matched Rabbit (DA1E) mAb IgG XP® Isotype Control #3900 (right).

Immunohistochemistry Image 10: NKG7 (F4V5I) Rabbit Monoclonal Antibody
Orders: 877-616-CELL (2355) [email protected] Support: 877-678-TECH (8324) [email protected] Web: cellsignal.com
For Research Use Only. Not for Use in Diagnostic Procedures.

Revision 3

Cell Signaling Technology Logo
Immunohistochemical analysis of paraffin-embedded SU-DHL-1 cell pellet (left, positive) or 786-O cell pellet (right, negative) using NKG7 (F4V5I) Rabbit mAb.
Immunohistochemistry Image 11: NKG7 (F4V5I) Rabbit Monoclonal Antibody
Orders: 877-616-CELL (2355) [email protected] Support: 877-678-TECH (8324) [email protected] Web: cellsignal.com
For Research Use Only. Not for Use in Diagnostic Procedures.