Revision 1

#3345

Store at -20C

CST Logo
Orders:

877-616-CELL (2355)

[email protected]

Support:

877-678-TECH (8324)

3 Trask Lane | Danvers | Massachusetts | 01923 | USA

For Research Use Only. Not for Use in Diagnostic Procedures.

Applications:
W, IHC-P

Reactivity:
H M R Mk

Sensitivity:
Endogenous

MW (kDa):
18

Source/Isotype:
Rabbit

UniProt ID:
#P15531

Entrez-Gene Id:
4830

Product Usage Information

Application Dilution
Western Blotting 1:1000
Immunohistochemistry (Paraffin) 1:100

Storage

Supplied in 10 mM sodium HEPES (pH 7.5), 150 mM NaCl, 100 µg/ml BSA and 50% glycerol. Store at –20°C. Do not aliquot the antibody.

Specificity/Sensitivity

NME1/NDKA (D98) Antibody detects endogenous levels of total NME1/NDKA protein. This antibody is predicted to cross-react with NME2/NDKB protein.

Source / Purification

Polyclonal antibodies are produced by immunizing animals with a synthetic peptide corresponding to Asp98 of human NME1 protein. Antibodies are purified by protein A and peptide affinity chromatography.

Background

The NDK/NME/NM23 kinase family (encoded by the NME gene family) consists of at least eight distinct proteins that exhibit different cellular localization (1). Members of this group inhibit metastasis in a variety of tumor cell types (2). All NDK/NME/NM23 proteins possess nucleoside diphosphatase kinase (NDK) activity and catalyze the phosphorylation of nucleoside diphosphate to the corresponding nucleoside triphosphate to regulate a diverse array of cellular events (3). At least four classes of NDK biochemical activities have been described, including protein-protein interactions (4-6), regulation of GTP-binding protein function (7-9), DNA-associated activities (10,11), and histidine-dependent protein phosphotransferase activity (12). NDK/NME proteins participate in the regulation of a broad spectrum of cellular responses, including development, differentiation, proliferation, endocytosis, and apoptosis (13). Because of its role in metastasis suppression and oncogenesis, NDKA (NME1/NM23-H1) has been widely studied (14). NDKA (NM23-H1) and NDKB (NM23-H2) are encoded by adjacent NME1 and NME2 genes and share 90% sequence identity. Two serine residues (Ser122 and Ser144) on NDKA/NM23-H1 can be phosphorylated by AMPKα1, but only phosphorylation at Ser122 determines whether NDKA channels ATP to AMPKα1. This regulates AMPKα1 activity towards ACC1, an important regulator of fatty acid metabolism (15). Mutation of NDKB/NM23-H2 at Ser122 (S122P) in melanoma cells results in altered phosphoryl transfer activity (16).

Species Reactivity

Species reactivity is determined by testing in at least one approved application (e.g., western blot).

Western Blot Buffer

IMPORTANT: For western blots, incubate membrane with diluted primary antibody in 5% w/v BSA, 1X TBS, 0.1% Tween® 20 at 4°C with gentle shaking, overnight.

Applications Key

W: Western Blotting IHC-P: Immunohistochemistry (Paraffin)

Cross-Reactivity Key

H: Human M: Mouse R: Rat Mk: Monkey

Trademarks and Patents

Cell Signaling Technology is a trademark of Cell Signaling Technology, Inc.

All other trademarks are the property of their respective owners. Visit cellsignal.com/trademarks for more information.

Limited Uses

Except as otherwise expressly agreed in a writing signed by a legally authorized representative of CST, the following terms apply to Products provided by CST, its affiliates or its distributors. Any Customer's terms and conditions that are in addition to, or different from, those contained herein, unless separately accepted in writing by a legally authorized representative of CST, are rejected and are of no force or effect.

Products are labeled with For Research Use Only or a similar labeling statement and have not been approved, cleared, or licensed by the FDA or other regulatory foreign or domestic entity, for any purpose. Customer shall not use any Product for any diagnostic or therapeutic purpose, or otherwise in any manner that conflicts with its labeling statement. Products sold or licensed by CST are provided for Customer as the end-user and solely for research and development uses. Any use of Product for diagnostic, prophylactic or therapeutic purposes, or any purchase of Product for resale (alone or as a component) or other commercial purpose, requires a separate license from CST. Customer shall (a) not sell, license, loan, donate or otherwise transfer or make available any Product to any third party, whether alone or in combination with other materials, or use the Products to manufacture any commercial products, (b) not copy, modify, reverse engineer, decompile, disassemble or otherwise attempt to discover the underlying structure or technology of the Products, or use the Products for the purpose of developing any products or services that would compete with CST products or services, (c) not alter or remove from the Products any trademarks, trade names, logos, patent or copyright notices or markings, (d) use the Products solely in accordance with CST Product Terms of Sale and any applicable documentation, and (e) comply with any license, terms of service or similar agreement with respect to any third party products or services used by Customer in connection with the Products.

Orders: 877-616-CELL (2355) [email protected] Support: 877-678-TECH (8324) [email protected] Web: cellsignal.com
For Research Use Only. Not for Use in Diagnostic Procedures.

Revision 1

Cell Signaling Technology Logo
Western blot analysis of extracts from various cell lines using NME1/NDKA (D98) Antibody.
Western Blotting Image 1: NME1/NDKA (D98) Antibody
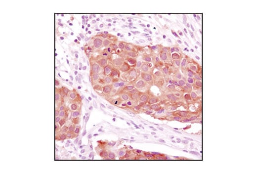
Immunohistochemical analysis of paraffin-embedded human breast carcinoma using NME1/NDKA (D98) Antibody.
Immunohistochemistry Image 1: NME1/NDKA (D98) Antibody
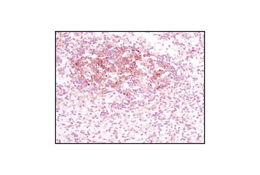
Immunohistochemical analysis of paraffin-embedded human lymphoma using NME1/NDKA (D98) Antibody.
Immunohistochemistry Image 2: NME1/NDKA (D98) Antibody
Orders: 877-616-CELL (2355) [email protected] Support: 877-678-TECH (8324) [email protected] Web: cellsignal.com
For Research Use Only. Not for Use in Diagnostic Procedures.

Revision 1

Cell Signaling Technology Logo
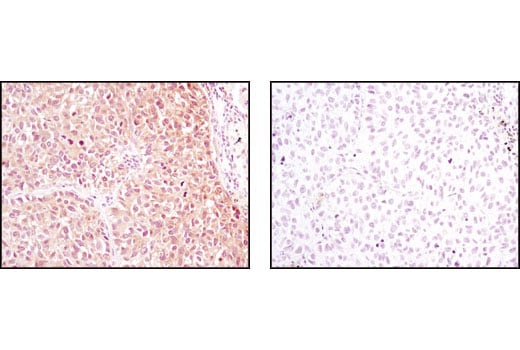
Immunohistochemical analysis of paraffin-embedded human lung carcinoma using NME1/NDKA (D98) Antibody in the presence of control peptide (left) or antigen-specific peptide (right).
Immunohistochemistry Image 3: NME1/NDKA (D98) Antibody
Orders: 877-616-CELL (2355) [email protected] Support: 877-678-TECH (8324) [email protected] Web: cellsignal.com
For Research Use Only. Not for Use in Diagnostic Procedures.