Revision 6

#19807

Store at -20C

CST Logo
Orders:

877-616-CELL (2355)

[email protected]

Support:

877-678-TECH (8324)

3 Trask Lane | Danvers | Massachusetts | 01923 | USA

For Research Use Only. Not for Use in Diagnostic Procedures.

Applications:
W, IP, IHC-P, IF-F, IF-IC, FC-FP

Reactivity:
H M R Mk Z Dg

Sensitivity:
Endogenous

MW (kDa):
92

Source/Isotype:
Rabbit IgG

UniProt ID:
#P35222

Entrez-Gene Id:
1499

Product Usage Information

Application Dilution
Western Blotting 1:1000
Immunoprecipitation 1:50
Immunohistochemistry (Paraffin) 1:500 - 1:2000
Immunofluorescence (Frozen) 1:1600 - 1:6400
Immunofluorescence (Immunocytochemistry) 1:1600 - 1:6400
Flow Cytometry (Fixed/Permeabilized) 1:800 - 1:3200

Storage

Supplied in 10 mM sodium HEPES (pH 7.5), 150 mM NaCl, 100 µg/ml BSA, 50% glycerol and less than 0.02% sodium azide. Store at –20°C. Do not aliquot the antibody.

For a carrier free (BSA and azide free) version of this product see product #24710.

Specificity/Sensitivity

Non-phospho (Active) beta-Catenin (Ser45) (D2U8Y) Rabbit Monoclonal Antibody recognizes endogenous levels of β-catenin protein only when Ser45 is not phosphorylated.

Source / Purification

Monoclonal antibody is produced by immunizing animals with a synthetic peptide corresponding to residues surrounding Ser45 of human β-catenin protein.

Background

β-catenin is a key downstream effector in the Wnt signaling pathway (1). It is implicated in two major biological processes in vertebrates: early embryonic development (2) and tumorigenesis (3). CK1 phosphorylates β-catenin at Ser45. This phosphorylation event primes β-catenin for subsequent phosphorylation by GSK-3β (4-6). GSK-3β destabilizes β-catenin by phosphorylating it at Ser33, Ser37, and Thr41 (7). Mutations at these sites result in the stabilization of β-catenin protein levels and have been found in many tumor cell lines (8).

Non-phospho (Active) β-Catenin (Ser45) (D2U8Y) XP® Rabbit mAb specifically recognizes β-catenin that is non-phosphorylated at Ser45. Non-phospho β-Catenin (Ser45) protein is useful as a readout of stabilized β-catenin protein, and therefore functionally active in cell-cell adhesion and mediating transcriptional activity via the canonical Wnt signaling pathway (9).

Species Reactivity

Species reactivity is determined by testing in at least one approved application (e.g., western blot).

Western Blot Buffer

IMPORTANT: For western blots, incubate membrane with diluted primary antibody in 5% w/v BSA, 1X TBS, 0.1% Tween® 20 at 4°C with gentle shaking, overnight.

Applications Key

W: Western Blotting IP: Immunoprecipitation IHC-P: Immunohistochemistry (Paraffin) IF-F: Immunofluorescence (Frozen) IF-IC: Immunofluorescence (Immunocytochemistry) FC-FP: Flow Cytometry (Fixed/Permeabilized)

Cross-Reactivity Key

H: Human M: Mouse R: Rat Mk: Monkey Z: Zebrafish Dg: Dog

Trademarks and Patents

Cell Signaling Technology is a trademark of Cell Signaling Technology, Inc.

Alexa Fluor is a registered trademark of Life Technologies Corporation.

All other trademarks are the property of their respective owners. Visit cellsignal.com/trademarks for more information.

Limited Uses

Except as otherwise expressly agreed in a writing signed by a legally authorized representative of CST, the following terms apply to Products provided by CST, its affiliates or its distributors. Any Customer's terms and conditions that are in addition to, or different from, those contained herein, unless separately accepted in writing by a legally authorized representative of CST, are rejected and are of no force or effect.

Products are labeled with For Research Use Only or a similar labeling statement and have not been approved, cleared, or licensed by the FDA or other regulatory foreign or domestic entity, for any purpose. Customer shall not use any Product for any diagnostic or therapeutic purpose, or otherwise in any manner that conflicts with its labeling statement. Products sold or licensed by CST are provided for Customer as the end-user and solely for research and development uses. Any use of Product for diagnostic, prophylactic or therapeutic purposes, or any purchase of Product for resale (alone or as a component) or other commercial purpose, requires a separate license from CST. Customer shall (a) not sell, license, loan, donate or otherwise transfer or make available any Product to any third party, whether alone or in combination with other materials, or use the Products to manufacture any commercial products, (b) not copy, modify, reverse engineer, decompile, disassemble or otherwise attempt to discover the underlying structure or technology of the Products, or use the Products for the purpose of developing any products or services that would compete with CST products or services, (c) not alter or remove from the Products any trademarks, trade names, logos, patent or copyright notices or markings, (d) use the Products solely in accordance with CST Product Terms of Sale and any applicable documentation, and (e) comply with any license, terms of service or similar agreement with respect to any third party products or services used by Customer in connection with the Products.

Orders: 877-616-CELL (2355) [email protected] Support: 877-678-TECH (8324) [email protected] Web: cellsignal.com
For Research Use Only. Not for Use in Diagnostic Procedures.

Revision 6

Cell Signaling Technology Logo
Western blot analysis of extracts from various cell lines using Non-phospho (Active) β-Catenin (Ser45) (D2U8Y) XP® Rabbit mAb (upper) and β-Actin (D6A8) Rabbit mAb #8457 (lower).
Western Blotting Image 1: Non-phospho (Active) beta-Catenin (Ser45) (D2U8Y) Rabbit Monoclonal Antibody
Immunoprecipitation of non-phospho β-catenin (Ser45) protein from COLO 205 cell extracts. Lane 1 is 10% input, lane 2 is Rabbit (DA1E) mAb IgG XP® Isotype Control #3900, and lane 3 is Non-phospho (Active) β-Catenin (Ser45) (D2U8Y) XP® Rabbit mAb. Western blot analysis was performed using Non-phospho (Active) β-Catenin (Ser45) (D2U8Y) XP® Rabbit mAb.
Immunoprecipitation Image 1: Non-phospho (Active) beta-Catenin (Ser45) (D2U8Y) Rabbit Monoclonal Antibody
Immunohistochemical analysis of paraffin-embedded Apc (Min/+) mouse intestinal adenoma using Non-phospho (Active) β-Catenin (Ser45) (D2U8Y) XP® Rabbit mAb.
Immunohistochemistry Image 1: Non-phospho (Active) beta-Catenin (Ser45) (D2U8Y) Rabbit Monoclonal Antibody
Orders: 877-616-CELL (2355) [email protected] Support: 877-678-TECH (8324) [email protected] Web: cellsignal.com
For Research Use Only. Not for Use in Diagnostic Procedures.

Revision 6

Cell Signaling Technology Logo
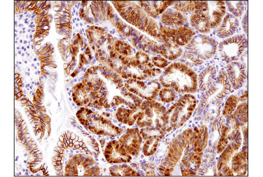
Immunohistochemical analysis of paraffin-embedded human colon carcinoma using Non-phospho (Active) β-Catenin (Ser45) (D2U8Y) XP® Rabbit mAb.
Immunohistochemistry Image 2: Non-phospho (Active) beta-Catenin (Ser45) (D2U8Y) Rabbit Monoclonal Antibody
Immunohistochemical analysis of paraffin-embedded HeLa (left) or NCI-H28 (right) cell pellets using Non-phospho (Active) β-Catenin (Ser45) (D2U8Y) XP® Rabbit mAb.
Immunohistochemistry Image 3: Non-phospho (Active) beta-Catenin (Ser45) (D2U8Y) Rabbit Monoclonal Antibody
Immunohistochemical analysis of paraffin-embedded human ovarian carcinoma using Non-phospho (Active) β-Catenin (Ser45) (D2U8Y) XP® Rabbit mAb in the presence of phospho-β-Catenin (Ser45) peptide (left) or non-phospho-β-Catenin (Ser45) peptide (right).
Immunohistochemistry Image 4: Non-phospho (Active) beta-Catenin (Ser45) (D2U8Y) Rabbit Monoclonal Antibody
Orders: 877-616-CELL (2355) [email protected] Support: 877-678-TECH (8324) [email protected] Web: cellsignal.com
For Research Use Only. Not for Use in Diagnostic Procedures.

Revision 6

Cell Signaling Technology Logo
Confocal immunofluorescent analysis of mouse colon using Non-phospho (Active) β-Catenin (Ser45) (D2U8Y) XP® Rabbit mAb (green). Actin filaments were labeled with DyLight™ 554 phalloidin #13054 (red). Blue pseudocolor = DRAQ5® #4084 (fluorescent DNA dye).
Immunofluorescence Image 1: Non-phospho (Active) beta-Catenin (Ser45) (D2U8Y) Rabbit Monoclonal Antibody
Confocal immunofluorescent analysis of SW480 (left and lower right; positive) or NCI-H28 (upper right; negative) cells using Non-phospho (Active) β-Catenin (Ser45) (D2U8Y) XP® Rabbit mAb (green) in the presence of phospho-β-Catenin (Ser45) peptide (lower left) or non-phospho β-Catenin peptide (lower right). Actin filaments were labeled with DyLight™ 554 Phalloidin #13054 (red). Blue pseudocolor = DRAQ5® #4084 (fluorescent DNA dye).
Immunofluorescence Image 1: Non-phospho (Active) beta-Catenin (Ser45) (D2U8Y) Rabbit Monoclonal Antibody
Flow cytometric analysis of NCI-H28 cells (blue, negative) and SW480 cells (green, positive) using Non-phospho (Active) β-Catenin (Ser45) (D2U8Y) XP® Rabbit mAb (solid lines) or concentration-matched Rabbit (DA1E) mAb IgG XP® Isotype Control #3900 (dashed lines). Anti-rabbit IgG (H+L), F(ab')2 Fragment (Alexa Fluor® 488 Conjugate) #4412 was used as a secondary antibody.
Flow Cytometry Image 1: Non-phospho (Active) beta-Catenin (Ser45) (D2U8Y) Rabbit Monoclonal Antibody
Orders: 877-616-CELL (2355) [email protected] Support: 877-678-TECH (8324) [email protected] Web: cellsignal.com
For Research Use Only. Not for Use in Diagnostic Procedures.