Revision 8

#8814

Store at -20C

CST Logo
Orders:

877-616-CELL (2355)

[email protected]

Support:

877-678-TECH (8324)

3 Trask Lane | Danvers | Massachusetts | 01923 | USA

For Research Use Only. Not for Use in Diagnostic Procedures.

Applications:
W, IP, IHC-P, IF-IC, FC-FP, ChIP, ChIP-seq, C&R

Reactivity:
H M R Mk

Sensitivity:
Endogenous

MW (kDa):
92

Source/Isotype:
Rabbit IgG

UniProt ID:
#P35222

Entrez-Gene Id:
1499

Product Usage Information

For optimal ChIP and ChIP-seq results, use 5 μl of antibody and 10 μg of chromatin (approximately 4 x 106 cells) per IP. This antibody has been validated using SimpleChIP® Enzymatic Chromatin IP Kits.

The CUT&RUN dilution was determined using CUT&RUN Assay Kit #86652.
Application Dilution
Western Blotting 1:1000
Immunoprecipitation 1:100
Immunohistochemistry (Paraffin) 1:400 - 1:1600
Immunofluorescence (Immunocytochemistry) 1:800 - 1:3200
Flow Cytometry (Fixed/Permeabilized) 1:800 - 1:3200
Chromatin IP 1:100
Chromatin IP-seq 1:100
CUT&RUN 1:100

Storage

Supplied in 10 mM sodium HEPES (pH 7.5), 150 mM NaCl, 100 µg/ml BSA, 50% glycerol and less than 0.02% sodium azide. Store at –20°C. Do not aliquot the antibody.

For a carrier free (BSA and azide free) version of this product see product #33893.

Specificity/Sensitivity

Non-phospho (Active) beta-Catenin (Ser33/37/Thr41) (D13A1) Rabbit Monoclonal Antibody recognizes endogenous β-catenin protein when residues Ser33, Ser37, and Thr41 are not phosphorylated. This antibody does not detect β-catenin protein if tri-phosphorylated at Ser33/Ser37/Thr41. This antibody may also detect β-catenin protein when singly phosphorylated at Ser33. This specificity data was derived from competition ELISA and dot blot analysis using synthetic peptides.

Species predicted to react based on 100% sequence homology

Chicken, Xenopus, Zebrafish, Bovine, Dog, Pig, Horse, Guinea Pig

Source / Purification

Monoclonal antibody is produced by immunizing animals with a synthetic peptide corresponding to residues surrounding Ser37 of human β-catenin protein.

Background

β-catenin is a key downstream effector in the Wnt signaling pathway (1). It is implicated in two major biological processes in vertebrates: early embryonic development (2) and tumorigenesis (3). CK1 phosphorylates β-catenin at Ser45. This phosphorylation event primes β-catenin for subsequent phosphorylation by GSK-3β (4-6). GSK-3β destabilizes β-catenin by phosphorylating it at Ser33, Ser37, and Thr41 (7). Mutations at these sites result in the stabilization of β-catenin protein levels and have been found in many tumor cell lines (8).

Non-phospho (Active) β-Catenin (Ser33/37/Thr41) (D13A1) Rabbit mAb is designed to specifically recognize the stabilized form of β-catenin, i.e., protein that has not been phosphorylated by GSK-3, and thus is functionally active in cell-cell adhesion and/or the canonical Wnt signaling pathway.

Species Reactivity

Species reactivity is determined by testing in at least one approved application (e.g., western blot).

Western Blot Buffer

IMPORTANT: For western blots, incubate membrane with diluted primary antibody in 5% w/v BSA, 1X TBS, 0.1% Tween® 20 at 4°C with gentle shaking, overnight.

Applications Key

W: Western Blotting IP: Immunoprecipitation IHC-P: Immunohistochemistry (Paraffin) IF-IC: Immunofluorescence (Immunocytochemistry) FC-FP: Flow Cytometry (Fixed/Permeabilized) ChIP: Chromatin IP ChIP-seq: Chromatin IP-seq C&R: CUT&RUN

Cross-Reactivity Key

H: Human M: Mouse R: Rat Mk: Monkey

Trademarks and Patents

Cell Signaling Technology is a trademark of Cell Signaling Technology, Inc.

SignalStain is a registered trademark of Cell Signaling Technology, Inc.

SimpleChIP is a registered trademark of Cell Signaling Technology, Inc.

All other trademarks are the property of their respective owners. Visit cellsignal.com/trademarks for more information.

Limited Uses

Except as otherwise expressly agreed in a writing signed by a legally authorized representative of CST, the following terms apply to Products provided by CST, its affiliates or its distributors. Any Customer's terms and conditions that are in addition to, or different from, those contained herein, unless separately accepted in writing by a legally authorized representative of CST, are rejected and are of no force or effect.

Products are labeled with For Research Use Only or a similar labeling statement and have not been approved, cleared, or licensed by the FDA or other regulatory foreign or domestic entity, for any purpose. Customer shall not use any Product for any diagnostic or therapeutic purpose, or otherwise in any manner that conflicts with its labeling statement. Products sold or licensed by CST are provided for Customer as the end-user and solely for research and development uses. Any use of Product for diagnostic, prophylactic or therapeutic purposes, or any purchase of Product for resale (alone or as a component) or other commercial purpose, requires a separate license from CST. Customer shall (a) not sell, license, loan, donate or otherwise transfer or make available any Product to any third party, whether alone or in combination with other materials, or use the Products to manufacture any commercial products, (b) not copy, modify, reverse engineer, decompile, disassemble or otherwise attempt to discover the underlying structure or technology of the Products, or use the Products for the purpose of developing any products or services that would compete with CST products or services, (c) not alter or remove from the Products any trademarks, trade names, logos, patent or copyright notices or markings, (d) use the Products solely in accordance with CST Product Terms of Sale and any applicable documentation, and (e) comply with any license, terms of service or similar agreement with respect to any third party products or services used by Customer in connection with the Products.

Orders: 877-616-CELL (2355) [email protected] Support: 877-678-TECH (8324) [email protected] Web: cellsignal.com
For Research Use Only. Not for Use in Diagnostic Procedures.

Revision 8

Cell Signaling Technology Logo
Western blot analysis of extracts from control HeLa cells (lane 1) or β-Catenin knockout HeLa cells (lane 2) using Non-phospho (Active) β-Catenin (Ser33/37/Thr41) (D13A1) Rabbit mAb (upper) or GAPDH (D16H11) XP® Rabbit mAb #5174 (lower). The absence of signal in the β-Catenin knockout HeLa cells confirms the specificity of the antibody for β-Catenin.
Western Blotting Image 1: Non-phospho (Active) beta-Catenin (Ser33/37/Thr41) (D13A1) Rabbit Monoclonal Antibody
Western blot analysis of extracts from 293T cells, untreated (-) or treated (+) with LiCl (20 mM, 20 hr at 37ºC), using Non-phospho (Active) β-Catenin (Ser33/37/Thr41) (D13A1) Rabbit mAb (left) and β-Catenin Antibody #9562 (right). Equal protein loading was confirmed using β-Tubulin (9F3) Rabbit mAb #2128.
Western Blotting Image 2: Non-phospho (Active) beta-Catenin (Ser33/37/Thr41) (D13A1) Rabbit Monoclonal Antibody
Western blot analysis of extracts from 293T cells, untreated (-) or treated (+) with MG132 (10 μM, 4 hr at 37ºC), using Non-phospho (Active) β-Catenin (Ser33/37/Thr41) (D13A1) Rabbit mAb (left), Phospho-β-Catenin (Ser33/37/Thr41) Antibody #9561 (center), or β-Catenin (6B3) Rabbit mAb #9582 (right). Note that Non-phospho (Active) β-Catenin (Ser33/37/Thr41) (D13A1) Rabbit mAb fails to detect poly-ubiquitinated β-catenin in MG132-treated cells, indicating its specificity for stabilized protein.
Western Blotting Image 3: Non-phospho (Active) beta-Catenin (Ser33/37/Thr41) (D13A1) Rabbit Monoclonal Antibody
Orders: 877-616-CELL (2355) [email protected] Support: 877-678-TECH (8324) [email protected] Web: cellsignal.com
For Research Use Only. Not for Use in Diagnostic Procedures.

Revision 8

Cell Signaling Technology Logo
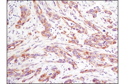
Immunohistochemical analysis of paraffin embedded human breast carcinoma using Non-phospho (Active) β-Catenin (Ser33/37/Thr41) (D13A1) Rabbit mAb.
Immunohistochemistry Image 1: Non-phospho (Active) beta-Catenin (Ser33/37/Thr41) (D13A1) Rabbit Monoclonal Antibody
Immunohistochemical analysis of paraffin-embedded Apc (Min/+) mouse intestinal adenoma (left) and adjacent normal intestinal epithelium (right) using Non-phospho (Active) beta-Catenin (Ser33/37/Thr41) (D13A1) Rabbit mAb. Note the nuclear accumulation of active beta-Catenin in the adenoma cells.
Immunohistochemistry Image 2: Non-phospho (Active) beta-Catenin (Ser33/37/Thr41) (D13A1) Rabbit Monoclonal Antibody
Immunohistochemical analysis of paraffin embedded cell pellets, HeLa (left) or NCI-H28 (right), using Non-phospho (Active) β-Catenin (Ser33/37/Thr41) (D13A1) Rabbit mAb.
Immunohistochemistry Image 3: Non-phospho (Active) beta-Catenin (Ser33/37/Thr41) (D13A1) Rabbit Monoclonal Antibody
Orders: 877-616-CELL (2355) [email protected] Support: 877-678-TECH (8324) [email protected] Web: cellsignal.com
For Research Use Only. Not for Use in Diagnostic Procedures.

Revision 8

Cell Signaling Technology Logo
Immunohistochemical analysis of paraffin embedded mouse colon using Non-phospho (Active) β-Catenin (Ser33/37/Thr41) (D13A1) Rabbit mAb in the presence of phospho-β-catenin (Ser33/37/Thr41) peptide (left) or non-phospho-β-catenin (Ser33/37/Thr41) peptide (right). Note the absence of staining only in the presence of the non-phospho-β-catenin (Ser33/37/Thr41) peptide, demonstrating non-phospho specificity.
Immunohistochemistry Image 4: Non-phospho (Active) beta-Catenin (Ser33/37/Thr41) (D13A1) Rabbit Monoclonal Antibody
Confocal immunofluorescent analysis of HCT-15 (left, center; positive) or NCI-H28 (right; negative) cells using Non-phospho (Active) β-Catenin (Ser33/37/Thr41) (D13A1) Rabbit mAb (green) in the presence of Phospho-Catenin-β (Ser33/Ser37/Thr41) peptide (left) or Non-phospho-Catenin-β (Ser33/Ser37/Thr41) peptide (center). Red = Propidium Iodide (PI)/RNase Staining Solution #4087.
Immunofluorescence Image 1: Non-phospho (Active) beta-Catenin (Ser33/37/Thr41) (D13A1) Rabbit Monoclonal Antibody
Flow cytometric analysis of K562 cells, untreated (blue) or treated with MG-132 #2194 (10 µM, 4 hr; green) using Non-phospho (Active) B-Catenin (Ser33/37/Thr41) (D13A1) Rabbit mAb (solid lines) or concentration-matched Rabbit (DA1E mAb IgG XP Isotype Control #3900 (dashed lines). Anti-rabbit IgG (H+L), F(ab')2 Fragment (Alexa Fluor 488 Conjugate) #4412 was used as a secondary antibody.
Flow Cytometry Image 1: Non-phospho (Active) beta-Catenin (Ser33/37/Thr41) (D13A1) Rabbit Monoclonal Antibody
Orders: 877-616-CELL (2355) [email protected] Support: 877-678-TECH (8324) [email protected] Web: cellsignal.com
For Research Use Only. Not for Use in Diagnostic Procedures.

Revision 8

Cell Signaling Technology Logo
Chromatin immunoprecipitations were performed with cross-linked chromatin from HCT116 cells and either TCF4 (C48H11) Rabbit mAb #2569 or Non-phospho (Active) β-Catenin (Ser33/37/Thr41) (D13A1) Rabbit mAb, using SimpleChIP® Enzymatic Chromatin IP Kit (Magnetic Beads) #9003. DNA Libraries were prepared using DNA Library Prep Kit for Illumina® (ChIP-seq, CUT&RUN) #56795. TCF4 and β-Catenin are known to associate with each other on chromatin. The figure shows binding of both TCF4 and β-Catenin across CAMK2D, a known target gene of both TCF4 and β-Catenin (see additional figure containing ChIP-qPCR data). For additional ChIP-seq tracks, please download the product datasheet.
Chromatin Immunoprecipitation Image 1: Non-phospho (Active) beta-Catenin (Ser33/37/Thr41) (D13A1) Rabbit Monoclonal Antibody
Chromatin immunoprecipitations were performed with cross-linked chromatin from HCT116 cells and either TCF4 (C48H11) Rabbit mAb #2569 or Non-phospho (Active) β-Catenin (Ser33/37/Thr41) (D13A1) Rabbit mAb, using SimpleChIP® Enzymatic Chromatin IP Kit (Magnetic Beads) #9003. DNA Libraries were prepared using DNA Library Prep Kit for Illumina® (ChIP-seq, CUT&RUN) #56795. TCF4 and β-Catenin are known to associate with each other on chromatin. The figure shows binding of both TCF4 and β-Catenin across chromosome 4 (upper), including CAMK2D (lower), a known target gene of both TCF4 and β-Catenin (see additional figure containing ChIP-qPCR data).
Chromatin Immunoprecipitation Image 2: Non-phospho (Active) beta-Catenin (Ser33/37/Thr41) (D13A1) Rabbit Monoclonal Antibody
Chromatin immunoprecipitations were performed with cross-linked chromatin from HCT 116 cells and either Non-phospho (Active) β-Catenin (Ser33/37/Thr41) (D13A1) Rabbit mAb or Normal Rabbit IgG #2729 using SimpleChIP® Enzymatic Chromatin IP Kit (Magnetic Beads) #9003. The enriched DNA was quantified by real-time PCR using SimpleChIP® Human Axin2 Intron 1 Primers #8973, SimpleChIP® Human CaMK2D Intron 3 Primers #5111, human c-Myc promoter primers, and SimpleChIP® Human α Satellite Repeat Primers #4486. The amount of immunoprecipitated DNA in each sample is represented as signal relative to the total amount of input chromatin, which is equivalent to one.
Chromatin Immunoprecipitation Image 3: Non-phospho (Active) beta-Catenin (Ser33/37/Thr41) (D13A1) Rabbit Monoclonal Antibody
Orders: 877-616-CELL (2355) [email protected] Support: 877-678-TECH (8324) [email protected] Web: cellsignal.com
For Research Use Only. Not for Use in Diagnostic Procedures.

Revision 8

Cell Signaling Technology Logo
CUT&RUN was performed with HCT 116 cells and Non-phospho (Active) β-Catenin (Ser33/37/Thr41) (D13A1) Rabbit mAb, using CUT&RUN Assay Kit #86652. DNA library was prepared using DNA Library Prep Kit for Illumina® (ChIP-seq, CUT&RUN) #56795. The figure shows binding across Axin2, a known target gene of β-Catenin (see additional figure containing CUT&RUN-qPCR data).
CUT & RUN Image 1: Non-phospho (Active) beta-Catenin (Ser33/37/Thr41) (D13A1) Rabbit Monoclonal Antibody
CUT&RUN was performed with HCT 116 cells and Non-phospho (Active) β-Catenin (Ser33/37/Thr41) (D13A1) Rabbit mAb, using CUT&RUN Assay Kit #86652. DNA library was prepared using DNA Library Prep Kit for Illumina® (ChIP-seq, CUT&RUN) #56795. The figures show binding across chromosome 17 (upper), including Axin2 (lower), a known target gene of β-Catenin (see additional figure containing CUT&RUN-qPCR data).
CUT & RUN Image 2: Non-phospho (Active) beta-Catenin (Ser33/37/Thr41) (D13A1) Rabbit Monoclonal Antibody
CUT&RUN was performed with HCT 116 cells and either Non-phospho (Active) β-Catenin (Ser33/37/Thr41) (D13A1) Rabbit mAb or Rabbit (DA1E) mAb IgG XP® Isotype Control (CUT&RUN) #66362, using CUT&RUN Assay Kit #86652. The enriched DNA was quantified by real-time PCR using SimpleChIP® Human Axin2 Intron 1 Primers #8973, human c-Myc promoter primers, SimpleChIP® Human α Satellite Repeat Primers #4486. The amount of immunoprecipitated DNA in each sample is represented as signal relative to the total amount of input chromatin, which is equivalent to one.
CUT & RUN Image 3: Non-phospho (Active) beta-Catenin (Ser33/37/Thr41) (D13A1) Rabbit Monoclonal Antibody
Orders: 877-616-CELL (2355) [email protected] Support: 877-678-TECH (8324) [email protected] Web: cellsignal.com
For Research Use Only. Not for Use in Diagnostic Procedures.