Revision 7

#5732

Store at -20C

CST Logo
Orders:

877-616-CELL (2355)

[email protected]

Support:

877-678-TECH (8324)

3 Trask Lane | Danvers | Massachusetts | 01923 | USA

For Research Use Only. Not for Use in Diagnostic Procedures.

Applications:
W, IP, IHC-Bond, IHC-P, IF-IC, FC-FP

Reactivity:
H M R

Sensitivity:
Endogenous

MW (kDa):
110, 300

Source/Isotype:
Rabbit

UniProt ID:
#Q04721

Entrez-Gene Id:
4853

Product Usage Information

Application Dilution
Western Blotting 1:1000
Immunoprecipitation 1:200
IHC Leica Bond 1:125 - 1:500
Immunohistochemistry (Paraffin) 1:250 - 1:1000
Immunofluorescence (Immunocytochemistry) 1:400 - 1:1600
Flow Cytometry (Fixed/Permeabilized) 1:800 - 1:3200

Storage

Supplied in 10 mM sodium HEPES (pH 7.5), 150 mM NaCl, 100 µg/ml BSA, 50% glycerol and less than 0.02% sodium azide. Store at –20°C. Do not aliquot the antibody.

For a carrier free (BSA and azide free) version of this product see product #17635.

Specificity/Sensitivity

Notch2 (D76A6) Rabbit Monoclonal Antibody recognizes endogenous levels of total Notch2 protein. Species cross-reactivity for IHC-P is human only.

Source / Purification

Monoclonal antibody is produced by immunizing animals with a synthetic peptide corresponding to residues surrounding Ala2378 of human Notch2 protein.

Background

Notch proteins (Notch1-4) are a family of transmembrane receptors that play important roles in development and the determination of cell fate (1). Mature Notch receptors are processed and assembled as heterodimeric proteins, with each dimer composed of a large extracellular ligand-binding domain, a single-pass transmembrane domain, and a smaller cytoplasmic subunit (Notch intracellular domain, NICD) (2). Binding of Notch receptors to ligands of the Delta-Serrate-Lag2 (DSL) family triggers heterodimer dissociation, exposing the receptors to proteolytic cleavages; these result in release of the NICD, which translocates to the nucleus and activates transcription of downstream target genes (3,4).

Notch2 is a member of the Notch family and mutation in Notch2 is associated with Alagille syndrome (5).

Species Reactivity

Species reactivity is determined by testing in at least one approved application (e.g., western blot).

Western Blot Buffer

IMPORTANT: For western blots, incubate membrane with diluted primary antibody in 5% w/v BSA, 1X TBS, 0.1% Tween® 20 at 4°C with gentle shaking, overnight.

Applications Key

W: Western Blotting IP: Immunoprecipitation IHC-Bond: IHC Leica Bond IHC-P: Immunohistochemistry (Paraffin) IF-IC: Immunofluorescence (Immunocytochemistry) FC-FP: Flow Cytometry (Fixed/Permeabilized)

Cross-Reactivity Key

H: Human M: Mouse R: Rat

Trademarks and Patents

Cell Signaling Technology is a trademark of Cell Signaling Technology, Inc.

SignalStain is a registered trademark of Cell Signaling Technology, Inc.

All other trademarks are the property of their respective owners. Visit cellsignal.com/trademarks for more information.

Limited Uses

Except as otherwise expressly agreed in a writing signed by a legally authorized representative of CST, the following terms apply to Products provided by CST, its affiliates or its distributors. Any Customer's terms and conditions that are in addition to, or different from, those contained herein, unless separately accepted in writing by a legally authorized representative of CST, are rejected and are of no force or effect.

Products are labeled with For Research Use Only or a similar labeling statement and have not been approved, cleared, or licensed by the FDA or other regulatory foreign or domestic entity, for any purpose. Customer shall not use any Product for any diagnostic or therapeutic purpose, or otherwise in any manner that conflicts with its labeling statement. Products sold or licensed by CST are provided for Customer as the end-user and solely for research and development uses. Any use of Product for diagnostic, prophylactic or therapeutic purposes, or any purchase of Product for resale (alone or as a component) or other commercial purpose, requires a separate license from CST. Customer shall (a) not sell, license, loan, donate or otherwise transfer or make available any Product to any third party, whether alone or in combination with other materials, or use the Products to manufacture any commercial products, (b) not copy, modify, reverse engineer, decompile, disassemble or otherwise attempt to discover the underlying structure or technology of the Products, or use the Products for the purpose of developing any products or services that would compete with CST products or services, (c) not alter or remove from the Products any trademarks, trade names, logos, patent or copyright notices or markings, (d) use the Products solely in accordance with CST Product Terms of Sale and any applicable documentation, and (e) comply with any license, terms of service or similar agreement with respect to any third party products or services used by Customer in connection with the Products.

Orders: 877-616-CELL (2355) [email protected] Support: 877-678-TECH (8324) [email protected] Web: cellsignal.com
For Research Use Only. Not for Use in Diagnostic Procedures.

Revision 7

Cell Signaling Technology Logo
Western blot analysis of extracts from 293 and SK-MEL-5 cells using Notch2 (D76A6) XP® Rabbit mAb. The full-length (FL) Notch2 protein and the transmembrane/intracellular region (NTM) are indicated.
Western Blotting Image 1: Notch2 (D76A6) Rabbit Monoclonal Antibody
Immunohistochemical analysis of paraffin-embedded human non-Hodgkin lymphoma using Notch2 (D76A6) XP® Rabbit mAb performed on the Leica BOND RX.

Immunohistochemistry Image 1: Notch2 (D76A6) Rabbit Monoclonal Antibody
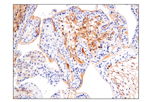
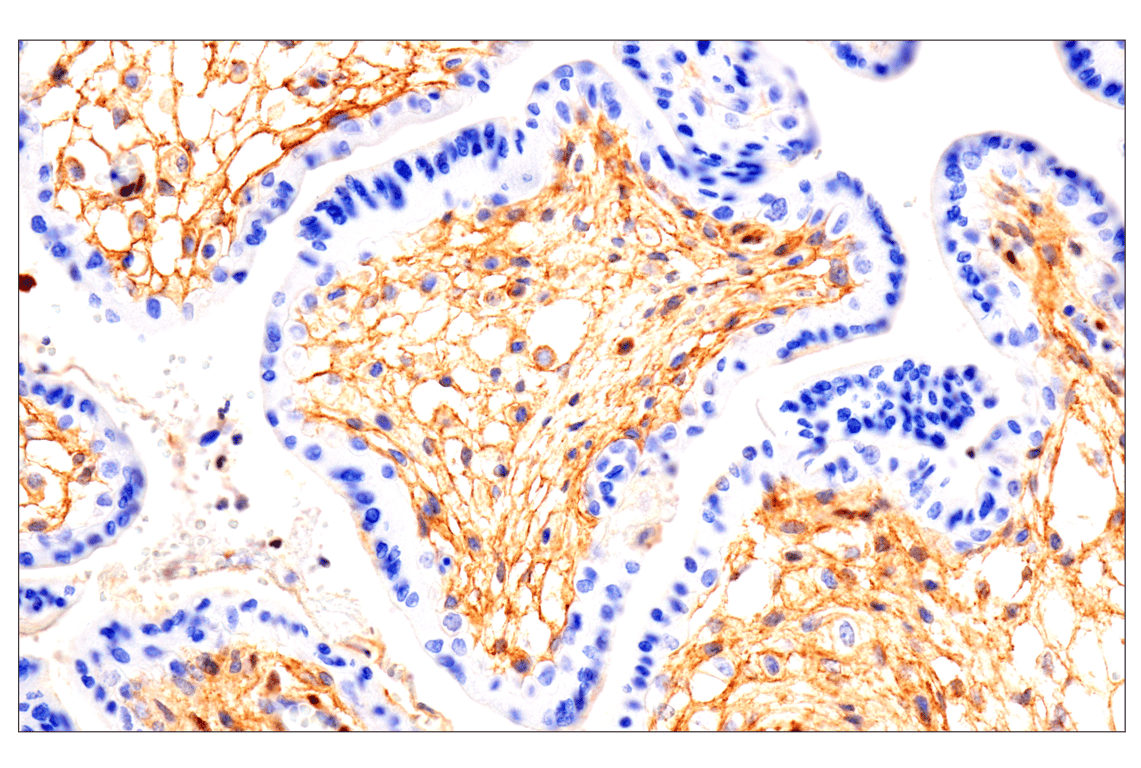
Immunohistochemical analysis of paraffin-embedded normal human placenta using Notch2 (D76A6) XP® Rabbit mAb performed on the Leica BOND RX.
Immunohistochemistry Image 2: Notch2 (D76A6) Rabbit Monoclonal Antibody
Orders: 877-616-CELL (2355) [email protected] Support: 877-678-TECH (8324) [email protected] Web: cellsignal.com
For Research Use Only. Not for Use in Diagnostic Procedures.

Revision 7

Cell Signaling Technology Logo
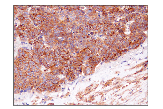
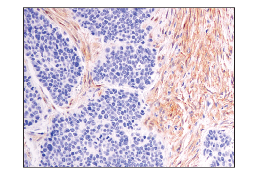
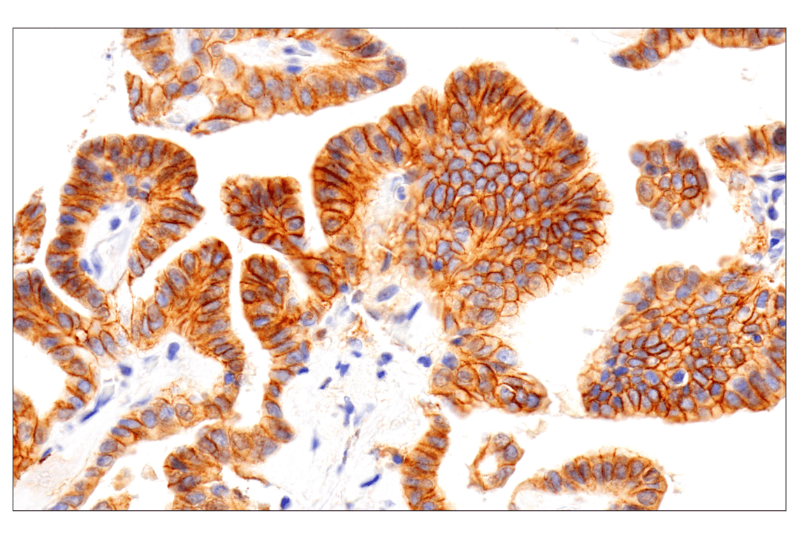
Immunohistochemical analysis of paraffin-embedded human serous papillary carcinoma of the ovary using Notch2 (D76A6) XP® Rabbit mAb performed on the Leica BOND RX.
Immunohistochemistry Image 3: Notch2 (D76A6) Rabbit Monoclonal Antibody
Immunohistochemical analysis of paraffin-embedded human papillary thyroid carcinoma using Notch2 (D76A6) XP® Rabbit mAb performed on the Leica BOND RX.
Immunohistochemistry Image 4: Notch2 (D76A6) Rabbit Monoclonal Antibody
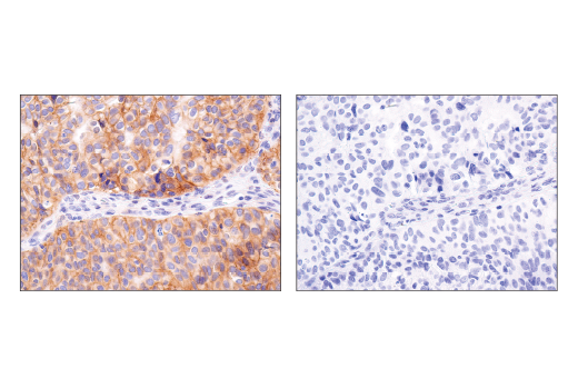
Immunohistochemical analysis of paraffin-embedded human serous papillary carcinoma of the ovary using Notch2 (D76A6) XP® Rabbit mAb (left) compared to concentration-matched Rabbit (DA1E) mAb IgG XP® Isotype Control #3900 (right).
Immunohistochemistry Image 1: Notch2 (D76A6) Rabbit Monoclonal Antibody
Orders: 877-616-CELL (2355) [email protected] Support: 877-678-TECH (8324) [email protected] Web: cellsignal.com
For Research Use Only. Not for Use in Diagnostic Procedures.

Revision 7

Cell Signaling Technology Logo
Immunohistochemical analysis of paraffin-embedded human ovarian serous carcinoma using Notch2 (D76A6) XP® Rabbit mAb.
Immunohistochemistry Image 2: Notch2 (D76A6) Rabbit Monoclonal Antibody
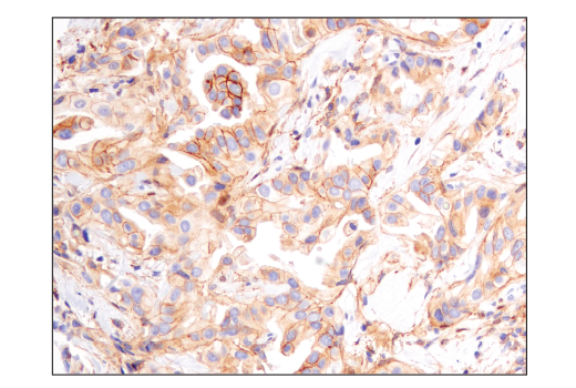
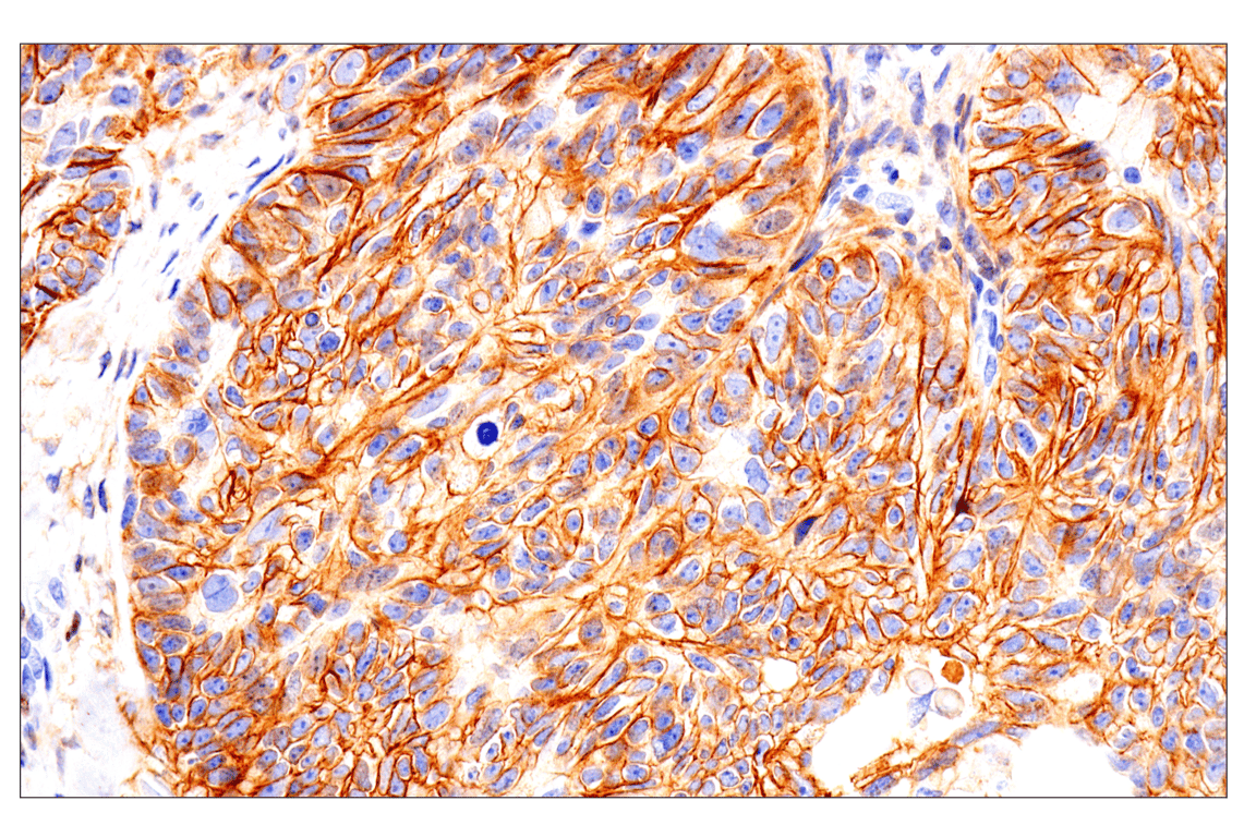
Immunohistochemical analysis of paraffin-embedded human ductal breast carcinoma using Notch2 (D76A6) XP® Rabbit mAb.
Immunohistochemistry Image 3: Notch2 (D76A6) Rabbit Monoclonal Antibody
Immunohistochemical analysis of paraffin-embedded 293T cell pellet (left, positive) or IMR-32 cell pellet (right, negative) using Notch2 (D76A6) XP® Rabbit mAb.
Immunohistochemistry Image 4: Notch2 (D76A6) Rabbit Monoclonal Antibody
Orders: 877-616-CELL (2355) [email protected] Support: 877-678-TECH (8324) [email protected] Web: cellsignal.com
For Research Use Only. Not for Use in Diagnostic Procedures.

Revision 7

Cell Signaling Technology Logo
Immunohistochemical analysis of paraffin-embedded human colon carcinoma using Notch2 (D76A6) XP® Rabbit mAb.
Immunohistochemistry Image 5: Notch2 (D76A6) Rabbit Monoclonal Antibody
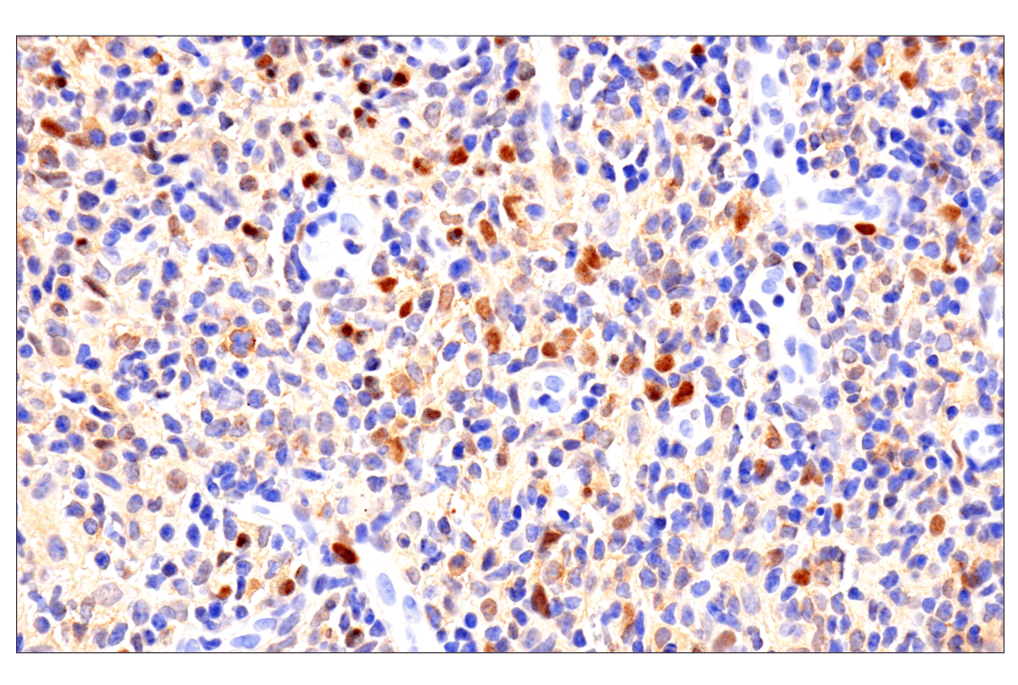
Immunohistochemical analysis of paraffin-embedded human B-cell non-Hodgkin's lymphoma using Notch2 (D76A6) XP® Rabbit mAb.
Immunohistochemistry Image 6: Notch2 (D76A6) Rabbit Monoclonal Antibody
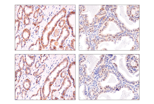
Immunohistochemical analysis of paraffin-embedded human prostate adenocarcinoma (left) or endometrioid adenocarcinoma (right) using Notch2 (D76A6) XP® Rabbit mAb (top) or Notch2 Rabbit mAb (bottom). These two antibodies detect independent, unique epitopes on human Notch2. Both epitopes are contained within the intracellular domain and the nuclear staining represents active Notch2. The similar staining patterns obtained with both antibodies help to confirm the specificity of the staining.
Immunohistochemistry Image 7: Notch2 (D76A6) Rabbit Monoclonal Antibody
Orders: 877-616-CELL (2355) [email protected] Support: 877-678-TECH (8324) [email protected] Web: cellsignal.com
For Research Use Only. Not for Use in Diagnostic Procedures.

Revision 7

Cell Signaling Technology Logo
Immunohistochemical analysis of paraffin-embedded human placenta using Notch2 (D76A6) XP® Rabbit mAb.
Immunohistochemistry Image 8: Notch2 (D76A6) Rabbit Monoclonal Antibody
Immunohistochemical analysis of paraffin-embedded human testis using Notch2 (D76A6) XP® Rabbit mAb.
Immunohistochemistry Image 9: Notch2 (D76A6) Rabbit Monoclonal Antibody
Confocal immunofluorescent analysis of SNB19 cells using Notch2 (D76A6) XP® Rabbit mAb (green). Blue pseudocolor = DRAQ5® #4084 (fluorescent DNA dye).
Immunofluorescence Image 1: Notch2 (D76A6) Rabbit Monoclonal Antibody
Orders: 877-616-CELL (2355) [email protected] Support: 877-678-TECH (8324) [email protected] Web: cellsignal.com
For Research Use Only. Not for Use in Diagnostic Procedures.

Revision 7

Cell Signaling Technology Logo
Flow cytometric analysis of fixed and permeabilized SW620 cells (red, low expression) and 293 cells (blue, positive) cells using Notch2 (D76A6) XP® Rabbit mAb. Anti-rabbit IgG (H+L), F(ab')2 Fragment (Alexa Fluor® 488 Conjugate) #4412 was used as a secondary antibody.
Flow Cytometry Image 1: Notch2 (D76A6) Rabbit Monoclonal Antibody
Orders: 877-616-CELL (2355) [email protected] Support: 877-678-TECH (8324) [email protected] Web: cellsignal.com
For Research Use Only. Not for Use in Diagnostic Procedures.