Revision 4

#33422

Store at -20C

CST Logo
Orders:

877-616-CELL (2355)

[email protected]

Support:

877-678-TECH (8324)

3 Trask Lane | Danvers | Massachusetts | 01923 | USA

For Research Use Only. Not for Use in Diagnostic Procedures.

Applications:
W, IHC-P, IF-IC

Reactivity:
H M R

Sensitivity:
Endogenous

MW (kDa):
190

Source/Isotype:
Rabbit IgG

UniProt ID:
#O15118

Entrez-Gene Id:
4864

Product Usage Information

Application Dilution
Western Blotting 1:1000
Immunohistochemistry (Paraffin) 1:50 - 1:200
Immunofluorescence (Immunocytochemistry) 1:800 - 1:1600

Storage

Supplied in 10 mM sodium HEPES (pH 7.5), 150 mM NaCl, 100 µg/mL BSA, 50% glycerol, and less than 0.02% sodium azide. Store at –20°C. Do not aliquot the antibody.

Specificity/Sensitivity

NPC1 (E7S4N) Rabbit Monoclonal Antibody recognizes endogenous levels of total NPC1 protein.

Source / Purification

Monoclonal antibody is produced by immunizing animals with a synthetic peptide corresponding to residues surrounding Arg1266 of human NPC1 protein.

Background

Niemann-Pick type C (NPC) disease is a lysosomal storage disease in which endocytosed cholesterol becomes sequestered in late endosomes/lysosomes (LEs/Ls) due to mutations in either the NPC1 or NPC2 gene, which encode NPC1 (Niemann-Pick type C1) or NPC2 (Niemann-Pick type C2) protein (1,2). NPC1 is a multipass transmembrane protein located at the LEs/Ls membrane, and NPC2 is located in the lumen of the vesicles. NPC2 directly binds to sequestered unesterified cholesterol in the lumen and delivers the cholesterol to the N-terminal domain of membrane-bound NPC1. The cholesterol further interacts with the sterol-sensing domain of NPC1 and is eventually exported from LEs/Ls to Golgi, ER, or plasma membrane (3,4). In cells with dysfunctional NPC1, cholesterol is sequestered in the lysosome, resulting in lysosomal dysfunction and NPC. Loss of function of NPC1 leads to progressive neurodegeneration (5), neuroinflammation and myelin defects, severe neonatal liver disease and lung failure, and immune dysfunction (1,6,7). Elevated NPC1 is linked to cancer progression and drug resistance. Reagents that target NPC1 activity provide opportunities for disease treatment strategies (8,9).

Species Reactivity

Species reactivity is determined by testing in at least one approved application (e.g., western blot).

Western Blot Buffer

IMPORTANT: For western blots, incubate membrane with diluted primary antibody in 5% w/v BSA, 1X TBS, 0.1% Tween® 20 at 4°C with gentle shaking, overnight.

Applications Key

W: Western Blotting IHC-P: Immunohistochemistry (Paraffin) IF-IC: Immunofluorescence (Immunocytochemistry)

Cross-Reactivity Key

H: Human M: Mouse R: Rat

Trademarks and Patents

Cell Signaling Technology is a trademark of Cell Signaling Technology, Inc.

All other trademarks are the property of their respective owners. Visit cellsignal.com/trademarks for more information.

Limited Uses

Except as otherwise expressly agreed in a writing signed by a legally authorized representative of CST, the following terms apply to Products provided by CST, its affiliates or its distributors. Any Customer's terms and conditions that are in addition to, or different from, those contained herein, unless separately accepted in writing by a legally authorized representative of CST, are rejected and are of no force or effect.

Products are labeled with For Research Use Only or a similar labeling statement and have not been approved, cleared, or licensed by the FDA or other regulatory foreign or domestic entity, for any purpose. Customer shall not use any Product for any diagnostic or therapeutic purpose, or otherwise in any manner that conflicts with its labeling statement. Products sold or licensed by CST are provided for Customer as the end-user and solely for research and development uses. Any use of Product for diagnostic, prophylactic or therapeutic purposes, or any purchase of Product for resale (alone or as a component) or other commercial purpose, requires a separate license from CST. Customer shall (a) not sell, license, loan, donate or otherwise transfer or make available any Product to any third party, whether alone or in combination with other materials, or use the Products to manufacture any commercial products, (b) not copy, modify, reverse engineer, decompile, disassemble or otherwise attempt to discover the underlying structure or technology of the Products, or use the Products for the purpose of developing any products or services that would compete with CST products or services, (c) not alter or remove from the Products any trademarks, trade names, logos, patent or copyright notices or markings, (d) use the Products solely in accordance with CST Product Terms of Sale and any applicable documentation, and (e) comply with any license, terms of service or similar agreement with respect to any third party products or services used by Customer in connection with the Products.

Orders: 877-616-CELL (2355) [email protected] Support: 877-678-TECH (8324) [email protected] Web: cellsignal.com
For Research Use Only. Not for Use in Diagnostic Procedures.

Revision 4

Cell Signaling Technology Logo
Western blot analysis of extracts from various cell lines using NPC1 (E7S4N) Rabbit mAb (upper) or GAPDH (D16H11) XP® Rabbit mAb #5174 (lower). Low expression of NPC1 protein in HCC1419 cells is consistent with the predicted expression pattern.
Western Blotting Image 1: NPC1 (E7S4N) Rabbit Monoclonal Antibody
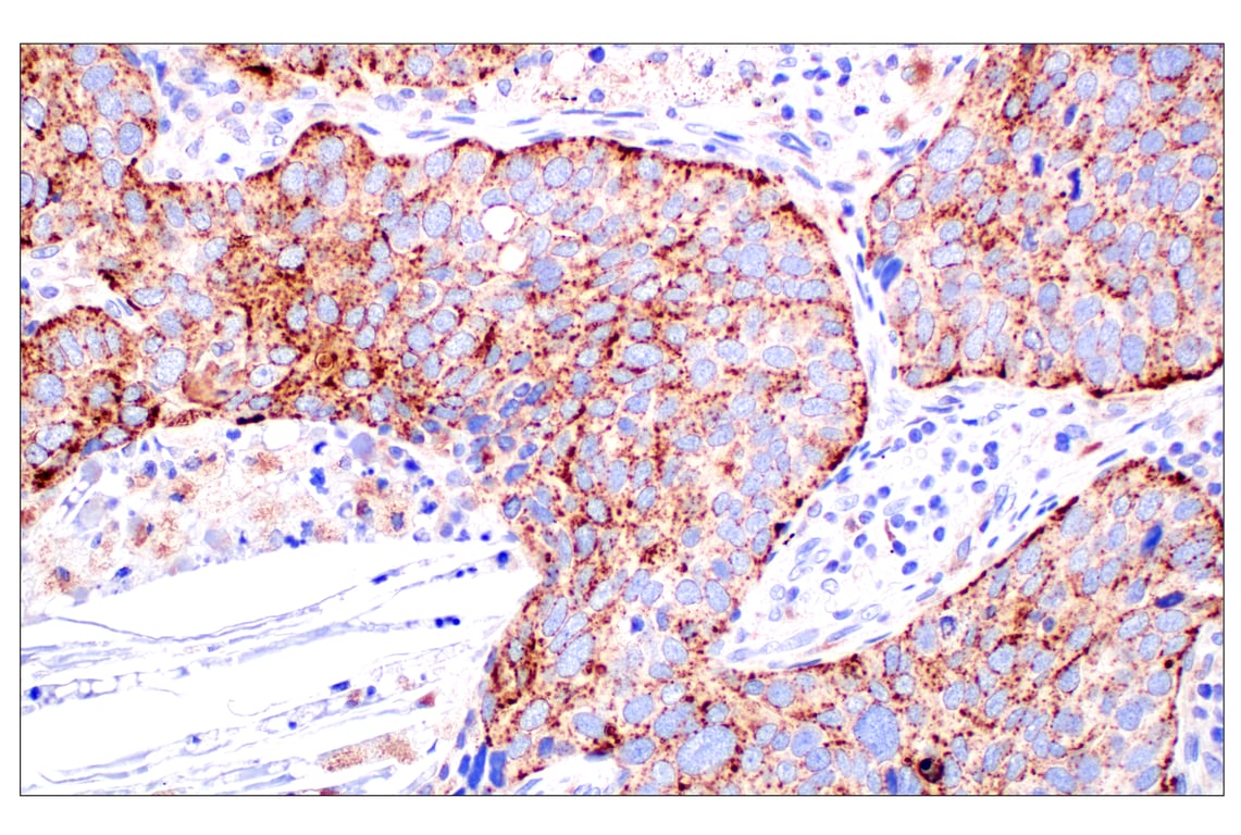
Immunohistochemical analysis of paraffin-embedded human squamous cell lung carcinoma using NPC1 (E7S4N) Rabbit mAb.
Immunohistochemistry Image 1: NPC1 (E7S4N) Rabbit Monoclonal Antibody
Immunohistochemical analysis of paraffin-embedded human granulosa cell tumor of the ovary using NPC1 (E7S4N) Rabbit mAb.
Immunohistochemistry Image 2: NPC1 (E7S4N) Rabbit Monoclonal Antibody
Orders: 877-616-CELL (2355) [email protected] Support: 877-678-TECH (8324) [email protected] Web: cellsignal.com
For Research Use Only. Not for Use in Diagnostic Procedures.

Revision 4

Cell Signaling Technology Logo
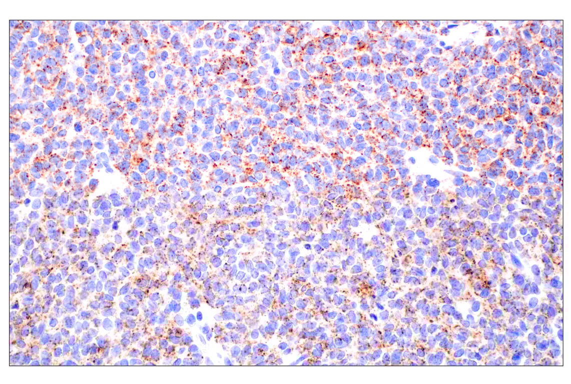
Immunohistochemical analysis of paraffin-embedded human Hodgkin lymphoma using NPC1 (E7S4N) Rabbit mAb.
Immunohistochemistry Image 3: NPC1 (E7S4N) Rabbit Monoclonal Antibody
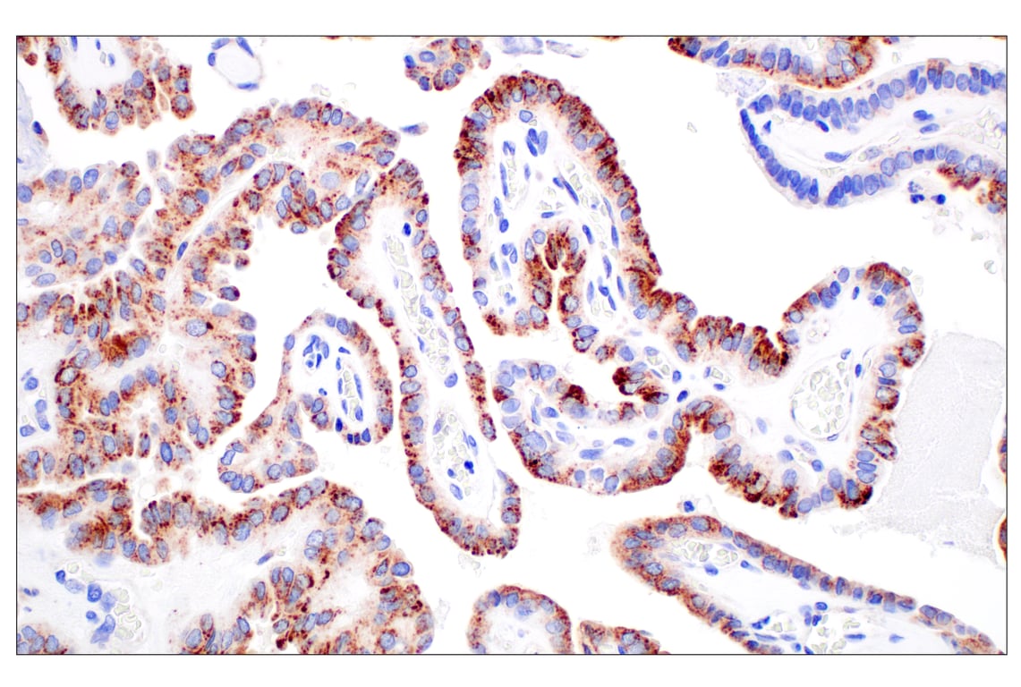
Immunohistochemical analysis of paraffin-embedded human papillary thyroid carcinoma using NPC1 (E7S4N) Rabbit mAb.
Immunohistochemistry Image 4: NPC1 (E7S4N) Rabbit Monoclonal Antibody
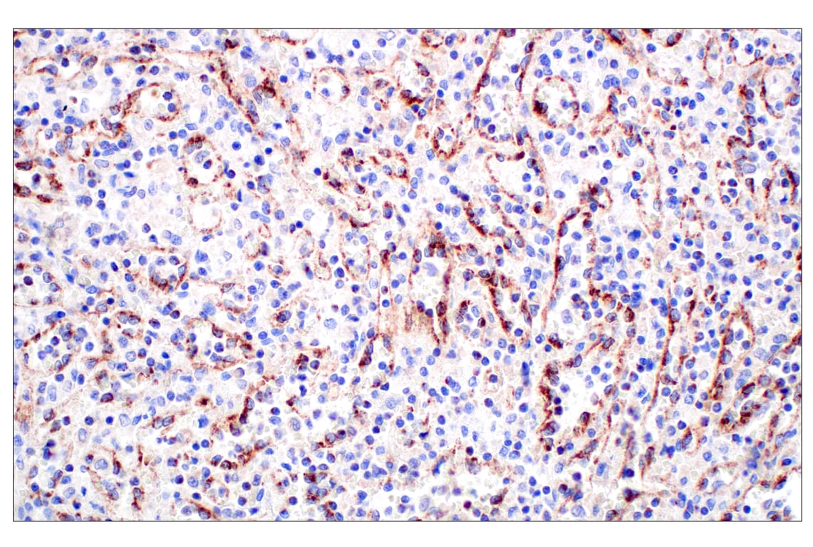
Immunohistochemical analysis of paraffin-embedded normal human spleen using NPC1 (E7S4N) Rabbit mAb.
Immunohistochemistry Image 5: NPC1 (E7S4N) Rabbit Monoclonal Antibody
Orders: 877-616-CELL (2355) [email protected] Support: 877-678-TECH (8324) [email protected] Web: cellsignal.com
For Research Use Only. Not for Use in Diagnostic Procedures.

Revision 4

Cell Signaling Technology Logo
Immunohistochemical analysis of paraffin-embedded normal human lung using NPC1 (E7S4N) Rabbit mAb.
Immunohistochemistry Image 6: NPC1 (E7S4N) Rabbit Monoclonal Antibody
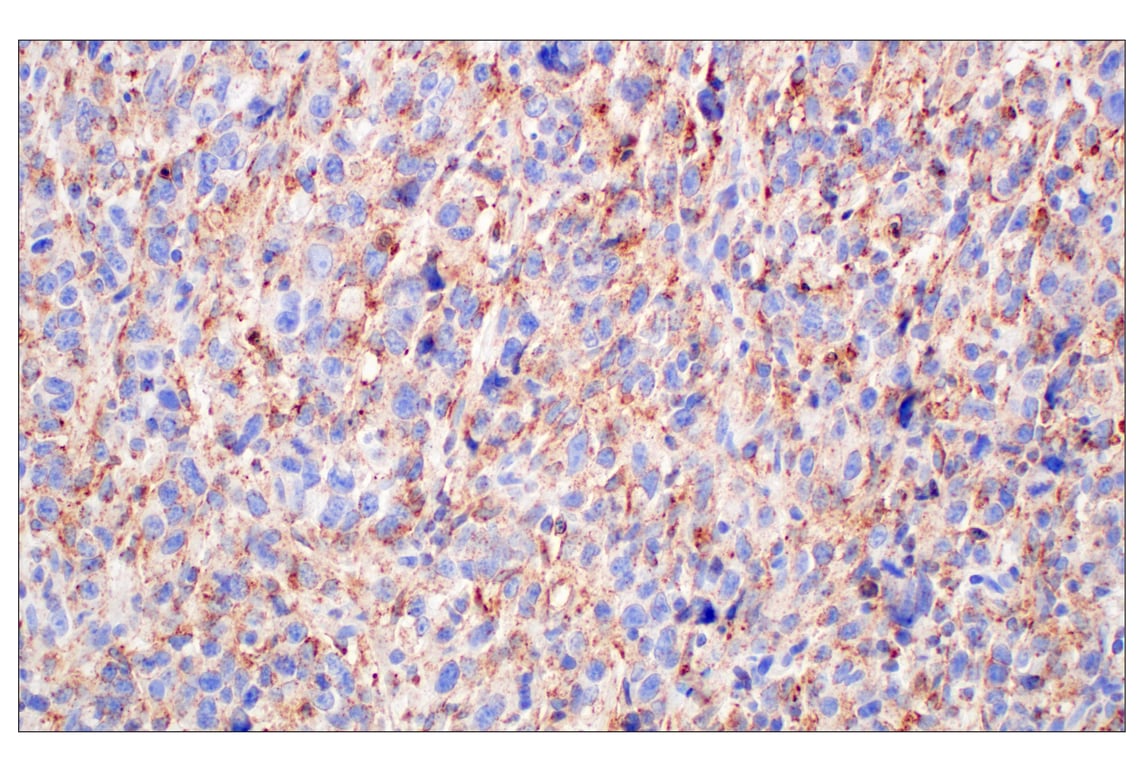
Immunohistochemical analysis of paraffin-embedded Renca syngeneic tumor using NPC1 (E7S4N) Rabbit mAb.
Immunohistochemistry Image 7: NPC1 (E7S4N) Rabbit Monoclonal Antibody
Immunohistochemical analysis of paraffin-embedded GL261 syngeneic tumor using NPC1 (E7S4N) Rabbit mAb.
Immunohistochemistry Image 8: NPC1 (E7S4N) Rabbit Monoclonal Antibody
Orders: 877-616-CELL (2355) [email protected] Support: 877-678-TECH (8324) [email protected] Web: cellsignal.com
For Research Use Only. Not for Use in Diagnostic Procedures.

Revision 4

Cell Signaling Technology Logo
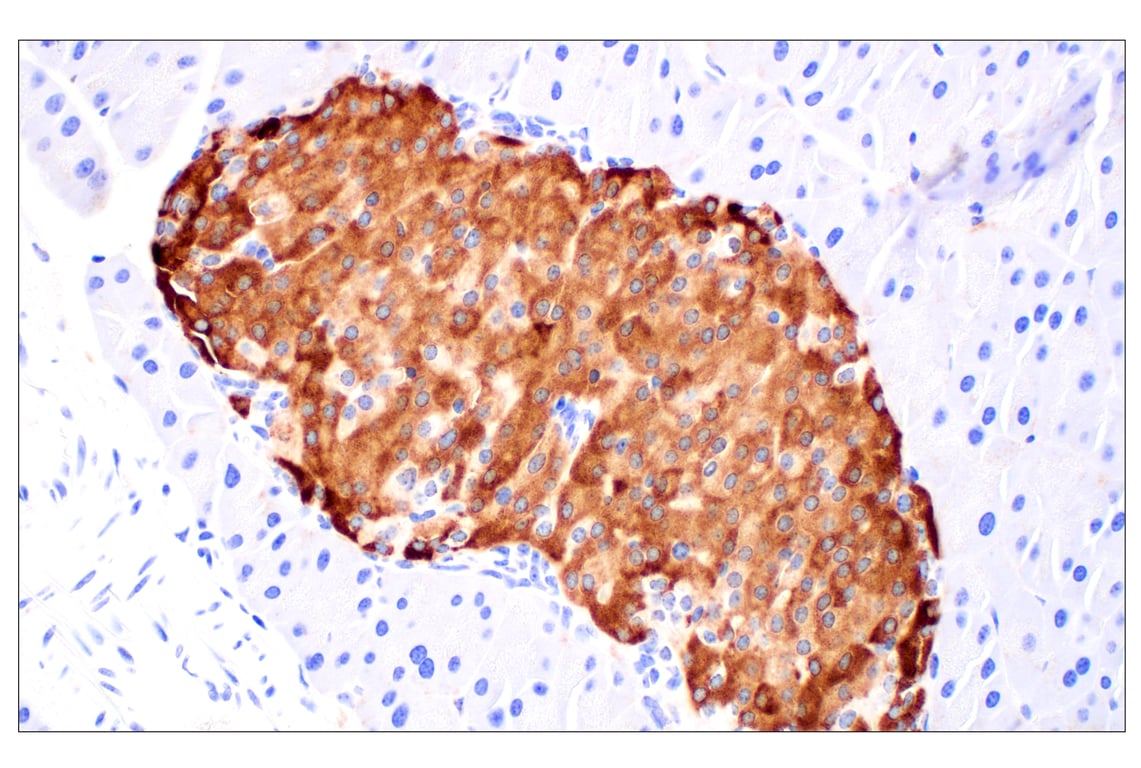
Immunohistochemical analysis of paraffin-embedded mouse pancreas using NPC1 (E7S4N) Rabbit mAb.
Immunohistochemistry Image 9: NPC1 (E7S4N) Rabbit Monoclonal Antibody
Immunohistochemical analysis of paraffin-embedded rat liver using NPC1 (E7S4N) Rabbit mAb.
Immunohistochemistry Image 10: NPC1 (E7S4N) Rabbit Monoclonal Antibody
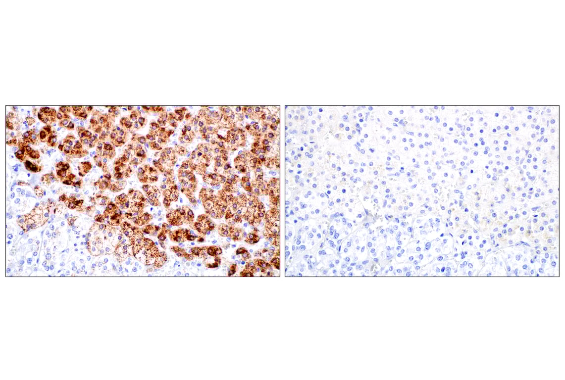
Immunohistochemical analysis of paraffin-embedded normal human adrenal gland using NPC1 (E7S4N) Rabbit mAb (left) compared to concentration-matched Rabbit (DA1E) mAb IgG XP® Isotype Control #3900 (right).
Immunohistochemistry Image 11: NPC1 (E7S4N) Rabbit Monoclonal Antibody
Orders: 877-616-CELL (2355) [email protected] Support: 877-678-TECH (8324) [email protected] Web: cellsignal.com
For Research Use Only. Not for Use in Diagnostic Procedures.

Revision 4

Cell Signaling Technology Logo
Immunohistochemical analysis of paraffin-embedded U-118 MG cell pellet (left, positive) or HCC1419 cell pellet (right, negative) using NPC1 (E7S4N) Rabbit mAb.
Immunohistochemistry Image 12: NPC1 (E7S4N) Rabbit Monoclonal Antibody
Confocal immunofluorescent analysis of U-118 MG cells (left, high-expressing) and HCC1419 cells (right, low-expressing) using NPC1 (E7S4N) Rabbit mAb (green), DyLight™ 554 Phalloidin #13054 (red), and DAPI #4083 (blue).
Immunofluorescence Image 1: NPC1 (E7S4N) Rabbit Monoclonal Antibody
Orders: 877-616-CELL (2355) [email protected] Support: 877-678-TECH (8324) [email protected] Web: cellsignal.com
For Research Use Only. Not for Use in Diagnostic Procedures.