Revision 4

#92825

Store at -20C

CST Logo
Orders:

877-616-CELL (2355)

[email protected]

Support:

877-678-TECH (8324)

3 Trask Lane | Danvers | Massachusetts | 01923 | USA

For Research Use Only. Not for Use in Diagnostic Procedures.

Applications:
W, W-S, IHC-P, IF-F, IF-IC

Reactivity:
H M R Mk

Sensitivity:
Endogenous

MW (kDa):
38

Source/Isotype:
Rabbit IgG

UniProt ID:
#P06748

Entrez-Gene Id:
4869

Product Usage Information

Application Dilution
Western Blotting 1:1000
Simple Western™ 1:10 - 1:50
Immunohistochemistry (Paraffin) 1:300 - 1:1200
Immunofluorescence (Frozen) 1:200 - 1:800
Immunofluorescence (Immunocytochemistry) 1:100 - 1:400

Storage

Supplied in 10 mM sodium HEPES (pH 7.5), 150 mM NaCl, 100 µg/mL BSA, 50% glycerol, and less than 0.02% sodium azide. Store at –20°C. Do not aliquot the antibody.

For a carrier free (BSA and azide free) version of this product see product #84952.

Specificity/Sensitivity

NPM1 (E7W4P) Rabbit Monoclonal Antibody recognizes endogenous levels of total NPM1 protein.

Source / Purification

Monoclonal antibody is produced by immunizing animals with a synthetic peptide corresponding to residues near the amino terminus of human NPM1 protein.

Background

Nucleophosmin (NPM1), also known as B23, numatrin, or NO38, is an abundant phosphoprotein primarily found in nucleoli. It has been implicated in several distinct cellular functions, including assembly and transport of ribosomes, cytoplasmic/nuclear trafficking, regulation of DNA polymerase α activity, centrosome duplication, and molecular chaperoning activities (1,2). The NPM1 gene is also known for its fusion with the anaplastic lymphoma kinase (ALK) receptor tyrosine kinase. The NPM1 portion contributes to transformation by providing a dimerization domain, which activates the fused kinase (3,4).

Species Reactivity

Species reactivity is determined by testing in at least one approved application (e.g., western blot).

Western Blot Buffer

IMPORTANT: For western blots, incubate membrane with diluted primary antibody in 5% w/v BSA, 1X TBS, 0.1% Tween® 20 at 4°C with gentle shaking, overnight.

Applications Key

W: Western Blotting W-S: Simple Western™ IHC-P: Immunohistochemistry (Paraffin) IF-F: Immunofluorescence (Frozen) IF-IC: Immunofluorescence (Immunocytochemistry)

Cross-Reactivity Key

H: Human M: Mouse R: Rat Mk: Monkey

Trademarks and Patents

Cell Signaling Technology is a trademark of Cell Signaling Technology, Inc.

All other trademarks are the property of their respective owners. Visit cellsignal.com/trademarks for more information.

Limited Uses

Except as otherwise expressly agreed in a writing signed by a legally authorized representative of CST, the following terms apply to Products provided by CST, its affiliates or its distributors. Any Customer's terms and conditions that are in addition to, or different from, those contained herein, unless separately accepted in writing by a legally authorized representative of CST, are rejected and are of no force or effect.

Products are labeled with For Research Use Only or a similar labeling statement and have not been approved, cleared, or licensed by the FDA or other regulatory foreign or domestic entity, for any purpose. Customer shall not use any Product for any diagnostic or therapeutic purpose, or otherwise in any manner that conflicts with its labeling statement. Products sold or licensed by CST are provided for Customer as the end-user and solely for research and development uses. Any use of Product for diagnostic, prophylactic or therapeutic purposes, or any purchase of Product for resale (alone or as a component) or other commercial purpose, requires a separate license from CST. Customer shall (a) not sell, license, loan, donate or otherwise transfer or make available any Product to any third party, whether alone or in combination with other materials, or use the Products to manufacture any commercial products, (b) not copy, modify, reverse engineer, decompile, disassemble or otherwise attempt to discover the underlying structure or technology of the Products, or use the Products for the purpose of developing any products or services that would compete with CST products or services, (c) not alter or remove from the Products any trademarks, trade names, logos, patent or copyright notices or markings, (d) use the Products solely in accordance with CST Product Terms of Sale and any applicable documentation, and (e) comply with any license, terms of service or similar agreement with respect to any third party products or services used by Customer in connection with the Products.

Orders: 877-616-CELL (2355) [email protected] Support: 877-678-TECH (8324) [email protected] Web: cellsignal.com
For Research Use Only. Not for Use in Diagnostic Procedures.

Revision 4

Cell Signaling Technology Logo
Western blot analysis of extracts from HCT 116 cells, transfected with control siRNA (-) or NPM1 siRNA (+), using NPM1 (E7W4P) Rabbit mAb (upper) or GAPDH (D16H11) XP® Rabbit mAb #5174 (lower).
Western Blotting Image 1: NPM1 (E7W4P) Rabbit Monoclonal Antibody
Western blot analysis of extracts from various cell lines using NPM1 (E7W4P) Rabbit mAb (upper) or GAPDH (D16H11) XP® Rabbit mAb #5174 (lower).
Western Blotting Image 2: NPM1 (E7W4P) Rabbit Monoclonal Antibody
Simple Western™ analysis of lysates (1.0 mg/mL) from 3T3 cells using NPM1 (E7W4P) Rabbit mAb #92825. The virtual lane view (left) shows the target band (as indicated) at 1:10 and 1:50 dilutions of primary antibody. The corresponding electropherogram view (right) plots chemiluminescence by molecular weight along the capillary at 1:10 (blue line) and 1:50 (green line) dilutions of primary antibody. This experiment was performed under reducing conditions on the Jess™ Simple Western instrument from ProteinSimple, a BioTechne brand, using the 12-230 kDa separation module.
Western Blotting Image 1: NPM1 (E7W4P) Rabbit Monoclonal Antibody
Orders: 877-616-CELL (2355) [email protected] Support: 877-678-TECH (8324) [email protected] Web: cellsignal.com
For Research Use Only. Not for Use in Diagnostic Procedures.

Revision 4

Cell Signaling Technology Logo
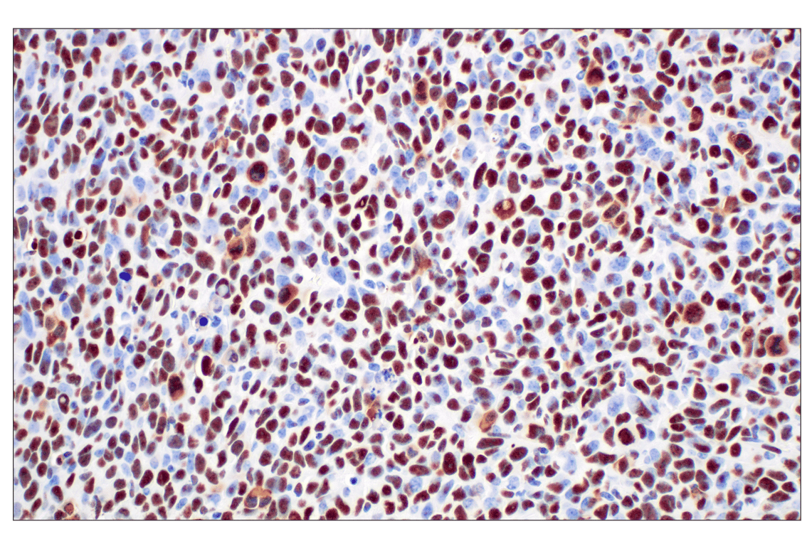
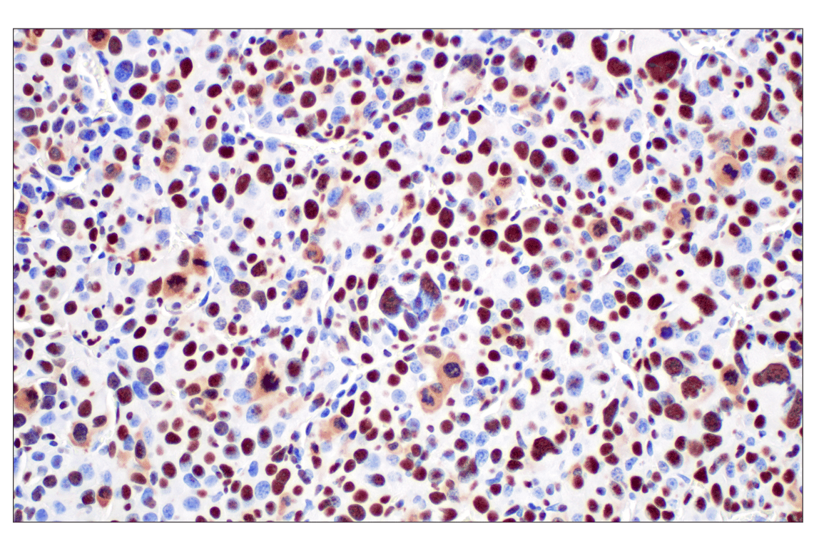
Immunohistochemical analysis of paraffin-embedded human squamous cell lung carcinoma using NPM1 (E7W4P) Rabbit mAb.
Immunohistochemistry Image 1: NPM1 (E7W4P) Rabbit Monoclonal Antibody
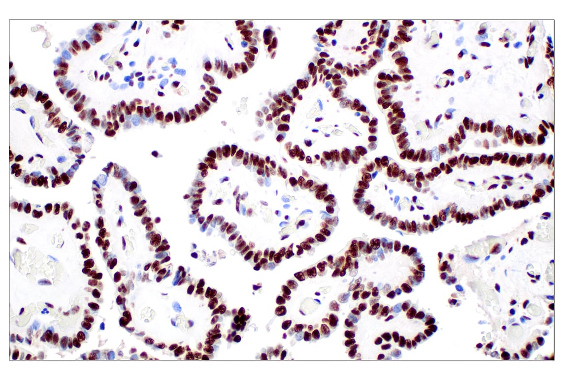
Immunohistochemical analysis of paraffin-embedded human papillary thyroid carcinoma using NPM1 (E7W4P) Rabbit mAb.
Immunohistochemistry Image 2: NPM1 (E7W4P) Rabbit Monoclonal Antibody
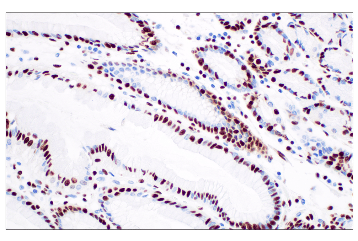
Immunohistochemical analysis of normal human stomach using NPM1 (E7W4P) Rabbit mAb.
Immunohistochemistry Image 3: NPM1 (E7W4P) Rabbit Monoclonal Antibody
Orders: 877-616-CELL (2355) [email protected] Support: 877-678-TECH (8324) [email protected] Web: cellsignal.com
For Research Use Only. Not for Use in Diagnostic Procedures.

Revision 4

Cell Signaling Technology Logo
Immunohistochemical analysis of normal human esophagus using NPM1 (E7W4P) Rabbit mAb.
Immunohistochemistry Image 4: NPM1 (E7W4P) Rabbit Monoclonal Antibody
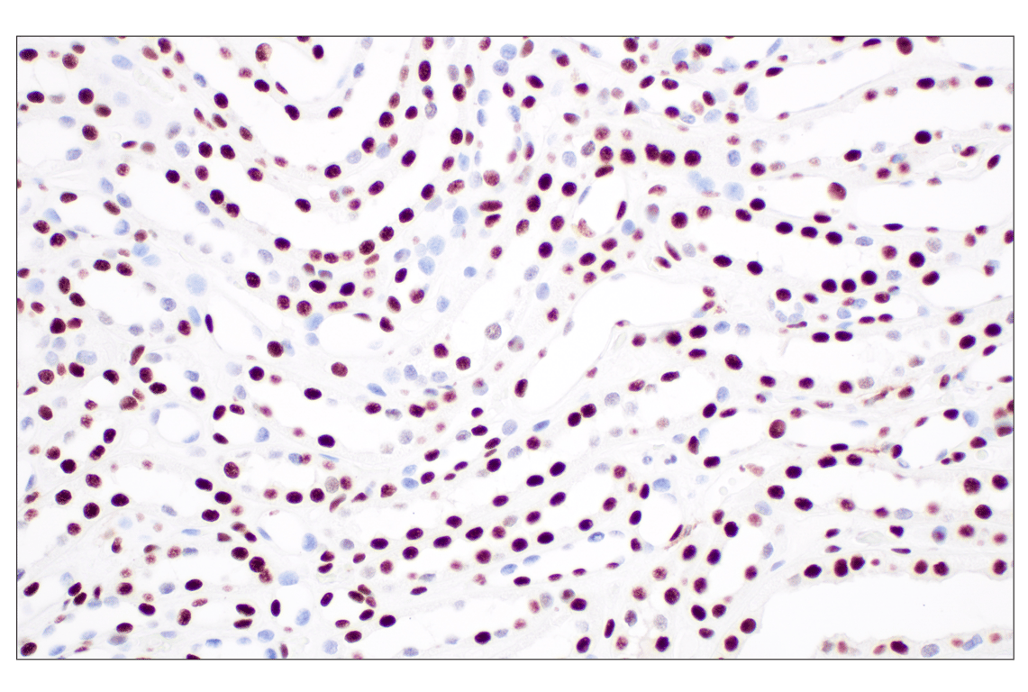
Immunohistochemical analysis of normal human kidney using NPM1 (E7W4P) Rabbit mAb.
Immunohistochemistry Image 5: NPM1 (E7W4P) Rabbit Monoclonal Antibody
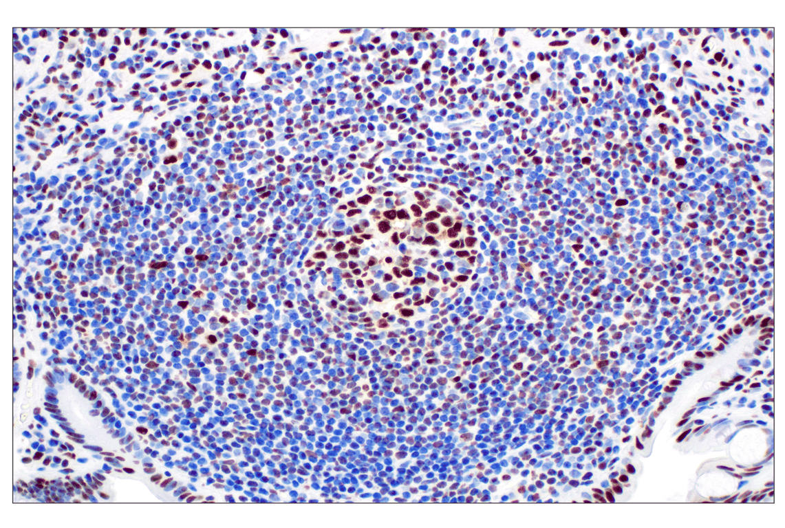
Immunohistochemical analysis of a Peyer's patch within paraffin-embedded normal human small intestine using NPM1 (E7W4P) Rabbit mAb.
Immunohistochemistry Image 6: NPM1 (E7W4P) Rabbit Monoclonal Antibody
Orders: 877-616-CELL (2355) [email protected] Support: 877-678-TECH (8324) [email protected] Web: cellsignal.com
For Research Use Only. Not for Use in Diagnostic Procedures.

Revision 4

Cell Signaling Technology Logo
Immunohistochemical analysis of paraffin-embedded Renca syngeneic tumor using NPM1 (E7W4P) Rabbit mAb.
Immunohistochemistry Image 7: NPM1 (E7W4P) Rabbit Monoclonal Antibody
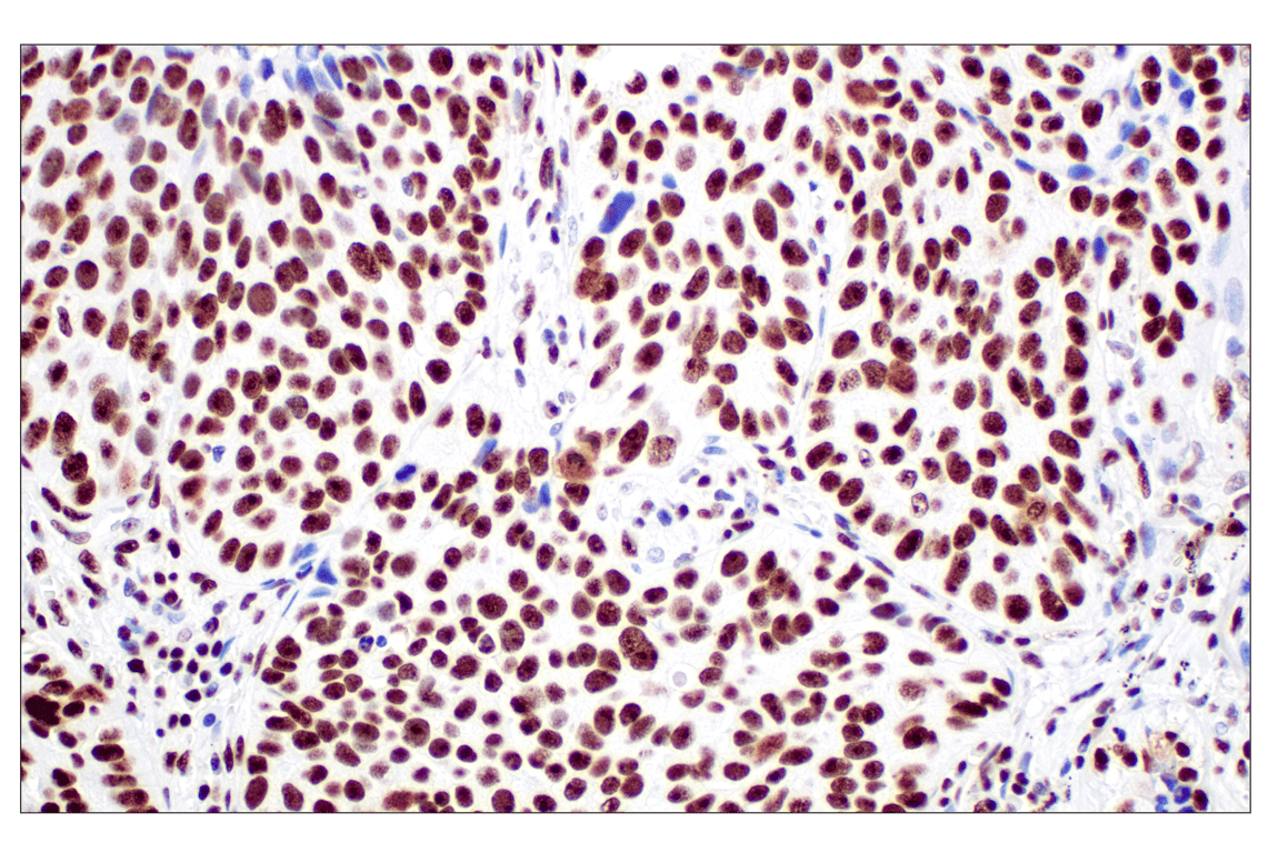
Immunohistochemical analysis of paraffin-embedded LL/2 syngeneic tumor using NPM1 (E7W4P) Rabbit mAb.
Immunohistochemistry Image 8: NPM1 (E7W4P) Rabbit Monoclonal Antibody
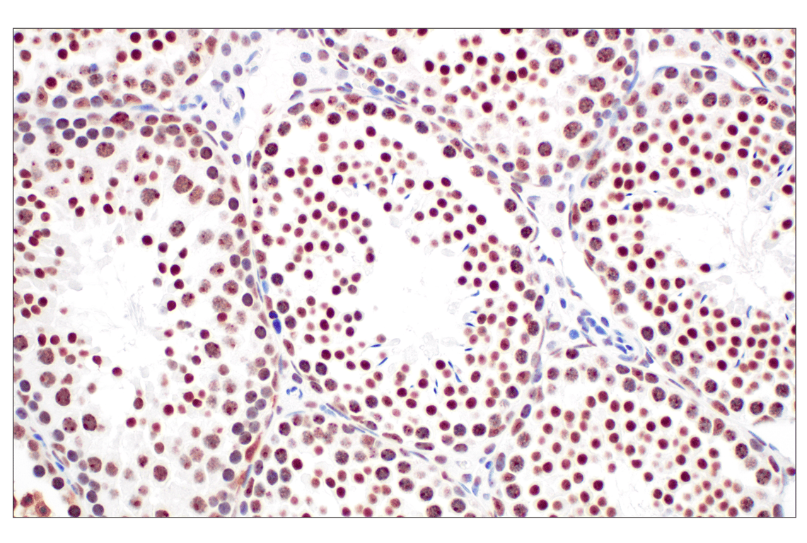
Immunohistochemical analysis of paraffin-embedded mouse testis using NPM1 (E7W4P) Rabbit mAb.
Immunohistochemistry Image 9: NPM1 (E7W4P) Rabbit Monoclonal Antibody
Orders: 877-616-CELL (2355) [email protected] Support: 877-678-TECH (8324) [email protected] Web: cellsignal.com
For Research Use Only. Not for Use in Diagnostic Procedures.

Revision 4

Cell Signaling Technology Logo
Immunohistochemical analysis of paraffin-embedded human ductal breast carcinoma using NPM1 (E7W4P) Rabbit mAb (left) compared to concentration-matched Rabbit (DA1E) mAb IgG XP® Isotype Control #3900 (right).
Immunohistochemistry Image 10: NPM1 (E7W4P) Rabbit Monoclonal Antibody
Confocal immunofluorescent analysis of fixed frozen mouse pancreas labeled with NPM1 (E7W4P) Rabbit mAb (left, green), DyLight 554 Phalloidin #13054 (right, red), and ProLong Gold Antifade Reagent with DAPI #8961 (right, blue).
Immunofluorescence Image 1: NPM1 (E7W4P) Rabbit Monoclonal Antibody
Confocal immunofluorescent analysis of fixed frozen mouse small intestine labeled with NPM1 (E7W4P) Rabbit mAb (left, green), DyLight 554 Phalloidin #13054 (right, red), and ProLong Gold Antifade Reagent with DAPI #8961 (right, blue).
Immunofluorescence Image 2: NPM1 (E7W4P) Rabbit Monoclonal Antibody
Orders: 877-616-CELL (2355) [email protected] Support: 877-678-TECH (8324) [email protected] Web: cellsignal.com
For Research Use Only. Not for Use in Diagnostic Procedures.

Revision 4

Cell Signaling Technology Logo
Confocal immunofluorescent analysis of HCT 116 cells, mock transfected (left, high-expressing) or transfected with siRNA directed against NPM1 (right, low-expressing), using NPM1 (E7W4P) Rabbit mAb (green), Cytochrome c (6H2.B4) Mouse mAb #12963 (red), and DAPI #4083 (blue).
Immunofluorescence Image 1: NPM1 (E7W4P) Rabbit Monoclonal Antibody
Orders: 877-616-CELL (2355) [email protected] Support: 877-678-TECH (8324) [email protected] Web: cellsignal.com
For Research Use Only. Not for Use in Diagnostic Procedures.