Revision 1

#3187

Store at -20C

CST Logo
Orders:

877-616-CELL (2355)

[email protected]

Support:

877-678-TECH (8324)

3 Trask Lane | Danvers | Massachusetts | 01923 | USA

For Research Use Only. Not for Use in Diagnostic Procedures.

Applications:
W, IHC-P, IF-IC

Reactivity:
H

Sensitivity:
Endogenous

MW (kDa):
29

Source/Isotype:
Mouse IgG1

UniProt ID:
#P15559

Entrez-Gene Id:
1728

Product Usage Information

Application Dilution
Western Blotting 1:1000
Immunohistochemistry (Paraffin) 1:50
Immunofluorescence (Immunocytochemistry) 1:400

Storage

Supplied in 10 mM sodium HEPES (pH 7.5), 150 mM NaCl, 100 µg/ml BSA, 50% glycerol and less than 0.02% sodium azide. Store at –20°C. Do not aliquot the antibody.

Specificity/Sensitivity

NQO1 (A180) Mouse Monoclonal Antibody detects endogenous levels of total NQO1 protein.

Source / Purification

NQO1 (A180) Mouse mAb is produced by immunizing mice with purified recombinant human NQO1.

Background

NAD(P)H:quinone oxidoreductase 1 (NQO1) is a flavoprotein that catalyzes the two-electron reduction of quinones and their derivatives (1,2). This enzyme protects cells against redox cycling and oxidative stress (1,3). The expression of NQO1 is increased in liver, colon and breast tumors and non-small cell lung cancer (NSCLC) compared with the normal tissues (1,2). Moreover, expression levels are also elevated in developing tumors, suggesting a role for NQO1 in the prevention of tumor development (1). Studies on NQO1 knockout mice suggest that the lack of NQO1 enzymatic activity changes intracellular redox states resulting in a reduction in apoptosis, which in turn leads to myeloid hyperplasia of bone marrow (2).

Species Reactivity

Species reactivity is determined by testing in at least one approved application (e.g., western blot).

Western Blot Buffer

IMPORTANT: For western blots, incubate membrane with diluted primary antibody in 5% w/v nonfat dry milk, 1X TBS, 0.1% Tween® 20 at 4°C with gentle shaking, overnight.

Applications Key

W: Western Blotting IHC-P: Immunohistochemistry (Paraffin) IF-IC: Immunofluorescence (Immunocytochemistry)

Cross-Reactivity Key

H: Human

Trademarks and Patents

Cell Signaling Technology is a trademark of Cell Signaling Technology, Inc.

Alexa Fluor is a registered trademark of Life Technologies Corporation.

All other trademarks are the property of their respective owners. Visit cellsignal.com/trademarks for more information.

Limited Uses

Except as otherwise expressly agreed in a writing signed by a legally authorized representative of CST, the following terms apply to Products provided by CST, its affiliates or its distributors. Any Customer's terms and conditions that are in addition to, or different from, those contained herein, unless separately accepted in writing by a legally authorized representative of CST, are rejected and are of no force or effect.

Products are labeled with For Research Use Only or a similar labeling statement and have not been approved, cleared, or licensed by the FDA or other regulatory foreign or domestic entity, for any purpose. Customer shall not use any Product for any diagnostic or therapeutic purpose, or otherwise in any manner that conflicts with its labeling statement. Products sold or licensed by CST are provided for Customer as the end-user and solely for research and development uses. Any use of Product for diagnostic, prophylactic or therapeutic purposes, or any purchase of Product for resale (alone or as a component) or other commercial purpose, requires a separate license from CST. Customer shall (a) not sell, license, loan, donate or otherwise transfer or make available any Product to any third party, whether alone or in combination with other materials, or use the Products to manufacture any commercial products, (b) not copy, modify, reverse engineer, decompile, disassemble or otherwise attempt to discover the underlying structure or technology of the Products, or use the Products for the purpose of developing any products or services that would compete with CST products or services, (c) not alter or remove from the Products any trademarks, trade names, logos, patent or copyright notices or markings, (d) use the Products solely in accordance with CST Product Terms of Sale and any applicable documentation, and (e) comply with any license, terms of service or similar agreement with respect to any third party products or services used by Customer in connection with the Products.

Orders: 877-616-CELL (2355) [email protected] Support: 877-678-TECH (8324) [email protected] Web: cellsignal.com
For Research Use Only. Not for Use in Diagnostic Procedures.

Revision 1

Cell Signaling Technology Logo
Western blot analysis of extracts from several cell lines using NQO1 (A180) Mouse mAb.
Western Blotting Image 1: NQO1 (A180) Mouse Monoclonal Antibody
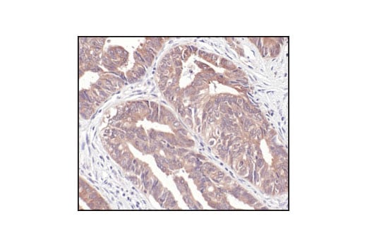
Immunohistochemical analysis of paraffin-embedded human breast carcinoma using NQO1 (A180) Mouse mAb.
Immunohistochemistry Image 1: NQO1 (A180) Mouse Monoclonal Antibody
Immunohistochemical analysis of paraffin-embedded human colon carcinoma using NQO1 (A180) Mouse mAb.
Immunohistochemistry Image 2: NQO1 (A180) Mouse Monoclonal Antibody
Orders: 877-616-CELL (2355) [email protected] Support: 877-678-TECH (8324) [email protected] Web: cellsignal.com
For Research Use Only. Not for Use in Diagnostic Procedures.

Revision 1

Cell Signaling Technology Logo
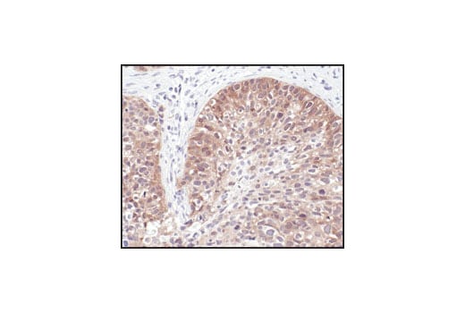
Immunohistochemical analysis of paraffin-embedded human lung carcinoma using NQO1 (A180) Mouse mAb.
Immunohistochemistry Image 3: NQO1 (A180) Mouse Monoclonal Antibody
Confocal immunofluorescent analysis of HeLa (left) and NIH/3T3 cells (right) labeled with NQO1 (A180) Mouse mAb (green). Actin filaments have been labeled with Alexa Fluor® 555 phalloidin (red). Blue pseudocolor = DRAQ5® #4084 (fluorescent DNA dye).
Immunofluorescence Image 1: NQO1 (A180) Mouse Monoclonal Antibody
Orders: 877-616-CELL (2355) [email protected] Support: 877-678-TECH (8324) [email protected] Web: cellsignal.com
For Research Use Only. Not for Use in Diagnostic Procedures.