Revision 7

#13160

Store at -20C

CST Logo
Orders:

877-616-CELL (2355)

[email protected]

Support:

877-678-TECH (8324)

3 Trask Lane | Danvers | Massachusetts | 01923 | USA

For Research Use Only. Not for Use in Diagnostic Procedures.

Applications:
W, IHC-Bond, IHC-P

Reactivity:
H M R

Sensitivity:
Endogenous

MW (kDa):
70

Source/Isotype:
Rabbit IgG

UniProt ID:
#P21589

Entrez-Gene Id:
4907

Product Usage Information

Application Dilution
Western Blotting 1:1000
IHC Leica Bond 1:50 - 1:200
Immunohistochemistry (Paraffin) 1:100 - 1:400

Storage

Supplied in 10 mM sodium HEPES (pH 7.5), 150 mM NaCl, 100 µg/ml BSA, 50% glycerol and less than 0.02% sodium azide. Store at –20°C. Do not aliquot the antibody.

For a carrier free (BSA and azide free) version of this product see product #87661.

Specificity/Sensitivity

NT5E/CD73 (D7F9A) Rabbit Monoclonal Antibody recognizes endogenous levels of total NT5E/CD73 protein.

Source / Purification

Monoclonal antibody is produced by immunizing animals with recombinant protein specific to the amino terminus of human NT5E/CD73 protein.

Background

Ecto-5'-nucleotidase (NT5E, also called CD73) is a 70 kDa glycosyl phosphatidylinositol-anchored, membrane-bound glycoprotein that catalyzes the hydrolysis of extracellular nucleoside monophosphates into bioactive nucleosides (1). NT5E catalyzes the terminal step of extracellular adenosine formation from adenosine monophosphate, which drives the regulation of extracellular adenosine levels and the downstream activation of the four G protein-coupled adenosine receptors (2). Binding of hypoxia-inducible factor (HIF-1) to the NT5E gene promoter leads to upregulation of NT5E during hypoxia (3). The biological roles of NT5E include lymphocyte adhesion (4,5), fibrosis (6), and the regulation of nociception (7,8).

Species Reactivity

Species reactivity is determined by testing in at least one approved application (e.g., western blot).

Western Blot Buffer

IMPORTANT: For western blots, incubate membrane with diluted primary antibody in 5% w/v BSA, 1X TBS, 0.1% Tween® 20 at 4°C with gentle shaking, overnight.

Applications Key

W: Western Blotting IHC-Bond: IHC Leica Bond IHC-P: Immunohistochemistry (Paraffin)

Cross-Reactivity Key

H: Human M: Mouse R: Rat

Trademarks and Patents

Cell Signaling Technology is a trademark of Cell Signaling Technology, Inc.

SignalStain is a registered trademark of Cell Signaling Technology, Inc.

All other trademarks are the property of their respective owners. Visit cellsignal.com/trademarks for more information.

Limited Uses

Except as otherwise expressly agreed in a writing signed by a legally authorized representative of CST, the following terms apply to Products provided by CST, its affiliates or its distributors. Any Customer's terms and conditions that are in addition to, or different from, those contained herein, unless separately accepted in writing by a legally authorized representative of CST, are rejected and are of no force or effect.

Products are labeled with For Research Use Only or a similar labeling statement and have not been approved, cleared, or licensed by the FDA or other regulatory foreign or domestic entity, for any purpose. Customer shall not use any Product for any diagnostic or therapeutic purpose, or otherwise in any manner that conflicts with its labeling statement. Products sold or licensed by CST are provided for Customer as the end-user and solely for research and development uses. Any use of Product for diagnostic, prophylactic or therapeutic purposes, or any purchase of Product for resale (alone or as a component) or other commercial purpose, requires a separate license from CST. Customer shall (a) not sell, license, loan, donate or otherwise transfer or make available any Product to any third party, whether alone or in combination with other materials, or use the Products to manufacture any commercial products, (b) not copy, modify, reverse engineer, decompile, disassemble or otherwise attempt to discover the underlying structure or technology of the Products, or use the Products for the purpose of developing any products or services that would compete with CST products or services, (c) not alter or remove from the Products any trademarks, trade names, logos, patent or copyright notices or markings, (d) use the Products solely in accordance with CST Product Terms of Sale and any applicable documentation, and (e) comply with any license, terms of service or similar agreement with respect to any third party products or services used by Customer in connection with the Products.

Orders: 877-616-CELL (2355) [email protected] Support: 877-678-TECH (8324) [email protected] Web: cellsignal.com
For Research Use Only. Not for Use in Diagnostic Procedures.

Revision 7

Cell Signaling Technology Logo
Western blot analysis of extracts from HT-29 and Huh7 cells, and rat eye using NT5E/CD73 (D7F9A) Rabbit mAb.
Western Blotting Image 1: NT5E/CD73 (D7F9A) Rabbit Monoclonal Antibody
Western blot analysis of extracts from HeLa cells, untreated (-) or treated with cobalt chloride (CoCl2, 0.1 mM, 16 hr; +), using NT5E/CD73 (D7F9A) Rabbit mAb (upper) or β-Actin (D6A8) Rabbit mAb #8457 (lower).
Western Blotting Image 2: NT5E/CD73 (D7F9A) Rabbit Monoclonal Antibody
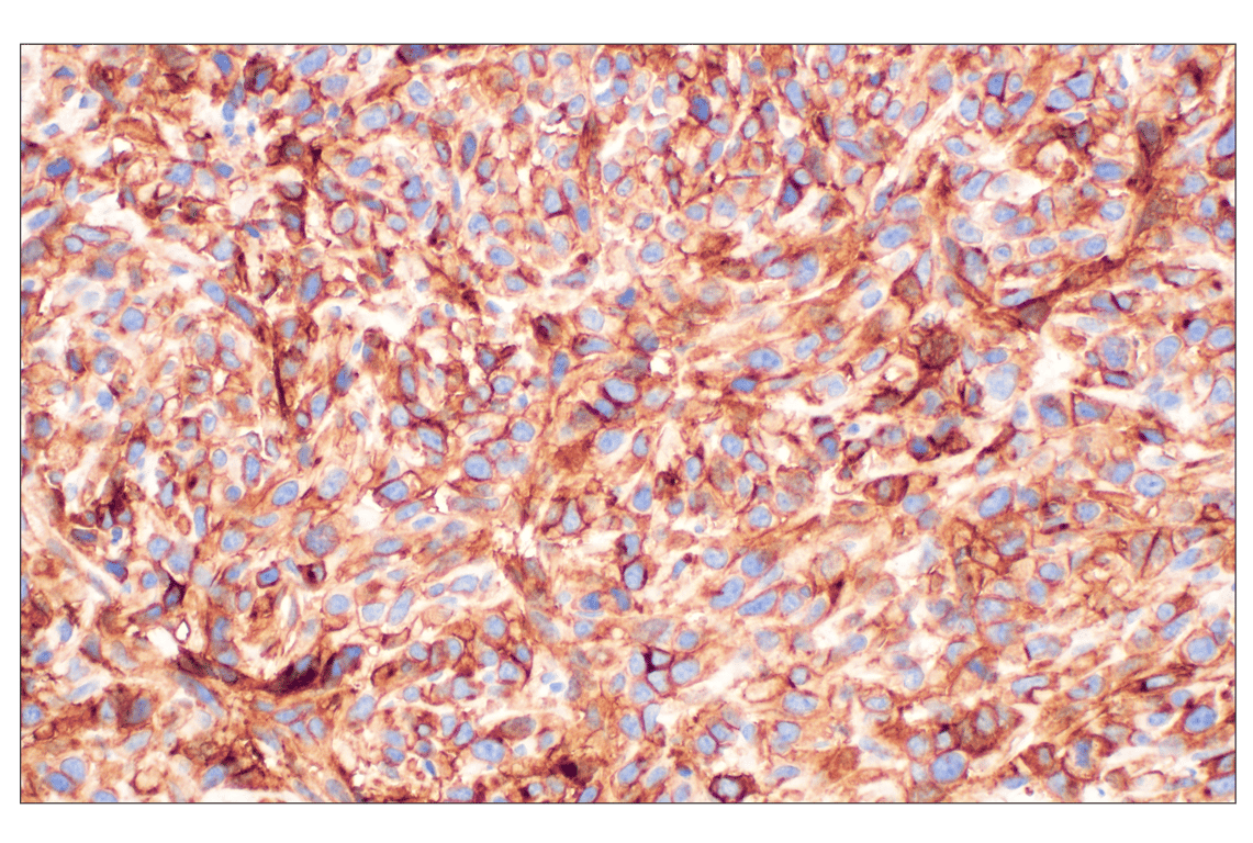
Immunohistochemical analysis of paraffin-embedded human hepatocellular carcinoma using NT5E/CD73 (D7F9A) Rabbit mAb performed on the Leica BOND RX.
Immunohistochemistry Image 1: NT5E/CD73 (D7F9A) Rabbit Monoclonal Antibody
Orders: 877-616-CELL (2355) [email protected] Support: 877-678-TECH (8324) [email protected] Web: cellsignal.com
For Research Use Only. Not for Use in Diagnostic Procedures.

Revision 7

Cell Signaling Technology Logo
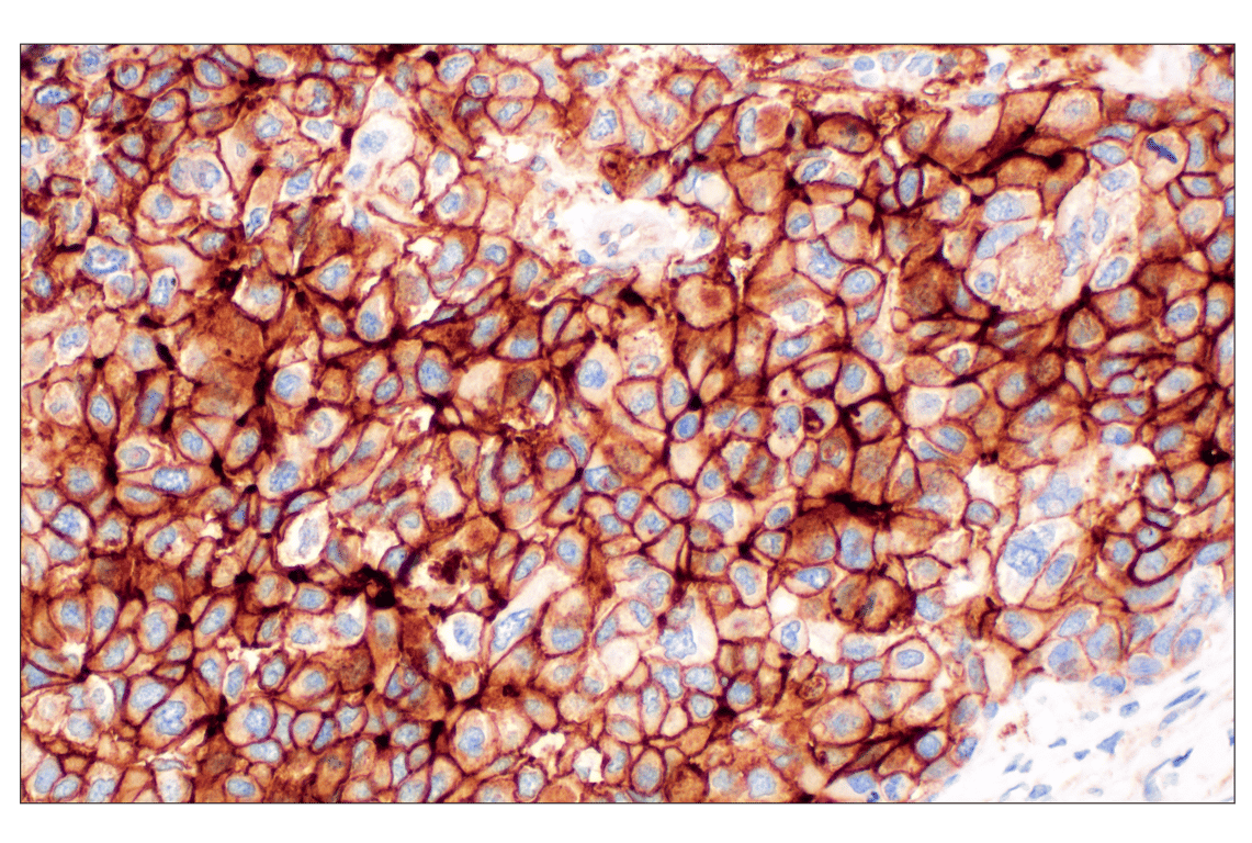
Immunohistochemical analysis of paraffin-embedded human squamous cell carcinoma of the cervix using NT5E/CD73 (D7F9A) Rabbit mAb performed on the Leica BOND RX.
Immunohistochemistry Image 2: NT5E/CD73 (D7F9A) Rabbit Monoclonal Antibody
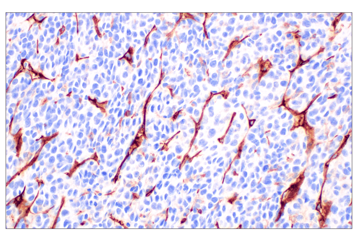
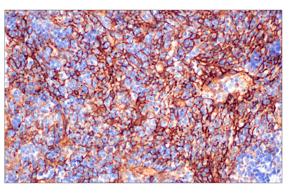
Immunohistochemical analysis of paraffin-embedded human renal cell carcinoma using NT5E/CD73 (D7F9A) Rabbit mAb performed on the Leica BOND RX.
Immunohistochemistry Image 3: NT5E/CD73 (D7F9A) Rabbit Monoclonal Antibody
Immunohistochemical analysis of paraffin-embedded normal human spleen using NT5E/CD73 (D7F9A) Rabbit mAb performed on the Leica BOND RX.
Immunohistochemistry Image 4: NT5E/CD73 (D7F9A) Rabbit Monoclonal Antibody
Orders: 877-616-CELL (2355) [email protected] Support: 877-678-TECH (8324) [email protected] Web: cellsignal.com
For Research Use Only. Not for Use in Diagnostic Procedures.

Revision 7

Cell Signaling Technology Logo
Immunohistochemical analysis of paraffin-embedded 4T1 synegeneic tumor using NT5E/CD73 (D7F9A) Rabbit mAb performed on the Leica BOND RX.
Immunohistochemistry Image 5: NT5E/CD73 (D7F9A) Rabbit Monoclonal Antibody
Immunohistochemical analysis of paraffin-embedded CT26 synegeneic tumor using NT5E/CD73 (D7F9A) Rabbit mAb performed on the Leica BOND RX.
Immunohistochemistry Image 6: NT5E/CD73 (D7F9A) Rabbit Monoclonal Antibody
mousespleen- Immunohistochemical analysis of paraffin-embedded mouse spleen using NT5E/CD73 (D7F9A) Rabbit mAb performed on the Leica BOND RX.
Immunohistochemistry Image 7: NT5E/CD73 (D7F9A) Rabbit Monoclonal Antibody
Orders: 877-616-CELL (2355) [email protected] Support: 877-678-TECH (8324) [email protected] Web: cellsignal.com
For Research Use Only. Not for Use in Diagnostic Procedures.

Revision 7

Cell Signaling Technology Logo
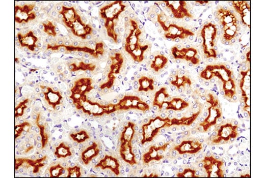
Immunohistochemical analysis of paraffin-embedded rat kidney using NT5E/CD73 (D7F9A) Rabbit mAb.
Immunohistochemistry Image 1: NT5E/CD73 (D7F9A) Rabbit Monoclonal Antibody
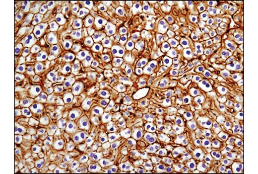
Immunohistochemical analysis of paraffin-embedded mouse liver using NT5E/CD73 (D7F9A) Rabbit mAb.
Immunohistochemistry Image 2: NT5E/CD73 (D7F9A) Rabbit Monoclonal Antibody
Immunohistochemical analysis of paraffin-embedded human lung carcinoma using NT5E/CD73 (D7F9A) Rabbit mAb.
Immunohistochemistry Image 3: NT5E/CD73 (D7F9A) Rabbit Monoclonal Antibody
Orders: 877-616-CELL (2355) [email protected] Support: 877-678-TECH (8324) [email protected] Web: cellsignal.com
For Research Use Only. Not for Use in Diagnostic Procedures.