Revision 5

#14369

Store at -20C

CST Logo
Orders:

877-616-CELL (2355)

[email protected]

Support:

877-678-TECH (8324)

3 Trask Lane | Danvers | Massachusetts | 01923 | USA

For Research Use Only. Not for Use in Diagnostic Procedures.

Applications:
W, IHC-P, FC-FP

Reactivity:
H

Sensitivity:
Endogenous

MW (kDa):
75-78

Source/Isotype:
Rabbit IgG

UniProt ID:
#Q6UX06

Entrez-Gene Id:
10562

Product Usage Information

Application Dilution
Western Blotting 1:1000
Immunohistochemistry (Paraffin) 1:100 - 1:400
Flow Cytometry (Fixed/Permeabilized) 1:50

Storage

Supplied in 10 mM sodium HEPES (pH 7.5), 150 mM NaCl, 100 µg/ml BSA, 50% glycerol and less than 0.02% sodium azide. Store at –20°C. Do not aliquot the antibody.

Specificity/Sensitivity

OLFM4 (D1E4M) XP® Rabbit mAb recognizes endogenous levels of total OLFM4 protein.

Source / Purification

Monoclonal antibody is produced by immunizing animals with a synthetic peptide corresponding to residues surrounding Phe94 of human OLFM4 protein.

Background

Olfactomedin-4 (OLFM4, hGC-1) is a member of the Olfactomedin family, a small group of extracellular proteins defined by the presence of a conserved "Olfactomedin domain" that is thought to facilitate protein-protein interactions (1). OLFM4 is a secreted glycoprotein, which forms disulfide bond-mediated oligomers, and is thought to mediate cell adhesion through its interactions with extracellular matrix proteins such as lectins (2). Human OLFM4 was first cloned from myeloid cells (3) and is expressed in a distinct subset of neutrophils, though the functional significance of this differential expression pattern remains unclear (4). Among normal tissues, the expression of OLFM4 protein is most abundant in intestinal crypts (5), where it has garnered attention as a possible marker of intestinal stem cells (6). Notably, OLFM4 expression is markedly increased in several tumor types, including colorectal, gastric, pancreas, lung, and breast (reviewed in [1]). Furthermore, research studies show that the expression levels of OLFM4 vary in relation to the severity and/or differentiation status of multiple tumor types (1, 6-8), leading to the suggestion that OLFM4 may have utility as a prognostic marker in some cancer patients (9).

Species Reactivity

Species reactivity is determined by testing in at least one approved application (e.g., western blot).

Western Blot Buffer

IMPORTANT: For western blots, incubate membrane with diluted primary antibody in 5% w/v BSA, 1X TBS, 0.1% Tween® 20 at 4°C with gentle shaking, overnight.

Applications Key

W: Western Blotting IHC-P: Immunohistochemistry (Paraffin) FC-FP: Flow Cytometry (Fixed/Permeabilized)

Cross-Reactivity Key

H: Human

Trademarks and Patents

Cell Signaling Technology is a trademark of Cell Signaling Technology, Inc.

SignalStain is a registered trademark of Cell Signaling Technology, Inc.

All other trademarks are the property of their respective owners. Visit cellsignal.com/trademarks for more information.

Limited Uses

Except as otherwise expressly agreed in a writing signed by a legally authorized representative of CST, the following terms apply to Products provided by CST, its affiliates or its distributors. Any Customer's terms and conditions that are in addition to, or different from, those contained herein, unless separately accepted in writing by a legally authorized representative of CST, are rejected and are of no force or effect.

Products are labeled with For Research Use Only or a similar labeling statement and have not been approved, cleared, or licensed by the FDA or other regulatory foreign or domestic entity, for any purpose. Customer shall not use any Product for any diagnostic or therapeutic purpose, or otherwise in any manner that conflicts with its labeling statement. Products sold or licensed by CST are provided for Customer as the end-user and solely for research and development uses. Any use of Product for diagnostic, prophylactic or therapeutic purposes, or any purchase of Product for resale (alone or as a component) or other commercial purpose, requires a separate license from CST. Customer shall (a) not sell, license, loan, donate or otherwise transfer or make available any Product to any third party, whether alone or in combination with other materials, or use the Products to manufacture any commercial products, (b) not copy, modify, reverse engineer, decompile, disassemble or otherwise attempt to discover the underlying structure or technology of the Products, or use the Products for the purpose of developing any products or services that would compete with CST products or services, (c) not alter or remove from the Products any trademarks, trade names, logos, patent or copyright notices or markings, (d) use the Products solely in accordance with CST Product Terms of Sale and any applicable documentation, and (e) comply with any license, terms of service or similar agreement with respect to any third party products or services used by Customer in connection with the Products.

Orders: 877-616-CELL (2355) [email protected] Support: 877-678-TECH (8324) [email protected] Web: cellsignal.com
For Research Use Only. Not for Use in Diagnostic Procedures.

Revision 5

Cell Signaling Technology Logo
Western blot analysis of extracts from human small intestine, colon, and prostate, and two human cancer cell lines (OV-90 and MCF7), using OLFM4 (D1E4M) XP® Rabbit mAb (upper) and β-actin (D6A8) Rabbit mAb #8457 (lower). As expected, OLFM4 protein expression is not detected in MCF7 cells.
Western Blotting Image 1: OLFM4 (D1E4M) Rabbit Monoclonal Antibody
Immunohistochemical analysis of paraffin-embedded normal human colon using OLFM4 (D1E4M) XP® Rabbit mAb.
Immunohistochemistry Image 1: OLFM4 (D1E4M) Rabbit Monoclonal Antibody
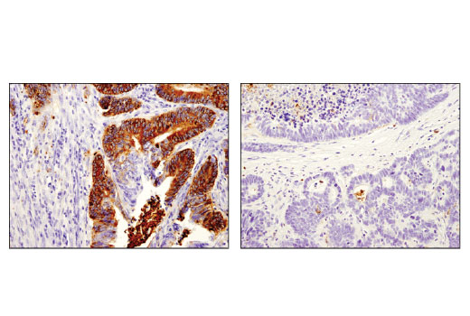
Immunohistochemical analysis of paraffin-embedded human colon carcinoma, stage I (left) and stage IV (right) using OLFM4 (D1E4M) XP® Rabbit mAb. Note the stronger expression in the tumor of the stage I case compared to the stage IV case.
Immunohistochemistry Image 2: OLFM4 (D1E4M) Rabbit Monoclonal Antibody
Orders: 877-616-CELL (2355) [email protected] Support: 877-678-TECH (8324) [email protected] Web: cellsignal.com
For Research Use Only. Not for Use in Diagnostic Procedures.

Revision 5

Cell Signaling Technology Logo
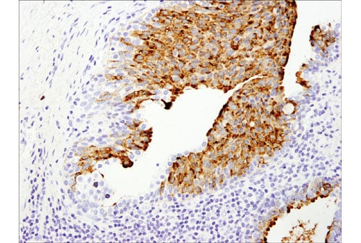
Immunohistochemical analysis of paraffin-embedded human ovarian serous cystadenoma using OLFM4 (D1E4M) XP® Rabbit mAb.
Immunohistochemistry Image 3: OLFM4 (D1E4M) Rabbit Monoclonal Antibody
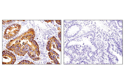
Immunohistochemical analysis of paraffin-embedded human colon carcinoma using OLFM4 (D1E4M) XP® Rabbit mAb in the presence of control peptide (left) or antigen-specific peptide (right).
Immunohistochemistry Image 4: OLFM4 (D1E4M) Rabbit Monoclonal Antibody
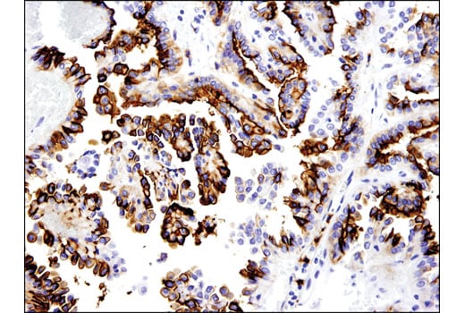
Immunohistochemical analysis of paraffin-embedded human prostate adenocarcinoma using OLFM4 (D1E4M) XP® Rabbit mAb.
Immunohistochemistry Image 5: OLFM4 (D1E4M) Rabbit Monoclonal Antibody
Orders: 877-616-CELL (2355) [email protected] Support: 877-678-TECH (8324) [email protected] Web: cellsignal.com
For Research Use Only. Not for Use in Diagnostic Procedures.

Revision 5

Cell Signaling Technology Logo
Flow cytometric analysis of fixed/permeabilized human whole blood using OLFM4 (D1E4M) XP® Rabbit mAb (right) compared to concentration-matched Rabbit (DA1E) mAb IgG XP® Isotype Control #3900 (left), co-stained with CD11b (violetFluor 450 Conjugate). Anti-rabbit IgG (H+L), F(ab')2 Fragment (Alexa Fluor® 488 Conjugate) #4412 was used as a secondary antibody.
Flow Cytometry Image 1: OLFM4 (D1E4M) Rabbit Monoclonal Antibody
Orders: 877-616-CELL (2355) [email protected] Support: 877-678-TECH (8324) [email protected] Web: cellsignal.com
For Research Use Only. Not for Use in Diagnostic Procedures.