Revision 4

#15849

Store at -20C

CST Logo
Orders:

877-616-CELL (2355)

[email protected]

Support:

877-678-TECH (8324)

3 Trask Lane | Danvers | Massachusetts | 01923 | USA

For Research Use Only. Not for Use in Diagnostic Procedures.

Applications:
W, IHC-P, IF-F

Reactivity:
M R

Sensitivity:
Endogenous

MW (kDa):
27

Source/Isotype:
Rabbit IgG

UniProt ID:
#Q9JKN5

Entrez-Gene Id:
50914

Product Usage Information

Application Dilution
Western Blotting 1:1000
Immunohistochemistry (Paraffin) 1:125 - 1:500
Immunofluorescence (Frozen) 1:400 - 1:800

Storage

Supplied in 10 mM sodium HEPES (pH 7.5), 150 mM NaCl, 100 µg/mL BSA, 50% glycerol, and less than 0.02% sodium azide. Store at –20°C. Do not aliquot the antibody.

For a carrier free (BSA and azide free) version of this product see product #35676.

Specificity/Sensitivity

Olig1 (E3T6D) Rabbit Monoclonal Antibody recognizes endogenous levels of total Olig1 protein. Non-specific plasma membrane staining was observed in a mouse model of B cell lymphoma and spotty cytoplasmic staining of late spermatids was observed in mouse testis by immunohistochemistry.

Source / Purification

Monoclonal antibody is produced by immunizing animals with a synthetic peptide corresponding to residues surrounding Val26 of mouse Olig1 protein.

Background

Oligodendrocyte transcription factor 1 (Olig1) is a basic helix–loop–helix (bHLH) transcription factor expressed in developing and mature oligodendrocytes. Olig1 is involved in oligodendrocyte specification, differentiation, and myelination and plays a crucial role in promoting the commitment of oligodendrocyte progenitor cells (1). Olig1 has also been shown to play an important role in remyelination after injury (2). Because of its role in development and myelination, Olig1 may play a role in neurodevelopmental disorders like Down syndrome and autism spectrum disorder and myelinating diseases like multiple sclerosis (3,4).

Species Reactivity

Species reactivity is determined by testing in at least one approved application (e.g., western blot).

Western Blot Buffer

IMPORTANT: For western blots, incubate membrane with diluted primary antibody in 5% w/v BSA, 1X TBS, 0.1% Tween® 20 at 4°C with gentle shaking, overnight.

Applications Key

W: Western Blotting IHC-P: Immunohistochemistry (Paraffin) IF-F: Immunofluorescence (Frozen)

Cross-Reactivity Key

M: Mouse R: Rat

Trademarks and Patents

Cell Signaling Technology is a trademark of Cell Signaling Technology, Inc.

All other trademarks are the property of their respective owners. Visit cellsignal.com/trademarks for more information.

Limited Uses

Except as otherwise expressly agreed in a writing signed by a legally authorized representative of CST, the following terms apply to Products provided by CST, its affiliates or its distributors. Any Customer's terms and conditions that are in addition to, or different from, those contained herein, unless separately accepted in writing by a legally authorized representative of CST, are rejected and are of no force or effect.

Products are labeled with For Research Use Only or a similar labeling statement and have not been approved, cleared, or licensed by the FDA or other regulatory foreign or domestic entity, for any purpose. Customer shall not use any Product for any diagnostic or therapeutic purpose, or otherwise in any manner that conflicts with its labeling statement. Products sold or licensed by CST are provided for Customer as the end-user and solely for research and development uses. Any use of Product for diagnostic, prophylactic or therapeutic purposes, or any purchase of Product for resale (alone or as a component) or other commercial purpose, requires a separate license from CST. Customer shall (a) not sell, license, loan, donate or otherwise transfer or make available any Product to any third party, whether alone or in combination with other materials, or use the Products to manufacture any commercial products, (b) not copy, modify, reverse engineer, decompile, disassemble or otherwise attempt to discover the underlying structure or technology of the Products, or use the Products for the purpose of developing any products or services that would compete with CST products or services, (c) not alter or remove from the Products any trademarks, trade names, logos, patent or copyright notices or markings, (d) use the Products solely in accordance with CST Product Terms of Sale and any applicable documentation, and (e) comply with any license, terms of service or similar agreement with respect to any third party products or services used by Customer in connection with the Products.

Orders: 877-616-CELL (2355) [email protected] Support: 877-678-TECH (8324) [email protected] Web: cellsignal.com
For Research Use Only. Not for Use in Diagnostic Procedures.

Revision 4

Cell Signaling Technology Logo
Western blot analysis of extracts from various tissues using Olig1 (E3T6D) Rabbit mAb (upper) or β-Actin (D6A8) Rabbit mAb #8457 (lower).
Western Blotting Image 1: Olig1 (E3T6D) Rabbit Monoclonal Antibody
Immunohistochemical analysis of paraffin-embedded mouse cerebellum using Olig1 (E3T6D) Rabbit mAb.
Immunohistochemistry Image 1: Olig1 (E3T6D) Rabbit Monoclonal Antibody

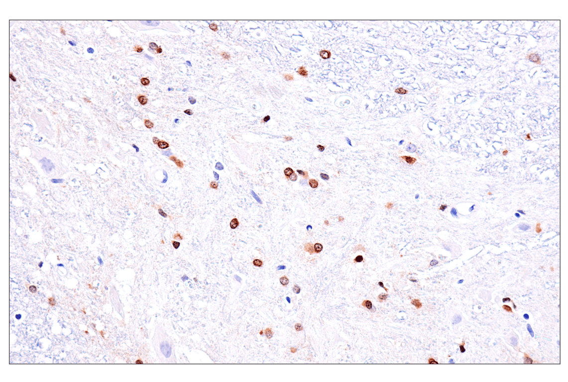
Immunohistochemical analysis of paraffin-embedded mouse medulla oblongata using Olig1 (E3T6D) Rabbit mAb.

Immunohistochemistry Image 2: Olig1 (E3T6D) Rabbit Monoclonal Antibody
Orders: 877-616-CELL (2355) [email protected] Support: 877-678-TECH (8324) [email protected] Web: cellsignal.com
For Research Use Only. Not for Use in Diagnostic Procedures.

Revision 4

Cell Signaling Technology Logo
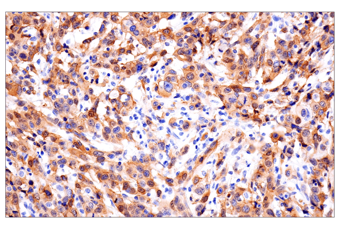
Immunohistochemical analysis of paraffin-embedded GL261 syngeneic tumor using Olig1 (E3T6D) Rabbit mAb.
Immunohistochemistry Image 3: Olig1 (E3T6D) Rabbit Monoclonal Antibody
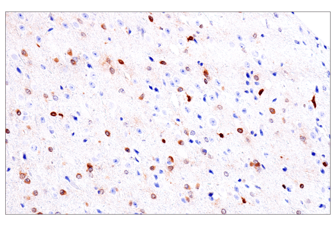
Immunohistochemical analysis of paraffin-embedded rat spinal cord using Olig1 (E3T6D) Rabbit mAb.
Immunohistochemistry Image 4: Olig1 (E3T6D) Rabbit Monoclonal Antibody
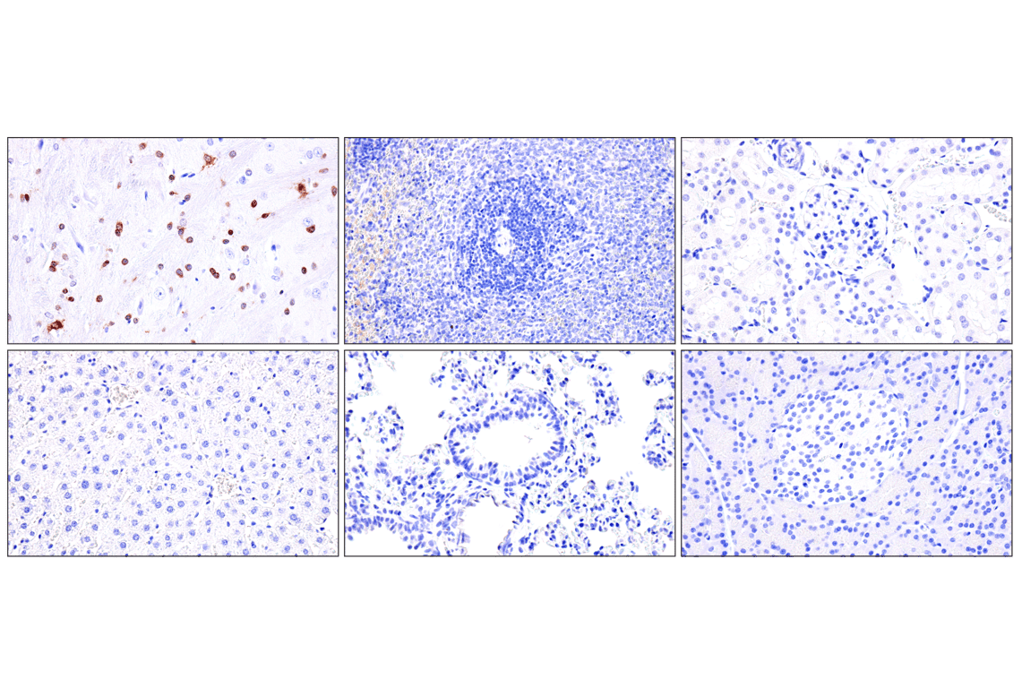
Immunohistochemical analysis of various paraffin-embedded normal rat tissues: brain (left-top), spleen (middle-top), kidney (right-top), liver (left-bottom), lung (middle-bottom), and pancreas (right-bottom) using Olig1 (E3T6D) Rabbit mAb.
Immunohistochemistry Image 5: Olig1 (E3T6D) Rabbit Monoclonal Antibody
Orders: 877-616-CELL (2355) [email protected] Support: 877-678-TECH (8324) [email protected] Web: cellsignal.com
For Research Use Only. Not for Use in Diagnostic Procedures.

Revision 4

Cell Signaling Technology Logo
Immunohistochemical analysis of paraffin-embedded mouse spinal cord using Olig1 (E3T6D) Rabbit mAb (left) compared to concentration-matched Rabbit (DA1E) mAb IgG XP® Isotype Control #3900 (right).
Immunohistochemistry Image 6: Olig1 (E3T6D) Rabbit Monoclonal Antibody
Confocal immunofluorescent analysis of fixed frozen mouse cerebellum, labeled with Olig1 (E3T6D) Rabbit mAb (left, green) and co-labeled with TMEM119 (E4B9S) Mouse mAb #98778 (right, red) and DAPI #4083 (right, blue).
Immunofluorescence Image 1: Olig1 (E3T6D) Rabbit Monoclonal Antibody
Confocal immunofluorescent analysis of fixed frozen mouse spinal cord, labeled with Olig1 (E3T6D) Rabbit mAb (left, green) and co-labeled with TMEM119 (E4B9S) Mouse mAb #98778 (right, red) and DAPI #4083 (right, blue).
Immunofluorescence Image 2: Olig1 (E3T6D) Rabbit Monoclonal Antibody
Orders: 877-616-CELL (2355) [email protected] Support: 877-678-TECH (8324) [email protected] Web: cellsignal.com
For Research Use Only. Not for Use in Diagnostic Procedures.