Revision 2

#71735

Store at -20C

CST Logo
Orders:

877-616-CELL (2355)

[email protected]

Support:

877-678-TECH (8324)

3 Trask Lane | Danvers | Massachusetts | 01923 | USA

For Research Use Only. Not for Use in Diagnostic Procedures.

Applications:
W, IHC-P, IF-F, IF-IC

Reactivity:
H M R

Sensitivity:
Endogenous

MW (kDa):
35

Source/Isotype:
Rabbit IgG

UniProt ID:
#Q13516

Entrez-Gene Id:
10215

Product Usage Information

This product is the carrier-free version of product #65915. All data were generated using the same antibody clone in the standard formulation which contains BSA and glycerol.

This formulation is ideal for use with technologies requiring specialized or custom antibody labeling, including fluorophores, metals, lanthanides, and oligonucleotides. It is not recommended for ChIP, ChIP-seq, CUT&RUN, or CUT&Tag assays. If you require a carrier-free formulation for chromatin profiling, please contact us. Optimal dilutions/concentrations should be determined by the end user.

BSA and Azide Free antibodies are quality control tested by size exclusion chromatography (SEC) to determine antibody integrity.

Formulation

Supplied in 1X PBS (10 mM Na2HPO4, 3 mM KCl, 2 mM KH2PO4, and 140 mM NaCl (pH 7.8)). BSA and Azide Free.

For standard formulation of this product see product #65915.

Storage

Store at -20°C. This product will freeze at -20°C so it is recommended to aliquot into single-use vials to avoid multiple freeze/thaw cycles. A slight precipitate may be present and can be dissolved by gently vortexing. This will not interfere with antibody performance.

Specificity/Sensitivity

Olig2 (E6G6Q) Rabbit Monoclonal Antibody (BSA and Azide Free) recognizes endogenous levels of total Olig2 protein.

Source / Purification

Monoclonal antibody is produced by immunizing animals with recombinant protein specific to the carboxy terminus of human Olig2 protein.

Background

Olig2 is a basic helix–loop–helix (bHLH) transcription factor necessary for oligodendrocyte and motor neuron differentiation and development in the central nervous system (1,2). Olig2 has been shown to play a role in Purkinje cell specification in the early cerebellum (3). Olig2 has also been shown to be a useful marker for primary and mature oligodendrocytes and is universally expressed in diffuse gliomas (4,5).

Species Reactivity

Species reactivity is determined by testing in at least one approved application (e.g., western blot).

Applications Key

W: Western Blotting IHC-P: Immunohistochemistry (Paraffin) IF-F: Immunofluorescence (Frozen) IF-IC: Immunofluorescence (Immunocytochemistry)

Cross-Reactivity Key

H: Human M: Mouse R: Rat

Trademarks and Patents

Cell Signaling Technology is a trademark of Cell Signaling Technology, Inc.

All other trademarks are the property of their respective owners. Visit cellsignal.com/trademarks for more information.

Limited Uses

Except as otherwise expressly agreed in a writing signed by a legally authorized representative of CST, the following terms apply to Products provided by CST, its affiliates or its distributors. Any Customer's terms and conditions that are in addition to, or different from, those contained herein, unless separately accepted in writing by a legally authorized representative of CST, are rejected and are of no force or effect.

Products are labeled with For Research Use Only or a similar labeling statement and have not been approved, cleared, or licensed by the FDA or other regulatory foreign or domestic entity, for any purpose. Customer shall not use any Product for any diagnostic or therapeutic purpose, or otherwise in any manner that conflicts with its labeling statement. Products sold or licensed by CST are provided for Customer as the end-user and solely for research and development uses. Any use of Product for diagnostic, prophylactic or therapeutic purposes, or any purchase of Product for resale (alone or as a component) or other commercial purpose, requires a separate license from CST. Customer shall (a) not sell, license, loan, donate or otherwise transfer or make available any Product to any third party, whether alone or in combination with other materials, or use the Products to manufacture any commercial products, (b) not copy, modify, reverse engineer, decompile, disassemble or otherwise attempt to discover the underlying structure or technology of the Products, or use the Products for the purpose of developing any products or services that would compete with CST products or services, (c) not alter or remove from the Products any trademarks, trade names, logos, patent or copyright notices or markings, (d) use the Products solely in accordance with CST Product Terms of Sale and any applicable documentation, and (e) comply with any license, terms of service or similar agreement with respect to any third party products or services used by Customer in connection with the Products.

Orders: 877-616-CELL (2355) [email protected] Support: 877-678-TECH (8324) [email protected] Web: cellsignal.com
For Research Use Only. Not for Use in Diagnostic Procedures.

Revision 2

Cell Signaling Technology Logo
Western blot analysis of extracts from mouse, rat, and human brain tissue using Olig2 (E6G6Q) XP® Rabbit mAb (upper) or β-Actin (D6A8) Rabbit mAb #8457 (lower). Data were generated using the standard formulation of this product.
Western Blotting Image 1: Olig2 (E6G6Q) Rabbit Monoclonal Antibody (BSA and Azide Free)
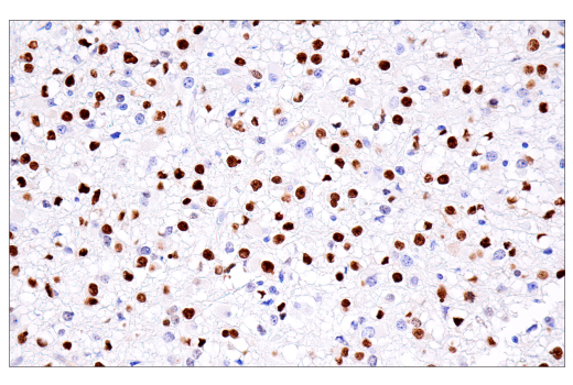
Immunohistochemical analysis of paraffin-embedded human oligodendroglioma using Olig2 (E6G6Q) XP® Rabbit mAb. Data were generated using the standard formulation of this product.
Immunohistochemistry Image 1: Olig2 (E6G6Q) Rabbit Monoclonal Antibody (BSA and Azide Free)
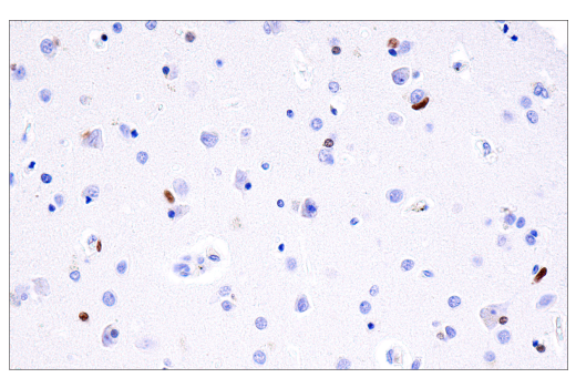
Immunohistochemical analysis of paraffin-embedded normal human brain using Olig2 (E6G6Q) XP® Rabbit mAb. Data were generated using the standard formulation of this product.
Immunohistochemistry Image 2: Olig2 (E6G6Q) Rabbit Monoclonal Antibody (BSA and Azide Free)
Orders: 877-616-CELL (2355) [email protected] Support: 877-678-TECH (8324) [email protected] Web: cellsignal.com
For Research Use Only. Not for Use in Diagnostic Procedures.

Revision 2

Cell Signaling Technology Logo
Immunohistochemical analysis of paraffin-embedded human appendix using Olig2 (E6G6Q) XP® Rabbit mAb. Data were generated using the standard formulation of this product.
Immunohistochemistry Image 3: Olig2 (E6G6Q) Rabbit Monoclonal Antibody (BSA and Azide Free)
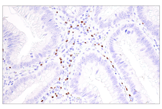
Immunohistochemical analysis of paraffin-embedded human colon carcinoma using Olig2 (E6G6Q) XP® Rabbit mAb. Data were generated using the standard formulation of this product.
Immunohistochemistry Image 4: Olig2 (E6G6Q) Rabbit Monoclonal Antibody (BSA and Azide Free)
Immunohistochemical analysis of paraffin-embedded mouse brain, hippocampus (left), cerebellum (middle), and a nerve fiber tract in the striatum (right) using Olig2 (E6G6Q) XP® Rabbit mAb. Data were generated using the standard formulation of this product.
Immunohistochemistry Image 5: Olig2 (E6G6Q) Rabbit Monoclonal Antibody (BSA and Azide Free)
Orders: 877-616-CELL (2355) [email protected] Support: 877-678-TECH (8324) [email protected] Web: cellsignal.com
For Research Use Only. Not for Use in Diagnostic Procedures.

Revision 2

Cell Signaling Technology Logo
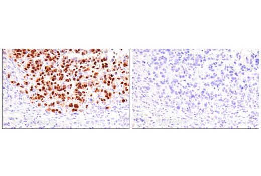
Immunohistochemical analysis of paraffin-embedded GL-261 syngeneic tumor (left, positive) and Renca syngeneic tumor (right, negative) using Olig2 (E6G6Q) XP® Rabbit mAb. Data were generated using the standard formulation of this product.
Immunohistochemistry Image 6: Olig2 (E6G6Q) Rabbit Monoclonal Antibody (BSA and Azide Free)
Immunohistochemical analysis of paraffin-embedded GL-261 syngeneic tumor using Olig2 (E6G6Q) XP® Rabbit mAb (left) compared to concentration-matched Rabbit (DA1E) mAb IgG XP® Isotype Control #3900 (right). Data were generated using the standard formulation of this product.
Immunohistochemistry Image 7: Olig2 (E6G6Q) Rabbit Monoclonal Antibody (BSA and Azide Free)
Confocal immunofluorescent analysis of fixed frozen postnatal day five (P5) mouse hippocampus, labeled with Olig2 (E6G6Q) XP® Rabbit mAb (left, red) and co-labeled with GFAP (GA5) Mouse mAb (Alexa Fluor® 488 Conjugate) #3655 (right, green) and DAPI #4083 (right, blue). Data were generated using the standard formulation of this product.
Immunofluorescence Image 1: Olig2 (E6G6Q) Rabbit Monoclonal Antibody (BSA and Azide Free)
Orders: 877-616-CELL (2355) [email protected] Support: 877-678-TECH (8324) [email protected] Web: cellsignal.com
For Research Use Only. Not for Use in Diagnostic Procedures.

Revision 2

Cell Signaling Technology Logo
Confocal immunofluorescent analysis of fixed frozen mouse cerebellum, labeled with Olig2 (E6G6Q) XP® Rabbit mAb (left, red) and co-labeled with GFAP (GA5) Mouse mAb (Alexa Fluor® 488 Conjugate) #3655 (right, green) and DAPI #4083 (right, blue). Data were generated using the standard formulation of this product.
Immunofluorescence Image 2: Olig2 (E6G6Q) Rabbit Monoclonal Antibody (BSA and Azide Free)
Confocal immunofluorescent analysis of SK-MEL-5 cells (left, positive) and SK-OV-3 (right, negative) using Olig2 (E6G6Q) XP® Rabbit mAb (green), DyLight 554 Phailoidin #13054 (red), and DAPI #4083 (blue). Data were generated using the standard formulation of this product.
Immunofluorescence Image 1: Olig2 (E6G6Q) Rabbit Monoclonal Antibody (BSA and Azide Free)
Orders: 877-616-CELL (2355) [email protected] Support: 877-678-TECH (8324) [email protected] Web: cellsignal.com
For Research Use Only. Not for Use in Diagnostic Procedures.