Revision 7

#65915

Store at -20C

CST Logo
Orders:

877-616-CELL (2355)

[email protected]

Support:

877-678-TECH (8324)

3 Trask Lane | Danvers | Massachusetts | 01923 | USA

For Research Use Only. Not for Use in Diagnostic Procedures.

Applications:
W, W-S, IP, IHC-P, IF-F, IF-IC

Reactivity:
H M R

Sensitivity:
Endogenous

MW (kDa):
35

Source/Isotype:
Rabbit IgG

UniProt ID:
#Q13516

Entrez-Gene Id:
10215

Product Usage Information

Application Dilution
Western Blotting 1:1000
Simple Western™ 1:50 - 1:250
Immunoprecipitation 1:50
Immunohistochemistry (Paraffin) 1:50 - 1:200
Immunofluorescence (Frozen) 1:100 - 1:400
Immunofluorescence (Immunocytochemistry) 1:200 - 1:800

Storage

Supplied in 10 mM sodium HEPES (pH 7.5), 150 mM NaCl, 100 µg/ml BSA, 50% glycerol and less than 0.02% sodium azide. Store at –20°C. Do not aliquot the antibody.

For a carrier free (BSA and azide free) version of this product see product #71735.

Specificity/Sensitivity

Olig2 (E6G6Q) Rabbit Monoclonal Antibody recognizes endogenous levels of total Olig2 protein.

Source / Purification

Monoclonal antibody is produced by immunizing animals with recombinant protein specific to the carboxy terminus of human Olig2 protein.

Background

Olig2 is a basic helix–loop–helix (bHLH) transcription factor necessary for oligodendrocyte and motor neuron differentiation and development in the central nervous system (1,2). Olig2 has been shown to play a role in Purkinje cell specification in the early cerebellum (3). Olig2 has also been shown to be a useful marker for primary and mature oligodendrocytes and is universally expressed in diffuse gliomas (4,5).

Species Reactivity

Species reactivity is determined by testing in at least one approved application (e.g., western blot).

Western Blot Buffer

IMPORTANT: For western blots, incubate membrane with diluted primary antibody in 5% w/v BSA, 1X TBS, 0.1% Tween® 20 at 4°C with gentle shaking, overnight.

Applications Key

W: Western Blotting W-S: Simple Western™ IP: Immunoprecipitation IHC-P: Immunohistochemistry (Paraffin) IF-F: Immunofluorescence (Frozen) IF-IC: Immunofluorescence (Immunocytochemistry)

Cross-Reactivity Key

H: Human M: Mouse R: Rat

Trademarks and Patents

Cell Signaling Technology is a trademark of Cell Signaling Technology, Inc.

Alexa Fluor is a registered trademark of Life Technologies Corporation.

All other trademarks are the property of their respective owners. Visit cellsignal.com/trademarks for more information.

Limited Uses

Except as otherwise expressly agreed in a writing signed by a legally authorized representative of CST, the following terms apply to Products provided by CST, its affiliates or its distributors. Any Customer's terms and conditions that are in addition to, or different from, those contained herein, unless separately accepted in writing by a legally authorized representative of CST, are rejected and are of no force or effect.

Products are labeled with For Research Use Only or a similar labeling statement and have not been approved, cleared, or licensed by the FDA or other regulatory foreign or domestic entity, for any purpose. Customer shall not use any Product for any diagnostic or therapeutic purpose, or otherwise in any manner that conflicts with its labeling statement. Products sold or licensed by CST are provided for Customer as the end-user and solely for research and development uses. Any use of Product for diagnostic, prophylactic or therapeutic purposes, or any purchase of Product for resale (alone or as a component) or other commercial purpose, requires a separate license from CST. Customer shall (a) not sell, license, loan, donate or otherwise transfer or make available any Product to any third party, whether alone or in combination with other materials, or use the Products to manufacture any commercial products, (b) not copy, modify, reverse engineer, decompile, disassemble or otherwise attempt to discover the underlying structure or technology of the Products, or use the Products for the purpose of developing any products or services that would compete with CST products or services, (c) not alter or remove from the Products any trademarks, trade names, logos, patent or copyright notices or markings, (d) use the Products solely in accordance with CST Product Terms of Sale and any applicable documentation, and (e) comply with any license, terms of service or similar agreement with respect to any third party products or services used by Customer in connection with the Products.

Orders: 877-616-CELL (2355) [email protected] Support: 877-678-TECH (8324) [email protected] Web: cellsignal.com
For Research Use Only. Not for Use in Diagnostic Procedures.

Revision 7

Cell Signaling Technology Logo
Western blot analysis of extracts from mouse, rat, and human brain tissue using Olig2 (E6G6Q) XP® Rabbit mAb (upper) and β-Actin (D6A8) Rabbit mAb #8457 (lower).
Western Blotting Image 1: Olig2 (E6G6Q) Rabbit Monoclonal Antibody
Simple Western™ analysis of lysates (0.75 mg/mL) from Mouse Brain tissue using Olig2 (E6G6Q) XP® Rabbit mAb #65915. The virtual lane view (left) shows the target band (as indicated) at 1:50 and 1:250 dilutions of primary antibody. The corresponding electropherogram view (right) plots chemiluminescence by molecular weight along the capillary at 1:50 (blue line) and 1:250 (green line) dilutions of primary antibody. This experiment was performed under reducing conditions on the Jess™ Simple Western instrument from ProteinSimple, a BioTechne brand, using the 12-230 kDa separation module.
Western Blotting Image 1: Olig2 (E6G6Q) Rabbit Monoclonal Antibody
Immunoprecipitation of Olig2 protein from mouse brain tissue extracts. Lane 1 is 10% input, lane 2 is Rabbit (DA1E) mAb IgG XP® Isotype Control #3900, and lane 3 is Olig2 (E6G6Q) XP® Rabbit mAb. Western blot analysis was performed using Olig2 (E6G6Q) XP® Rabbit mAb. Anti-rabbit IgG, HRP-linked Antibody #7074 was used as a secondary antibody.
Immunoprecipitation Image 1: Olig2 (E6G6Q) Rabbit Monoclonal Antibody
Orders: 877-616-CELL (2355) [email protected] Support: 877-678-TECH (8324) [email protected] Web: cellsignal.com
For Research Use Only. Not for Use in Diagnostic Procedures.

Revision 7

Cell Signaling Technology Logo
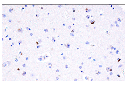
Immunohistochemical analysis of paraffin-embedded normal human brain using Olig2 (E6G6Q) XP® Rabbit mAb.
Immunohistochemistry Image 1: Olig2 (E6G6Q) Rabbit Monoclonal Antibody
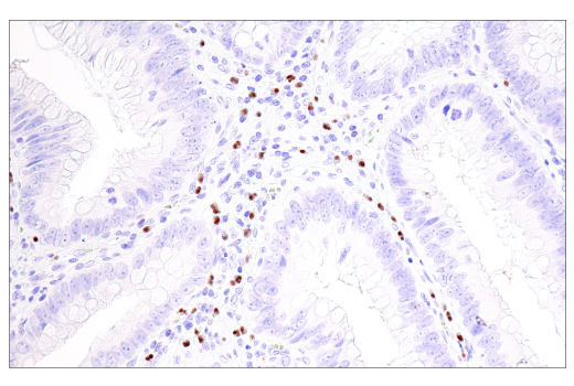
Immunohistochemical analysis of paraffin-embedded human colon carcinoma using Olig2 (E6G6Q) XP® Rabbit mAb.
Immunohistochemistry Image 2: Olig2 (E6G6Q) Rabbit Monoclonal Antibody
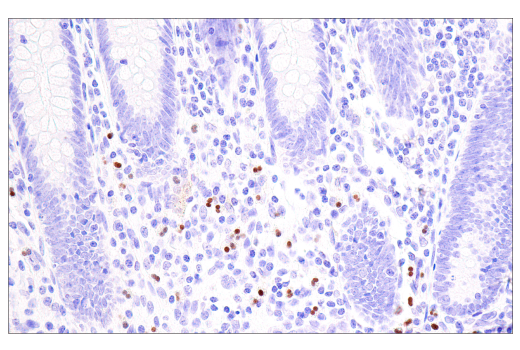
Immunohistochemical analysis of paraffin-embedded human appendix using Olig2 (E6G6Q) XP® Rabbit mAb.
Immunohistochemistry Image 3: Olig2 (E6G6Q) Rabbit Monoclonal Antibody
Orders: 877-616-CELL (2355) [email protected] Support: 877-678-TECH (8324) [email protected] Web: cellsignal.com
For Research Use Only. Not for Use in Diagnostic Procedures.

Revision 7

Cell Signaling Technology Logo
Immunohistochemical analysis of paraffin-embedded mouse brain, hippocampus (left), cerebellum (middle), and a nerve fiber tract in the striatum (right) using Olig2 (E6G6Q) XP® Rabbit mAb.
Immunohistochemistry Image 4: Olig2 (E6G6Q) Rabbit Monoclonal Antibody
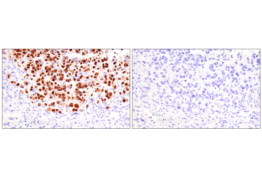
Immunohistochemical analysis of paraffin-embedded GL261 syngeneic tumor (left, positive) and Renca syngeneic tumor (right, negative) using Olig2 (E6G6Q) XP® Rabbit mAb.
Immunohistochemistry Image 5: Olig2 (E6G6Q) Rabbit Monoclonal Antibody
Immunohistochemical analysis of paraffin-embedded GL261 syngeneic tumor using Olig2 (E6G6Q) XP® Rabbit mAb (left) compared to concentration-matched Rabbit (DA1E) mAb IgG XP® Isotype Control #3900 (right).
Immunohistochemistry Image 6: Olig2 (E6G6Q) Rabbit Monoclonal Antibody
Orders: 877-616-CELL (2355) [email protected] Support: 877-678-TECH (8324) [email protected] Web: cellsignal.com
For Research Use Only. Not for Use in Diagnostic Procedures.

Revision 7

Cell Signaling Technology Logo
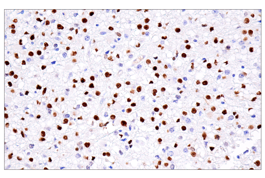
Immunohistochemical analysis of paraffin-embedded human oligodendroglioma using Olig2 (E6G6Q) XP® Rabbit mAb.
Immunohistochemistry Image 7: Olig2 (E6G6Q) Rabbit Monoclonal Antibody
Confocal immunofluorescent analysis of fixed frozen mouse cerebellum, labeled with Olig2 (E6G6Q) XP® Rabbit mAb (left, red) and co-labeled with GFAP (GA5) Mouse mAb (Alexa Fluor® 488 Conjugate) #3655 (right, green) and DAPI #4083 (right, blue).
Immunofluorescence Image 1: Olig2 (E6G6Q) Rabbit Monoclonal Antibody
Confocal immunofluorescent analysis of fixed frozen postnatal day five (P5) mouse hippocampus, labeled with Olig2 (E6G6Q) XP® Rabbit mAb (left, red) and co-labeled with GFAP (GA5) Mouse mAb (Alexa Fluor® 488 Conjugate) #3655 (right, green) and DAPI #4083 (right, blue).
Immunofluorescence Image 2: Olig2 (E6G6Q) Rabbit Monoclonal Antibody
Orders: 877-616-CELL (2355) [email protected] Support: 877-678-TECH (8324) [email protected] Web: cellsignal.com
For Research Use Only. Not for Use in Diagnostic Procedures.

Revision 7

Cell Signaling Technology Logo
Confocal immunofluorescent analysis of SK-MEL-5 cells (left, positive) and SK-OV-3 cells (right, negative) using Olig2 (E6G6Q) XP® Rabbit mAb (green), DyLight 554 Phalloidin #13054 (red), and DAPI #4083 (blue).
Immunofluorescence Image 1: Olig2 (E6G6Q) Rabbit Monoclonal Antibody
Orders: 877-616-CELL (2355) [email protected] Support: 877-678-TECH (8324) [email protected] Web: cellsignal.com
For Research Use Only. Not for Use in Diagnostic Procedures.