Revision 3

#67589

Store at -20C

CST Logo
Orders:

877-616-CELL (2355)

[email protected]

Support:

877-678-TECH (8324)

3 Trask Lane | Danvers | Massachusetts | 01923 | USA

For Research Use Only. Not for Use in Diagnostic Procedures.

Applications:
W, IP, IF-IC

Reactivity:
H

Sensitivity:
Endogenous

MW (kDa):
80-100

Source/Isotype:
Rabbit IgG

UniProt ID:
#O60313

Entrez-Gene Id:
4976

Product Usage Information

Application Dilution
Western Blotting 1:1000
Immunoprecipitation 1:100
Immunofluorescence (Immunocytochemistry) 1:800

Storage

Supplied in 10 mM sodium HEPES (pH 7.5), 150 mM NaCl, 100 µg/ml BSA, 50% glycerol and less than 0.02% sodium azide. Store at –20°C. Do not aliquot the antibody.

For a carrier free (BSA and azide free) version of this product see product #63366.

Specificity/Sensitivity

OPA1 (D7C1A) Rabbit Monoclonal Antibody recognizes endogenous levels of total OPA1 protein.

Source / Purification

Monoclonal antibody is produced by immunizing animals with recombinant protein specific to a central region of human OPA1 protein.

Background

Changes in mitochondrial dynamics regulated by environmental cues affect mitochondrial size and shape and have been shown to dramatically impact mitochondrial metabolism, apoptosis, and autophagy (1). These processes are largely controlled by mitochondrial dynamin-related GTPases, including mitofusin-1, mitofusin-2, OPA1, and DRP1. DRP1 regulates mitochondrial fission, while the mitofusins and OPA1 control fusion at the outer and inner mitochondrial membrane, respectively.

OPA1, or Optic Atrophy 1, was originally identified as a genetic cause for Autosomal Dominant Optic Atrophy, a neuropathy resulting in progressive visual loss (2,3). OPA1 is a widely expressed protein localized to the inner mitochondrial membrane, which regulates mitochondrial fusion and cristae morphology and protects against apoptosis (4-6). OPA1 activity is tightly regulated through alternative splicing and post-translational modifications including complex proteolytic processing by multiple proteases (7-12). In addition, OPA1 expression can be induced under conditions of metabolic demand through a pathway involving Parkin induced NF-κB activation (13).

Species Reactivity

Species reactivity is determined by testing in at least one approved application (e.g., western blot).

Western Blot Buffer

IMPORTANT: For western blots, incubate membrane with diluted primary antibody in 5% w/v BSA, 1X TBS, 0.1% Tween® 20 at 4°C with gentle shaking, overnight.

Applications Key

W: Western Blotting IP: Immunoprecipitation IF-IC: Immunofluorescence (Immunocytochemistry)

Cross-Reactivity Key

H: Human

Trademarks and Patents

Cell Signaling Technology is a trademark of Cell Signaling Technology, Inc.

SignalSilence is a registered trademark of Cell Signaling Technology, Inc.

All other trademarks are the property of their respective owners. Visit cellsignal.com/trademarks for more information.

Limited Uses

Except as otherwise expressly agreed in a writing signed by a legally authorized representative of CST, the following terms apply to Products provided by CST, its affiliates or its distributors. Any Customer's terms and conditions that are in addition to, or different from, those contained herein, unless separately accepted in writing by a legally authorized representative of CST, are rejected and are of no force or effect.

Products are labeled with For Research Use Only or a similar labeling statement and have not been approved, cleared, or licensed by the FDA or other regulatory foreign or domestic entity, for any purpose. Customer shall not use any Product for any diagnostic or therapeutic purpose, or otherwise in any manner that conflicts with its labeling statement. Products sold or licensed by CST are provided for Customer as the end-user and solely for research and development uses. Any use of Product for diagnostic, prophylactic or therapeutic purposes, or any purchase of Product for resale (alone or as a component) or other commercial purpose, requires a separate license from CST. Customer shall (a) not sell, license, loan, donate or otherwise transfer or make available any Product to any third party, whether alone or in combination with other materials, or use the Products to manufacture any commercial products, (b) not copy, modify, reverse engineer, decompile, disassemble or otherwise attempt to discover the underlying structure or technology of the Products, or use the Products for the purpose of developing any products or services that would compete with CST products or services, (c) not alter or remove from the Products any trademarks, trade names, logos, patent or copyright notices or markings, (d) use the Products solely in accordance with CST Product Terms of Sale and any applicable documentation, and (e) comply with any license, terms of service or similar agreement with respect to any third party products or services used by Customer in connection with the Products.

Orders: 877-616-CELL (2355) [email protected] Support: 877-678-TECH (8324) [email protected] Web: cellsignal.com
For Research Use Only. Not for Use in Diagnostic Procedures.

Revision 3

Cell Signaling Technology Logo
Western blot analysis of extracts from MCF7 or HeLa cells, untreated (-) or treated with carbonyl cyanide 3-chlorophenylhydrazone (CCCP; +) using OPA1 (D7C1A) Rabbit mAb.
Western Blotting Image 1: OPA1 (D7C1A) Rabbit Monoclonal Antibody
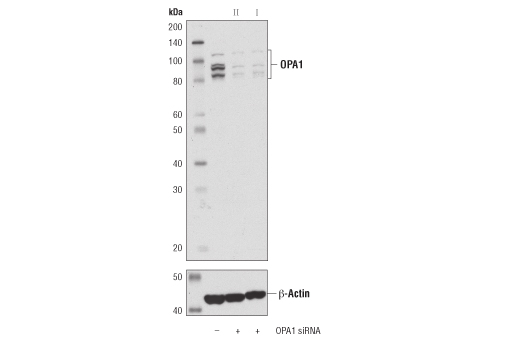
Western blot analysis of extracts from HeLa cells, transfected with 100 nM SignalSilence® Control siRNA (Unconjugated) #6568 (-), SignalSilence® OPA1 siRNA I (+), or SignalSilence® OPA1 siRNA II #89128 (+) using OPA1 (D7C1A) Rabbit mAb #67589 (upper) or β-Actin (D6A8) Rabbit mAb #8457 (lower). The OPA1 (D7C1A) Rabbit mAb confirms silencing of OPA1 expression, while the β-Actin (D6A8) Rabbit mAb is used as a loading control.
Western Blotting Image 2: OPA1 (D7C1A) Rabbit Monoclonal Antibody
Immunoprecipitation of OPA1 from MCF7 cell extracts. Lane 1 represents 10% input, lane 2 is Rabbit (DA1E) mAb IgG XP® Isotype Control #3900, and lane 3 is OPA1 (D7C1A) Rabbit mAb. Western blot was performed using OPA1 (D7C1A) Rabbit mAb. A conformation specific secondary antibody was used to avoid reactivity with IgG.
Immunoprecipitation Image 1: OPA1 (D7C1A) Rabbit Monoclonal Antibody
Orders: 877-616-CELL (2355) [email protected] Support: 877-678-TECH (8324) [email protected] Web: cellsignal.com
For Research Use Only. Not for Use in Diagnostic Procedures.

Revision 3

Cell Signaling Technology Logo
Confocal immunofluorescent analysis of HeLa cells, mock-transfected (left) or transfected with SignalSilence® OPA1 siRNA II (right), using OPA1 (D7C1A) Rabbit mAb (green). Blue pseudocolor = DRAQ5® (fluorescent DNA dye).
Immunofluorescence Image 1: OPA1 (D7C1A) Rabbit Monoclonal Antibody
Orders: 877-616-CELL (2355) [email protected] Support: 877-678-TECH (8324) [email protected] Web: cellsignal.com
For Research Use Only. Not for Use in Diagnostic Procedures.