Revision 1

#16743

Store at -20C

CST Logo
Orders:

877-616-CELL (2355)

[email protected]

Support:

877-678-TECH (8324)

3 Trask Lane | Danvers | Massachusetts | 01923 | USA

For Research Use Only. Not for Use in Diagnostic Procedures.

Applications:
IHC-P, IF-F

Reactivity:
H M R

Sensitivity:
Endogenous (IHC-P, IF-F), Transfected (W)

MW (kDa):
16

Source/Isotype:
Rabbit IgG

UniProt ID:
#O43612

Entrez-Gene Id:
3060

Product Usage Information

Application Dilution
Immunohistochemistry (Paraffin) 1:100
Immunofluorescence (Frozen) 1:50

Storage

Supplied in 10 mM sodium HEPES (pH 7.5), 150 mM NaCl, 100 µg/ml BSA, 50% glycerol and less than 0.02% sodium azide. Store at –20°C. Do not aliquot the antibody.

Specificity/Sensitivity

Orexin (D6G9T) Rabbit Monoclonal Antibody recognizes endogenous levels of total orexin protein.

Source / Purification

Monoclonal antibody is produced by immunizing animals with recombinant protein specific to the sequence of the mature human orexin protein.

Background

Orexin, also called HCRT or hypocretin, is expressed as a precursor that is processed into two biologically active neuropeptides called orexin-A (HCRT1) and orexin-B (HCRT2) (1). Orexin is expressed in the lateral and posterior hypothalamus and plays a role in feeding behavior (1). The orexin neuropeptides act by stimulating the two orexin receptors that belong to the G Protein-Coupled Receptors family (1). Orexin receptor 1 is mostly found in the hypothalamic region, while orexin receptor 2 is also found in the cerebral cortex and the nucleus accumbent (2). Orexin also plays a role in adipocyte homeostasis and is required for brown adipose tissue development, differentiation, and function (3).

Species Reactivity

Species reactivity is determined by testing in at least one approved application (e.g., western blot).

Applications Key

IHC-P: Immunohistochemistry (Paraffin) IF-F: Immunofluorescence (Frozen)

Cross-Reactivity Key

H: Human M: Mouse R: Rat

Trademarks and Patents

Cell Signaling Technology is a trademark of Cell Signaling Technology, Inc.

SignalStain is a registered trademark of Cell Signaling Technology, Inc.

All other trademarks are the property of their respective owners. Visit cellsignal.com/trademarks for more information.

Limited Uses

Except as otherwise expressly agreed in a writing signed by a legally authorized representative of CST, the following terms apply to Products provided by CST, its affiliates or its distributors. Any Customer's terms and conditions that are in addition to, or different from, those contained herein, unless separately accepted in writing by a legally authorized representative of CST, are rejected and are of no force or effect.

Products are labeled with For Research Use Only or a similar labeling statement and have not been approved, cleared, or licensed by the FDA or other regulatory foreign or domestic entity, for any purpose. Customer shall not use any Product for any diagnostic or therapeutic purpose, or otherwise in any manner that conflicts with its labeling statement. Products sold or licensed by CST are provided for Customer as the end-user and solely for research and development uses. Any use of Product for diagnostic, prophylactic or therapeutic purposes, or any purchase of Product for resale (alone or as a component) or other commercial purpose, requires a separate license from CST. Customer shall (a) not sell, license, loan, donate or otherwise transfer or make available any Product to any third party, whether alone or in combination with other materials, or use the Products to manufacture any commercial products, (b) not copy, modify, reverse engineer, decompile, disassemble or otherwise attempt to discover the underlying structure or technology of the Products, or use the Products for the purpose of developing any products or services that would compete with CST products or services, (c) not alter or remove from the Products any trademarks, trade names, logos, patent or copyright notices or markings, (d) use the Products solely in accordance with CST Product Terms of Sale and any applicable documentation, and (e) comply with any license, terms of service or similar agreement with respect to any third party products or services used by Customer in connection with the Products.

Orders: 877-616-CELL (2355) [email protected] Support: 877-678-TECH (8324) [email protected] Web: cellsignal.com
For Research Use Only. Not for Use in Diagnostic Procedures.

Revision 1

Cell Signaling Technology Logo
Immunohistochemical analysis of paraffin-embedded human brain using Orexin (D6G9T) Rabbit mAb.
Immunohistochemistry Image 1: Orexin (D6G9T) Rabbit Monoclonal Antibody
Immunohistochemical analysis of paraffin-embedded mouse hypothalamus using Orexin (D6G9T) Rabbit mAb, 5X objective (left) and 20X objective (right).
Immunohistochemistry Image 2: Orexin (D6G9T) Rabbit Monoclonal Antibody
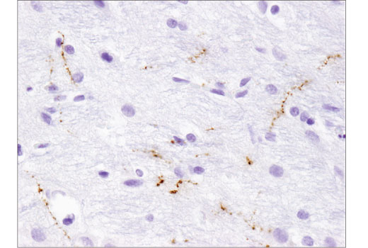
Immunohistochemical analysis of paraffin-embedded rat brain using Orexin (D6G9T) Rabbit mAb.
Immunohistochemistry Image 3: Orexin (D6G9T) Rabbit Monoclonal Antibody
Orders: 877-616-CELL (2355) [email protected] Support: 877-678-TECH (8324) [email protected] Web: cellsignal.com
For Research Use Only. Not for Use in Diagnostic Procedures.

Revision 1

Cell Signaling Technology Logo
Confocal immunofluorescent analysis of mouse hypothalamus using Orexin (D6G9T) Rabbit mAb (green) and GFAP (GA5) Mouse mAb (red). Blue pseudocolor = DRAQ5® #4084 (fluorescent DNA dye).
Immunofluorescence Image 1: Orexin (D6G9T) Rabbit Monoclonal Antibody
Orders: 877-616-CELL (2355) [email protected] Support: 877-678-TECH (8324) [email protected] Web: cellsignal.com
For Research Use Only. Not for Use in Diagnostic Procedures.