Revision 2

#8653

Store at -20C

CST Logo
Orders:

877-616-CELL (2355)

[email protected]

Support:

877-678-TECH (8324)

3 Trask Lane | Danvers | Massachusetts | 01923 | USA

For Research Use Only. Not for Use in Diagnostic Procedures.

Product Includes Product # Quantity Mol. Wt Isotype/Source
AIF (D39D2) Rabbit Monoclonal Antibody531820 µl67 kDaRabbit IgG
EEA1 (C45B10) Rabbit Monoclonal Antibody328820 µl170 kDaRabbit IgG
LAMP1 (D2D11) Rabbit Monoclonal Antibody909120 µl42 (non-glycosylated), 90-120 (glycosylated) kDaRabbit IgG
PDI (C81H6) Rabbit Monoclonal Antibody350120 µl57 kDaRabbit
RCAS1 (D2B6N) Rabbit Monoclonal Antibody1229020 µl32 kDaRabbit IgG

Please visit cellsignal.com for individual component applications, species cross-reactivity, dilutions, protocols, and additional product information.

Description

The Organelle Localization IF Antibody Sampler Kit provides an economical means for identification of cellular organelles by fluorescence immunocytochemistry (IF-IC). This kit includes enough primary antibody to perform at least twenty IF-IC tests or two western blots with each antibody.

Storage

Supplied in 10 mM sodium HEPES (pH 7.5), 150 mM NaCl, 100 µg/ml BSA, 50% glycerol and less than 0.02% sodium azide. Store at –20°C. Do not aliquot the antibody.

Background

Knowledge of the subcellular location of a protein may reveal its potential role in a variety of cellular processes. One can confirm the subcellular location of a marker that colocalizes with one of the organelle-specific antibodies in this kit. While these antibodies serve as powerful tools for immunofluorescence, they may also be used as western blot controls for fractionated cell lysates.

Trademarks and Patents

Cell Signaling Technology is a trademark of Cell Signaling Technology, Inc.

U.S. Patent No. 7,429,487, foreign equivalents, and child patents deriving therefrom.

All other trademarks are the property of their respective owners. Visit cellsignal.com/trademarks for more information.

Limited Uses

Except as otherwise expressly agreed in a writing signed by a legally authorized representative of CST, the following terms apply to Products provided by CST, its affiliates or its distributors. Any Customer's terms and conditions that are in addition to, or different from, those contained herein, unless separately accepted in writing by a legally authorized representative of CST, are rejected and are of no force or effect.

Products are labeled with For Research Use Only or a similar labeling statement and have not been approved, cleared, or licensed by the FDA or other regulatory foreign or domestic entity, for any purpose. Customer shall not use any Product for any diagnostic or therapeutic purpose, or otherwise in any manner that conflicts with its labeling statement. Products sold or licensed by CST are provided for Customer as the end-user and solely for research and development uses. Any use of Product for diagnostic, prophylactic or therapeutic purposes, or any purchase of Product for resale (alone or as a component) or other commercial purpose, requires a separate license from CST. Customer shall (a) not sell, license, loan, donate or otherwise transfer or make available any Product to any third party, whether alone or in combination with other materials, or use the Products to manufacture any commercial products, (b) not copy, modify, reverse engineer, decompile, disassemble or otherwise attempt to discover the underlying structure or technology of the Products, or use the Products for the purpose of developing any products or services that would compete with CST products or services, (c) not alter or remove from the Products any trademarks, trade names, logos, patent or copyright notices or markings, (d) use the Products solely in accordance with CST Product Terms of Sale and any applicable documentation, and (e) comply with any license, terms of service or similar agreement with respect to any third party products or services used by Customer in connection with the Products.

Orders: 877-616-CELL (2355) [email protected] Support: 877-678-TECH (8324) [email protected] Web: cellsignal.com
For Research Use Only. Not for Use in Diagnostic Procedures.

Revision 2

Cell Signaling Technology Logo
Western blot analysis of extracts from various cell lines using RCAS1 (D2B6N) XP® Rabbit mAb.
undefined Image 1: Organelle Localization IF Antibody Sampler Kit
Western blot analysis of extracts from various cell lines using EEA1 (C45B10) Rabbit mAb.
undefined Image 2: Organelle Localization IF Antibody Sampler Kit
Confocal immunofluorescent tile scan of a fixed frozen brain from an amyloid mouse model of Alzheimer's disease using EEA1 (C45B10) Rabbit mAb #3288 (green), GFAP (GA5) Mouse mAb #3670 (red), and DAPI #4083 (blue).
undefined Image 3: Organelle Localization IF Antibody Sampler Kit
Orders: 877-616-CELL (2355) [email protected] Support: 877-678-TECH (8324) [email protected] Web: cellsignal.com
For Research Use Only. Not for Use in Diagnostic Procedures.

Revision 2

Cell Signaling Technology Logo
Confocal immunofluorescent analysis of fixed frozen mouse thalamus, labeled with EEA1 (C45B10) Rabbit mAb #3288 (left, green) and co-labeled with GFAP (GA5) Mouse mAb #3670 (right, red) and DAPI #4083 (right, blue).
undefined Image 4: Organelle Localization IF Antibody Sampler Kit
Confocal immunofluorescent analysis of fixed frozen mouse hippocampus, labeled with EEA1 (C45B10) Rabbit mAb #3288 (left, green) and co-labeled with GFAP (GA5) Mouse mAb #3670 (right, red) and DAPI #4093 (right, blue).
undefined Image 5: Organelle Localization IF Antibody Sampler Kit
Western blot analysis of extracts from various cell types using PDI (C81H6) Rabbit mAb.
undefined Image 6: Organelle Localization IF Antibody Sampler Kit
Orders: 877-616-CELL (2355) [email protected] Support: 877-678-TECH (8324) [email protected] Web: cellsignal.com
For Research Use Only. Not for Use in Diagnostic Procedures.

Revision 2

Cell Signaling Technology Logo
Western blot analysis of extracts from Jurkat, C2C12, and C6 cells using AIF (D39D2) XP® Rabbit mAb.
undefined Image 7: Organelle Localization IF Antibody Sampler Kit
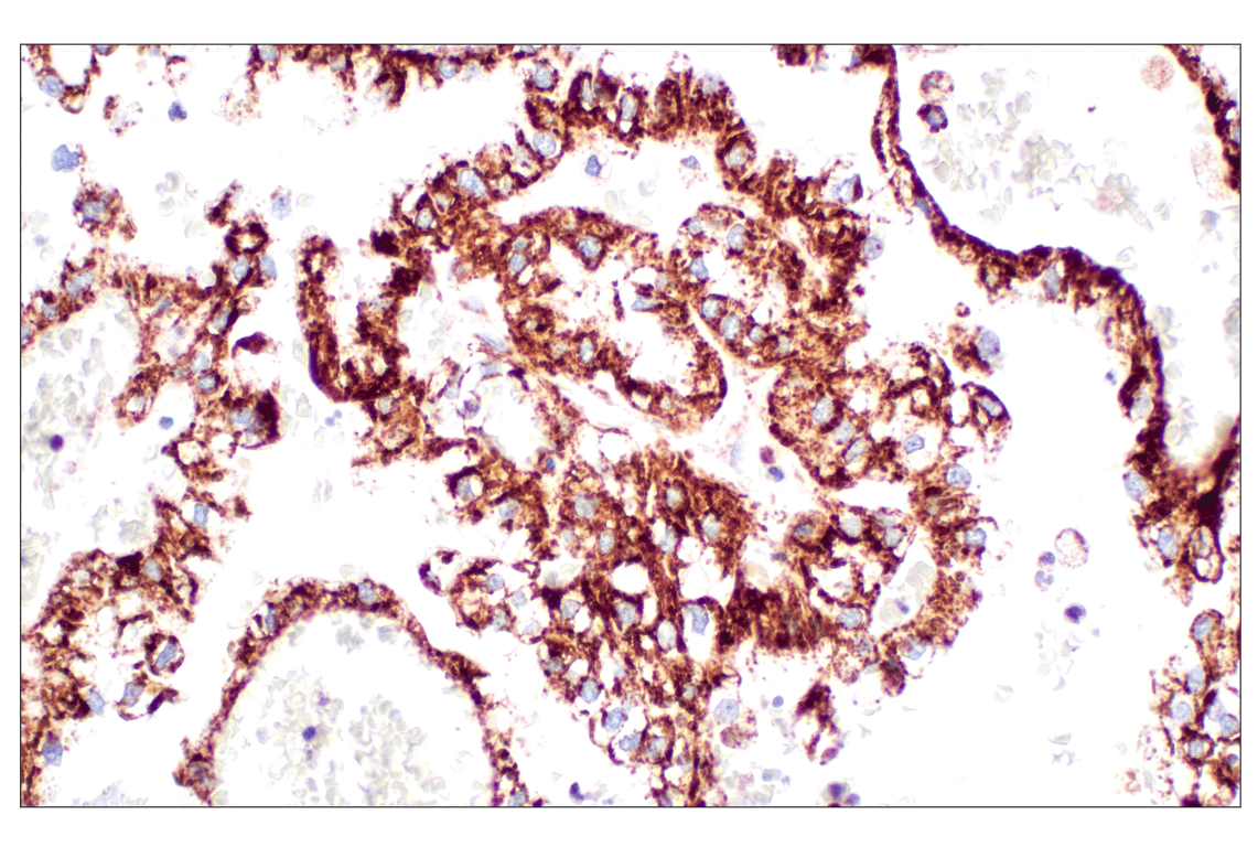
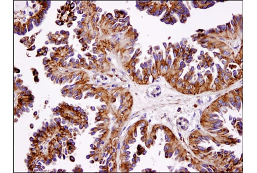
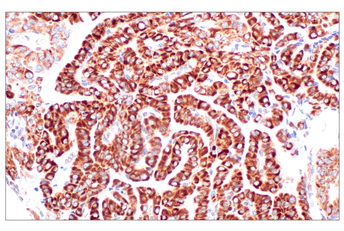
Immunohistochemical analysis of paraffin-embedded human endometrioid adenocarcinoma using AIF (D39D2) XP® Rabbit mAb.
undefined Image 8: Organelle Localization IF Antibody Sampler Kit
Western blot analysis of extracts from various cell lines using LAMP1 (D2D11) XP® Rabbit mAb.
undefined Image 9: Organelle Localization IF Antibody Sampler Kit
Orders: 877-616-CELL (2355) [email protected] Support: 877-678-TECH (8324) [email protected] Web: cellsignal.com
For Research Use Only. Not for Use in Diagnostic Procedures.

Revision 2

Cell Signaling Technology Logo
Western blot analysis of extracts from 293T cells, mock transfected (-) or transfected with a construct expressing Myc/DDK-tagged full-length human RCAS1 (hRCAS1-Myc/DDK; +), using RCAS1 (D2B6N) XP® Rabbit mAb.
undefined Image 10: Organelle Localization IF Antibody Sampler Kit
Confocal immunofluorescent analysis of HeLa cells using EEA1 (C45B10) Rabbit mAb (green). Actin filaments have been labeled with DY-554 phalloidin (red). Blue pseudocolor = DRAQ5™ (fluorescent DNA dye).
undefined Image 11: Organelle Localization IF Antibody Sampler Kit
Immunohistochemical analysis of paraffin-embedded human lung carcinoma using PDI (C81H6) Rabbit mAb.
undefined Image 12: Organelle Localization IF Antibody Sampler Kit
Orders: 877-616-CELL (2355) [email protected] Support: 877-678-TECH (8324) [email protected] Web: cellsignal.com
For Research Use Only. Not for Use in Diagnostic Procedures.

Revision 2

Cell Signaling Technology Logo
Immunohistochemical analysis of paraffin-embedded human papillary thyroid carcinoma using AIF (D39D2) XP® Rabbit mAb.
undefined Image 13: Organelle Localization IF Antibody Sampler Kit
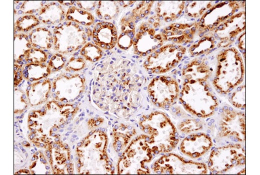
Immunohistochemical analysis of normal human kidney using LAMP1 (D2D11) XP® Rabbit mAb.
undefined Image 14: Organelle Localization IF Antibody Sampler Kit
Immunoprecipitation of RCAS1 from HCT 116 extracts using Rabbit (DA1E) mAb IgG XP® Isotype Control #3900 (lane 2) or RCAS1 (D2B6N) XP® Rabbit mAb (lane 3). Lane 1 is 10% input. Western blot analysis was performed using RCAS1 (D2B6N) XP® Rabbit mAb.
undefined Image 15: Organelle Localization IF Antibody Sampler Kit
Orders: 877-616-CELL (2355) [email protected] Support: 877-678-TECH (8324) [email protected] Web: cellsignal.com
For Research Use Only. Not for Use in Diagnostic Procedures.

Revision 2

Cell Signaling Technology Logo
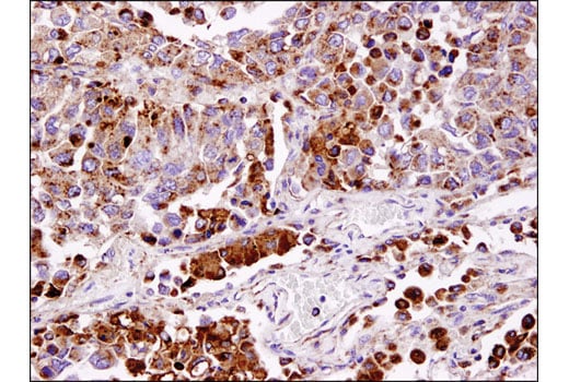
Immunohistochemical analysis of paraffin-embedded human lymphoma using PDI (C81H6) Rabbit mAb.
undefined Image 16: Organelle Localization IF Antibody Sampler Kit
Confocal immunofluorescent analysis of mouse brainstem using AIF (D39D2) XP® Rabbit mAb #5318 (green) and GFAP (GA5) Mouse mAb #3670 (red). Sections were mounted in ProLong® Gold Antifade Reagent with DAPI #8961 (blue).
undefined Image 17: Organelle Localization IF Antibody Sampler Kit
Immunohistochemical analysis of paraffin-embedded human hepatocellular carcinoma using AIF (D39D2) XP® Rabbit mAb.
undefined Image 18: Organelle Localization IF Antibody Sampler Kit
Orders: 877-616-CELL (2355) [email protected] Support: 877-678-TECH (8324) [email protected] Web: cellsignal.com
For Research Use Only. Not for Use in Diagnostic Procedures.

Revision 2

Cell Signaling Technology Logo
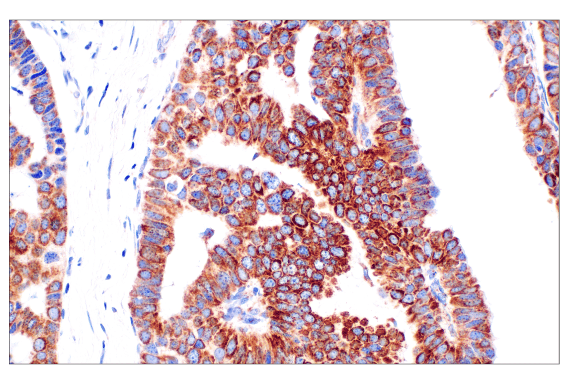
Immunohistochemical analysis of human lung carcinoma using LAMP1 (D2D11) XP® Rabbit mAb.
undefined Image 19: Organelle Localization IF Antibody Sampler Kit
Confocal immunofluorescent analysis of MCF7 cells, untreated (left) or treated with Brefeldin A #9972 (5 μg/ml, 1 hr; right), using RCAS1 (D2B6N) XP® Rabbit mAb (green). Actin filaments were labeled with DY-554 phalloidin (red). Blue pseudocolor = DRAQ5® #4084 (fluorescent DNA dye).
undefined Image 20: Organelle Localization IF Antibody Sampler Kit
Immunohistochemical analysis of paraffin-embedded mouse spleen using PDI (C81H6) Rabbit mAb.
undefined Image 21: Organelle Localization IF Antibody Sampler Kit
Orders: 877-616-CELL (2355) [email protected] Support: 877-678-TECH (8324) [email protected] Web: cellsignal.com
For Research Use Only. Not for Use in Diagnostic Procedures.

Revision 2

Cell Signaling Technology Logo
Confocal immunofluorescent analysis of mouse cerebellum using AIF (D39D2) XP® Rabbit mAb #5318 (green), GFAP (GA5) Mouse mAb #3670 (red), and F4/80 (BM8.1) Rat mAb #71299 (blue).
undefined Image 22: Organelle Localization IF Antibody Sampler Kit
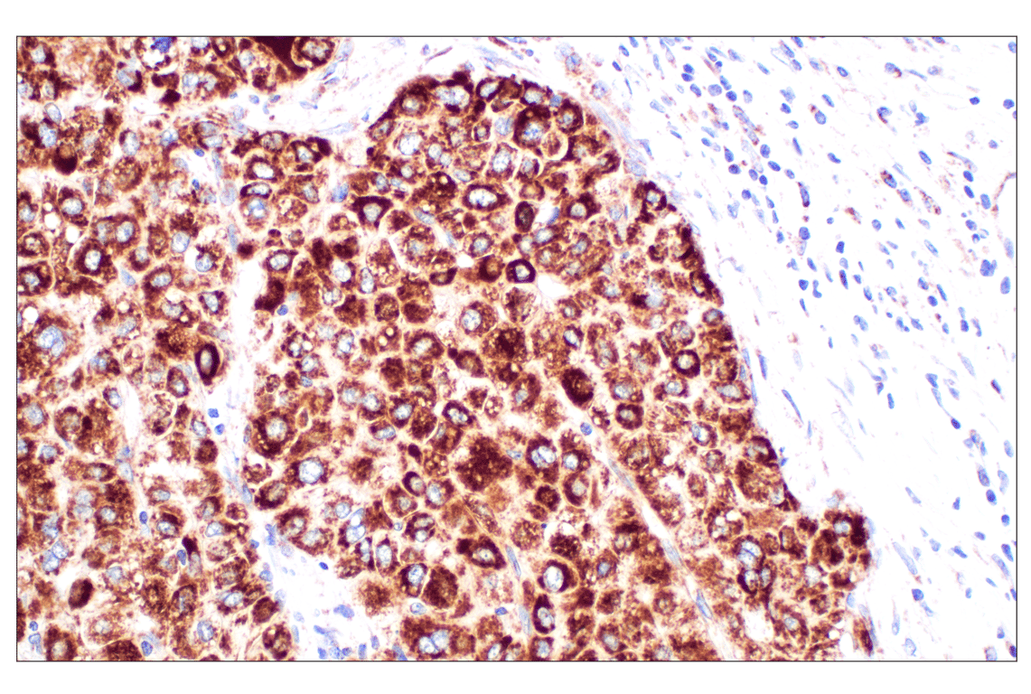
Immunohistochemical analysis of paraffin-embedded human renal cell carcinoma using AIF (D39D2) XP® Rabbit mAb.
undefined Image 23: Organelle Localization IF Antibody Sampler Kit
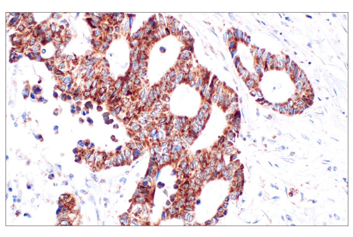
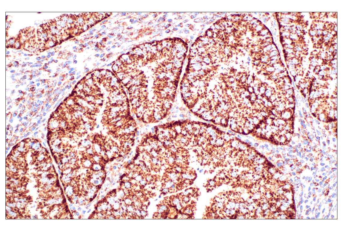
Immunohistochemical analysis of human ovarian serous cystadenoma using LAMP1 (D2D11) XP® Rabbit mAb.
undefined Image 24: Organelle Localization IF Antibody Sampler Kit
Orders: 877-616-CELL (2355) [email protected] Support: 877-678-TECH (8324) [email protected] Web: cellsignal.com
For Research Use Only. Not for Use in Diagnostic Procedures.

Revision 2

Cell Signaling Technology Logo
Flow cytometric analysis of Jurkat cells using RCAS1 (D2B6N) XP® Rabbit mAb (blue) compared to concentration-matched Rabbit (DA1E) mAb IgG XP® Isotype Control #3900 (red).
undefined Image 25: Organelle Localization IF Antibody Sampler Kit
Confocal immunofluorescent analysis of NIH/3T3 cells using PDI (C81H6) Rabbit mAb (green) and β-Actin (8H10D10) Mouse mAb #3700 (red). Blue pseudocolor = DRAQ5® #4084 (fluorescent DNA dye).
undefined Image 26: Organelle Localization IF Antibody Sampler Kit
Confocal immunofluorescent analysis of mouse striatum using AIF (D39D2) XP® Rabbit mAb #5318 (green), GFAP (GA5) Mouse mAb #3670 (red), and F4/80 (BM8.1) Rat mAb #71299 (blue).
undefined Image 27: Organelle Localization IF Antibody Sampler Kit
Orders: 877-616-CELL (2355) [email protected] Support: 877-678-TECH (8324) [email protected] Web: cellsignal.com
For Research Use Only. Not for Use in Diagnostic Procedures.

Revision 2

Cell Signaling Technology Logo
Immunohistochemical analysis of paraffin-embedded human colon adenocarcinoma using AIF (D39D2) XP® Rabbit mAb.
undefined Image 28: Organelle Localization IF Antibody Sampler Kit
Confocal immunofluorescent analysis of HeLa cells using LAMP1 (D2D11) Rabbit Monoclonal Antibody (green), β-Actin (8H10D10) Mouse Monoclonal Antibody #3700 (red), and DAPI #4083 (blue).
undefined Image 29: Organelle Localization IF Antibody Sampler Kit
Confocal immunofluorescent analysis of mouse thalamus using AIF (D39D2) XP® Rabbit mAb #5318 (green), GFAP (GA5) Mouse mAb #3670 (red). Sections were mounted in ProLong® Gold Antifade Reagent with DAPI #8961 (blue).
undefined Image 30: Organelle Localization IF Antibody Sampler Kit
Orders: 877-616-CELL (2355) [email protected] Support: 877-678-TECH (8324) [email protected] Web: cellsignal.com
For Research Use Only. Not for Use in Diagnostic Procedures.

Revision 2

Cell Signaling Technology Logo
Immunohistochemical analysis of paraffin-embedded human papillary carcinoma of the breast using AIF (D39D2) XP® Rabbit mAb.
undefined Image 31: Organelle Localization IF Antibody Sampler Kit
Flow cytometric analysis of Jurkat cells using LAMP1 (D2D11) XP® Rabbit mAb (solid line) compared to concentration-matched Rabbit (DA1E) mAb IgG XP® Isotype Control #3900 (dashed line). Anti-rabbit IgG (H+L), F(ab')2 Fragment (Alexa Fluor® 488 Conjugate) #4412 was used as a secondary antibody.
undefined Image 32: Organelle Localization IF Antibody Sampler Kit
Confocal immunofluorescent analysis of C2C12 cells using AIF (D39D2) XP® Rabbit mAb #5318 (green). Actin filaments were labeled with DY-554 phalloidin (red). Blue pseudocolor = DRAQ5® #4084 (fluorescent DNA dye).
undefined Image 33: Organelle Localization IF Antibody Sampler Kit
Orders: 877-616-CELL (2355) [email protected] Support: 877-678-TECH (8324) [email protected] Web: cellsignal.com
For Research Use Only. Not for Use in Diagnostic Procedures.

Revision 2

Cell Signaling Technology Logo
Immunohistochemical analysis of paraffin-embedded normal human testis using AIF (D39D2) XP® Rabbit mAb.
undefined Image 34: Organelle Localization IF Antibody Sampler Kit
Confocal immunofluorescent analysis of HeLa cells using AIF (D39D2) XP ™ Rabbit mAb (green), showing colocalization with mitochondria that have been labeled with MitoTracker® Red CMXRos (red). Blue pseudocolor = DRAQ5® #4084 (fluorescent DNA dye).
undefined Image 35: Organelle Localization IF Antibody Sampler Kit
Immunohistochemical analysis of paraffin-embedded normal human spleen using AIF (D39D2) XP® Rabbit mAb.
undefined Image 36: Organelle Localization IF Antibody Sampler Kit
Orders: 877-616-CELL (2355) [email protected] Support: 877-678-TECH (8324) [email protected] Web: cellsignal.com
For Research Use Only. Not for Use in Diagnostic Procedures.

Revision 2

Cell Signaling Technology Logo
Immunohistochemical analysis of paraffin-embedded normal human skeletal muscle using AIF (D39D2) XP® Rabbit mAb.
undefined Image 37: Organelle Localization IF Antibody Sampler Kit
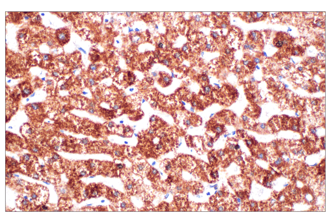
Immunohistochemical analysis of paraffin-embedded normal human liver using AIF (D39D2) XP® Rabbit mAb.
undefined Image 38: Organelle Localization IF Antibody Sampler Kit
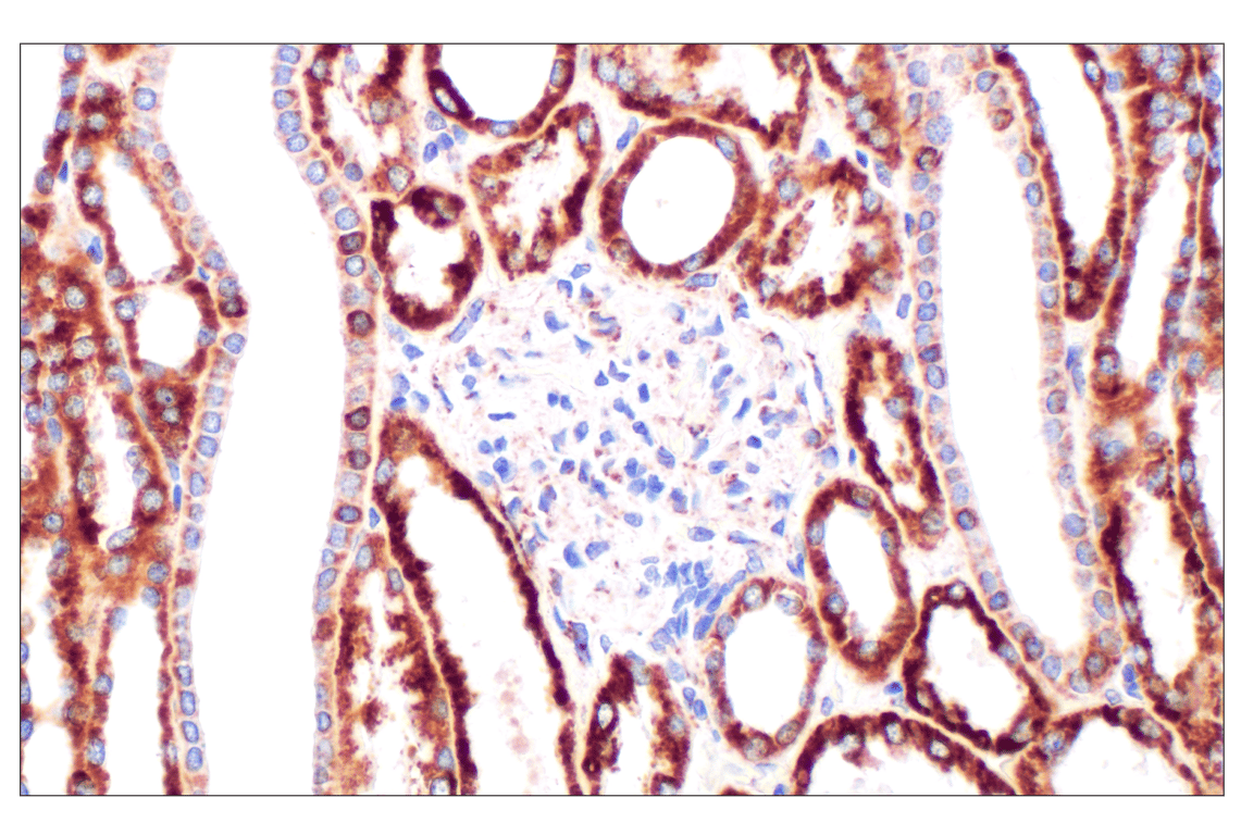
Immunohistochemical analysis of paraffin-embedded normal human kidney using AIF (D39D2) XP® Rabbit mAb.
undefined Image 39: Organelle Localization IF Antibody Sampler Kit
Orders: 877-616-CELL (2355) [email protected] Support: 877-678-TECH (8324) [email protected] Web: cellsignal.com
For Research Use Only. Not for Use in Diagnostic Procedures.

Revision 2

Cell Signaling Technology Logo
Immunohistochemical analysis of paraffin-embedded normal human breast using AIF (D39D2) XP® Rabbit mAb.
undefined Image 40: Organelle Localization IF Antibody Sampler Kit
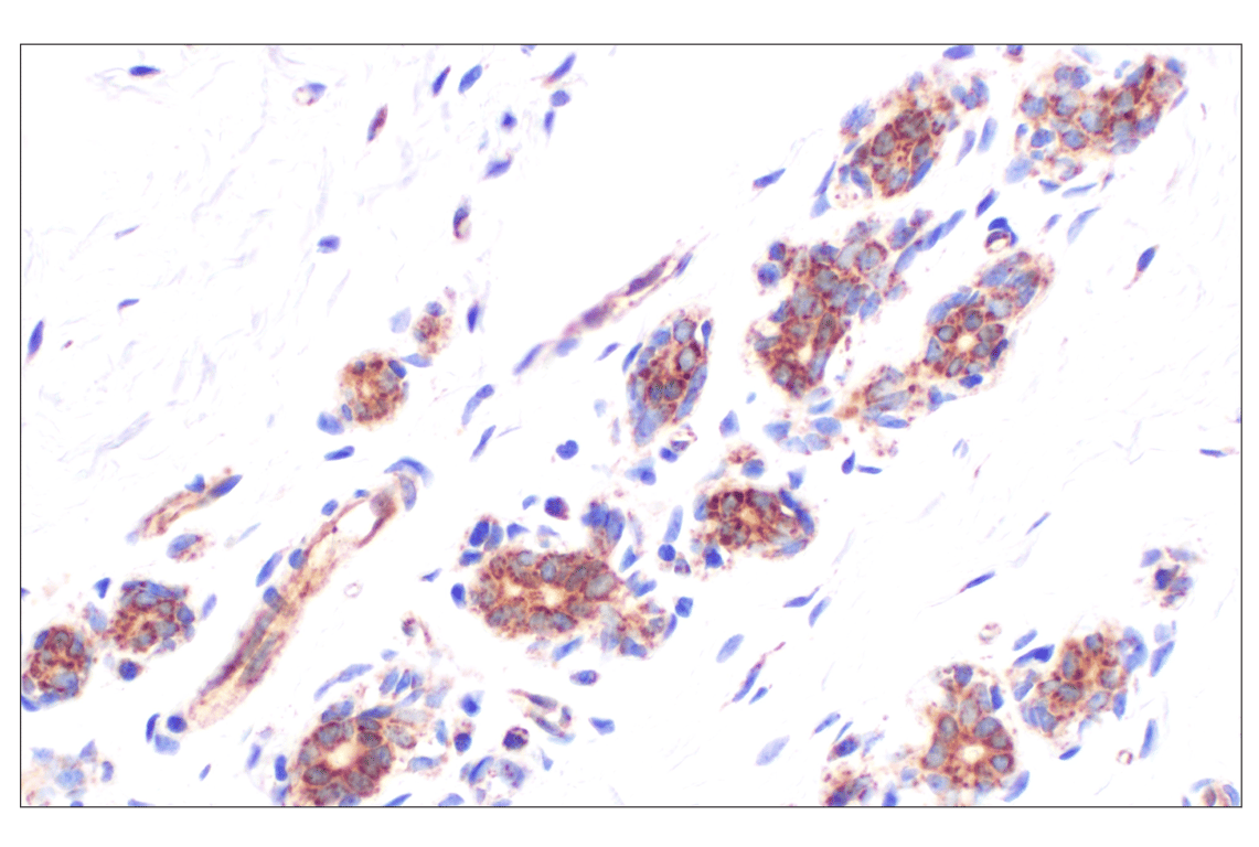
Immunohistochemical analysis of paraffin-embedded A20 syngeneic tumor using AIF (D39D2) XP® Rabbit mAb.
undefined Image 41: Organelle Localization IF Antibody Sampler Kit
Immunohistochemical analysis of paraffin-embedded LL/2 syngeneic tumor using AIF (D39D2) XP® Rabbit mAb.
undefined Image 42: Organelle Localization IF Antibody Sampler Kit
Orders: 877-616-CELL (2355) [email protected] Support: 877-678-TECH (8324) [email protected] Web: cellsignal.com
For Research Use Only. Not for Use in Diagnostic Procedures.

Revision 2

Cell Signaling Technology Logo
Immunohistochemical analysis of paraffin-embedded mouse testis using AIF (D39D2) XP® Rabbit mAb.
undefined Image 43: Organelle Localization IF Antibody Sampler Kit
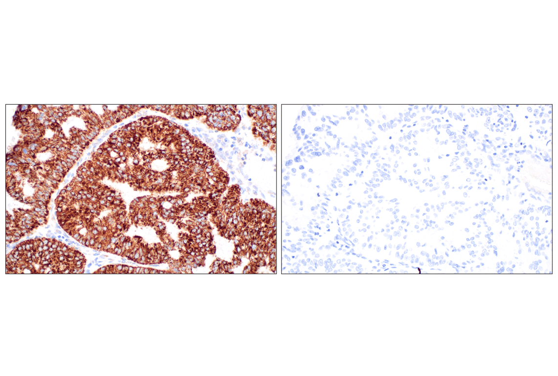
Immunohistochemical analysis of paraffin-embedded human endometrioid adenocarcinoma using AIF (D39D2) XP® Rabbit mAb (left) compared to concentration-matched Rabbit (DA1E) mAb IgG XP® Isotype Control #3900 (right).
undefined Image 44: Organelle Localization IF Antibody Sampler Kit
Confocal immunofluorescent analysis of fixed frozen mouse cerebellum using RCAS1 (D2B6N) XP® Rabbit mAb (green) and ProLong Gold Antifade Reagent with DAPI #8961 (blue).
undefined Image 45: Organelle Localization IF Antibody Sampler Kit
Orders: 877-616-CELL (2355) [email protected] Support: 877-678-TECH (8324) [email protected] Web: cellsignal.com
For Research Use Only. Not for Use in Diagnostic Procedures.

Revision 2

Cell Signaling Technology Logo
Confocal immunofluorescent analysis of fixed frozen mouse kidney using RCAS1 (D2B6N) XP® Rabbit mAb (green) and ProLong Gold Antifade Reagent with DAPI #8961 (blue).
undefined Image 46: Organelle Localization IF Antibody Sampler Kit
Confocal immunofluorescent analysis of human iPSC-derived astrocyte cells at 7 days in vitro using PDI (C81H6) Rabbit mAb (green), GFAP (GA5) Mouse mAb #3670 (red), and DAPI #4083 (blue). iCell Astrocytes 2.0 were kindly provided by FUJIFILM Cellular Dynamics, Inc.
undefined Image 47: Organelle Localization IF Antibody Sampler Kit
Confocal immunofluorescent analysis of fixed frozen mouse spleen using PDI (C81H6) Rabbit mAb and ProLong Gold Antifade Reagent with DAPI #8961 (blue).
undefined Image 48: Organelle Localization IF Antibody Sampler Kit
Orders: 877-616-CELL (2355) [email protected] Support: 877-678-TECH (8324) [email protected] Web: cellsignal.com
For Research Use Only. Not for Use in Diagnostic Procedures.

Revision 2

Cell Signaling Technology Logo
Confocal immunofluorescent analysis of fixed frozen mouse lung using PDI (C81H6) Rabbit mAb and ProLong Gold Antifade Reagent with DAPI #8961 (blue).
undefined Image 49: Organelle Localization IF Antibody Sampler Kit
Immunoprecipitation of AIF protein from Jurkat cell extracts. Lane 1 is 10% input, lane 2 is Rabbit (DA1E) mAb IgG XP® Isotype Control #3900, and lane 3 is AIF (D39D2) XP® Rabbit mAb. Western blot analysis was performed using AIF (D39D2) XP® Rabbit mAb. Anti-rabbit IgG, HRP-linked Antibody #7074 was used as a secondary antibody.
undefined Image 50: Organelle Localization IF Antibody Sampler Kit
Immunoprecipitation of LAMP1 from SNB-19 cell extracts. Lane 1 is 10% input, lane 2 is Rabbit (DA1E) mAb IgG XP® Isotype Control #3900, and lane 3 is LAMP1 (D2D11) XP® Rabbit mAb. Western blot was performed using LAMP1 (D2D11) XP® Rabbit mAb. Anti-rabbit IgG, HRP-linked Antibody #7074 was used as a secondary antibody.
undefined Image 51: Organelle Localization IF Antibody Sampler Kit
Orders: 877-616-CELL (2355) [email protected] Support: 877-678-TECH (8324) [email protected] Web: cellsignal.com
For Research Use Only. Not for Use in Diagnostic Procedures.

Revision 2

Cell Signaling Technology Logo
Confocal immunofluorescent analysis of human iPSC-derived cortical glutamatergic neurons at 7 days in vitro using LAMP1 (D2D11) XP® Rabbit mAb (green), β3-Tubulin (E9F3E) Mouse mAb #45058 (red), and DAPI #4083 (blue). iCell GlutaNeurons were kindly provided by FUJIFILM Cellular Dynamics, Inc.
undefined Image 52: Organelle Localization IF Antibody Sampler Kit
Confocal immunofluorescent analysis of human iPSC-derived astrocyte cells at 7 days in vitro using LAMP1 (D2D11) XP® Rabbit mAb (green), GFAP (GA5) Mouse mAb #3670 (red), and DAPI #4083 (blue). iCell Astrocytes 2.0 were kindly provided by FUJIFILM Cellular Dynamics, Inc.
undefined Image 53: Organelle Localization IF Antibody Sampler Kit
Orders: 877-616-CELL (2355) [email protected] Support: 877-678-TECH (8324) [email protected] Web: cellsignal.com
For Research Use Only. Not for Use in Diagnostic Procedures.