Revision 3

#59757

Store at -20C

CST Logo
Orders:

877-616-CELL (2355)

[email protected]

Support:

877-678-TECH (8324)

3 Trask Lane | Danvers | Massachusetts | 01923 | USA

For Research Use Only. Not for Use in Diagnostic Procedures.

Applications:
W, IHC-P

Reactivity:
H

Sensitivity:
Endogenous (IHC-P), Transfected (W)

MW (kDa):
12

Source/Isotype:
Rabbit IgG

UniProt ID:
#P02818

Entrez-Gene Id:
632

Product Usage Information

Application Dilution
Western Blotting 1:1000
Immunohistochemistry (Paraffin) 1:250 - 1:1000

Storage

Supplied in 10 mM sodium HEPES (pH 7.5), 150 mM NaCl, 100 µg/mL BSA, 50% glycerol, and less than 0.02% sodium azide. Store at –20°C. Do not aliquot the antibody.

Specificity/Sensitivity

Osteocalcin (E8B9X) Rabbit Monoclonal Antibody recognizes endogenous levels of total osteocalcin protein by IHC and transfected levels by western blot. Some non-specific staining was observed in non-bone-associated tissues by immunohistochemistry.

Source / Purification

Monoclonal antibody is produced by immunizing animals with a synthetic peptide corresponding to residues near the carboxy terminus of human osteocalcin protein.

Background

Osteocalcin is a protein that plays a crucial role in bone metabolism. It is also known as bone gamma-carboxyglutamic acid-containing protein (BGLAP). Osteocalcin is primarily synthesized and secreted by osteoblasts, which are bone-forming cells. This protein is involved in several important processes within the skeletal system but has other important biological functions. In bone health, it is an essential component of the bone mineralization process. It binds to hydroxyapatite, a mineral found in bone matrix, which contributes to the mechanical strength and density of bones. It is thought also to be involved in regulating calcium homeostasis, and may have a role in promoting the deposition of calcium ions into bone tissue, helping to maintain proper calcium levels in the bloodstream (1).

Osteocalcin also acts as a hormone that communicates between bone tissue and other organs, such as the pancreas and adipose tissue. It has been implicated in influencing insulin sensitivity and glucose metabolism. Studies suggest that osteocalcin might have a role in improving insulin secretion and reducing insulin resistance. Through downstream effects from its role in insulin signaling, it has been reported to affect a myriad of physiological functions, including male fertility, the acute stress response, exercise, adrenal steroidogenesis, and blood pressure, among other functions. The many studies of osteocalcin have contributed to the model of bone being an endocrine organ, not just a structural component of the skeleton (2).

Species Reactivity

Species reactivity is determined by testing in at least one approved application (e.g., western blot).

Western Blot Buffer

IMPORTANT: For western blots, incubate membrane with diluted primary antibody in 5% w/v nonfat dry milk, 1X TBS, 0.1% Tween® 20 at 4°C with gentle shaking, overnight.

Applications Key

W: Western Blotting IHC-P: Immunohistochemistry (Paraffin)

Cross-Reactivity Key

H: Human

Trademarks and Patents

Cell Signaling Technology is a trademark of Cell Signaling Technology, Inc.

All other trademarks are the property of their respective owners. Visit cellsignal.com/trademarks for more information.

Limited Uses

Except as otherwise expressly agreed in a writing signed by a legally authorized representative of CST, the following terms apply to Products provided by CST, its affiliates or its distributors. Any Customer's terms and conditions that are in addition to, or different from, those contained herein, unless separately accepted in writing by a legally authorized representative of CST, are rejected and are of no force or effect.

Products are labeled with For Research Use Only or a similar labeling statement and have not been approved, cleared, or licensed by the FDA or other regulatory foreign or domestic entity, for any purpose. Customer shall not use any Product for any diagnostic or therapeutic purpose, or otherwise in any manner that conflicts with its labeling statement. Products sold or licensed by CST are provided for Customer as the end-user and solely for research and development uses. Any use of Product for diagnostic, prophylactic or therapeutic purposes, or any purchase of Product for resale (alone or as a component) or other commercial purpose, requires a separate license from CST. Customer shall (a) not sell, license, loan, donate or otherwise transfer or make available any Product to any third party, whether alone or in combination with other materials, or use the Products to manufacture any commercial products, (b) not copy, modify, reverse engineer, decompile, disassemble or otherwise attempt to discover the underlying structure or technology of the Products, or use the Products for the purpose of developing any products or services that would compete with CST products or services, (c) not alter or remove from the Products any trademarks, trade names, logos, patent or copyright notices or markings, (d) use the Products solely in accordance with CST Product Terms of Sale and any applicable documentation, and (e) comply with any license, terms of service or similar agreement with respect to any third party products or services used by Customer in connection with the Products.

Orders: 877-616-CELL (2355) [email protected] Support: 877-678-TECH (8324) [email protected] Web: cellsignal.com
For Research Use Only. Not for Use in Diagnostic Procedures.

Revision 3

Cell Signaling Technology Logo
Western blot analysis of extracts from 293T cells, mock transfected (lane 1) or transiently transfected with plasmid encoding Myc/DDK-tagged osteocalcin protein (lane 2), using Osteocalcin (E8B9X) Rabbit mAb (upper), DYKDDDDK Tag (D6W5B) Rabbit mAb #14793 (middle), or β-Actin (D6A8) Rabbit mAb #8457 (lower).
Western Blotting Image 1: Osteocalcin (E8B9X) Rabbit Monoclonal Antibody
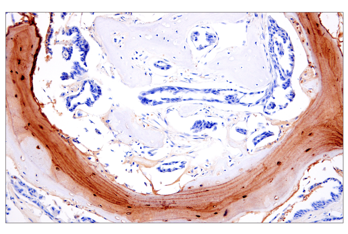
Immunohistochemical analysis of paraffin-embedded human osteosarcoma using Osteocalcin (E8B9X) Rabbit mAb.
Immunohistochemistry Image 1: Osteocalcin (E8B9X) Rabbit Monoclonal Antibody
Immunohistochemical analysis of paraffin-embedded human osteosarcoma using Osteocalcin (E8B9X) Rabbit mAb.
Immunohistochemistry Image 2: Osteocalcin (E8B9X) Rabbit Monoclonal Antibody
Orders: 877-616-CELL (2355) [email protected] Support: 877-678-TECH (8324) [email protected] Web: cellsignal.com
For Research Use Only. Not for Use in Diagnostic Procedures.

Revision 3

Cell Signaling Technology Logo
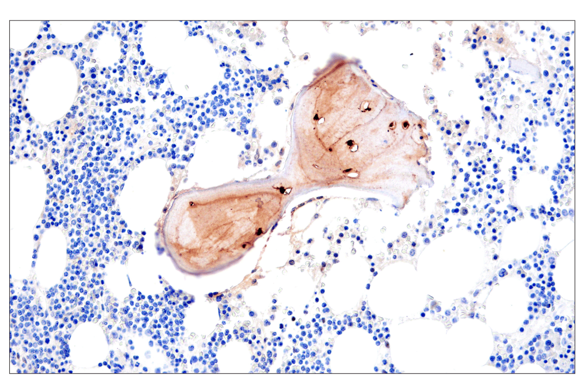
Immunohistochemical analysis of paraffin-embedded human metastatic adenocarcinoma in bone using Osteocalcin (E8B9X) Rabbit mAb.
Immunohistochemistry Image 3: Osteocalcin (E8B9X) Rabbit Monoclonal Antibody

Immunohistochemical analysis of paraffin-embedded human chronic lymphocytic leukemia using Osteocalcin (E8B9X) Rabbit mAb.

Immunohistochemistry Image 4: Osteocalcin (E8B9X) Rabbit Monoclonal Antibody
Immunohistochemical analysis of paraffin-embedded normal human bone using Osteocalcin (E8B9X) Rabbit mAb (left) compared to concentration-matched Rabbit (DA1E) mAb IgG XP® Isotype Control #3900 (right). 
Immunohistochemistry Image 5: Osteocalcin (E8B9X) Rabbit Monoclonal Antibody
Orders: 877-616-CELL (2355) [email protected] Support: 877-678-TECH (8324) [email protected] Web: cellsignal.com
For Research Use Only. Not for Use in Diagnostic Procedures.

Revision 3

Cell Signaling Technology Logo
Immunohistochemical analysis of paraffin-embedded 293T cell pellet, untransfected (left) or osteocalcin-transfected (right), using Osteocalcin (E8B9X) Rabbit mAb.
Immunohistochemistry Image 6: Osteocalcin (E8B9X) Rabbit Monoclonal Antibody
Orders: 877-616-CELL (2355) [email protected] Support: 877-678-TECH (8324) [email protected] Web: cellsignal.com
For Research Use Only. Not for Use in Diagnostic Procedures.