Revision 5

#98785

Store at -20C

CST Logo
Orders:

877-616-CELL (2355)

[email protected]

Support:

877-678-TECH (8324)

3 Trask Lane | Danvers | Massachusetts | 01923 | USA

For Research Use Only. Not for Use in Diagnostic Procedures.

Applications:
W, IP, IHC-Bond, IHC-P, IF-IC, FC-FP, FC-L

Reactivity:
H

Sensitivity:
Endogenous

MW (kDa):
35-50

Source/Isotype:
Mouse IgG2a

UniProt ID:
#P43489

Entrez-Gene Id:
7293

Product Usage Information

Application Dilution
Western Blotting 1:1000
Immunoprecipitation 1:50
IHC Leica Bond 1:400
Immunohistochemistry (Paraffin) 1:400
Immunofluorescence (Immunocytochemistry) 1:1000
Flow Cytometry (Fixed/Permeabilized) 1:200
Flow Cytometry (Live) 1:200

Storage

Supplied in 10 mM sodium HEPES (pH 7.5), 150 mM NaCl, 100 µg/ml BSA, 50% glycerol and less than 0.02% sodium azide. Store at –20°C. Do not aliquot the antibody.

For a carrier free (BSA and azide free) version of this product see product #99419.

Specificity/Sensitivity

OX40 (ACT35) Mouse Monoclonal Antibody recognizes endogenous levels of total OX40 protein.

Source / Purification

Monoclonal antibody is produced by immunizing animals with HuT 102 cell line.

Background

OX40 (TNFRSF4, CD134) is a member of the tumor necrosis factor (TNF) receptor superfamily that regulates T cell activity and immune responses. The OX40 protein contains four cysteine rich domains, a transmembrane domain, and a cytoplasmic tail containing a QEE motif (1,2). OX40 is primarily expressed on activated CD4+ and CD8+ T-cells, while the OX40 ligand (OX40L, TNFSF4, CD252) is predominantly expressed on activated antigen presenting cells (3-7). The engagement of OX40 with OX40L leads to the recruitment of TNF receptor-associated factors (TRAFs) and results in the formation of a TCR-independent signaling complex. One component of this complex, PKCθ, activates the NF-κB pathway (2,8). OX40 signaling through Akt can also enhance TCR signaling directly (9). Research studies indicate that the OX40L-OX40 pathway is associated with inflammation and autoimmune diseases (10). Additional research studies show that OX40 agonists augment anti-tumor immunity in several cancer types (11,12).

Species Reactivity

Species reactivity is determined by testing in at least one approved application (e.g., western blot).

Western Blot Buffer

IMPORTANT: For western blots, incubate membrane with diluted primary antibody in 5% w/v nonfat dry milk, 1X TBS, 0.1% Tween® 20 at 4°C with gentle shaking, overnight.

Applications Key

W: Western Blotting IP: Immunoprecipitation IHC-Bond: IHC Leica Bond IHC-P: Immunohistochemistry (Paraffin) IF-IC: Immunofluorescence (Immunocytochemistry) FC-FP: Flow Cytometry (Fixed/Permeabilized) FC-L: Flow Cytometry (Live)

Cross-Reactivity Key

H: Human

Trademarks and Patents

Cell Signaling Technology is a trademark of Cell Signaling Technology, Inc.

Alexa Fluor is a registered trademark of Life Technologies Corporation.

All other trademarks are the property of their respective owners. Visit cellsignal.com/trademarks for more information.

Limited Uses

Except as otherwise expressly agreed in a writing signed by a legally authorized representative of CST, the following terms apply to Products provided by CST, its affiliates or its distributors. Any Customer's terms and conditions that are in addition to, or different from, those contained herein, unless separately accepted in writing by a legally authorized representative of CST, are rejected and are of no force or effect.

Products are labeled with For Research Use Only or a similar labeling statement and have not been approved, cleared, or licensed by the FDA or other regulatory foreign or domestic entity, for any purpose. Customer shall not use any Product for any diagnostic or therapeutic purpose, or otherwise in any manner that conflicts with its labeling statement. Products sold or licensed by CST are provided for Customer as the end-user and solely for research and development uses. Any use of Product for diagnostic, prophylactic or therapeutic purposes, or any purchase of Product for resale (alone or as a component) or other commercial purpose, requires a separate license from CST. Customer shall (a) not sell, license, loan, donate or otherwise transfer or make available any Product to any third party, whether alone or in combination with other materials, or use the Products to manufacture any commercial products, (b) not copy, modify, reverse engineer, decompile, disassemble or otherwise attempt to discover the underlying structure or technology of the Products, or use the Products for the purpose of developing any products or services that would compete with CST products or services, (c) not alter or remove from the Products any trademarks, trade names, logos, patent or copyright notices or markings, (d) use the Products solely in accordance with CST Product Terms of Sale and any applicable documentation, and (e) comply with any license, terms of service or similar agreement with respect to any third party products or services used by Customer in connection with the Products.

Orders: 877-616-CELL (2355) [email protected] Support: 877-678-TECH (8324) [email protected] Web: cellsignal.com
For Research Use Only. Not for Use in Diagnostic Procedures.

Revision 5

Cell Signaling Technology Logo
Western blot analysis of extracts from HuT 102, human CD4+ T, and Jurkat cells using OX40 (ACT35) Mouse mAb (upper) and β-actin (D6A8) Rabbit mAb #8457 (lower). CD4+ T cells were purified from blood, and stimulated for 9 days using beads coated with CD3 and CD28 antibodies in the presence of Interleukin-2 (hIL-2) #8907 (20 ng/ml).
Western Blotting Image 1: OX40 (ACT35) Mouse Monoclonal Antibody
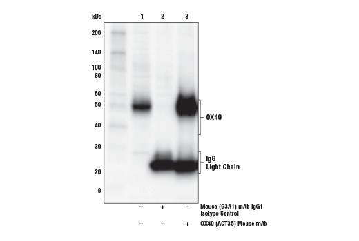
Immunoprecipitation of OX40 protein from HuT 102 cell extracts. Lane 1 is 10% input, lane 2 is Mouse (G3A1) mAb IgG1 Isotype Control #5415, and lane 3 is OX40 (ACT35) Mouse mAb. Western blot analysis was performed using

OX40 (ACT35) Mouse mAb.

Immunoprecipitation Image 1: OX40 (ACT35) Mouse Monoclonal Antibody
Immunohistochemical analysis of paraffin-embedded human gastric adenocarcinoma using OX40 (ACT35) Mouse mAb performed on the Leica® BOND™ Rx.
Immunohistochemistry Image 1: OX40 (ACT35) Mouse Monoclonal Antibody
Orders: 877-616-CELL (2355) [email protected] Support: 877-678-TECH (8324) [email protected] Web: cellsignal.com
For Research Use Only. Not for Use in Diagnostic Procedures.

Revision 5

Cell Signaling Technology Logo
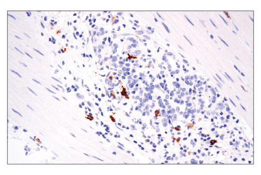
Immunohistochemical analysis of paraffin-embedded human non-Hodgkin's lymphoma using OX40 (ACT35) Mouse mAb performed on the Leica® BOND™ Rx.
Immunohistochemistry Image 2: OX40 (ACT35) Mouse Monoclonal Antibody
Immunohistochemical analysis of paraffin-embedded HuT 102 cell pellet (left, positive) or Jurkat cell pellet (right, negative) using OX40 (ACT35) Mouse mAb.
Immunohistochemistry Image 1: OX40 (ACT35) Mouse Monoclonal Antibody
Immunohistochemical analysis of paraffin-embedded human squamous cell carcinoma of the lung using OX40 (ACT35) Mouse mAb.
Immunohistochemistry Image 2: OX40 (ACT35) Mouse Monoclonal Antibody
Orders: 877-616-CELL (2355) [email protected] Support: 877-678-TECH (8324) [email protected] Web: cellsignal.com
For Research Use Only. Not for Use in Diagnostic Procedures.

Revision 5

Cell Signaling Technology Logo
Immunohistochemical analysis of paraffin-embedded human tonsil using OX40 (ACT35) Mouse mAb (left) compared to concentration matched Mouse (G3A1) IgG1 Isotype Control #5415 (right).
Immunohistochemistry Image 3: OX40 (ACT35) Mouse Monoclonal Antibody
Confocal immunofluorescent analysis of HuT 102 cells (left, positive) and Jurkat cells (right, negative) using OX40 (ACT35) Mouse mAb (green). Samples were mounted in ProLong® Gold Antifade Reagent with DAPI #8961 (blue).
Immunofluorescence Image 1: OX40 (ACT35) Mouse Monoclonal Antibody
Flow cytometric analysis of live Jurkat cells (blue, negative) and HuT 102 cells (green, positive) using OX40 (ACT35) Mouse mAb (solid lines) or concentration-matched Mouse (G3A1) mAb IgG1 Isotype Control #5415 (dashed lines). Anti-mouse IgG (H+L), F(ab')2 Fragment (Alexa Fluor® 488 Conjugate) #4408 was used as a secondary antibody.
Flow Cytometry Image 1: OX40 (ACT35) Mouse Monoclonal Antibody
Orders: 877-616-CELL (2355) [email protected] Support: 877-678-TECH (8324) [email protected] Web: cellsignal.com
For Research Use Only. Not for Use in Diagnostic Procedures.