Revision 1

#2407

Store at -20C

CST Logo
Orders:

877-616-CELL (2355)

[email protected]

Support:

877-678-TECH (8324)

3 Trask Lane | Danvers | Massachusetts | 01923 | USA

For Research Use Only. Not for Use in Diagnostic Procedures.

Applications:
W, IHC-P

Reactivity:
H

Sensitivity:
Endogenous

MW (kDa):
14

Source/Isotype:
Mouse IgG2a

UniProt ID:
#Q8N726

Entrez-Gene Id:
1029

Product Usage Information

Application Dilution
Western Blotting 1:1000
Immunohistochemistry (Paraffin) 1:50

Storage

Supplied in 10 mM sodium HEPES (pH 7.5), 150 mM NaCl, 100 µg/ml BSA, 50% glycerol and less than 0.02% sodium azide. Store at –20°C. Do not aliquot the antibody.

Specificity/Sensitivity

p14 ARF (4C6/4) Mouse Monoclonal Antibody detects endogenous levels of total p14 ARF protein.

Source / Purification

Monoclonal antibody is produced by immunizing animals with a recombinant His-tagged p14 ARF protein.

Background

Human p14 ARF (p19 ARF in mouse) is a pro-apoptotic cell cycle regulator frequently inactive in human tumors (1). Basal expression of p14 ARF is low in most cell types, but accumulation of this protein occurs in response to oncogene expression (2,3). Increased p14 ARF levels facilitate MDM2 degradation, leading to increased p53 protein levels and subsequent cell cycle arrest and/or apoptosis (4). While most p14 ARF signaling has traditionally thought to be p53-dependent, more recent reports have described p53-independent p14 ARF signaling leading to cell cycle arrest and apoptosis (5,6).

Species Reactivity

Species reactivity is determined by testing in at least one approved application (e.g., western blot).

Western Blot Buffer

IMPORTANT: For western blots, incubate membrane with diluted primary antibody in 5% w/v nonfat dry milk, 1X TBS, 0.1% Tween® 20 at 4°C with gentle shaking, overnight.

Applications Key

W: Western Blotting IHC-P: Immunohistochemistry (Paraffin)

Cross-Reactivity Key

H: Human

Trademarks and Patents

Cell Signaling Technology is a trademark of Cell Signaling Technology, Inc.

All other trademarks are the property of their respective owners. Visit cellsignal.com/trademarks for more information.

Limited Uses

Except as otherwise expressly agreed in a writing signed by a legally authorized representative of CST, the following terms apply to Products provided by CST, its affiliates or its distributors. Any Customer's terms and conditions that are in addition to, or different from, those contained herein, unless separately accepted in writing by a legally authorized representative of CST, are rejected and are of no force or effect.

Products are labeled with For Research Use Only or a similar labeling statement and have not been approved, cleared, or licensed by the FDA or other regulatory foreign or domestic entity, for any purpose. Customer shall not use any Product for any diagnostic or therapeutic purpose, or otherwise in any manner that conflicts with its labeling statement. Products sold or licensed by CST are provided for Customer as the end-user and solely for research and development uses. Any use of Product for diagnostic, prophylactic or therapeutic purposes, or any purchase of Product for resale (alone or as a component) or other commercial purpose, requires a separate license from CST. Customer shall (a) not sell, license, loan, donate or otherwise transfer or make available any Product to any third party, whether alone or in combination with other materials, or use the Products to manufacture any commercial products, (b) not copy, modify, reverse engineer, decompile, disassemble or otherwise attempt to discover the underlying structure or technology of the Products, or use the Products for the purpose of developing any products or services that would compete with CST products or services, (c) not alter or remove from the Products any trademarks, trade names, logos, patent or copyright notices or markings, (d) use the Products solely in accordance with CST Product Terms of Sale and any applicable documentation, and (e) comply with any license, terms of service or similar agreement with respect to any third party products or services used by Customer in connection with the Products.

Orders: 877-616-CELL (2355) [email protected] Support: 877-678-TECH (8324) [email protected] Web: cellsignal.com
For Research Use Only. Not for Use in Diagnostic Procedures.

Revision 1

Cell Signaling Technology Logo
Western blot analysis of HeLa cell lysate using p14 ARF (4C6/4) Mouse mAb.
Western Blotting Image 1: p14 ARF (4C6/4) Mouse Monoclonal Antibody
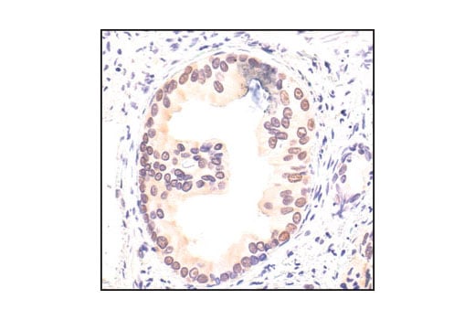
Immunohistochemical analysis of paraffin-embedded human prostate carcinoma, using p14 ARF (4C6/4) Mouse mAb.
Immunohistochemistry Image 1: p14 ARF (4C6/4) Mouse Monoclonal Antibody
Orders: 877-616-CELL (2355) [email protected] Support: 877-678-TECH (8324) [email protected] Web: cellsignal.com
For Research Use Only. Not for Use in Diagnostic Procedures.