Revision 5

#68410

Store at +4C

CST Logo
Orders:

877-616-CELL (2355)

[email protected]

Support:

877-678-TECH (8324)

3 Trask Lane | Danvers | Massachusetts | 01923 | USA

For Research Use Only. Not for Use in Diagnostic Procedures.

Applications:
W, IHC-Bond, IHC-P, IF-IC

Reactivity:
H

Sensitivity:
Endogenous

Source/Isotype:
Mouse IgG1 kappa

UniProt ID:
#P42771

Entrez-Gene Id:
1029

Product Usage Information

Application Dilution
Western Blotting 1:1000
IHC Leica Bond 1:50 - 1:200
Immunohistochemistry (Paraffin) 1:50
Immunofluorescence (Immunocytochemistry) 1:50 - 1:200

Storage

Supplied in a Tris-based buffer with ~1% BSA and less than 0.1% sodium azide. Stable for 6 months when stored at 4°C. Do not aliquot the antibody.

Note: This product is only available in the format listed above. We are unable to provide this in a carrier free, custom formulation.

Specificity/Sensitivity

p16 INK4A (BC42) Mouse Monoclonal Antibody recognizes endogenous levels of total p16 INK4A protein.

Source / Purification

Monoclonal antibody is produced by immunizing animals with a prokaryotic recombinant protein corresponding to the p16 INK4A region of the p16 molecule.

Background

Members of the INK4 family of cyclin-dependent kinase inhibitors include p16 INK4A, p15 INK4B, p18 INK4C, and p19 INK4D. The INK4 family members inhibit cyclin-dependent kinases 4 and 6 (CDK4 and CDK6), causing cell cycle arrest in G1 phase. The INK4A-ARF-INK4B locus on chromosome 9p21, frequently lost in human cancer, encodes the INK4 family members p16 INK5A and p15 INK4B, as well as the unrelated protein, ARF (1).

p16 INK4A expression, typically repressed in the absence of stress, is thought to drive cells into senescence, and p16 INK4A expression is a commonly used marker of senescent cells (2,3). p16 INK4A protein expression is often altered in human cancer, and high expression is currently used as a predictive biomarker in cervical cancer (3-5).

Species Reactivity

Species reactivity is determined by testing in at least one approved application (e.g., western blot).

Western Blot Buffer

IMPORTANT: For western blots, incubate membrane with diluted primary antibody in 5% w/v BSA, 1X TBS, 0.1% Tween® 20 at 4°C with gentle shaking, overnight.

Applications Key

W: Western Blotting IHC-Bond: IHC Leica Bond IHC-P: Immunohistochemistry (Paraffin) IF-IC: Immunofluorescence (Immunocytochemistry)

Cross-Reactivity Key

H: Human

Trademarks and Patents

Cell Signaling Technology is a trademark of Cell Signaling Technology, Inc.

All other trademarks are the property of their respective owners. Visit cellsignal.com/trademarks for more information.

Limited Uses

Except as otherwise expressly agreed in a writing signed by a legally authorized representative of CST, the following terms apply to Products provided by CST, its affiliates or its distributors. Any Customer's terms and conditions that are in addition to, or different from, those contained herein, unless separately accepted in writing by a legally authorized representative of CST, are rejected and are of no force or effect.

Products are labeled with For Research Use Only or a similar labeling statement and have not been approved, cleared, or licensed by the FDA or other regulatory foreign or domestic entity, for any purpose. Customer shall not use any Product for any diagnostic or therapeutic purpose, or otherwise in any manner that conflicts with its labeling statement. Products sold or licensed by CST are provided for Customer as the end-user and solely for research and development uses. Any use of Product for diagnostic, prophylactic or therapeutic purposes, or any purchase of Product for resale (alone or as a component) or other commercial purpose, requires a separate license from CST. Customer shall (a) not sell, license, loan, donate or otherwise transfer or make available any Product to any third party, whether alone or in combination with other materials, or use the Products to manufacture any commercial products, (b) not copy, modify, reverse engineer, decompile, disassemble or otherwise attempt to discover the underlying structure or technology of the Products, or use the Products for the purpose of developing any products or services that would compete with CST products or services, (c) not alter or remove from the Products any trademarks, trade names, logos, patent or copyright notices or markings, (d) use the Products solely in accordance with CST Product Terms of Sale and any applicable documentation, and (e) comply with any license, terms of service or similar agreement with respect to any third party products or services used by Customer in connection with the Products.

Orders: 877-616-CELL (2355) [email protected] Support: 877-678-TECH (8324) [email protected] Web: cellsignal.com
For Research Use Only. Not for Use in Diagnostic Procedures.

Revision 5

Cell Signaling Technology Logo
Western blot analysis of extracts from HeLa and MCF7 cells using p16 INK4A (BC42) Mouse mAb (upper) or β-Actin (D6A8) Rabbit mAb #8457 (lower).
Western Blotting Image 1: p16 INK4A (BC42) Mouse Monoclonal Antibody
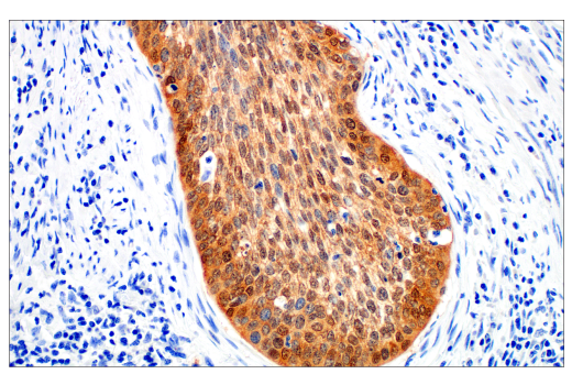
Immunohistochemical analysis of paraffin-embedded human squamous cell carcinoma of the cervix using p16 INK4A (BC42) Mouse mAb performed on the Leica BOND Rx.
Immunohistochemistry Image 1: p16 INK4A (BC42) Mouse Monoclonal Antibody
Immunohistochemical analysis of paraffin-embedded human papillary thyroid carcinoma using p16 INK4A (BC42) Mouse mAb.
Immunohistochemistry Image 1: p16 INK4A (BC42) Mouse Monoclonal Antibody
Orders: 877-616-CELL (2355) [email protected] Support: 877-678-TECH (8324) [email protected] Web: cellsignal.com
For Research Use Only. Not for Use in Diagnostic Procedures.

Revision 5

Cell Signaling Technology Logo
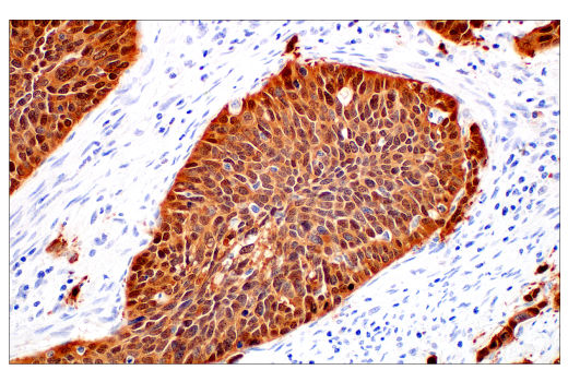
Immunohistochemical analysis of paraffin-embedded human squamous cell carcinoma of the cervix using p16 INK4A (BC42) Mouse mAb.
Immunohistochemistry Image 2: p16 INK4A (BC42) Mouse Monoclonal Antibody
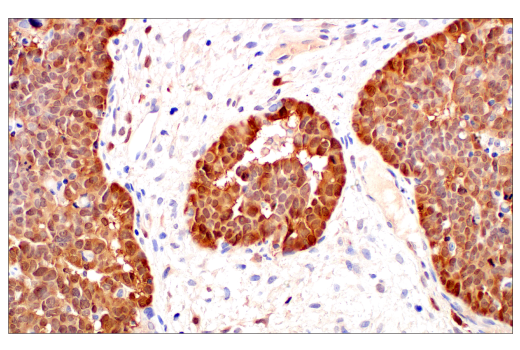
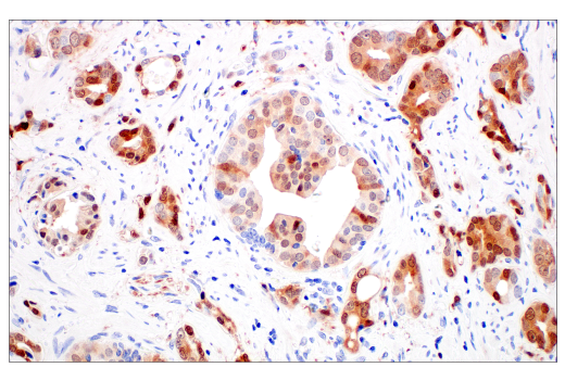
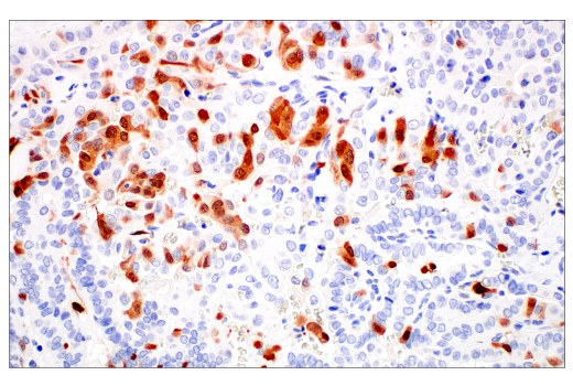
Immunohistochemical analysis of paraffin-embedded human prostate adenocarcinoma using p16 INK4A (BC42) Mouse mAb.
Immunohistochemistry Image 3: p16 INK4A (BC42) Mouse Monoclonal Antibody
Immunohistochemical analysis of paraffin-embedded human ovarian serous adenocarcinoma using p16 INK4A (BC42) Mouse mAb.
Immunohistochemistry Image 4: p16 INK4A (BC42) Mouse Monoclonal Antibody
Orders: 877-616-CELL (2355) [email protected] Support: 877-678-TECH (8324) [email protected] Web: cellsignal.com
For Research Use Only. Not for Use in Diagnostic Procedures.

Revision 5

Cell Signaling Technology Logo
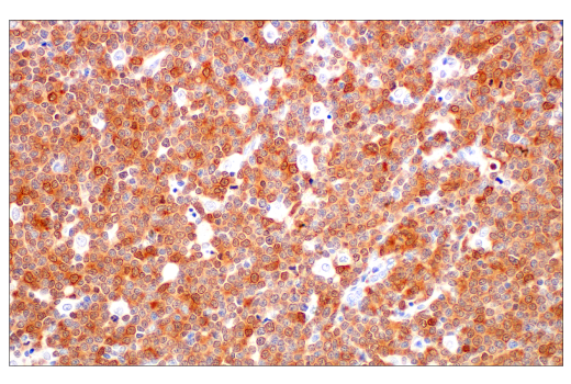
Immunohistochemical analysis of paraffin-embedded human B-cell non-Hodgkin lymphoma using p16 INK4A (BC42) Mouse mAb.
Immunohistochemistry Image 5: p16 INK4A (BC42) Mouse Monoclonal Antibody
Immunohistochemical analysis of paraffin-embedded human mantle cell lymphoma using p16 INK4A (BC42) Mouse mAb.
Immunohistochemistry Image 6: p16 INK4A (BC42) Mouse Monoclonal Antibody
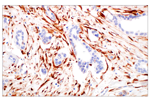
Immunohistochemical analysis of paraffin-embedded human ductal breast carcinoma using p16 INK4A (BC42) Mouse mAb.
Immunohistochemistry Image 7: p16 INK4A (BC42) Mouse Monoclonal Antibody
Orders: 877-616-CELL (2355) [email protected] Support: 877-678-TECH (8324) [email protected] Web: cellsignal.com
For Research Use Only. Not for Use in Diagnostic Procedures.

Revision 5

Cell Signaling Technology Logo
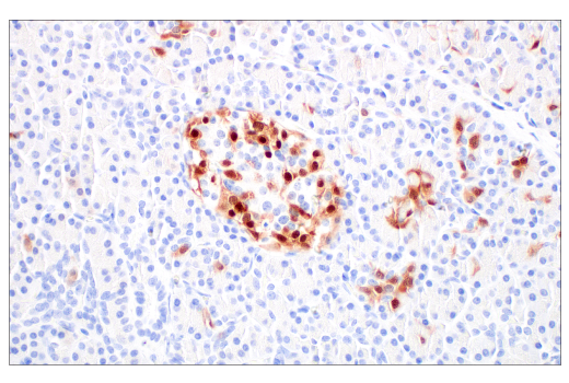
Immunohistochemical analysis of paraffin-embedded normal human pancreas using p16 INK4A (BC42) Mouse mAb.
Immunohistochemistry Image 8: p16 INK4A (BC42) Mouse Monoclonal Antibody
Immunohistochemical analysis of paraffin-embedded normal human prostate using p16 INK4A (BC42) Mouse mAb.
Immunohistochemistry Image 9: p16 INK4A (BC42) Mouse Monoclonal Antibody
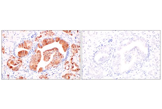
Immunohistochemical analysis of paraffin-embedded human prostate adenocarcinoma using p16 INK4A (BC42) Mouse mAb (left) compared to concentration-matched Mouse (G3A1) mAb IgG1 Isotype Control #5415 (right).
Immunohistochemistry Image 10: p16 INK4A (BC42) Mouse Monoclonal Antibody
Orders: 877-616-CELL (2355) [email protected] Support: 877-678-TECH (8324) [email protected] Web: cellsignal.com
For Research Use Only. Not for Use in Diagnostic Procedures.

Revision 5

Cell Signaling Technology Logo
Immunohistochemical analysis of paraffin-embedded HeLa cell pellet (left, positive) or MCF7 cell pellet (right, negative) using p16 INK4A (BC42) Mouse mAb.
Immunohistochemistry Image 11: p16 INK4A (BC42) Mouse Monoclonal Antibody
Confocal immunofluorescent analysis of HeLa cells (left, positive) and MCF7 cells (right, negative) using p16 INK4A (BC42) Mouse mAb (green), DyLight 554 Phalloidin #13054 (red), and DAPI #4083 (blue).
Immunofluorescence Image 1: p16 INK4A (BC42) Mouse Monoclonal Antibody
Orders: 877-616-CELL (2355) [email protected] Support: 877-678-TECH (8324) [email protected] Web: cellsignal.com
For Research Use Only. Not for Use in Diagnostic Procedures.