Revision 1

#83630

Store at -20C

CST Logo
Orders:

877-616-CELL (2355)

[email protected]

Support:

877-678-TECH (8324)

3 Trask Lane | Danvers | Massachusetts | 01923 | USA

For Research Use Only. Not for Use in Diagnostic Procedures.

Applications:
IHC-P

Reactivity:
H

Sensitivity:
Endogenous

Source/Isotype:
Mouse IgG1

UniProt ID:
#P46527

Entrez-Gene Id:
1027

Product Usage Information

Application Dilution
Immunohistochemistry (Paraffin) 1:700

Storage

Supplied in 10 mM sodium HEPES (pH 7.5), 150 mM NaCl, 100 µg/ml BSA, 50% glycerol and less than 0.02% sodium azide. Store at –20°C. Do not aliquot the antibody.

Specificity/Sensitivity

p27 Kip1 (SX53G8.5) Mouse Monoclonal Antibody (IHC Formulated) recognizes endogenous levels of total p27 Kip1 protein.

Source / Purification

Monoclonal antibody is produced by immunizing animals with recombinant human p27 Kip1.

Background

p27 Kip1 is a member of the Cip/Kip family of cyclin-dependent kinase inhibitors. Like its relatives, p57 Kip2 and p21 Waf1/Cip1, the ability to enforce the G1 restriction point is derived from its inhibitory binding to CDK2/cyclin E and other CDK/cyclin complexes. Expression levels of p27 are upregulated in quiescent cells and in cells treated with cAMP or other negative cell cycle regulators. Downregulation of p27 can be induced by treatment with interleukin-2 or other mitogens; this involves phosphorylation of p27 and its degradation by the ubiquitin-proteasome pathway (1-4).

Species Reactivity

Species reactivity is determined by testing in at least one approved application (e.g., western blot).

Applications Key

IHC-P: Immunohistochemistry (Paraffin)

Cross-Reactivity Key

H: Human

Trademarks and Patents

Cell Signaling Technology is a trademark of Cell Signaling Technology, Inc.

SignalStain is a registered trademark of Cell Signaling Technology, Inc.

All other trademarks are the property of their respective owners. Visit cellsignal.com/trademarks for more information.

Limited Uses

Except as otherwise expressly agreed in a writing signed by a legally authorized representative of CST, the following terms apply to Products provided by CST, its affiliates or its distributors. Any Customer's terms and conditions that are in addition to, or different from, those contained herein, unless separately accepted in writing by a legally authorized representative of CST, are rejected and are of no force or effect.

Products are labeled with For Research Use Only or a similar labeling statement and have not been approved, cleared, or licensed by the FDA or other regulatory foreign or domestic entity, for any purpose. Customer shall not use any Product for any diagnostic or therapeutic purpose, or otherwise in any manner that conflicts with its labeling statement. Products sold or licensed by CST are provided for Customer as the end-user and solely for research and development uses. Any use of Product for diagnostic, prophylactic or therapeutic purposes, or any purchase of Product for resale (alone or as a component) or other commercial purpose, requires a separate license from CST. Customer shall (a) not sell, license, loan, donate or otherwise transfer or make available any Product to any third party, whether alone or in combination with other materials, or use the Products to manufacture any commercial products, (b) not copy, modify, reverse engineer, decompile, disassemble or otherwise attempt to discover the underlying structure or technology of the Products, or use the Products for the purpose of developing any products or services that would compete with CST products or services, (c) not alter or remove from the Products any trademarks, trade names, logos, patent or copyright notices or markings, (d) use the Products solely in accordance with CST Product Terms of Sale and any applicable documentation, and (e) comply with any license, terms of service or similar agreement with respect to any third party products or services used by Customer in connection with the Products.

Orders: 877-616-CELL (2355) [email protected] Support: 877-678-TECH (8324) [email protected] Web: cellsignal.com
For Research Use Only. Not for Use in Diagnostic Procedures.

Revision 1

Cell Signaling Technology Logo
Immunohistochemical analysis of paraffin-embedded U266 cell pellets (left, high-expressing) and Daudi (right, low-expressing) cell pellets using p27 Kip1 (SX53G8.5) Mouse mAb (IHC Formulated).
Immunohistochemistry Image 1: p27 Kip1 (SX53G8.5) Mouse Monoclonal Antibody (IHC Formulated)
Immunohistochemical analysis of paraffin-embedded human colon carcinoma using p27 Kip1 (SX53G8.5) Mouse mAb (IHC Formulated).
Immunohistochemistry Image 2: p27 Kip1 (SX53G8.5) Mouse Monoclonal Antibody (IHC Formulated)
Immunohistochemical analysis of paraffin-embedded human non-small cell lung carcinoma using p27 Kip1 (SX53G8.5) Mouse mAb (IHC Formulated).
Immunohistochemistry Image 3: p27 Kip1 (SX53G8.5) Mouse Monoclonal Antibody (IHC Formulated)
Orders: 877-616-CELL (2355) [email protected] Support: 877-678-TECH (8324) [email protected] Web: cellsignal.com
For Research Use Only. Not for Use in Diagnostic Procedures.

Revision 1

Cell Signaling Technology Logo
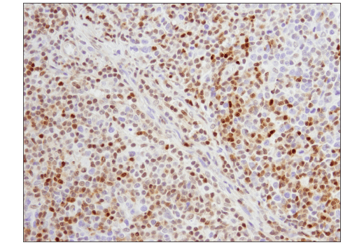
Immunohistochemical analysis of paraffin-embedded human B-cell non-Hodgkin's lymphoma using p27 Kip1 (SX53G8.5) Mouse mAb (IHC Formulated).
Immunohistochemistry Image 4: p27 Kip1 (SX53G8.5) Mouse Monoclonal Antibody (IHC Formulated)
Immunohistochemical analysis of paraffin-embedded human prostate carcinoma using p27 Kip1 (SX53G8.5) Mouse mAb (IHC Formulated).
Immunohistochemistry Image 5: p27 Kip1 (SX53G8.5) Mouse Monoclonal Antibody (IHC Formulated)
Orders: 877-616-CELL (2355) [email protected] Support: 877-678-TECH (8324) [email protected] Web: cellsignal.com
For Research Use Only. Not for Use in Diagnostic Procedures.