Revision 9

#86377

Store at -20C

CST Logo
Orders:

877-616-CELL (2355)

[email protected]

Support:

877-678-TECH (8324)

3 Trask Lane | Danvers | Massachusetts | 01923 | USA

For Research Use Only. Not for Use in Diagnostic Procedures.

Applications:
W, IP, IHC-P, IF-IC, C&R, C&T

Reactivity:
H Mk

Sensitivity:
Endogenous

MW (kDa):
300

Source/Isotype:
Rabbit IgG

UniProt ID:
#Q09472

Entrez-Gene Id:
2033

Product Usage Information

The CUT&RUN dilution was determined using CUT&RUN Assay Kit #86652.

The CUT&Tag dilution was determined using CUT&Tag Assay Kit #77552.

Application Dilution
Western Blotting 1:1000
Immunoprecipitation 1:50
Immunohistochemistry (Paraffin) 1:500 - 1:2000
Immunofluorescence (Immunocytochemistry) 1:400 - 1:1600
CUT&RUN 1:50
CUT&Tag 1:50

Storage

Supplied in 10 mM sodium HEPES (pH 7.5), 150 mM NaCl, 100 µg/ml BSA, 50% glycerol and less than 0.02% sodium azide. Store at –20°C. Do not aliquot the antibody.

For a carrier free (BSA and azide free) version of this product see product #18396.

Specificity/Sensitivity

p300 (D8Z4E) Rabbit Monoclonal Antibody recognizes endogenous levels of total p300 protein. This antibody does not cross-react with CBP protein.

Species predicted to react based on 100% sequence homology

Guinea Pig

Source / Purification

Monoclonal antibody is produced by immunizing animals with a synthetic peptide corresponding to residues near the carboxy terminus of human p300 protein.

Background

CBP (CREB-binding protein) and p300 are highly conserved and functionally related transcriptional co-activators that associate with transcriptional regulators and signaling molecules, integrating multiple signal transduction pathways with the transcriptional machinery (1,2). CBP/p300 also contain histone acetyltransferase (HAT) activity, allowing them to acetylate histones and other proteins (2). Phosphorylation of p300 at Ser89 by PKC represses its transcriptional activity, and phosphorylation at the same site by AMPK disrupts the association of p300 with nuclear receptors (3,4). Ser1834 phosphorylation of p300 by Akt disrupts its association with C/EBPβ (5). Growth factors induce phosphorylation of CBP at Ser437, which is required for CBP recruitment to the transcription complex (6). CaM kinase IV phosphorylates CBP at Ser302, which is required for CBP-dependent transcriptional activation in the CNS (7). The role of acetylation of CBP/p300 is of particular interest (2,8). Acetylation of p300 at Lys1499 has been demonstrated to enhance its HAT activity and affect a wide variety of signaling events (9).

Species Reactivity

Species reactivity is determined by testing in at least one approved application (e.g., western blot).

Western Blot Buffer

IMPORTANT: For western blots, incubate membrane with diluted primary antibody in 5% w/v nonfat dry milk, 1X TBS, 0.1% Tween® 20 at 4°C with gentle shaking, overnight.

Applications Key

W: Western Blotting IP: Immunoprecipitation IHC-P: Immunohistochemistry (Paraffin) IF-IC: Immunofluorescence (Immunocytochemistry) C&R: CUT&RUN C&T: CUT&Tag

Cross-Reactivity Key

H: Human Mk: Monkey

Trademarks and Patents

Cell Signaling Technology is a trademark of Cell Signaling Technology, Inc.

SignalStain is a registered trademark of Cell Signaling Technology, Inc.

All other trademarks are the property of their respective owners. Visit cellsignal.com/trademarks for more information.

Limited Uses

Except as otherwise expressly agreed in a writing signed by a legally authorized representative of CST, the following terms apply to Products provided by CST, its affiliates or its distributors. Any Customer's terms and conditions that are in addition to, or different from, those contained herein, unless separately accepted in writing by a legally authorized representative of CST, are rejected and are of no force or effect.

Products are labeled with For Research Use Only or a similar labeling statement and have not been approved, cleared, or licensed by the FDA or other regulatory foreign or domestic entity, for any purpose. Customer shall not use any Product for any diagnostic or therapeutic purpose, or otherwise in any manner that conflicts with its labeling statement. Products sold or licensed by CST are provided for Customer as the end-user and solely for research and development uses. Any use of Product for diagnostic, prophylactic or therapeutic purposes, or any purchase of Product for resale (alone or as a component) or other commercial purpose, requires a separate license from CST. Customer shall (a) not sell, license, loan, donate or otherwise transfer or make available any Product to any third party, whether alone or in combination with other materials, or use the Products to manufacture any commercial products, (b) not copy, modify, reverse engineer, decompile, disassemble or otherwise attempt to discover the underlying structure or technology of the Products, or use the Products for the purpose of developing any products or services that would compete with CST products or services, (c) not alter or remove from the Products any trademarks, trade names, logos, patent or copyright notices or markings, (d) use the Products solely in accordance with CST Product Terms of Sale and any applicable documentation, and (e) comply with any license, terms of service or similar agreement with respect to any third party products or services used by Customer in connection with the Products.

Orders: 877-616-CELL (2355) [email protected] Support: 877-678-TECH (8324) [email protected] Web: cellsignal.com
For Research Use Only. Not for Use in Diagnostic Procedures.

Revision 9

Cell Signaling Technology Logo
Western blot analysis of extracts from various cell lines using p300 (D8Z4E) Rabbit mAb (upper) and α-Actinin (D6F6) XP® Rabbit mAb #6487 (lower). As expected, HCT-15 cells are negative for p300 expression.
Western Blotting Image 1: p300 (D8Z4E) Rabbit Monoclonal Antibody
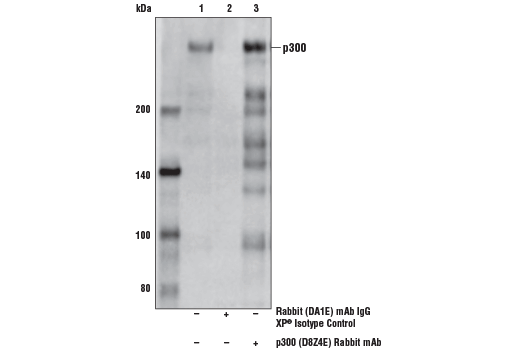
Immunoprecipitation of p300 from 293T cell extracts. Lane 1 is 10% input, lane 2 is Rabbit (DA1E) mAb IgG XP® Isotype Control #3900, and lane 3 is p300 (D8Z4E) Rabbit mAb. Western blot analysis was performed using p300 (D8Z4E) Rabbit mAb.
Immunoprecipitation Image 1: p300 (D8Z4E) Rabbit Monoclonal Antibody
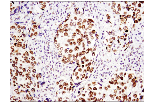
Immunohistochemical analysis of paraffin-embedded human squamous cell lung carcinoma using p300 (D8Z4E) Rabbit mAb.
Immunohistochemistry Image 1: p300 (D8Z4E) Rabbit Monoclonal Antibody
Orders: 877-616-CELL (2355) [email protected] Support: 877-678-TECH (8324) [email protected] Web: cellsignal.com
For Research Use Only. Not for Use in Diagnostic Procedures.

Revision 9

Cell Signaling Technology Logo
Immunohistochemical analysis of paraffin-embedded human non-Hodgkin's lymphoma using p300 (D8Z4E) Rabbit mAb.
Immunohistochemistry Image 2: p300 (D8Z4E) Rabbit Monoclonal Antibody
Immunohistochemical analysis of paraffin-embedded human ovarian clear cell carcinoma using p300 (D8Z4E) Rabbit mAb.
Immunohistochemistry Image 3: p300 (D8Z4E) Rabbit Monoclonal Antibody
Immunohistochemical analysis of paraffin-embedded 293T cell pellet (left, positive) or HCT-15 cell pellet (right, negative) using p300 (D8Z4E) Rabbit mAb.
Immunohistochemistry Image 4: p300 (D8Z4E) Rabbit Monoclonal Antibody
Orders: 877-616-CELL (2355) [email protected] Support: 877-678-TECH (8324) [email protected] Web: cellsignal.com
For Research Use Only. Not for Use in Diagnostic Procedures.

Revision 9

Cell Signaling Technology Logo
Confocal immunofluorescent analysis of 293T cells (left, positive) and HCT-15 cells (right, negative) using p300 (D8Z4E) Rabbit mAb (green). Actin filaments were labeled with DyLight™ 554 Phalloidin #13054 (red).
Immunofluorescence Image 1: p300 (D8Z4E) Rabbit Monoclonal Antibody
CUT&RUN was performed with 293T cells and p300 (D8Z4E) Rabbit mAb, using CUT&RUN Assay Kit #86652. DNA library was prepared using DNA Library Prep Kit for Illumina (ChIP-seq, CUT&RUN) #56795. The figure shows binding across MCL1, a known target gene of p300 (see additional figure containing qPCR data).
CUT & RUN Image 1: p300 (D8Z4E) Rabbit Monoclonal Antibody
CUT&RUN was performed with 293T cells and p300 (D8Z4E) Rabbit mAb, using CUT&RUN Assay Kit #86652. DNA library was prepared using DNA Library Prep Kit for Illumina (ChIP-seq, CUT&RUN) #56795. The figures show binding across chromosome 1 (upper), including MCL1 (lower), a known target gene of p300 (see additional figure containing qPCR data).
CUT & RUN Image 2: p300 (D8Z4E) Rabbit Monoclonal Antibody
Orders: 877-616-CELL (2355) [email protected] Support: 877-678-TECH (8324) [email protected] Web: cellsignal.com
For Research Use Only. Not for Use in Diagnostic Procedures.

Revision 9

Cell Signaling Technology Logo
CUT&RUN was performed with 293T and either p300 (D8Z4E) Rabbit mAb or Rabbit (DA1E) mAb IgG XP® Isotype Control (CUT&RUN) #66362, using CUT&RUN Assay Kit #86652. The enriched DNA was quantified by real-time PCR using human MCL1 promoter primers, human MYC promoter primers, and human RSPh9 promoter primers. The amount of immunoprecipitated DNA in each sample is represented as signal relative to the total amount of input chromatin, which is equivalent to one.
CUT & RUN Image 3: p300 (D8Z4E) Rabbit Monoclonal Antibody
CUT&Tag was performed with 293T cells and p300 (D8Z4E) Rabbit mAb, using CUT&Tag Assay Kit #77552. DNA library was prepared using CUT&Tag Dual Index Primers and PCR Master Mix for Illumina Systems #47415. The figure shows binding across MCL1 gene.
CUT & Tag Image 1: p300 (D8Z4E) Rabbit Monoclonal Antibody
CUT&Tag was performed with 293T cells and p300 (D8Z4E) Rabbit mAb, using CUT&Tag Assay Kit #77552. DNA library was prepared using CUT&Tag Dual Index Primers and PCR Master Mix for Illumina Systems #47415. The figures show binding across chromosome 1 (upper), including MCL1 gene (lower).
CUT & Tag Image 2: p300 (D8Z4E) Rabbit Monoclonal Antibody
Orders: 877-616-CELL (2355) [email protected] Support: 877-678-TECH (8324) [email protected] Web: cellsignal.com
For Research Use Only. Not for Use in Diagnostic Procedures.