Revision 1

#52675

Store at -20C

CST Logo
Orders:

877-616-CELL (2355)

[email protected]

Support:

877-678-TECH (8324)

3 Trask Lane | Danvers | Massachusetts | 01923 | USA

For Research Use Only. Not for Use in Diagnostic Procedures.

Applications:
W, IHC-P, IF-F

Reactivity:
H M R

Sensitivity:
Endogenous

MW (kDa):
25, 35

Source/Isotype:
Rabbit IgG

UniProt ID:
#Q15078

Entrez-Gene Id:
8851

Product Usage Information

This product is the carrier free version of product #2680. All data were generated using the same antibody clone in the standard formulation which contains BSA and glycerol.

This formulation is ideal for use with technologies requiring specialized or custom antibody labeling, including fluorophores, metals, lanthanides, and oligonucleotides. It is not recommended for ChIP, ChIP-seq, CUT&RUN or CUT&Tag assays. If you require a carrier free formulation for chromatin profiling, please contact us. Optimal dilutions/concentrations should be determined by the end user.

BSA and Azide Free antibodies are quality control tested by size exclusion chromatography (SEC) to determine antibody integrity.

Formulation

Supplied in 1X PBS (10 mM Na2HPO4, 3 mM KCl, 2 mM KH2PO4, and 140 mM NaCl (pH 7.8)). BSA and Azide Free.

For standard formulation of this product see product #2680

Storage

Store at -20°C. This product will freeze at -20°C so it is recommended to aliquot into single-use vials to avoid multiple freeze/thaw cycles. A slight precipitate may be present and can be dissolved by gently vortexing. This will not interfere with antibody performance.

Specificity/Sensitivity

p35/25 (C64B10) Rabbit Monoclonal Antibody (BSA and Azide Free) detects endogenous levels of total p35 protein. This antibody also detects endogenous p25 resulting from calpain-mediated cleavage upon neurotoxic insult.

Source / Purification

Monoclonal antibody is produced by immunizing animals with a synthetic peptide from the carboxy terminus of human p35.

Background

Cyclin-dependent kinases (CDKs) are serine/threonine kinases that are activated by cyclins and govern eukaryotic cell cycle progression. While CDK5 shares high sequence homology with its family members, it is thought mainly to function in postmitotic neurons, regulating the cytoarchitecture of these cells. Analogous to cyclins, p35 and p39 associate with and activate CDK5 despite the lack of sequence homology. CDK5 is ubiquitously expressed, but high levels of kinase activity are detected primarily in the nervous system due to the narrow expression pattern of p35 and p39 in post-mitotic neurons. A large number of CDK5 substrates have been identified although no discrete substrates have been attributed as a function of p35 vs. p39. Amongst many, substrates of CDK5 include p35 and p39. p35 is rapidly degraded (T1/2 <20 min) by the ubiquitin-proteasome pathway (1). However, p35 stability increases as CDK5 kinase activity decreases, and this is likely a result of decreased phosphorylation of p35 at Thr138 by CDK5 (2). NGF activates Erk and EGR1, and induces p35 expression in PC12 cells (3). Proteolytic cleavage of p35 by calpain produces p25 upon neurotoxic insult, resulting in prolonged activation of CDK5 by p25. Accumulation of p25 is found in neurodegenerative diseases such as Alzheimer's disease and Amyotrophic Lateral Sclerosis (ALS) (4-5).

Species Reactivity

Species reactivity is determined by testing in at least one approved application (e.g., western blot).

Applications Key

W: Western Blotting IHC-P: Immunohistochemistry (Paraffin) IF-F: Immunofluorescence (Frozen)

Cross-Reactivity Key

H: Human M: Mouse R: Rat

Trademarks and Patents

Cell Signaling Technology is a trademark of Cell Signaling Technology, Inc.

U.S. Patent No. 7,429,487, foreign equivalents, and child patents deriving therefrom.

All other trademarks are the property of their respective owners. Visit cellsignal.com/trademarks for more information.

Limited Uses

Except as otherwise expressly agreed in a writing signed by a legally authorized representative of CST, the following terms apply to Products provided by CST, its affiliates or its distributors. Any Customer's terms and conditions that are in addition to, or different from, those contained herein, unless separately accepted in writing by a legally authorized representative of CST, are rejected and are of no force or effect.

Products are labeled with For Research Use Only or a similar labeling statement and have not been approved, cleared, or licensed by the FDA or other regulatory foreign or domestic entity, for any purpose. Customer shall not use any Product for any diagnostic or therapeutic purpose, or otherwise in any manner that conflicts with its labeling statement. Products sold or licensed by CST are provided for Customer as the end-user and solely for research and development uses. Any use of Product for diagnostic, prophylactic or therapeutic purposes, or any purchase of Product for resale (alone or as a component) or other commercial purpose, requires a separate license from CST. Customer shall (a) not sell, license, loan, donate or otherwise transfer or make available any Product to any third party, whether alone or in combination with other materials, or use the Products to manufacture any commercial products, (b) not copy, modify, reverse engineer, decompile, disassemble or otherwise attempt to discover the underlying structure or technology of the Products, or use the Products for the purpose of developing any products or services that would compete with CST products or services, (c) not alter or remove from the Products any trademarks, trade names, logos, patent or copyright notices or markings, (d) use the Products solely in accordance with CST Product Terms of Sale and any applicable documentation, and (e) comply with any license, terms of service or similar agreement with respect to any third party products or services used by Customer in connection with the Products.

Orders: 877-616-CELL (2355) [email protected] Support: 877-678-TECH (8324) [email protected] Web: cellsignal.com
For Research Use Only. Not for Use in Diagnostic Procedures.

Revision 1

Cell Signaling Technology Logo
Western blot analysis of extracts from mouse brain, rat brain and human cerebellum using p35/p25 (C64B10) Rabbit mAb. Data were generated using the standard formulation of this product.
Western Blotting Image 1: p35/25 (C64B10) Rabbit Monoclonal Antibody (BSA and Azide Free)
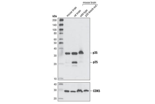
Western blot analysis of extracts from mouse and rat brain and wild-type mouse and p35 knock-out mouse brain using p35/25 (C64B10) Rabbit mAb (upper) and CDK5 Antibody #2506 (lower). Matching wild-type and p35 knock-out mouse brain was kindly provided by Dr. Li-Huei Tsai, Massachusetts Institute of Technology, Cambridge, MA. Data were generated using the standard formulation of this product.
Western Blotting Image 2: p35/25 (C64B10) Rabbit Monoclonal Antibody (BSA and Azide Free)
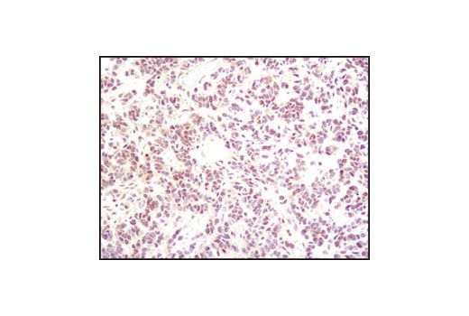
Immunohistochemical analysis of paraffin embedded human meningioma using p35/25 (C64B10) Rabbit mAb #2680. Data were generated using the standard formulation of this product.
Immunohistochemistry Image 1: p35/25 (C64B10) Rabbit Monoclonal Antibody (BSA and Azide Free)
Orders: 877-616-CELL (2355) [email protected] Support: 877-678-TECH (8324) [email protected] Web: cellsignal.com
For Research Use Only. Not for Use in Diagnostic Procedures.

Revision 1

Cell Signaling Technology Logo
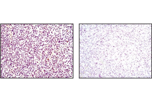
Immunohistochemical analysis of paraffin-embedded human astrocytoma using p35/25 (C64B10) Rabbit mAb #2680 in the presence of control peptide (left) or antigen specific peptide (right). Data were generated using the standard formulation of this product.
Immunohistochemistry Image 2: p35/25 (C64B10) Rabbit Monoclonal Antibody (BSA and Azide Free)
Confocal immunofluorescent analysis of cerebellum from normal (left) or p35 knockout (right) mice using p35/25 (C64B10) Rabbit mAb (green). Blue pseudocolor =DRAQ5® #4084 (fluorescent DNA dye). Matching wild-type and p35 knock-out mouse brain was kindly provided by Dr. Li-Huei Tsai, Massachusetts Institute of Technology, Cambridge, MA. Data were generated using the standard formulation of this product.
Immunofluorescence Image 1: p35/25 (C64B10) Rabbit Monoclonal Antibody (BSA and Azide Free)
Orders: 877-616-CELL (2355) [email protected] Support: 877-678-TECH (8324) [email protected] Web: cellsignal.com
For Research Use Only. Not for Use in Diagnostic Procedures.