Revision 1

#31169

Store at -20C

CST Logo
Orders:

877-616-CELL (2355)

[email protected]

Support:

877-678-TECH (8324)

3 Trask Lane | Danvers | Massachusetts | 01923 | USA

For Research Use Only. Not for Use in Diagnostic Procedures.

Applications:
W, IHC-Bond, IHC-P, IF-IC

Reactivity:
H M R

Sensitivity:
Endogenous

MW (kDa):
47

Source/Isotype:
Rabbit IgG

UniProt ID:
#P14598

Entrez-Gene Id:
653361

Product Usage Information

This product is the carrier free version of product #63290. All data were generated using the same antibody clone in the standard formulation which contains BSA and glycerol.

This formulation is ideal for use with technologies requiring specialized or custom antibody labeling, including fluorophores, metals, lanthanides, and oligonucleotides. It is not recommended for ChIP, ChIP-seq, CUT&RUN or CUT&Tag assays. If you require a carrier free formulation for chromatin profiling, please contact us. Optimal dilutions/concentrations should be determined by the end user.

BSA and Azide Free antibodies are quality control tested by size exclusion chromatography (SEC) to determine antibody integrity.

Formulation

Supplied in 1X PBS (10 mM Na2HPO4, 3 mM KCl, 2 mM KH2PO4, and 140 mM NaCl (pH 7.8)). BSA and Azide Free.

For standard formulation of this product see product #63290

Storage

Store at -20°C. This product will freeze at -20°C so it is recommended to aliquot into single-use vials to avoid multiple freeze/thaw cycles. A slight precipitate may be present and can be dissolved by gently vortexing. This will not interfere with antibody performance.

Specificity/Sensitivity

p47phox (F3Y6C) Rabbit Monoclonal Antibody (BSA and Azide Free) recognizes endogenous levels of total p47phox protein. This antibody is not approved for immunofluorescence on frozen mouse tissue due to low sensitivity. This antibody detects a 30 kDa band of unknown origin in some samples.

Source / Purification

Monoclonal antibody is produced by immunizing animals with a synthetic peptide corresponding to residues surrounding Ala227 of human p47phox protein.

Background

The phagocytic NADPH oxidase is a multiprotein enzyme that catalyzes the reduction of oxygen to superoxide in response to pathogenic invasion. The NADPH oxidase consists of 6 subunits, including the membrane-bound p91 phox and p22 phox heterodimers (also known as cytochrome b558), the cytosolic complex of p40phox, p47phox and p67phox, and the small GTPase Rac2. Activation of NADPH oxidase is initiated by cytosolic complex phosphorylation, which induces a conformational change that leads to the translocation of the cytosolic complex to the membrane and formation of an active enzyme with cytochrome b558 (1). Defects in p47phox, often resulting from recombination between p47phox and a nearby homologous pseudogene, cause chronic granulomatous disease (2-4). Elevated oxidative stress due to increased myocardial NADPH oxidase activity may be a contributing factor in heart failure (5,6).

Species Reactivity

Species reactivity is determined by testing in at least one approved application (e.g., western blot).

Applications Key

W: Western Blotting IHC-Bond: IHC Leica Bond IHC-P: Immunohistochemistry (Paraffin) IF-IC: Immunofluorescence (Immunocytochemistry)

Cross-Reactivity Key

H: Human M: Mouse R: Rat

Trademarks and Patents

Cell Signaling Technology is a trademark of Cell Signaling Technology, Inc.

All other trademarks are the property of their respective owners. Visit cellsignal.com/trademarks for more information.

Limited Uses

Except as otherwise expressly agreed in a writing signed by a legally authorized representative of CST, the following terms apply to Products provided by CST, its affiliates or its distributors. Any Customer's terms and conditions that are in addition to, or different from, those contained herein, unless separately accepted in writing by a legally authorized representative of CST, are rejected and are of no force or effect.

Products are labeled with For Research Use Only or a similar labeling statement and have not been approved, cleared, or licensed by the FDA or other regulatory foreign or domestic entity, for any purpose. Customer shall not use any Product for any diagnostic or therapeutic purpose, or otherwise in any manner that conflicts with its labeling statement. Products sold or licensed by CST are provided for Customer as the end-user and solely for research and development uses. Any use of Product for diagnostic, prophylactic or therapeutic purposes, or any purchase of Product for resale (alone or as a component) or other commercial purpose, requires a separate license from CST. Customer shall (a) not sell, license, loan, donate or otherwise transfer or make available any Product to any third party, whether alone or in combination with other materials, or use the Products to manufacture any commercial products, (b) not copy, modify, reverse engineer, decompile, disassemble or otherwise attempt to discover the underlying structure or technology of the Products, or use the Products for the purpose of developing any products or services that would compete with CST products or services, (c) not alter or remove from the Products any trademarks, trade names, logos, patent or copyright notices or markings, (d) use the Products solely in accordance with CST Product Terms of Sale and any applicable documentation, and (e) comply with any license, terms of service or similar agreement with respect to any third party products or services used by Customer in connection with the Products.

Orders: 877-616-CELL (2355) [email protected] Support: 877-678-TECH (8324) [email protected] Web: cellsignal.com
For Research Use Only. Not for Use in Diagnostic Procedures.

Revision 1

Cell Signaling Technology Logo
Western blot analysis of extracts from various cell lines and tissues using p47phox (F3Y6C) Rabbit mAb (upper) or GAPDH (D16H11) XP® Rabbit mAb #5174 (lower). Negative expression of p47phox protein in A-172 cells is consistent with the predicted expression pattern. Data were generated using the standard formulation of this product.
Western Blotting Image 1: p47phox (F3Y6C) Rabbit Monoclonal Antibody (BSA and Azide Free)
Immunohistochemical analysis of paraffin-embedded human colon carcinoma using p47phox (F3Y6C) Rabbit mAb performed on the Leica BOND RX. Data were generated using the standard formulation of this product.
Immunohistochemistry Image 1: p47phox (F3Y6C) Rabbit Monoclonal Antibody (BSA and Azide Free)
Immunohistochemical analysis of paraffin-embedded human non-Hodgkin lymphoma using p47phox (F3Y6C) Rabbit mAb performed on the Leica BOND RX. Data were generated using the standard formulation of this product.
Immunohistochemistry Image 2: p47phox (F3Y6C) Rabbit Monoclonal Antibody (BSA and Azide Free)
Orders: 877-616-CELL (2355) [email protected] Support: 877-678-TECH (8324) [email protected] Web: cellsignal.com
For Research Use Only. Not for Use in Diagnostic Procedures.

Revision 1

Cell Signaling Technology Logo
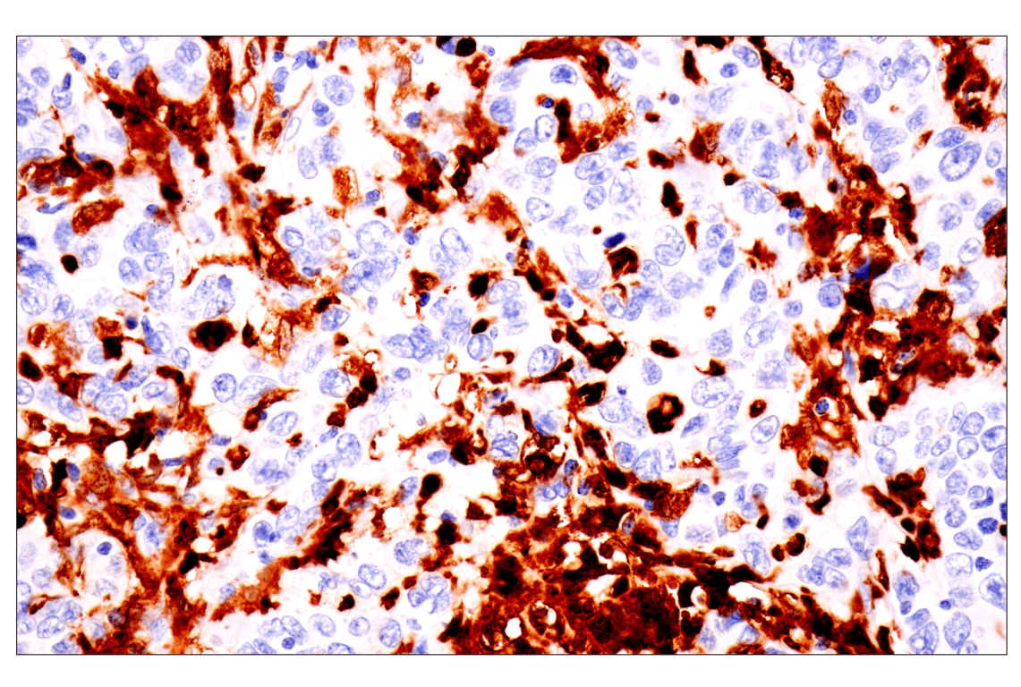
Immunohistochemical analysis of paraffin-embedded human infiltrating carcinoma of the breast using p47phox (F3Y6C) Rabbit mAb. Data were generated using the standard formulation of this product.
Immunohistochemistry Image 1: p47phox (F3Y6C) Rabbit Monoclonal Antibody (BSA and Azide Free)
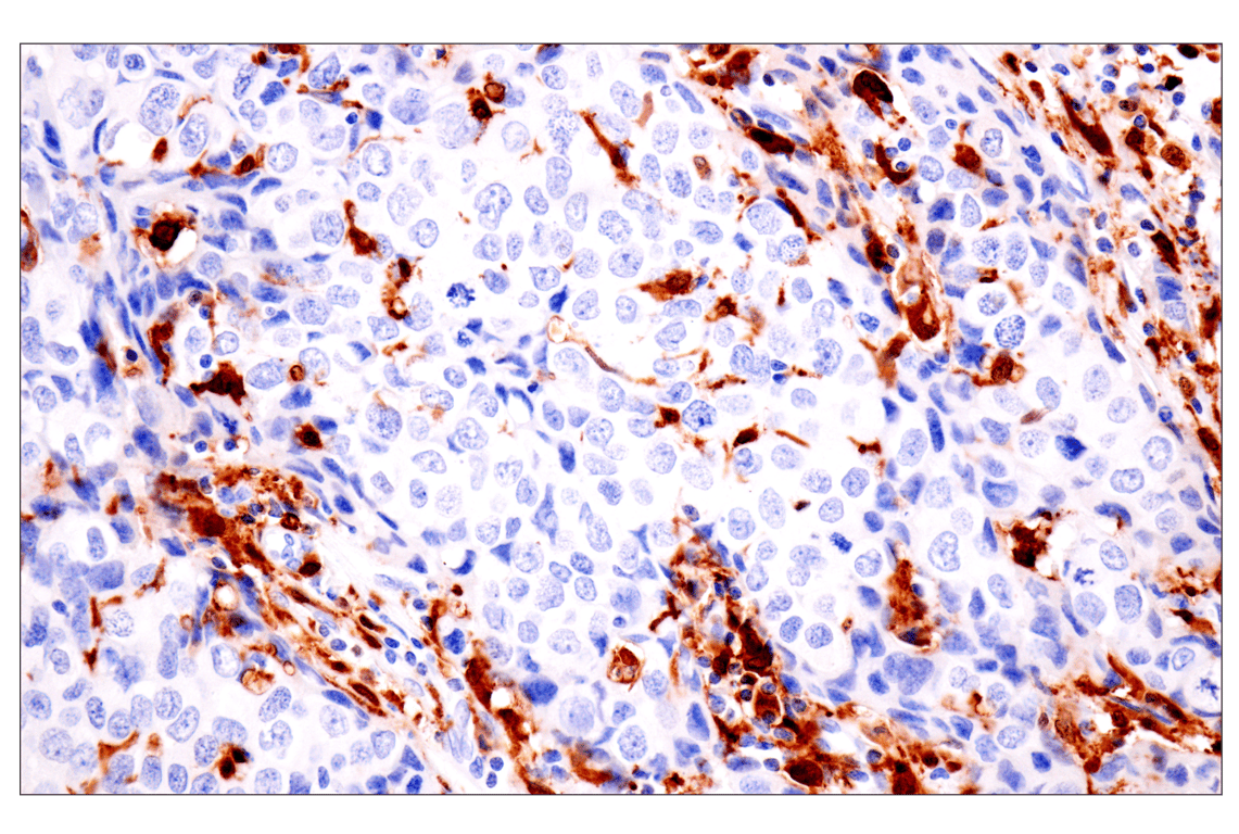
Immunohistochemical analysis of paraffin-embedded human gastric adenocarcinoma using p47phox (F3Y6C) Rabbit mAb. Data were generated using the standard formulation of this product.
Immunohistochemistry Image 2: p47phox (F3Y6C) Rabbit Monoclonal Antibody (BSA and Azide Free)
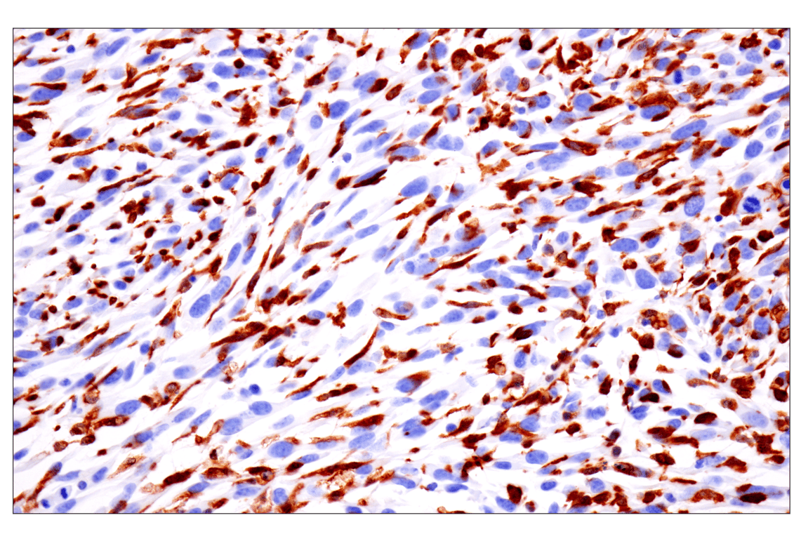
Immunohistochemical analysis of paraffin-embedded human esophageal adenocarcinoma using p47phox (F3Y6C) Rabbit mAb. Data were generated using the standard formulation of this product.
Immunohistochemistry Image 3: p47phox (F3Y6C) Rabbit Monoclonal Antibody (BSA and Azide Free)
Orders: 877-616-CELL (2355) [email protected] Support: 877-678-TECH (8324) [email protected] Web: cellsignal.com
For Research Use Only. Not for Use in Diagnostic Procedures.

Revision 1

Cell Signaling Technology Logo
Immunohistochemical analysis of paraffin-embedded 4T1 syngeneic tumor using p47phox (F3Y6C) Rabbit mAb. Data were generated using the standard formulation of this product.
Immunohistochemistry Image 4: p47phox (F3Y6C) Rabbit Monoclonal Antibody (BSA and Azide Free)
Immunohistochemical analysis of paraffin-embedded MC-38 syngeneic tumor using p47phox (F3Y6C) Rabbit mAb. Data were generated using the standard formulation of this product.
Immunohistochemistry Image 5: p47phox (F3Y6C) Rabbit Monoclonal Antibody (BSA and Azide Free)
Immunohistochemical analysis of paraffin-embedded mouse spleen using p47phox (F3Y6C) Rabbit mAb. Data were generated using the standard formulation of this product.
Immunohistochemistry Image 6: p47phox (F3Y6C) Rabbit Monoclonal Antibody (BSA and Azide Free)
Orders: 877-616-CELL (2355) [email protected] Support: 877-678-TECH (8324) [email protected] Web: cellsignal.com
For Research Use Only. Not for Use in Diagnostic Procedures.

Revision 1

Cell Signaling Technology Logo
Immunohistochemical analysis of paraffin-embedded mouse brain using p47phox (F3Y6C) Rabbit mAb. Data were generated using the standard formulation of this product.
Immunohistochemistry Image 7: p47phox (F3Y6C) Rabbit Monoclonal Antibody (BSA and Azide Free)
Immunohistochemical analysis of paraffin-embedded mouse lung using p47phox (F3Y6C) Rabbit mAb. Data were generated using the standard formulation of this product.
Immunohistochemistry Image 8: p47phox (F3Y6C) Rabbit Monoclonal Antibody (BSA and Azide Free)
Immunohistochemical analysis of paraffin-embedded human squamous cell carcinoma of the skin (left), ductal breast carcinoma (middle), or normal small intestine (right) using p47phox (F3Y6C) Rabbit mAb (top) or a p47phox Rabbit mAb (bottom). These two antibodies detect unique, non-overlapping epitopes on human p47phox. The similar staining patterns obtained with both antibodies help to confirm the specificity of the staining. Data were generated using the standard formulation of this product.
Immunohistochemistry Image 9: p47phox (F3Y6C) Rabbit Monoclonal Antibody (BSA and Azide Free)
Orders: 877-616-CELL (2355) [email protected] Support: 877-678-TECH (8324) [email protected] Web: cellsignal.com
For Research Use Only. Not for Use in Diagnostic Procedures.

Revision 1

Cell Signaling Technology Logo
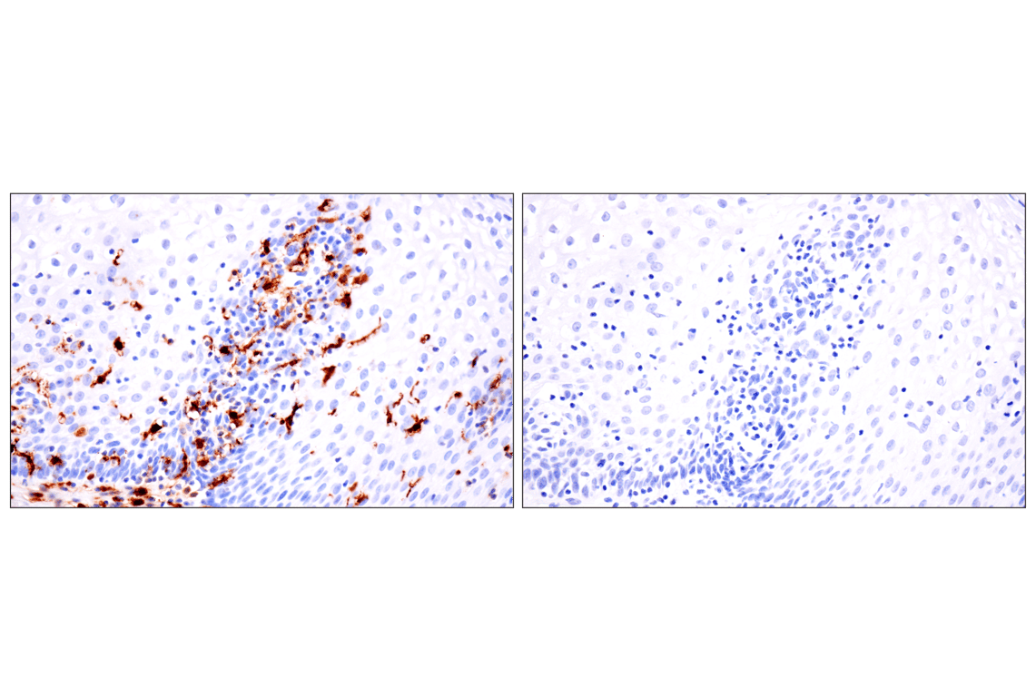
Immunohistochemical analysis of paraffin-embedded normal human esophagus using p47phox (F3Y6C) Rabbit mAb (left) compared to concentration-matched Rabbit (DA1E) mAb IgG XP® Isotype Control #3900 (right).  Data were generated using the standard formulation of this product.
Immunohistochemistry Image 10: p47phox (F3Y6C) Rabbit Monoclonal Antibody (BSA and Azide Free)
Immunohistochemical analysis of paraffin-embedded Ramos cell pellet (left, positive) or A-172 cell pellet (right, negative) using p47phox (F3Y6C) Rabbit mAb. Data were generated using the standard formulation of this product.
Immunohistochemistry Image 11: p47phox (F3Y6C) Rabbit Monoclonal Antibody (BSA and Azide Free)
Confocal immunofluorescent analysis of THP-1 cells treated with TPA (12-O-Tetradecanoylphorbol-13-Acetate) #4174 (80 nM, 16 hr; left, positive) or A-172 cells (right, negative) using p47phox (F3Y6C) Rabbit mAb (green), DyLight 554 Phalloidin #13054 (red), and DAPI #4083 (blue). Data were generated using the standard formulation of this product.
Immunofluorescence Image 1: p47phox (F3Y6C) Rabbit Monoclonal Antibody (BSA and Azide Free)
Orders: 877-616-CELL (2355) [email protected] Support: 877-678-TECH (8324) [email protected] Web: cellsignal.com
For Research Use Only. Not for Use in Diagnostic Procedures.