Revision 1

#59051

Store at -20C

CST Logo
Orders:

877-616-CELL (2355)

[email protected]

Support:

877-678-TECH (8324)

3 Trask Lane | Danvers | Massachusetts | 01923 | USA

For Research Use Only. Not for Use in Diagnostic Procedures.

Applications:
W, IHC-P

Reactivity:
H M R

Sensitivity:
Endogenous

MW (kDa):
75

Source/Isotype:
Rabbit IgG

UniProt ID:
#P08138

Entrez-Gene Id:
4804

Product Usage Information

This product is the carrier free version of product #41680. All data were generated using the same antibody clone in the standard formulation which contains BSA and glycerol.

This formulation is ideal for use with technologies requiring specialized or custom antibody labeling, including fluorophores, metals, lanthanides, and oligonucleotides. It is not recommended for ChIP, ChIP-seq, CUT&RUN or CUT&Tag assays. If you require a carrier free formulation for chromatin profiling, please contact us. Optimal dilutions/concentrations should be determined by the end user.

BSA and Azide Free antibodies are quality control tested by size exclusion chromatography (SEC) to determine antibody integrity.

Formulation

Supplied in 1X PBS (10 mM Na2HPO4, 3 mM KCl, 2 mM KH2PO4, and 140 mM NaCl (pH 7.8)). BSA and Azide Free.

For standard formulation of this product see product #41680

Storage

Store at -20°C. This product will freeze at -20°C so it is recommended to aliquot into single-use vials to avoid multiple freeze/thaw cycles. A slight precipitate may be present and can be dissolved by gently vortexing. This will not interfere with antibody performance.

Specificity/Sensitivity

p75NTR (E7I3M) Rabbit Monoclonal Antibody (BSA and Azide Free) recognizes endogenous levels of total p75NTR protein.

Source / Purification

Monoclonal antibody is produced by immunizing animals with recombinant protein specific to the carboxy terminus of human p75NTR protein.

Background

The p75 neurotrophin receptor (p75NTR), a member of the TNF receptor superfamily, is distinguished by multiple cysteine-rich ligand-binding domains, a single transmembrane sequence, and a noncatalytic cytoplasmic domain (1). p75NTR displays paradoxical functions when acting alone or with other receptor proteins. Working in concert with Trk receptors, p75NTR recognizes neurotrophins and transmits trophic signals into the cell. Both p75NTR and TrkA are required to activate PI3K-Akt signaling, while TrkA can individually activate the MAP kinase pathway. In contrast, p75NTR, possibly through JNK, ensures appropriate apoptosis of injured neurons and improperly targeted neonatal neurons (2).

The p75NTR protein undergoes sequential cleavage similar to APP and Notch. First, α-secretase removes the p75NTR ectodomain, eliminating ligand-mediated signaling. At this point, the membrane-tethered cleavage product can still fine-tune Trk-mediated trophic actions. γ-secretase cleaves within the transmembrane domain to liberate the cytoplasmic tail from its membrane anchor and allow the p75NTR intracellular domain to translocate to the nucleus (3,4).

Species Reactivity

Species reactivity is determined by testing in at least one approved application (e.g., western blot).

Applications Key

W: Western Blotting IHC-P: Immunohistochemistry (Paraffin)

Cross-Reactivity Key

H: Human M: Mouse R: Rat

Trademarks and Patents

Cell Signaling Technology is a trademark of Cell Signaling Technology, Inc.

All other trademarks are the property of their respective owners. Visit cellsignal.com/trademarks for more information.

Limited Uses

Except as otherwise expressly agreed in a writing signed by a legally authorized representative of CST, the following terms apply to Products provided by CST, its affiliates or its distributors. Any Customer's terms and conditions that are in addition to, or different from, those contained herein, unless separately accepted in writing by a legally authorized representative of CST, are rejected and are of no force or effect.

Products are labeled with For Research Use Only or a similar labeling statement and have not been approved, cleared, or licensed by the FDA or other regulatory foreign or domestic entity, for any purpose. Customer shall not use any Product for any diagnostic or therapeutic purpose, or otherwise in any manner that conflicts with its labeling statement. Products sold or licensed by CST are provided for Customer as the end-user and solely for research and development uses. Any use of Product for diagnostic, prophylactic or therapeutic purposes, or any purchase of Product for resale (alone or as a component) or other commercial purpose, requires a separate license from CST. Customer shall (a) not sell, license, loan, donate or otherwise transfer or make available any Product to any third party, whether alone or in combination with other materials, or use the Products to manufacture any commercial products, (b) not copy, modify, reverse engineer, decompile, disassemble or otherwise attempt to discover the underlying structure or technology of the Products, or use the Products for the purpose of developing any products or services that would compete with CST products or services, (c) not alter or remove from the Products any trademarks, trade names, logos, patent or copyright notices or markings, (d) use the Products solely in accordance with CST Product Terms of Sale and any applicable documentation, and (e) comply with any license, terms of service or similar agreement with respect to any third party products or services used by Customer in connection with the Products.

Orders: 877-616-CELL (2355) [email protected] Support: 877-678-TECH (8324) [email protected] Web: cellsignal.com
For Research Use Only. Not for Use in Diagnostic Procedures.

Revision 1

Cell Signaling Technology Logo
Western blot analysis of extracts from various cell lines using p75NTR (E7I3M) Rabbit mAb (upper) or GAPDH (D16H11) XP® Rabbit mAb #5174 (lower). Negative expression of p75NTR protein in HeLa cells is consistent with the predicted expression pattern. Data were generated using the standard formulation of this product.
Western Blotting Image 1: p75NTR (E7I3M) Rabbit Monoclonal Antibody (BSA and Azide Free)
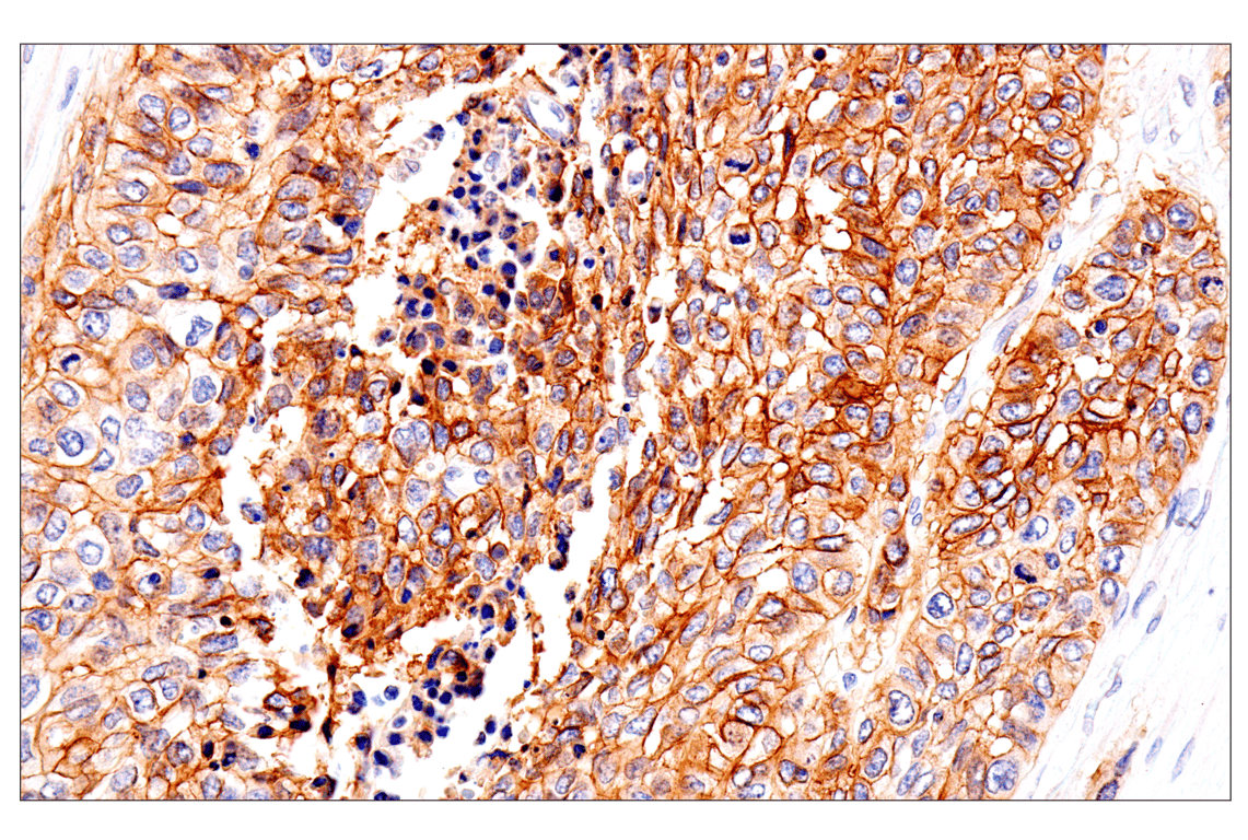
Immunohistochemical analysis of paraffin-embedded human urothelial carcinoma using p75NTR (E7I3M) Rabbit mAb. Data were generated using the standard formulation of this product.
Immunohistochemistry Image 1: p75NTR (E7I3M) Rabbit Monoclonal Antibody (BSA and Azide Free)
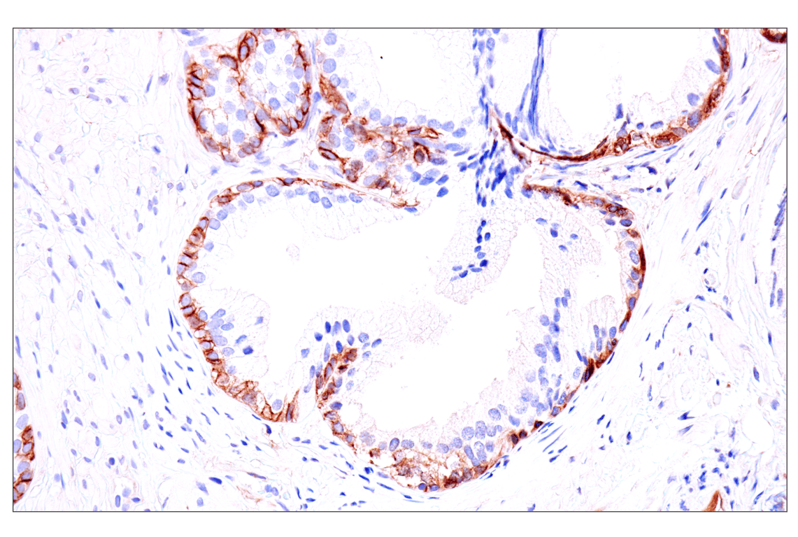
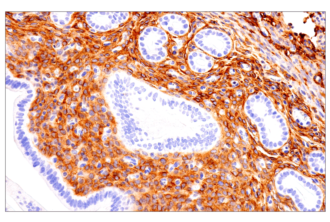
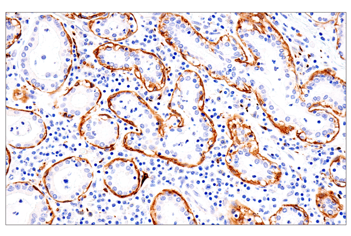
Immunohistochemical analysis of paraffin-embedded human prostate carcinoma using p75NTR (E7I3M) Rabbit mAb. Data were generated using the standard formulation of this product.
Immunohistochemistry Image 2: p75NTR (E7I3M) Rabbit Monoclonal Antibody (BSA and Azide Free)
Orders: 877-616-CELL (2355) [email protected] Support: 877-678-TECH (8324) [email protected] Web: cellsignal.com
For Research Use Only. Not for Use in Diagnostic Procedures.

Revision 1

Cell Signaling Technology Logo
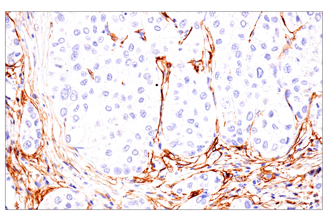
Immunohistochemical analysis of paraffin-embedded human hepatocellular carcinoma using p75NTR (E7I3M) Rabbit mAb. Data were generated using the standard formulation of this product.
Immunohistochemistry Image 3: p75NTR (E7I3M) Rabbit Monoclonal Antibody (BSA and Azide Free)
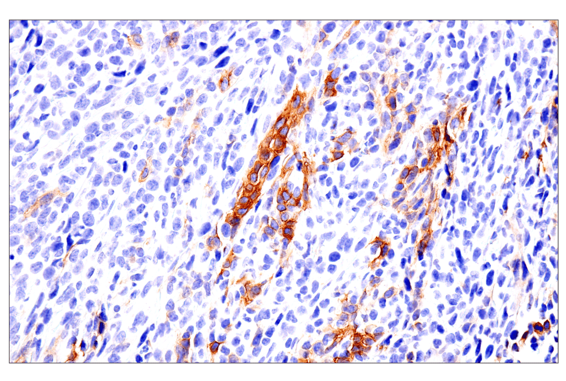
Immunohistochemical analysis of paraffin-embedded human esophageal carcinoma using p75NTR (E7I3M) Rabbit mAb. Data were generated using the standard formulation of this product.
Immunohistochemistry Image 4: p75NTR (E7I3M) Rabbit Monoclonal Antibody (BSA and Azide Free)
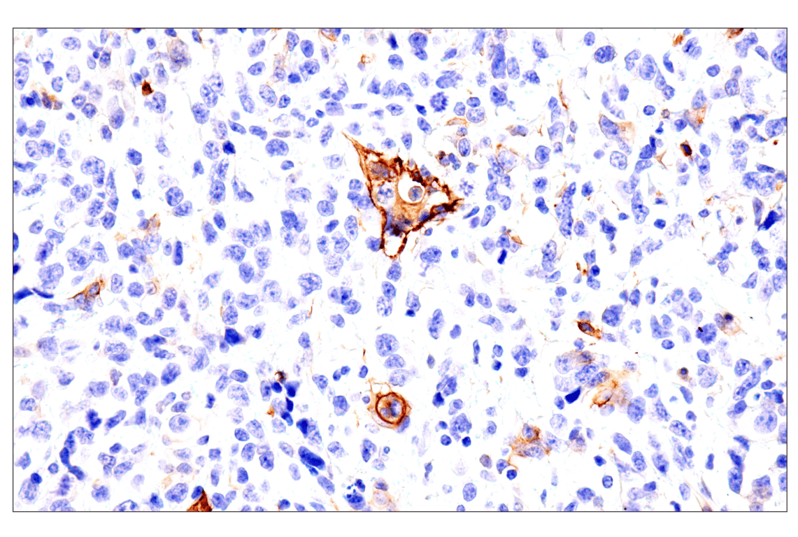
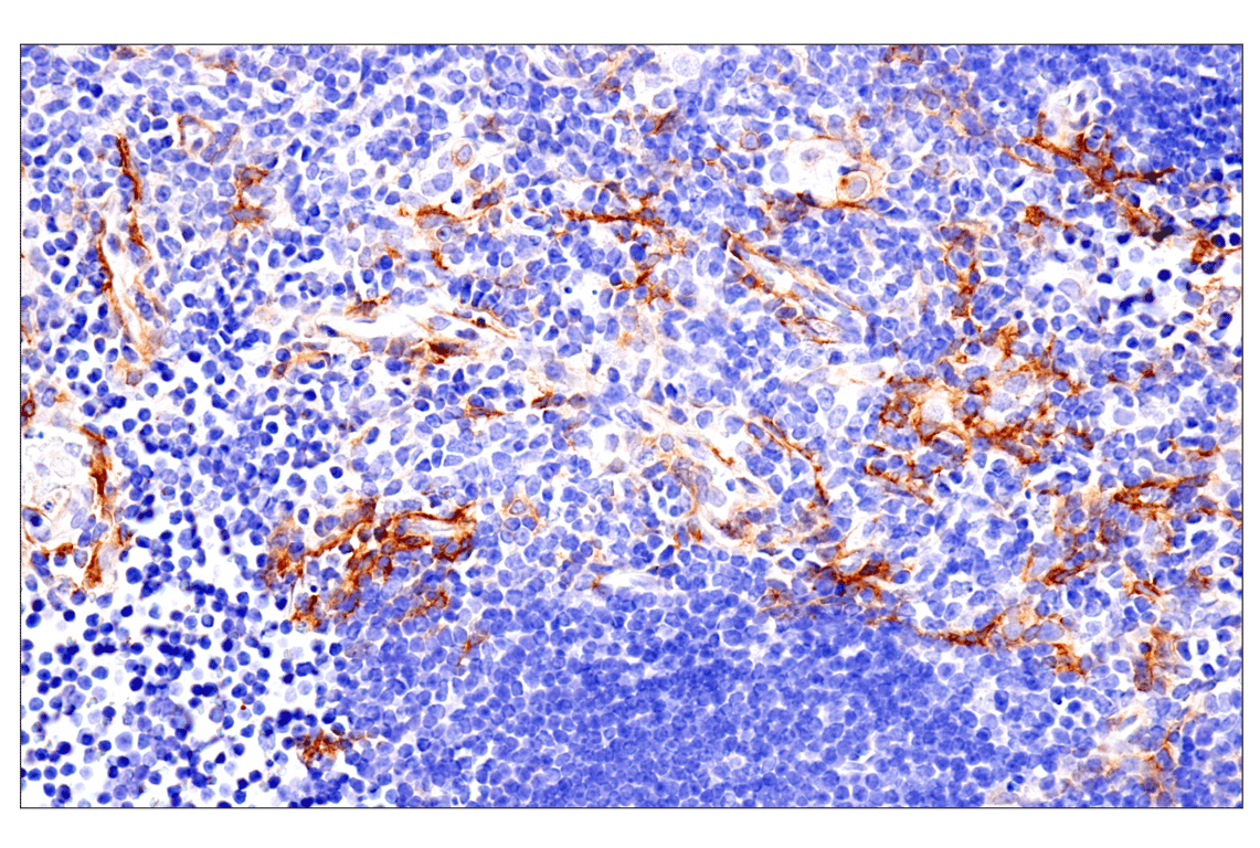
Immunohistochemical analysis of paraffin-embedded human B-cell non-Hodgkin lymphoma using p75NTR (E7I3M) Rabbit mAb. Data were generated using the standard formulation of this product.
Immunohistochemistry Image 5: p75NTR (E7I3M) Rabbit Monoclonal Antibody (BSA and Azide Free)
Orders: 877-616-CELL (2355) [email protected] Support: 877-678-TECH (8324) [email protected] Web: cellsignal.com
For Research Use Only. Not for Use in Diagnostic Procedures.

Revision 1

Cell Signaling Technology Logo
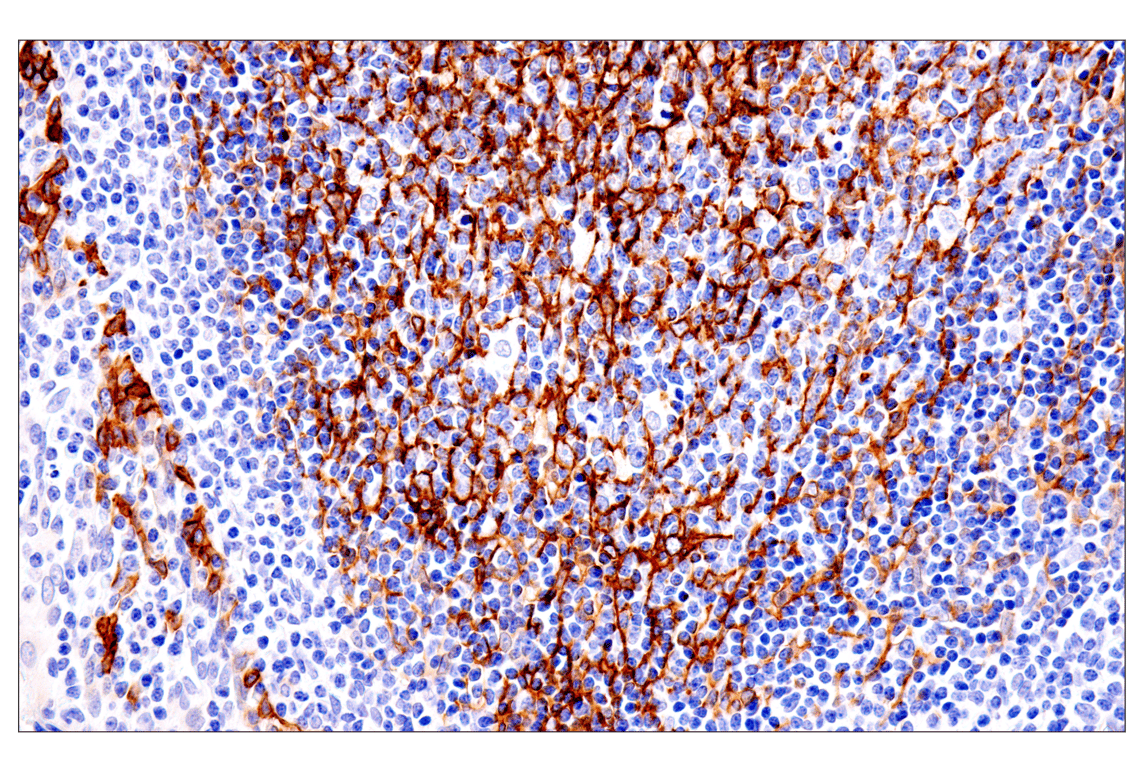
Immunohistochemical analysis of paraffin-embedded human tonsil using p75NTR (E7I3M) Rabbit mAb. Data were generated using the standard formulation of this product.
Immunohistochemistry Image 6: p75NTR (E7I3M) Rabbit Monoclonal Antibody (BSA and Azide Free)
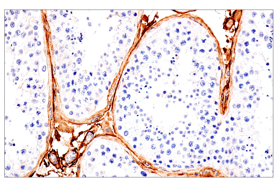
Immunohistochemical analysis of paraffin-embedded normal human testis using p75NTR (E7I3M) Rabbit mAb. Data were generated using the standard formulation of this product.
Immunohistochemistry Image 7: p75NTR (E7I3M) Rabbit Monoclonal Antibody (BSA and Azide Free)
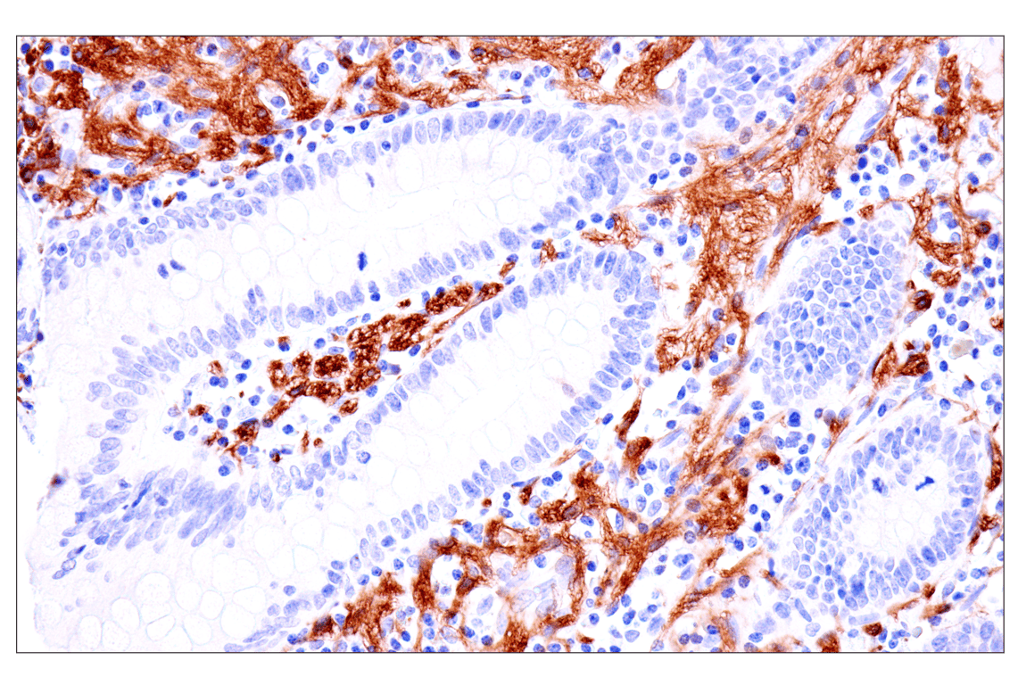
Immunohistochemical analysis of paraffin-embedded normal human small intestine using p75NTR (E7I3M) Rabbit mAb. Data were generated using the standard formulation of this product.
Immunohistochemistry Image 8: p75NTR (E7I3M) Rabbit Monoclonal Antibody (BSA and Azide Free)
Orders: 877-616-CELL (2355) [email protected] Support: 877-678-TECH (8324) [email protected] Web: cellsignal.com
For Research Use Only. Not for Use in Diagnostic Procedures.

Revision 1

Cell Signaling Technology Logo
Immunohistochemical analysis of paraffin-embedded normal human prostate using p75NTR (E7I3M) Rabbit mAb. Data were generated using the standard formulation of this product.
Immunohistochemistry Image 9: p75NTR (E7I3M) Rabbit Monoclonal Antibody (BSA and Azide Free)
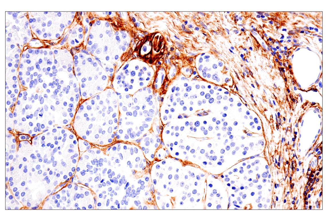
Immunohistochemical analysis of paraffin-embedded normal human pancreas using p75NTR (E7I3M) Rabbit mAb. Data were generated using the standard formulation of this product.
Immunohistochemistry Image 10: p75NTR (E7I3M) Rabbit Monoclonal Antibody (BSA and Azide Free)
Immunohistochemical analysis of paraffin-embedded normal human lymph node using p75NTR (E7I3M) Rabbit mAb. Data were generated using the standard formulation of this product.
Immunohistochemistry Image 11: p75NTR (E7I3M) Rabbit Monoclonal Antibody (BSA and Azide Free)
Orders: 877-616-CELL (2355) [email protected] Support: 877-678-TECH (8324) [email protected] Web: cellsignal.com
For Research Use Only. Not for Use in Diagnostic Procedures.

Revision 1

Cell Signaling Technology Logo
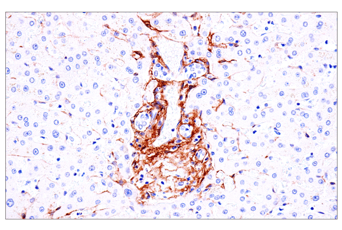
Immunohistochemical analysis of paraffin-embedded normal human liver using p75NTR (E7I3M) Rabbit mAb. Data were generated using the standard formulation of this product.
Immunohistochemistry Image 12: p75NTR (E7I3M) Rabbit Monoclonal Antibody (BSA and Azide Free)
Immunohistochemical analysis of paraffin-embedded human appendix using p75NTR (E7I3M) Rabbit mAb. Data were generated using the standard formulation of this product.
Immunohistochemistry Image 13: p75NTR (E7I3M) Rabbit Monoclonal Antibody (BSA and Azide Free)
Immunohistochemical analysis of paraffin-embedded 4T1 syngeneic tumor using p75NTR (E7I3M) Rabbit mAb. Data were generated using the standard formulation of this product.
Immunohistochemistry Image 14: p75NTR (E7I3M) Rabbit Monoclonal Antibody (BSA and Azide Free)
Orders: 877-616-CELL (2355) [email protected] Support: 877-678-TECH (8324) [email protected] Web: cellsignal.com
For Research Use Only. Not for Use in Diagnostic Procedures.

Revision 1

Cell Signaling Technology Logo
Immunohistochemical analysis of paraffin-embedded GL261 syngeneic tumor using p75NTR (E7I3M) Rabbit mAb. Data were generated using the standard formulation of this product.
Immunohistochemistry Image 15: p75NTR (E7I3M) Rabbit Monoclonal Antibody (BSA and Azide Free)
Immunohistochemical analysis of paraffin-embedded mouse spleen using p75NTR (E7I3M) Rabbit mAb. Data were generated using the standard formulation of this product.
Immunohistochemistry Image 16: p75NTR (E7I3M) Rabbit Monoclonal Antibody (BSA and Azide Free)
Immunohistochemical analysis of paraffin-embedded mouse thymus using p75NTR (E7I3M) Rabbit mAb. Data were generated using the standard formulation of this product.
Immunohistochemistry Image 17: p75NTR (E7I3M) Rabbit Monoclonal Antibody (BSA and Azide Free)
Orders: 877-616-CELL (2355) [email protected] Support: 877-678-TECH (8324) [email protected] Web: cellsignal.com
For Research Use Only. Not for Use in Diagnostic Procedures.

Revision 1

Cell Signaling Technology Logo
Immunohistochemical analysis of paraffin-embedded mouse endometrium using p75NTR (E7I3M) Rabbit mAb. Data were generated using the standard formulation of this product.
Immunohistochemistry Image 18: p75NTR (E7I3M) Rabbit Monoclonal Antibody (BSA and Azide Free)
Immunohistochemical analysis of paraffin-embedded hair follicles of E16 mouse embryo using p75NTR (E7I3M) Rabbit mAb. Data were generated using the standard formulation of this product.
Immunohistochemistry Image 19: p75NTR (E7I3M) Rabbit Monoclonal Antibody (BSA and Azide Free)
Immunohistochemical analysis of paraffin-embedded human lung carcinoma using p75NTR (E7I3M) Rabbit mAb (left) compared to concentration-matched Rabbit (DA1E) mAb IgG XP® Isotype Control #3900 (right). Data were generated using the standard formulation of this product.
Immunohistochemistry Image 20: p75NTR (E7I3M) Rabbit Monoclonal Antibody (BSA and Azide Free)
Orders: 877-616-CELL (2355) [email protected] Support: 877-678-TECH (8324) [email protected] Web: cellsignal.com
For Research Use Only. Not for Use in Diagnostic Procedures.

Revision 1

Cell Signaling Technology Logo
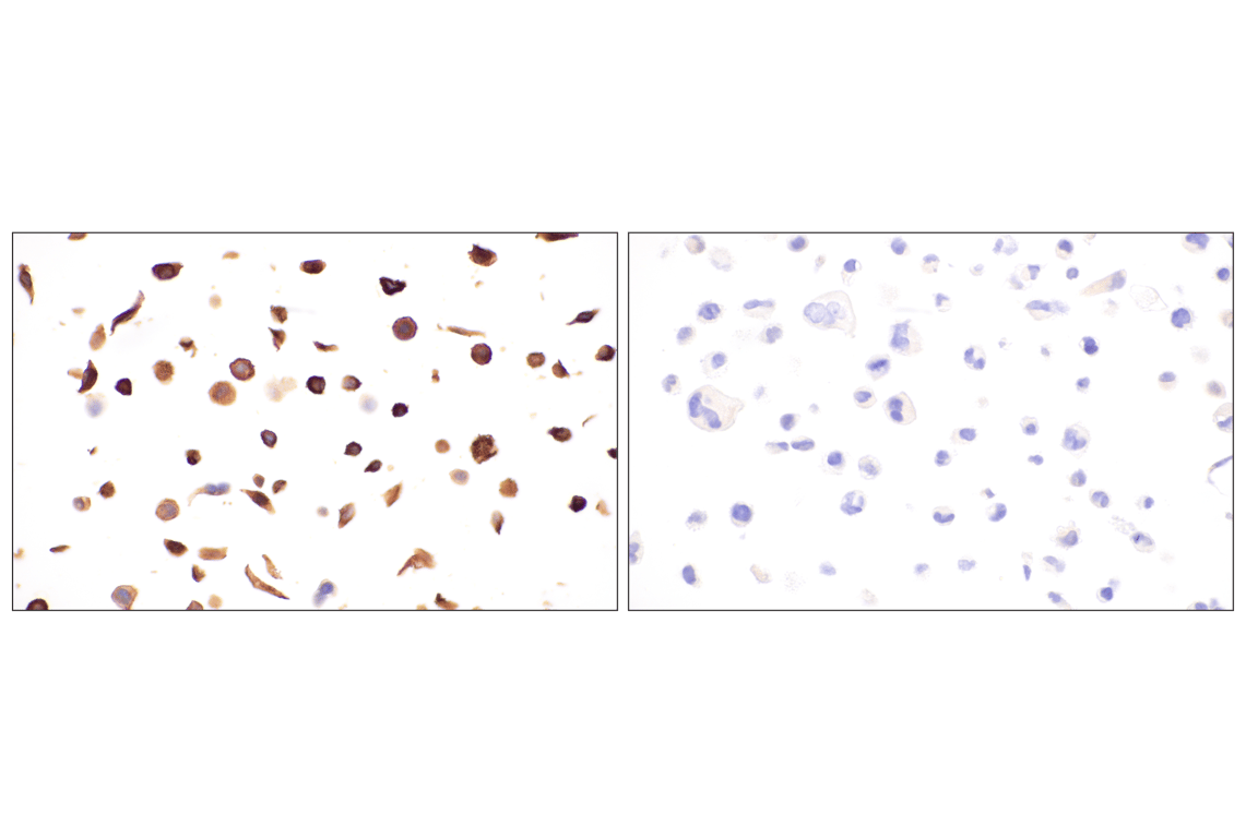
Immunohistochemical analysis of paraffin-embedded SW480 cell pellet (left, positive) or HeLa cell pellet (right, negative) using p75NTR (E7I3M) Rabbit mAb. Data were generated using the standard formulation of this product.
Immunohistochemistry Image 21: p75NTR (E7I3M) Rabbit Monoclonal Antibody (BSA and Azide Free)
Orders: 877-616-CELL (2355) [email protected] Support: 877-678-TECH (8324) [email protected] Web: cellsignal.com
For Research Use Only. Not for Use in Diagnostic Procedures.