Revision 1

#8657

Store at -20C

CST Logo
Orders:

877-616-CELL (2355)

[email protected]

Support:

877-678-TECH (8324)

3 Trask Lane | Danvers | Massachusetts | 01923 | USA

For Research Use Only. Not for Use in Diagnostic Procedures.

Applications:
W

Reactivity:
H M R Mk

Sensitivity:
Endogenous

MW (kDa):
28

Source/Isotype:
Rabbit IgG

UniProt ID:
#Q06323

Entrez-Gene Id:
5720

Product Usage Information

Application Dilution
Western Blotting 1:1000

Storage

Supplied in 10 mM sodium HEPES (pH 7.5), 150 mM NaCl, 100 µg/ml BSA, 50% glycerol and less than 0.02% sodium azide. Store at –20°C. Do not aliquot the antibody.

Specificity/Sensitivity

PA28 alpha (D4F12) Rabbit Monoclonal Antibody recognizes endogenous levels of total PA28α protein. This antibody does not cross-react with either PA28β/PSME2 or PA28γ/PSME3 protein.

Species predicted to react based on 100% sequence homology

Dog, Pig, Guinea Pig

Source / Purification

Monoclonal antibody is produced by immunizing animals with a synthetic peptide corresponding to residues near the amino terminus of human PA28α protein.

Background

The 20S proteasome is the major proteolytic enzyme complex involved in intracellular protein degradation. PA700, PA28, and PA200 are three major protein complexes that function as activators of the 20S proteasome. There are three evolutionarily conserved subunits of PA28: PA28α (PSME1), PA28β (PSME2), and PA28γ (PSME3) (1,2). PA28α and PA28β form a heteroheptameric complex and function by binding to the 20S complex at its opening site(s). The PA28α/β complex is present throughout the cell and participates in MHC class I antigen presentation by promoting the generation of antigenic peptides from foreign proteins (2). PA28γ exists in the form of a homoheptamer and is mainly located in the nucleus. The PA28γ complex exerts its function by binding and guiding specific nuclear target proteins to the 20S proteasome for further degradation (3,4).

Species Reactivity

Species reactivity is determined by testing in at least one approved application (e.g., western blot).

Western Blot Buffer

IMPORTANT: For western blots, incubate membrane with diluted primary antibody in 5% w/v BSA, 1X TBS, 0.1% Tween® 20 at 4°C with gentle shaking, overnight.

Applications Key

W: Western Blotting

Cross-Reactivity Key

H: Human M: Mouse R: Rat Mk: Monkey

Trademarks and Patents

Cell Signaling Technology is a trademark of Cell Signaling Technology, Inc.

All other trademarks are the property of their respective owners. Visit cellsignal.com/trademarks for more information.

Limited Uses

Except as otherwise expressly agreed in a writing signed by a legally authorized representative of CST, the following terms apply to Products provided by CST, its affiliates or its distributors. Any Customer's terms and conditions that are in addition to, or different from, those contained herein, unless separately accepted in writing by a legally authorized representative of CST, are rejected and are of no force or effect.

Products are labeled with For Research Use Only or a similar labeling statement and have not been approved, cleared, or licensed by the FDA or other regulatory foreign or domestic entity, for any purpose. Customer shall not use any Product for any diagnostic or therapeutic purpose, or otherwise in any manner that conflicts with its labeling statement. Products sold or licensed by CST are provided for Customer as the end-user and solely for research and development uses. Any use of Product for diagnostic, prophylactic or therapeutic purposes, or any purchase of Product for resale (alone or as a component) or other commercial purpose, requires a separate license from CST. Customer shall (a) not sell, license, loan, donate or otherwise transfer or make available any Product to any third party, whether alone or in combination with other materials, or use the Products to manufacture any commercial products, (b) not copy, modify, reverse engineer, decompile, disassemble or otherwise attempt to discover the underlying structure or technology of the Products, or use the Products for the purpose of developing any products or services that would compete with CST products or services, (c) not alter or remove from the Products any trademarks, trade names, logos, patent or copyright notices or markings, (d) use the Products solely in accordance with CST Product Terms of Sale and any applicable documentation, and (e) comply with any license, terms of service or similar agreement with respect to any third party products or services used by Customer in connection with the Products.

Orders: 877-616-CELL (2355) [email protected] Support: 877-678-TECH (8324) [email protected] Web: cellsignal.com
For Research Use Only. Not for Use in Diagnostic Procedures.

Revision 1

Cell Signaling Technology Logo
Western blot analysis of extracts from 293T cells, either mock transfected (-) or transfected with Myc/DDK-tagged cDNA expression constructs encoding full-length human PA28α (hPA28α; +), full-length human PA28β (hPA28β; +), or full-length human PA28γ (hPA28γ; +), using PA28α (D4F12) Rabbit mAb (upper) and DYKDDDDK Tag Antibody (Binds to same epitope as Sigma's Anti-FLAG® M2 Antibody) #2368 (lower).
Western Blotting Image 1: PA28 alpha (D4F12) Rabbit Monoclonal Antibody
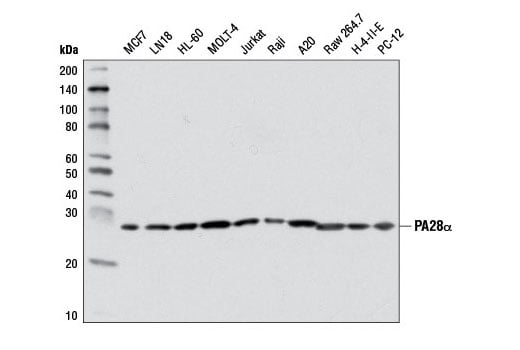
Western blot analysis of extracts from various cell lines using PA28α (D4F12) Rabbit mAb.
Western Blotting Image 2: PA28 alpha (D4F12) Rabbit Monoclonal Antibody
Orders: 877-616-CELL (2355) [email protected] Support: 877-678-TECH (8324) [email protected] Web: cellsignal.com
For Research Use Only. Not for Use in Diagnostic Procedures.