Revision 1

#4992

Store at -20C

CST Logo
Orders:

877-616-CELL (2355)

[email protected]

Support:

877-678-TECH (8324)

3 Trask Lane | Danvers | Massachusetts | 01923 | USA

For Research Use Only. Not for Use in Diagnostic Procedures.

Applications:
W, IHC-P

Reactivity:
H M R Mk

Sensitivity:
Endogenous

MW (kDa):
71

Source/Isotype:
Rabbit

UniProt ID:
#P11940

Entrez-Gene Id:
26986

Product Usage Information

Application Dilution
Western Blotting 1:1000
Immunohistochemistry (Paraffin) 1:100

Storage

Supplied in 10 mM sodium HEPES (pH 7.5), 150 mM NaCl, 100 µg/ml BSA and 50% glycerol. Store at –20°C. Do not aliquot the antibody.

Specificity/Sensitivity

PABP1 Antibody detects endogenous levels of total PABP1 and PABP3 proteins.

Species predicted to react based on 100% sequence homology

Xenopus, Zebrafish, Bovine

Source / Purification

Polyclonal antibodies are produced by immunizing animals with a synthetic peptide corresponding to amino acids at the amino-terminus of human PABP1. Antibodies are purified by protein A and peptide affinity chromatography.

Background

Poly(A)-binding protein 1 (PABP1) associates with the 3' poly(A) tail of mRNA and also eIF4F (1,2). eIF4F is a complex whose functions include the recognition of the mRNA 5' cap structure (eIF4E), delivery of an RNA helicase to the 5' region (eIF4A), bridging of the mRNA and the ribosome (eIF4G), and circularization of the mRNA via interaction between eIF4G and the poly(A) binding protein (PABP). PABP1 has been shown to have multiple functions, including translation initiation, mRNA stabilization, and mRNA turnover (3,4). Phosphorylation of PABP has been shown to enhance RNA binding in eukaryotes, and PABP1 has been shown to shuttle between the nucleus and cytoplasm (5,6). PABP1 is methylated on Arg455 and Arg460 by the CARM1 protein methyltransferase (7,8); however, the function of this methylation has yet to be determined.

Species Reactivity

Species reactivity is determined by testing in at least one approved application (e.g., western blot).

Western Blot Buffer

IMPORTANT: For western blots, incubate membrane with diluted primary antibody in 5% w/v BSA, 1X TBS, 0.1% Tween® 20 at 4°C with gentle shaking, overnight.

Applications Key

W: Western Blotting IHC-P: Immunohistochemistry (Paraffin)

Cross-Reactivity Key

H: Human M: Mouse R: Rat Mk: Monkey

Trademarks and Patents

Cell Signaling Technology is a trademark of Cell Signaling Technology, Inc.

All other trademarks are the property of their respective owners. Visit cellsignal.com/trademarks for more information.

Limited Uses

Except as otherwise expressly agreed in a writing signed by a legally authorized representative of CST, the following terms apply to Products provided by CST, its affiliates or its distributors. Any Customer's terms and conditions that are in addition to, or different from, those contained herein, unless separately accepted in writing by a legally authorized representative of CST, are rejected and are of no force or effect.

Products are labeled with For Research Use Only or a similar labeling statement and have not been approved, cleared, or licensed by the FDA or other regulatory foreign or domestic entity, for any purpose. Customer shall not use any Product for any diagnostic or therapeutic purpose, or otherwise in any manner that conflicts with its labeling statement. Products sold or licensed by CST are provided for Customer as the end-user and solely for research and development uses. Any use of Product for diagnostic, prophylactic or therapeutic purposes, or any purchase of Product for resale (alone or as a component) or other commercial purpose, requires a separate license from CST. Customer shall (a) not sell, license, loan, donate or otherwise transfer or make available any Product to any third party, whether alone or in combination with other materials, or use the Products to manufacture any commercial products, (b) not copy, modify, reverse engineer, decompile, disassemble or otherwise attempt to discover the underlying structure or technology of the Products, or use the Products for the purpose of developing any products or services that would compete with CST products or services, (c) not alter or remove from the Products any trademarks, trade names, logos, patent or copyright notices or markings, (d) use the Products solely in accordance with CST Product Terms of Sale and any applicable documentation, and (e) comply with any license, terms of service or similar agreement with respect to any third party products or services used by Customer in connection with the Products.

Orders: 877-616-CELL (2355) [email protected] Support: 877-678-TECH (8324) [email protected] Web: cellsignal.com
For Research Use Only. Not for Use in Diagnostic Procedures.

Revision 1

Cell Signaling Technology Logo
Western blot analysis of extracts from HT-29 cells, using PABP1 Antibody.
Western Blotting Image 1: PABP1 Antibody
Immunohistochemical analysis of paraffin-embedded human breast carcinoma, using PABP1 Antibody.
Immunohistochemistry Image 1: PABP1 Antibody
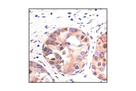
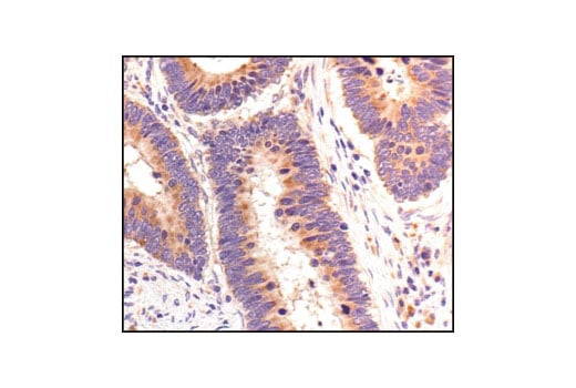
Immunohistochemical analysis of paraffin-embedded human colon carcinoma, using PABP1 Antibody.
Immunohistochemistry Image 2: PABP1 Antibody
Orders: 877-616-CELL (2355) [email protected] Support: 877-678-TECH (8324) [email protected] Web: cellsignal.com
For Research Use Only. Not for Use in Diagnostic Procedures.

Revision 1

Cell Signaling Technology Logo
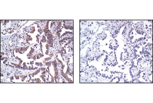
Immunohistochemical analysis of paraffin-embedded human lung carcinoma, using PABP1 Antibody in the presence of control peptide (left) or antigen-specific peptide (right).
Immunohistochemistry Image 3: PABP1 Antibody
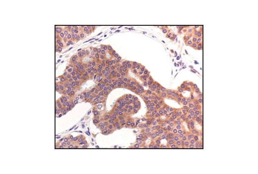
Immunohistochemical analysis of paraffin-embedded human prostate carcinoma, using PABP1 Antibody.
Immunohistochemistry Image 4: PABP1 Antibody
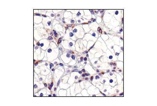
Immunohistochemical analysis of paraffin-embedded human renal cell carcinoma, using PABP1 Antibody.
Immunohistochemistry Image 5: PABP1 Antibody
Orders: 877-616-CELL (2355) [email protected] Support: 877-678-TECH (8324) [email protected] Web: cellsignal.com
For Research Use Only. Not for Use in Diagnostic Procedures.